Déglutition atypique
La déglutition atypique est un vestige de la déglutition infantile. La langue s'oppose à tout contact entre les dents supérieures et inférieures : c'est l'interposition linguale entre les arcades dentaires.
La déglutition atypique est responsable de l'apparition des dysfonctions de l'appareil manducateur[1], ou déglutition atypique « à vide »[2],[3]. À l'opposé, il existe plus d'une centaine de maladies périphériques associées à la déglutition[4] et certaines[Qui ?] dénombrent sept fois plus de raisons responsables d'une déglutition difficile[5].
Définitions
- La déglutition atypique touche 10 à 15% des adultes. Elle se caractérise par le réflexe d'étalement horizontal de la langue entre les deux arcades dentaires, des dents cliniquement trop petites, des « encombrements » dentaires (manque de place, bruxisme), des mâchoires « trop petites » (ODF : « contenant dentaire »), un palais étroit et profond, des fosses nasales étroites (stagnation des sécrétions, proliférations bactériennes), des sinus peu développés (ventilation pauvre, sinusites) et une hypoacousie (trompe d'Eustache peu perméable). Toutes ces caractéristiques forcent la patient à respirer par la bouche (respiration buccale). Les irritations des voies respiratoires sont fréquentes et diverses, voire estivales, telles amygdalite (grosses amygdales, angine, odynophagie), « refroidissements » (rhume, rhinite, pharyngite, trachéite, bronchite), allergie ou rhume des foins, sinusite, aigüe ou chronique. D'autres signes peuvent se greffer sur ce terrain déjà favorable aux agressions du milieu extérieur : acouphènes, otites, ronflements, apnées obstructives du sommeil, mort subite, etc.


- Le passage de la déglutition infantile (respirateur buccal) à la déglutition physiologique adulte, dite « en dents serrées » (respirateur nasal), dépend plus du développement et de la maturation :
- 1. Des tissus (complexe alvéolo-dentaire, palais, fosses nasales et sinus maxillaires) etc. ;
- 2. Des fonctions locales (dents, os, ligaments, proprioception desmodontale, déglutition) et systémiques (système circulatoire, système respiratoire, système nerveux, etc.),
- que de l'âge civil de l'individu (voir 3.6. Auxologie ci-après).
- Des dents verticalement trop petites (infraclusion organique[6],[7]) engendreront toujours un Espace libre[8] trop grand (voir Gnathologie). Ceci entretient, chez l'adulte, le mode de déglutition atypique (infantile) et des béances dentaires[9]. L'ODF n'a pas pour but de modifier l'Espace libre réflexe, mais seulement de perfectionner l'alignement horizontal des dents sur une arcade. Les exercices volontaires de myothérapie fonctionnelle (MTF) sont sans effet sur les causes objectives (étiologie anatomique et fonctionnelle) du réflexe de la déglutition atypique (voir 8.2. Myothérapie fonctionnelle ci-après).
- Les conséquences pathogéniques de la déglutition salivaire atypique ne deviennent aigües que si survient un phénomène déclencheur ou perte des références naturelles : interpositions linguales multiples (migrations dentaires, béances, bruxisme), incompétences labiales, respiration buccale, obturation dentaire en malocclusion, extractions dentaires intempestives, restaurations prothétiques multiples, fatigue générale, stress permanent, dépression, intubation musclée d'anesthésie générale, rhinites estivales, allergies, apnée obstructive du sommeil, acouphènes, etc.
- Pour diminuer la hauteur de l'espace libre, il faut augmenter artificiellement la hauteur des dents. Plus le patient est jeune (de 5 à 7 ans), meilleur sera le pronostic du traitement interceptif (voir 8. Prise en charge de la déglutition atypique ci-après). En cas de malpositions dentaires graves, associées à un espace libre trop important, à une supraclusion incisvo-canine[10] ou à un âge par trop avancé (phase terminale de l'adolescence, adulte), le traitement occlusal sera le plus souvent invasif (plan de morsure provisoire en résine, couronnes prothétiques et bridges en porcelaine). Il pourra également se réaliser en étroite coordination avec un orthodontiste compétent (ODF, Bio-Orthodontie).
- La déglutition physiologique concerne moins de 25 % des adultes : palais large et relativement plat (peu profond), respiration nasale. Comme la fonction occlusale de ces patients est asymptomatique[11], ils ne consultent jamais pour des problèmes fonctionnels : leur principal souci dentaire est la perfection de l'hygiène quotidienne.
Croissance


Déglutition archaïque ou ancestrale : le réflexe de déglutition du liquide amniotique s'installe vers le quatrième mois de la vie intra utérine (G. COULY, 1988). La pression d'un bol de liquide amniotique, sur les récepteurs de la face dorsale de la langue, génère le réflexe d'initiation de la déglutition. À ce stade, il n'y a aucune relation entre la langue et les germes dentaires en formation et enfouis dans les procès alvéolaires. Dans l'os, le germe dentaire suit une éruption endo-alvéolaire active[12],[13],[14],[15] jusqu'à la percée gingivale, où la dent rencontre un obstacle et tous les mécanismes biochimiques s'arrêtent. Cet obstacle buccal, ou contact « occlusal » sur la face triturante de la dent, peut aussi bien être une dent antagoniste (occlusion dentaire) que la langue (occlusion dento-linguale lors de la déglutition infantile).
Il faut garder à l'esprit que la mise en place d'une relation maxillo-mandibulaire physiologique (« RMDA »[11]) et d'un Espace libre, ou distance séparant les deux mâchoires, ne dépendent nullement de la présence des dents en bouche, mais bien de la position spatiale (posture) de la mâchoire inférieure (base osseuse d'un maxillaire), soumise à la gravité terrestre (constante « g ») et suspendue par un hamac musculaire tendu entre le crâne et le sternum.
L'alimentation au sein (succion, aspiration) dépense 10 fois plus d'énergie que l'alimentation au biberon. Indépendamment de l'état de la denture, la déglutition infantile place horizontalement la langue, entre les bourrelets gingivaux, supérieur et inférieur : ceci stabilise la mâchoire inférieure par rapport au crâne et permet au réflexe pharyngien d'expédier le bol de lait vers l'œsophage. La denture lactéale (dents de lait) se met en place entre 0 et 4 ans : deux incisives, une canine et deux molaires par quadrant, soit un total de 20 dents. L'éruption de ces dents interfère avec l'étalement horizontal de la langue. La première molaire permanente (dents définitives) apparaît vers l'âge de 6 ans et en arrière de la dernière molaire lactéale, soit 24 dents au total. C'est le début de la permutation dentaire : celle-ci dure jusqu'à 12-14 ans et chaque année, ce sont 4 dents lactéales (une par quadrant) qui seront remplacées par les dents permanentes.
L'âge dentaire « adulte »
À 12-14 ans, on compte ainsi 28 dents en bouche. L'ordre d'éruption a plus d'importance que l'âge de l'apparition de la dent en bouche (voir : Dentition). C'est la denture adulte : dents permanentes ou dents définitives. Le périmètre du contenant, ou os alvéolaire, augmente à chaque éruption dentaire. Toute la vie, cette base osseuse sera toujours soumise au remaniements internes, suivant les contraintes (forces musculaires) qu'il subit. Les symphyses mentonnières de la mâchoire inférieure ne termineront leur activité (croissance) que vers l'âge de 17 ans (âge civil). À l'adolescence, tout praticien s'attend à voir la déglutition infantile se convertir en déglutition « en dents serrées », ou déglutition physiologique : on n'observera celle-ci que chez moins de 25 % des adultes. Pour les autres, la déglutition infantile se poursuit et change simplement de nom : déglutition atypique ou déglutition dysfonctionnelle, par simple respect de l'âge civil du patient. Quant aux 4 dents de sagesse, si elles existent, elles feront leur éruption entre 18 et 25 ans (troisième dentition) : ceci amène la denture adulte à un potentiel de 32 dents.
Le ligament parodontal relie la dent à l'os alvéolaire. Cet ensemble contient le système proprioceptif de la dent : terminaisons de la douleur (nocicepteur, nociception) et de la sensibilité tactile fine[16],[17] (propriocepteurs, mécanorécepteurs).
La déglutition salivaire « en dents serrées » est l'idéal physiologique à atteindre : une hauteur clinique optimale des dents stimule les propriocepteurs desmodontaux lors de cette occlusion des dents antagonistes. La déglutition salivaire physiologique va de pair avec une élévation et un écrasement de la langue dans le palais, ou travail lingual vertical.
À cause de l'étalement horizontal de la langue entre les arcades dentaires, ou travail lingual horizontal, cette stimulation proprioceptive n'existe jamais dans la déglutition infantile, atypique ou dysfonctionnelle (synonymes). Par contre, cette interposition linguale exerce de pressions axiales sur les dents en éruption, lors de la dentition lactéale (enfants) ou lors de la permutation dentaire (adolescents).
Par ses propriocepteurs desmodontaux, la sensibilité tactile fine du parodonte de la dent joue un rôle sensoriel dans les boucles réflexes des différentes fonctions manducatrices. Cette activité musculaire quotidienne réalise un travail, ou contrainte orientée ou vecteur force. Mainte fois répétés au cours de la journée et de la nuit, ces vecteurs sont le moteur principal des remaniements du visage chez l'enfant et l'adolescent.
Via les fonctions buccales (réflexe d'ouverture mandibulaire[18], déglutition, mastication, phonation, etc.), la proprioception dentaire joue un rôle prépondérant dans le développement et la maturation des structures de la face : hauteur clinique des dents (permutation, éruption, occlusion), volumes osseux (crêtes alvéolo-dentaire, arcades alvéolaires, os basal) et perméabilité des cavités (fosses nasales et respiration, sinus maxillaires et ventilation).
La boucle récepteur-afférence-SNC-efférence-effecteur constitue l'« arc réflexe » le plus court. Cet arc réflexe « pur » n'est jamais modifiable par la volonté de l'individu. Il n'y a aucune demi-mesure : c'est la « loi du tout ou rien » (neurophysiologie). Pour la déglutition (amniotique, puis salivaire), les arcs réflexes se mettent en place dès le quatrième mois de la grossesse (G. COULY).
Le réflexe court, « métamérique » ou la plus petite unité neurophysiologique fonctionnelle, se distingue d'un automatisme acquis, ou construction progressive d'une interdépendance automatisée entre plusieurs métamères et les centres supérieurs (bulbe rachidien, cerveau, cortex). La volonté de l'individu est sans effet sur tous les réflexes purs (temps pharyngien de la déglutition), alors que celle-ci peut moduler (éduquer) un automatisme acquis, tel le chuintement, par des exercices de myothérapie fonctionnelle ou « MTF » (Logopède, Orthophoniste).
Chuintements célèbres : Winston Churchill (vidéo), Sophie Favier (vidéo1, vidéo2), Isabelle Mergault (vidéo), Laurent Ruquier (vidéo), Béatrice Schönberg (vidéo), etc.


- Système d'aplomb et boucle de rétroaction. La mâchoire supérieure est solidaire du crâne : sa position de repos (physiologique[11]) dépend de la posture statique de la tête (m. du cou, m. de la nuque). Chez le même individu en position verticale, immobile et stable, il n'existe pas une seule et unique, mais bien des positions de repos de la mandibule[19],[20],[21]. Indépendantes de la posture de la tête et du type morphologique du visage[22], celles-ci coïncident à une gamme de positions physiologiques des condyles[23].
- Au(x) repos physiologique(s), la mâchoire inférieure, ou Mdb, est mobilisable autour des articulations temporo-mandibulaires et est suspendue dans un hamac musculaire (RMDA[11]). Ce sont les muscles manducateurs : muscles masticateurs (m. masséter, m. temporaux, m. ptérygoïdiens interne et externe) et leurs antagonistes (m. sus-hyoïdiens, m. sous-hyoïdiens). Sur terre, le poids de la mandibule est soumis à la force constante de la gravité (g) et quelle que soit sa position spatiale réflexe, dictée par l'alternance travail / repos des muscles agonistes et antagonistes.
- Système d'action et boucle de prévision. Le mouvement postural[24] en RMDA[11], ou postures dynamiques réflexes, est influencé / régulé par la proprioception et, notamment, les mécanorécepteurs dentaires (« sensibilité tactile fine »[16],[17]), les fuseaux neuromusculaires et les récepteurs articulaires. Le principal but de ce jeu réflexe est de consommer le moins d'énergie possible pour réaliser le même travail : économiser l'énergie biologique (adénosine triphosphate, ATP).
- Les interrelations réflexes, statiques et dynamiques[24], sont multiples entre la posture de la mâchoire inférieure, l'occlusion dentaire et la position du corps (tête, tronc, membres). Malgré des contradictions multiples dans la littérature scientifique :
« L'occlusion dentaire (réflexe) contribue différentiellement au contrôle postural, sans effet dans les conditions posturales statiques, mais une dégradation dans les conditions dynamiques[24]. »
L'exposé présenté ici s'occupant des réflexes sous influence constante de la gravité terrestre (patient assis ou debout), cette conclusion intéresse autant les mouvements mandibulaires dans l'espace, que l'équilibre postural statique dont la position de repos physiologique de la mâchoire inférieure.


Et ce, quelle que soit la position de chaque dent sur les arcades dentaires (« position relative »), ou même la relation occlusale entre celles-ci. Par contre, l'Espace libre dépend autant de la position relative de chaque dent sur chaque arcade dentaire, que de la posture de repos physiologique de la mandibule associée à la constante « gravité terrestre » (g). On peut donc déduire que la position de repos physiologique de la mandibule est elle-même une constante.
L'Espace libre physiologique est de ± 1,6 millimètre (B. Jankelson, A. Jeanmonod) et c'est une des composantes de la déglutition salivaire « en dents serrées » : élévations linguales dans le palais.
L'unique façon de réduire la hauteur de l'espace libre (constante) et de diminuer l'épaisseur (hauteur) des interpositions linguales, voire de s'opposer à celles-ci, est de modifier (augmenter) la hauteur relative des dents, ou hauteur clinique.
La déglutition atypique et ses interpositions linguales, ou étalements horizontaux, n'existent que lorsque cet Espace libre est largement supérieur à la norme, soit de 4 à plus de 10 millimètres.
Les interrelations physico-biologiques saines entre les « membres » maxillaires vont donc influencer la croissance des structures osseuses et, par là, le mode de déglutition salivaire. Conclusion : le rôle du praticien est fondamental pour intercepter, au moment de la puberté de l'enfant, la déglutition infantile et favoriser la mise en place d'une déglutition salivaire physiologique « en dents serrées » : stimulation des propriocepteurs desmodontaux et élévation / stimulation réflexe de la langue dans le palais (1500 à 2000 déglutitions salivaires quotidiennes), favorisant / induisant la croissance des mâchoires, du palais, des fosses nasales (respiration nasale) et des sinus (ventilation).
Dimensions verticales
État actuel des connaissances :
- Position orthostatique. Chez l'adulte en position verticale de repos, debout ou assis, et le regard fixé à l'horizon, la physiologie neuromusculaire indique une position de repos constante et reproductible pour chaque muscle manducateur. En croissance osseuse nulle, on peut donc raisonnablement estimer que la dimension verticale de repos (DVR) est également constante. La position de repos physiologique de la mâchoire inférieure peut ainsi servir de référence spatiale, stable et reproductible (voir : 3.6 Contrôle postural réflexe).
- La position de repos physiologique de la mandibule[25] n'est pas unique. Dans les conditions physiologiques : à chaque position stable de la tête correspond une posture énergétique de repos de la mâchoire inférieure.
- Pour d'autres : « Qu’il s’agisse de la DVO, DVR ou DVP, proposer une méthode clinique de détermination réitérable et applicable à tous les patients semble pour l’heure impossible (…) D’avis général, les méthodes utilisant la déglutition et la phonation semblent les plus intéressantes, car elles font appel à des fonctions qui restent stables tout au long de la vie »[26] (voir : 6.2 Analyse fonctionnelle des signes).


Au cours de la croissance de l'enfant, une multitude de facteurs tendent à s'opposer à l'occlusion réflexe des arcades dentaires lors de la déglutition salivaire, ou déglutition physiologique en dents serrées[6].
Auxologie[27] (France) : « Le développement d'un enfant jusqu'à l'âge adulte est le résultat de phénomènes de croissance et de maturation. Ces derniers sont essentiels et vont moduler le tempo des différentes phases de croissance[27] (…) La taille cible (…) Sur le fond génétique, familial et ethnique, pratiquement toutes les maladies de l’enfance peuvent limiter la croissance et faire que le potentiel génétique ne puisse être exprimé complètement. Parmi ces maladies, citons :
- 1. Les infections à répétition : infections ORL dites banales, gastro-entérites épidémiques… ;
- 2. Toutes les maladies chroniques de l’enfance : cardiopathies, insuffisance rénale, maladies digestives, malabsorbtion, malnutrition, maladies métaboliques, inflammatoires, infectieuses, hématologiques, cancers de l’enfant[27],[28]… »
- Ces infections à répétition et ces maladies chroniques font fréquemment partie de l'anamnèse liée à la déglutition infantile, prélude de la déglutition atypique de l'adolescent. La répétition des infections des voies respiratoires (nez, bouche, gorge, larynx, bronches) favorise grandement la respiration buccale : quel enfant ou adolescent ne s'est pas entendu répéter « Ferme ta bouche ! » ?
- Une fois la gencive percée, la dent poursuit une éruption passive, jusqu'au moment où elle va rencontrer un obstacle :
- 1. Soit la langue et ses 1500 à 2000 interpositions linguales quotidiennes de la déglutition infantile ;
- 2. Soit la dent antagoniste = déglutition physiologique de la salive, ou déglutition salivaire « en dents serrées ». Ceci est impossible, puisqu'il existe une déglutition infantile chez l'enfant et l'adolescent.
- Donc, à l'issue de la phase de permutation dentaire (de 6 à 14 ans), la dent en éruption doit parcourir une distance minimale pour lui permettre d'atteindre le plan d'occlusion idéal (physiologique) autorisant une déglutition salivaire « en dents serrées ». Or, les interpositions linguales de la déglutition infantile (atypique) engendrent aussi des contraintes verticales : ces forces, de même direction mais de sens opposé, freinent ou arrêtent cette éruption « passive » des dents en deçà dudit plan d'occlusion physiologique = « dents trop petites »[29],[30],[31].
Le potentiel de « croissance » et de « maturation » (Auxologie[27]) concerne aussi le complexe dent-os alvéolaire. Celui-ci est supporté par une base osseuse, maxillaire et mandibulaire. La croissance de la base de la mâchoire inférieure se termine vers l'âge de 17 ans et cette limite du potentiel de croissance de l'os mandibulaire correspond à la fin du pic pubertaire de la vitesse de croissance[27].
Pour profiter de ce potentiel de « croissance » et de « maturation » entre 6 et 17 ans, l'interception thérapeutique consiste à créer, au moment le plus propice (puberté précoce), les conditions préfigurant une déglutition salivaire physiologique et l'initiation de la proprioception desmodontale responsable d'un comportement musculaire adéquat. Quel que soit le procédé utilisé chez l'enfant ou l'adolescent (déglutition infantile), il faut augmenter artificiellement la hauteur des dents, lactéales ou permanentes, par tout moyen, amovible ou fixe, et par un dispositif en port continu, soit vingt-quatre heures sur vingt-quatre.
En vitesse de croissance[27] nulle chez l'adulte, le principe précédent restera le même pour traiter les dysfonctions posturales liées à la déglutition dite atypique : il faut également augmenter la hauteur clinique des dents, mais dans ce cas (croissance nulle), par des artifices prothétiques onéreux (plan de morsure, couronnes artificielles, prothèses fixes).
La langue dans la déglutition salivaire
Chez l'adulte, le réflexe de déglutition salivaire se manifeste de 1500 à 2000 fois par jour pour permettre le transit d'un peu moins d'une demi tonne par an de liquide : c'est la fonction buccale la plus énergivore.
La déglutition salivaire infantile, et ses multiples interpositions linguales quotidiennes entre les deux arcades dentaires (enfant, adolescent), devraient laisser la place, chez l'adulte, à une déglutition en dents serrées avec élévations et pressions linguales dans le palais, ou déglutition salivaire physiologique (syn. déglutition fonctionnelle). Ce n'est le cas que pour moins d'un quart de la population.
Cependant, être porteur d'une déglutition atypique, pour plus de 75 % de la population, ne conduit pas nécessairement l'être humain mûr dans la maladie occlusale ou dans la perte de ses relations sociales : encore faut-il un élément déclencheur des signes cliniques, tel une perte dentaire prématurée (infection, accident), une obturation dentaire non conforme aux données acquises de la science (malocclusion iatrogène), une intubation trop musclée d'anesthésie générale (luxation d'une ATM), etc.
Selon le degré de croissance verticale des dents et de son parodonte, lors de l'éruption et de la permutation dentaire (DVO, Espace libre), le réflexe de déglutition salivaire pousse la langue :

- soit horizontalement :
- entre les arcades gingivo-dentaires. C'est l'interposition linguale de la déglutition infantile, dite déglutition atypique ou déglutition dysfonctionnelle chez trois quarts des adultes. Elle induit le chuintement phonétique(Vidéo2). Agissant de la sorte :
- la langue pousse verticalement sur les dents en éruption dans la cavité buccale (permutation dentaire, six à quatorze ans) ; ce qui arrête prématurément l'émergence clinique de la dent (dents trop petites)[29],[30],[31]. De même, le développement, vertical et horizontal (transversal), et la maturation des os et des cavités de la face est prématurément suspendu : encombrements dentaires, os alvéolaire et bases maxillaires trop petits (espace libre[32] trop grand, infraclusion organique[6]), fosses nasales (respiration buccale) et sinus maxillaires étroits ;
- la langue pousse horizontalement sur les dents (empreintes dentaires sur les bords de la langue), ce qui les déplace sur l'arcade dentaire (migrations, malpositions, encombrements). En fin de traitements ODF, elle est responsable du taux élevé de récidives orthodontiques[33].
- entre les arcades gingivo-dentaires. C'est l'interposition linguale de la déglutition infantile, dite déglutition atypique ou déglutition dysfonctionnelle chez trois quarts des adultes. Elle induit le chuintement phonétique(Vidéo2). Agissant de la sorte :
- Dans tous les cas, la déglutition atypique et ses multiples interpositions linguales quotidiennes contrarient la croissance et le développement alvéolo-dentaire, ainsi que celui des mâchoires (bases osseuses) et des organes voisins, tels oropharynx, fosses nasales, sinus maxillaires, sphénoïde. Dans le tableau clinique, on remarque un palais étroit et profond du respirateur buccal, associé aux malpositions dentaires, aux fréquentes infections respiratoires, y compris estivales, aux allergies diverses, aux ronflements (apnée du sommeil) et aux acouphènes.

- soit verticalement :
- dans le palais. la langue exerce, 1500 à 2000 fois par jour, des pressions centrifuges sur les parois alvéolaires du palais osseux : croissance, développement et maturation des os maxillaires et palatins. C'est la déglutition salivaire physiologique ou déglutition fonctionnelle, dite en dents serrées ;
- la déglutition physiologique en dents serrées concerne moins d'un quart de la population adulte : l'observation des sujets au cours de la déglutition révèle de façon étonnante que seulement 17 % des étudiants ont une déglutition normale (N=15) (…) En ce qui concerne la phonation, celle-ci a été jugée normale chez 28 % des sujets. Ce résultat est à considérer avec précaution car il ne faut pas oublier que la langue officielle de l'Équateur est l'espagnol, et donc que les appuis et positions linguaux sont différents de ceux existant pour la pratique de la langue française[34].
Travail lingual : sens et direction
- Comment transiter de la déglutition infantile à la déglutition physiologique ?
- La déglutition salivaire, infantile (enfant) et atypique (adolescent, adulte), se caractérise par 1500 à 2000 interpositions linguales entre les arcades dentaires. De plus, cet épanchement horizontal de la langue favorise des pressions verticales sur les faces triturantes (occlusales) des dents permanentes en éruption (permutations dentaires de 6 à 14 ans) : ces pressions axiales freinent et arrêtent prématurément l'éruption des dents[29],[30],[31] et c'est une des causes de l'infraclusion organique[6] : les dents permanentes restent enfouies dans la gencive. Cliniquement, elles apparaissent « trop petites » .
- Au cours de cette permutation dentaire (enfant, adolescent), toute augmentation artificielle temporaire de la hauteur clinique des dents permute le mouvement horizontal originel de la langue (déglutition infantile) en une transposition verticale (crâniale), accompagnée de pressions centrifuges sur la voûte palatine et ses parois osseuses (os alvéolaire). L'élévation linguale de la déglutition salivaire physiologique est provoquée par une adjonction iatrogène de résine composite, ou « plombage blanc », matériau collé sur les faces occlusales (triturantes) de deux molaires, lactéales ou permanentes. C'est le principe des réducteurs d'espace interocclusal de repos, ou REIOR (1999).
- Direction du travail lingual et REIORs :



- La direction horizontale du travail lingual (déglutition infantile, déglutition atypique) devient verticale (déglutition physiologique) par l'adjonction de deux REIORs, de 3 à 6 millimètres d'épaisseur, sur les faces occlusales de deux molaires, gauche et droite, lactéales ou permanentes. Modifier la direction du travail lingual supprime tout zézaiement et chuintement, rend les lèvres plus lipues et réduit agréablement le double menton. Quel que soit l'âge du patient, la présence des REIORs ne contrarient nullement la mastication, ni l’imprégnation salivaire des aliments.
- Les REIORs successifs déclenchent des stimuli dentaires (proprioception desmodontale, sensibilité tactile des dents) qui modifient le comportement musculaire (muscles manducateurs, langue). Dans la voûte palatine, la modification du sens et de la direction du travail lingual a des répercussions très favorables sur la croissance et la maturation des cavités (fosses nasales, sinus maxillaires) et des organes de la face, dents et os (os alvéolaire, bases maxillaires).
- Ce développement (croissance et maturation) se marque aussi bien dans le plan sagittal et frontal, que dans le plan transverse ou plan occlusal : le palais devient large et peu profond en quelques années. Il correspond à une expansion périmétrique de l'arcade alvéolaire ; une croissance propice à un alignement spontané des organes dentaires.
- L'emprise du couple de REIOR sur l'espace libre physiologique a plusieurs effets :
- 1. Il stimule la réception tactile des mécanorécepteurs du parodonte des dents « porteuses ». Ceci modifie le comportement musculaire et, notamment, celui de la langue qui s'élève et se presse contre le palais osseux (os maxillaire, os palatin), les procès alvéolaires et les face palatines des dents (pressions centrifuges) ;
- 2. Lors de la phase de permutation dentaire, il permet la reprise de la phase éruptive des dents permanentes (définitives), accompagnées par la croissance et maturation de leur os alvéolaire ;
- 3. Initialement étroit et profond, le palais suit une expansion transversale, profitable à une meilleure mise en place des dents et sans aucune intervention iatrogène d'orthodontie, amovible ou fixe (ODF[35]).

- Dans le cas de plusieurs REIORs posés entre avril 2005 et décembre 2010 chez une adolescente (DN 06/07/1994), on constate :
- 1. Une faible augmentation antéro-postérieure du segment « A - B » (5,88 %) ;
- 2. Une diminution de l'angle formé par la face vestibulaire de l'incisive centrale et le plan frontal ;
- 3. Une diminution notable du diastème inter incisif, ou « signe de richesse » ;
- 4. La permutation des canines (10 ans) entraîne une augmentation significative de la distance inter canines et une mésialisation des cuspides canines, ou [(E - F) x 2] ;
- 5. Le déplacement peu significatif (5,88 %) de la cuspide linguale de la première prémolaire ;
- 6. Une augmentation significative de la distance inter molaires [(C - D) x 2] de 74 pixels dans le plan frontal : c'est le témoin de l'expansion transversale des tissus osseux (palais, sinus maxillaires et fosses nasales) et le patient témoigne d'une facilitation de la respiration nasale ;
- 7. Sous la distance « A - B » constante et « C » pris comme point de référence géométrique (2005), l'augmentation de la surface palatine correspond au couloir compris entre les deux lignes bleues superposées sur le cliché du 13-04-2005.
- A contrario : cette reprise spontanée de l'éruption dentaire confirme que les 1500 à 2000 interpositions linguales quotidiennes de la déglutition dysfonctionnelle, infantile ou atypique, arrêtent prématurément l'évolution des dents permanentes dans la cavité buccale.
- Les principales conséquences d'une persistance de la déglutition salivaire infantile sont :
- 1. Une faible hauteur clinique (visible) des dents naturelles ;
- 2. Un Espace libre trop grand et occupé par les interpositions linguales ;
- 3. Des mécanorécepteurs dentaires (parodonte) toujours exemptés de toute stimulation occlusale supraliminaire (le patient ne mastique pas sa langue) ;
- 4. Une étroitesse du contenant osseux, ou arcade alvéolaire, qui est secondairement responsable d'encombrements et malpositions dentaires ;
- 5. Une persévérance, chez plus de 75 % des adultes, d'une déglutition salivaire dysfonctionnelle, ou déglutition « atypique » ; facteur potentiellement responsable de dysfonctions neuromusculaires (SADAM, DAM, STM, etc.), d'acouphènes, de gênes, de crampes musculaires, de douleurs posturales et d'une perte des relations sociales, familiales et professionnelles.
Diagnostic
- De 0 à 6 ans, on ne connaît aucun signe ou symptôme lié aux effets potentiels de la déglutition infantile sur les dents lactéales.
- Cependant, il existe des habitudes néfastes qui entretiennent la déglutition infantile : sucer le pouce ou le coin de l’oreiller, l’onychophagie (ronger ses ongles), etc. L’enfant doit s’en déshabituer et de manière la plus douce possible. La méthode du « calendrier à grands chiffres », par exemple, avec le soleil (pas de pouce en bouche pendant vingt-quatre heures) ou un nuage orageux pour les jours de « distractions » (logopédie, orthophonie).
- Par contre, de 6 à 14 ans, phase de permutation dentaire, plusieurs conséquences pathologiques peuvent naître chez 15 à 17 % d'adultes à la suite de la persistance de la déglutition infantile et ses 1500 à 2000 interpositions linguales quotidiennes (voir: Vidéo2, un court extrait du document Vidéo1 original). Pour mémoire, la présence d'un signe ne signifie pas être porteur d'une maladie :

- Proprioception dentaire - Elle est quasi inexistante lors de la déglutition infantile chez l'adolescent : elle résulte des pressions verticales de la langue sur les dents permanentes en éruption. Ces pressions verticales entraînent une infraclusion organique[6], ou arrêt prématuré de l'éruption des dents permanentes, au cours de la phase de permutation dentaire ;
- Béance - Il existe un espace vertical libre entre les dents en intercuspidation maximale volontaire. L'espace résulte des puissantes pulsions linguales centrifuges (interpositions linguales), responsables de l'arrêt prématuré de l'éruption (dents trop petites) ou de versions dentaires. Les incisives peuvent ainsi soulever la lèvre supérieure, ou éversions vers l'avant (incisives « en chasse-neige »). La béance canine induit le bruxisme des dents voisines (usures prématurées). L'occlusion des arcades dentaires dévoile une supraclusion antérieure, ou large recouvrement vertical des incisives inférieures par les dents supérieures ;
- Respiration buccale - La perméabilité réduite des cavités nasales et des sinus maxillaires entraîne une stagnation des sécrétions et infections répétées des muqueuses. L'hypoxie et la souffrance respiratoire sont la règle et l'adolescent ne sera jamais favorisé pour le sport de haut niveau ou les compétitions ;
- Infraclusion organique[6] - La hauteur clinique des dents est verticalement « trop petite » au niveau des prémolaires et molaires (Vidéo2) et l'Espace libre est « trop grand », ce qui induit des malocclusions, des dysfonctions, des fatigues musculaires (gènes, douleurs, crampes), une égression du bloc incisivo-canine inférieur (éruption exagérée) et des béances dentaires (absence de protection canine, bruxisme et dents cuspidées plates). Une réduction de 3 à 4 mm de la distance interocclusale implique une forte réduction de l'activité des muscles masticateurs[36] ;
- Récidives orthodontiques - Après les éventuelles extractions préventives d'un traitement ODF pour créer de la place (encombrements dentaires), les pressions linguales horizontales repoussent des dents, parfaitement alignées par le traitement orthodontique, vers leur malposition originelle sur l'arcade dentaire. Pour pallier ce phénomène, on suggère, officiellement depuis 2003[37], une « contention à vie », ou fil métallique collé sur les faces linguales des dents. Mais, pareil assemblage permanent interdit toute hygiène proximale (entre les dents) ; d’où le risque élevé de caries inter dentaires et de parodontopathies ;
- Dysfonctions - Le contact proprioceptif est un garde-fou réflexe de la fonction neuromusculaire : il préserve les structures anatomiques. L'absence de proprioception entraîne aussi un hypodéveloppement des structures anatomiques (os de la face), ou une fatigue musculaire qui se traduit progressivement par des gènes, douleurs et crampes posturales (SADAM, DAM, STM, etc.). Avec une prédominance unilatérale, le patient décrit ces symptômes tant au niveau de la bouche, qu'au niveau de la nuque, du tronc ou des membres (épaules) ;
- Teeth Contacting Habit (TCH) - Seule la clinique montre que certains patients peuvent prendre la fâcheuse habitude (tic) de toucher les arcades dentaires, supérieure et inférieure, entre elles. Il en résulte des douleurs musculaires (posture) et des désordres temporomandibulaires[38],[39] ;
- Perte iatrogène des références naturelles - Avec ou sans implant dentaire, divers travaux prothétiques importants ont été réalisés en bouche, mais il n'a pas été suffisamment tenu compte des relations physiologiques entre les deux mâchoires. La « sanction » thérapeutique est unique : il faut tout démonter et recommencer tous les travaux dans les seules conditions physiologiques, précises au millième de millimètre « sensibilité tactile fine »[16],[17] des dents) et objectivées par un PMRI-PO provisoire (voir « 8.5 » ci-dessous) ;
- Apnée du sommeil ou syndrome d'apnées obstructive du sommeil (SAOS), liés à la laxité musculaire de l'oropharynx et au défaut de croissance des organes buccaux (dents, os maxillaires, fosses nasales et sinus) ;
- Acouphènes. L'étiopathogénie est floue. Leur apparition est souvent associée à la présence d'une maladie occlusale, mais le traitement dentaire ne résout pas toujours le « tinitus ». Par contre, le stress est le facteur aggravant par excellence et commun à ces deux maladies.
- Épuisement, physique et psychologique - Les douleurs continues contrarient le caractère réparateur du sommeil : nuits blanches, sommeil agité, apnées du sommeil, somnolences diurnes, etc. Cet épuisement, physique et mental, aggrave les signes et les symptômes de la maladie fonctionnelle ;
- Relations sociales - Le stress est permanent. À la longue, l'épuisement, physique et psychologique, perturbe l'activité diurne et les relations sociales de l'individu.
Analyse fonctionnelle des signes
- État général du patient : démarche lente, parle entre ses dents, cage thoracique fermée, peu sportif, fatigue générale, somnolence, épuisement, historique médical considérable, perte de confiance en lui-même, patient déprimé, perte totale de confiance dans la médecine, susceptible sur l'efficacité des soins, le patient a « déjà tout tenté » mais « rien ne marche », etc.
- Analyse vidéographique numérique[40] :
- méthode[26] :
- appareil photo de 4 mégapixels ou plus, autorisant la réalisation d'enregistrements vidéos numériques, à 16 (4Mpx) ou 30 (8Mpx) images par seconde,
- placé à deux mètres du patient, l'axe de visée de l'objectif est l'intersection entre le plan d'occlusion (horizontal, transversal) et le plan sagittal (vertical médian),
- une approche « zoom » est réalisé pour cadrer à partir du point sous nasal (ENA) jusqu'à l'échancrure supérieure du sternum[41] (comportement du muscle peaucier du cou, ou platysma),
- faire prononcer les mots « Mississippi, Feuille, Faufiler, Filature » en boucles continues, à haute et intelligible voix et en succession très rapide des mots (éviter les adaptations volontaires),
- de temps à autre, entrecouper le temps de paroles par des déglutitions salivaires : la bouche est sèche en cas de déglutition atypique et le patient peine pour déglutir le peu de salive.
- observations, images après images[42] :
- contractures parasites (nerf VII), asymétries multiples et inclinaisons de la tête (modifications de la posture). Ce sont les témoins des souffrances musculaires et respiratoires :
- muscles peauciers des lèvres, menton et joues : (a)symétrie des différentes zones cutanées par rapport au plan sagittal médian,
- contracture des muscles de la lèvre supérieure et incompétence labiale supérieure pour fermer l'orifice buccale : bouche toujours entrouverte et laissant apparaître la langue,
- niveau des plicatures labio-géniennes, plicatures labio-nasales, plicature labio-mentonnière, etc.,
- état de crispation des plans musculaires peauciers (nerf VII), au niveau de la face et au niveau du cou (muscle platysma),
- évaluation des symétries labiales lors de l'ouverture et de la fermeture de la bouche,
- évaluation de la position et de l'épaisseur des interpositions linguales entre les deux arcades dentaires (occlusions linguales), lors de la phonation et lors de la déglutition salivaire,
- évaluation de l'Espace libre moyen, entre les incisives supérieures et inférieures,
- évaluation des phases respiratoires : respiration continue lors de la phonation ou le patient s'arrête longuement de parler pour pouvoir « gober l'air ambiant », ou temps mort phonétique accompagnant une inspiration profonde buccale,
- évaluation des plans cutanés et profonds lors de la déglutition salivaire, associé ou non à un mouvement de bascule vers l'avant de la tête,
- compter le nombre d'images nécessaires pour réaliser une déglutition salivaire complète : moins de 25 images dans le cas d'une déglutition physiologique.
- méthode[26] :
Fig. 12. Déglutition salivaire : commissures labiales, plis cutanés, plongeon caudal de la langue (« double menton ») et platysma gauche.
Fig. 12'. Déglutition salivaire : action des muscles peauciers (nerf VII) au début de l'enregistrement vidéo.
Fig. 13. Déglutition salivaire nonante seconde après la Fig. 9' : bouche sèche et contractions musculaires plus intenses (plastron mentonnier).
Fig. 13'. Déglutition salivaire : perte de la symétrie des mouvements et déviation mandibulaire droite.

- Alors qu'ils devraient être au repos (déglutition physiologique), activité permanente des muscles faciaux (nerf VII), lors des différentes fonctions buccales (déglutition, phonation, mastication, etc.). C'est le témoin involontaire d'une souffrance de l'individu.
- De cette activité parasite du nerf facial (VII) résulte une asymétrie fonctionnelle de l'orifice buccal, une lèvre supérieure hypertonique et incompétente pour fermer l'orifice buccal, lèvre inférieure éversée, crispations des muscles du menton (« plastron mentonnier »), sillon labio-génien marqué, disparition du vermillon des lèvres, pincement des lèvres, ridules labiales multiples, irritations cutanées des commissures (perlèches) et extrémités labiales tombantes.
- Égression relative du bloc incisivo-canin inférieur[43], visiblement accentuée par une infraclusion organique[6] des dents cuspidées inférieures (prémolaires et molaires) (Fig.11).
- Difficulté d'élévation linguale, face linguale supérieure concave (hyperactivité du muscle génioglosse). En bouche largement ouverte : impossibilité de coller la pointe de la langue sur le palais ou derrière les incisives.
- Palais ogival ou « étroit et profond » (Fig. 8 et 14).
- Ouverture buccale normale (physiologique) = 45 à 55 millimètres. La fatigue musculaire réduit cette amplitude (Fig. 15).
- Empreintes dentaires sur les bords latéraux de la langue (Fig. 16).
- Espace phonétique occupé par une interposition linguale (Fig. 16 et 17).
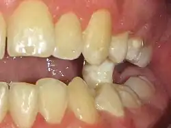
Fig. 14. KA, adulte, plaintes multiples, bridge de 13 éléments (couronnes). Palais ogival, étroit et profond.
Fig. 15. KA, adulte, plaintes multiples. Ouverture buccale limitée à 35 mm.
Fig.16. KA, adulte, vidéographie numérique, image 2375 et 2377. Empreintes dentaires, large espace phonétique et interposition linguale.
Fig.17. KA, adulte, vidéographie numérique, image 2682 et 2683. Espace phonétique réduit et interposition linguale étendue.
Examens complémentaires facultatifs
- Moulages en plâtre des arcades dentaires et mensurations
- Orthopantomographie des maxillaires
- Téléradiographies des os de la face (profil, face) et mensurations (ODF)
Les moulages et les clichés radiographiques sont une documentation chronologique, mais ils n'apportent aucune information sur le plan (dys)fonctionnel (réflexe).
Cahier des charges de l'interception de la déglutition atypique
Au cours de la croissance de l'enfant, une multitude de facteurs tendent à s'opposer à l'occlusion réflexe des arcades dentaires :
- Chez l'enfant, la déglutition salivaire est la forme élaborée de la déglutition amniotique (originelle, ancestrale) du fœtus : d'emblée, on ne peut incriminer l'interposition linguale entre les deux procès alvéolaires, supérieur et inférieur, comme étant la source des maladies de la fonction buccale. Néanmoins, il faut toujours garder à l'esprit l'absence totale de toute stimulation proprioceptive des dents lors de la déglutition. En effet, tout contact entre les arcades dentaires lors de la déglutition salivaire ôterait son caractère dysfonctionnel.
- Ce n'est qu'avec l'apparition des dents, lactéales d'abord (enfant de 0 à 4 ans), mais surtout permanentes (adolescent, de 6 à 14 ans), que cette interposition linguale peut devenir, non pas la source (étiologie), mais un facteur prédisposant ou aggravant des pathologies fonctionnelles de l'appareil masticateur (syn. « appareil manducateur »).
- La phase de permutation dentaire se clôture variablement aux alentours du pic pubertaire de croissance[44] (Fig.6 et 7). C'est donc au cours de la puberté que peuvent s'installer les conditions qui feront, ou non, basculer la déglutition infantile physiologique dans le rang pathologique des causes fonctionnelles (dysfonctions) : malocclusions, encombrements dentaires, SADAM, DAM, STM, etc.
- Interpositions linguales : depuis la percée de la gencive, les dents définitives poursuivent une éruption passive jusqu'à toute occlusion (contact). Quelle occlusion ? Non celle avec la dent antagoniste (déglutition physiologique), mais bien celle des 1500 à 2000 pressions verticales quotidiennes de la langue sur les arcades dentaires. Il s'ensuit un ralentissement, suivi d'un arrêt prématuré de l'éruption de la dent définitive (Fig.1 et 2).
- Ainsi se perpétuent, chez l'adolescent et l'adulte, les interpositions linguales de la déglutition « infantile », devenue fonction « atypique » seulement à cause de l'âge civil du patient. Cependant, il faut également remarquer, avec bonheur, que le constat de signes cliniques (interpositions linguales) ne conduit pas nécessairement l'individu dans le syndrome de la maladie occlusale : seuls 15 à 17 % de la population adulte en sera atteinte.
- Cahier des charges d'une interception de l'interposition linguale au cours du réflexe de déglutition salivaire :


C'est avant et pendant le pic pubertaire que doivent intervenir les interceptions en ODF ou en Bio-Orthodontie[45]. La phase de croissance systémique du pic pubertaire doit être mise à profit pour solliciter la reprise de l'éruption dentaire passive et rendre possible le passage de la déglutition infantile à la déglutition physiolgique « en dents serrées ».
Les interpositions linguales induisent l'arrêt prématuré de l'éruption passive des dents dans la cavité buccale. L'interception consiste à créer le contact dento-dentaire antagoniste par réduction brutale d'un Espace libre trop grand. Ce contact entre des dents antagonsite stimule les mécanorécepteurs de la proprioception desmodontale (sensibilité tactile inconsciente[16],[17],[46],[47]).
Donc : avant tout traitement iatrogène d'orthodontie (ODF), fixe ou amovible, est le bienvenu tout artifice intrabuccal non-actif (« passif ») qui, simultanément :
- 1. Simulera, automatiquement (réflexes) et vingt-quatre heures sur vingt-quatre (jour + nuit), la réduction suffisante de l'Espace libre, de sorte à rendre ce dernier semblable à celui rencontré dans les conditions de repos physiologique des muscles posturaux des mâchoires, soit 1,6 millimètre[48],[49] ;
- 2. Stimulera les mécanorécepteurs périodontaux lors de l'intercuspidation maximale (Fig. 18) des 1500 à 2000 déglutition salivaire quotidiennes (« occlusion réflexe » et déglutition physiologique « en dents serrées ») ;
- 3. Stimulera une élévation linguale dans le palais (Fig. 19) en remplacement de l'interposition horizontale de la langue entre les deux arcades dentaires (déglutition infantile, déglutition atypique), et ;
- 4. Agira biologiquement et indépendamment de toute influence ou ingérence iatrogène (dentiste, logopède ou orthophoniste).
La méthode du réducteur d'espace interocclusal de repos (REIOR, Bio-Orthodontie, 1999) remplit simultanément ces quatre conditions.
Prise en charge de la déglutition atypique
Modèle du hamac musculaire. Son poids étant soumis à la gravité terrestre (g), la mandibule (Mdb) est suspendue dans son hamac musculaire et elle se balance sous le maxillaire supérieur fixé au crâne (Fig. 4). L'activité musculaire conditionne la position réflexe de la mâchoire inférieure : c'est une alternance de travail / repos entre les muscles agonistes et les muscles antagonistes (muscles manducateurs) du hamac.
Tous les muscles du hamac ont une position de consommation énergétique minimale : c'est le repos physiologique. La mandibule est « au repos physiologique » lorsque tous ses muscles manducateurs le sont eux-mêmes : c'est une référence spatiale physiologique, stable et parfaitement reproductible (A. Jeanmonod[6]).
En dehors des rares commandes volontaires quotidiennes (fonctions buccales), la position mandibulaire n'est gérée que par les réflexes, proprioceptifs ou autres. Et notamment, par la sensibilité tactile fine des dents (proprioception desmodontale, précision 0,001 millimètre)[50].
Déglutition salivaire infantile : l'interposition linguale se manifeste, 1500 à 2000 fois par jour (une fois par minute), par un étalement horizontal entre les deux arcades dentaires, supérieure (maxillaire) et inférieure (mandibulaire).
Interception de la déglutition infantile : l'objectif est de transformer, au plus tôt (âge : 4-6 ans), l'étalement horizontal de la langue (déglutition atypique) en une élévation verticale réflexe de celle-ci dans le palais (déglutition physiologique, dite « en dents serrées »).
Déglutition salivaire physiologique. La durée d'une occlusion des arcades dentaires est de 485 milliseconde par minute, soit une durée maximale de 15 minutes par jour. Le temps restant, les muscles manducateurs sont au repos physiologique et les deux arcades dentaires sont séparées par un Espace libre moyen de 1,6 millimètre (B. Jankelson, A. Jeanmonod[6]).
En bouche fermée, l'élévation de la langue dans le palais est objectivée par la lumière de Wood sur des traces linguales de fluorescéine.
Pic pubertaire de l'adolescent (Fig. 6 et 7) : l'aboutissement à l'élévation linguale réflexe dans le palais et les pressions centrifuges de la langue contre les parois alvéolaires stimulent la croissance de l'os maxillaire et de l'os palatin, ainsi que l'augmentaion de volume des fosses nasales (facilitation de la respiration nasale) et des sinus (meilleure ventilation).
Gouttière occlusale
- Cet appareil est proposé en désespoir de tout autre moyen et à la suite d'un rapide diagnostic de « SADAM », « DAM », « STM », etc.
- La gouttière occlusale est issue des concepts dogmatiques de la Gnathologie (B.B. McCOLLUM, 1924), malencontreusement associés à l'occlusion volontaire iatrogène.
- On la décrit comme un appareil de désengrènement occlusal ou de désocclusion : comme si les arcades dentaires étaient, en permanence, en intercuspidation maximale.
- Pour son concepteur, la gouttière occlusale est « équilibrée » en bouche, mais aucun Cahier des charges, rigoureux ou scientifique, n'a jamais été précisé.
- Une fois « équilibré », l'appareil est porté quelques heures par jour (port nocturne, le plus souvent) et ce, durant quelques mois.
- Parfois, la gouttière fait illusion en parvenant à soulager, durant quelques jours, quelques douleurs initiales (originelles). Mais, d'autres symptômes (subjectifs) et signes (objectifs) réapparaissent très vite.
- En réalité, la gouttière déplace géométriquement le problème occlusal sous la mâchoire supérieure, mais sans jamais le traiter.
- Aucune suite thérapeutique n'est administrée après le port de cette gouttière en résine. Comme si l'appareil agirait tel « un médicament contre la maladie occlusale ».
- Toute la technique des gouttières occlusales baigne dans l'abstrait le plus parfait.
- Fréquemment, les patients collectionnent, contre leur gré, une série onéreuse de gouttières occlusales inefficaces, avant de se rendre compte que la méthode ne fournit aucun résultat fiable à court terme.
- Le plus souvent, c'est le patient qui décide, unilatéralement, d'abandonner ce moyen et son praticien ne s'y oppose jamais.
Traitement orthodontique (ODF)
- Les traitements orthodontiques concernent plus l'alignement horizontal des organes dentaires dans le plan transversal, que les rapports verticaux entre les deux arcades dentaires, fonctionnels et asymptomatiques.
- Lors du dernier pic de croissance pubertaire[51] dans une population donnée, on doit aussi se poser la question d'une relation contraignante entre :
- La forte proportion d'enfants appareillés par des méthodes fixes ou amovibles ;
- La durée de chaque traitement ODF ;
- La liberté proprioceptive au cours de la croissance et de la maturation des organes dentaires dans leur environnement osseux et ;
- La présence ou non d'une « contention à vie »[52], rigide et permanente.
- Pour minimiser l'importance des récidives orthodontiques en fin de traitement ODF, il est souvent fait appel à la myothérapie fonctionnelle (MTF) : les résultats sont aléatoires. À défaut d'aboutir, une « contention à vie » peut être collée sur les faces linguales (internes) des dents, mais cette technique ne fait pas l'unanimité (HAS[52], décembre 2003).
Myothérapie fonctionnelle (MTF)
- Daniel GARLINER : Myofunctional therapy (Coral Gables, USA, 1981).
- La (ré)éducation linguale : les logopèdes (Belgique) et les orthophonistes (France) proposent la myothérapie fonctionnelle[53],[54], ou exercices volontaires de positionnement correct de la langue.
- La MTF est souvent prescrite au cours ou en fin de traitement ODF, mais l'efficacité reste douteuse face aux réflexes innés de la déglutition salivaire.
- Comme déjà signalé (voir 1. Définitions ci-dessus) : les exercices volontaires de myothérapie fonctionnelle (MTF) sont sans effet sur les causes objectives (étiologie anatomique et fonctionnelle) du réflexe de la déglutition atypique. Dans ce cas, les signes doivent être traités avant de prescrire les exercices volontaires de MTF.
Réducteur d'espace interocclusal de repos (REIOR)
- Historique. La méthode a été imaginée en 1999[45], à la suite d'une expérience de 15 années de traitements de la maladie occlusale chez l'adulte (plans de morsure et prothèses). Le constat de l'absence de tout contact entre les deux arcades dentaire lors de la déglutition dysfonctionnelle, infantile ou atypique, en est l'origine ou comment verticaliser le travail lingual de la déglutition salivaire infantile et créer une stimulation proprioceptive, réflexe et permanente, de la dent chez l'enfant ?
- À user sans modération, avant et pendant le pic pubertaire (Fig. 6 et 7), puisqu'il s'agit du seul et unique traitement interceptif connu, permettant de transiter d'une déglutition infantile vers la déglutition physiologique en dents serrées, sans jamais interférer avec les réflexes et toutes les fonctions biologiques.
- La patience est le maître-mot de ce traitement interceptif, totalement passif, sans aucune récidive orthodontique et patience parallèle au temps de croissance de l'enfant (4 ans) jusqu'à l'âge civil adulte (17-25 ans).
- Dès le plus jeune âge (enfant, adolescent), mise en place d'un réducteur d'espace interocclusal de repos, ou REIOR[45], sur les molaires supérieures (Fig.13), gauche et droite : deux molaires lactéales (4 à 8 ans) ou deux molaires permanentes (à partir de 10 ans).
- Suivant l'Espace libre phonétique, l'épaisseur du REIOR varie de 3 à 6 millimètres. Au-delà de ces dimensions, il faut s'attendre à des fractures de cisaillement du matériau ou à un décollement du composite.
- Si la hauteur du REIOR est importante (5 mm ou plus), on peut éviter les fractures du matériau composite en partageant le REIOR en une moitié maxillaire (supérieure) et une autre mandibulaire (inférieure).
- L'intercuspidation sur un REIOR suit les mêmes règles que la fermeture occlusale sur un plan de morsure rétro-incisif (occlusodontologie[6]) : décontraction innée de tous les muscles manducateurs et manipulation extrêmement douce par la main de l'opérateur sous la mâchoire de l'enfant ou de l'adolescent.
- La présence des nouveaux REIOR n'est perceptible que durant 24-48 heures. C'est le temps moyen d'une habituation neuronale, au cours de laquelle on conseillera une nourriture liquide ou tendre (spaghettis). Par la suite, les REIOR n'entravent nullement la mastication solide, ni l'alimentation dure de l'enfant (viande).
- La respiration nasale est rapidement améliorée et le ronflement est atténué.
- Toutes les dents permanentes, « libres d'un REIOR », se retrouvent « suspendues dans le vide » : elles reprennent une éruption dento-alvéolaire passive. Ceci confirme le ralentissement et l'arrêt du processus d'éruption buccale par les pressions verticales de la langue lors de ses 1500 à 2000 interpositions quotidiennes entre les arcades dentaires (déglutition infantile, déglutition atypique).
- En deux ou trois mois, cette éruption passive se poursuit jusqu'à l'occlusion des deux arcades dentaires antagonistes. Le procès alvéolaire accompagne le mouvement dentaire : il n'y a aucun signe de déchaussement, ni égression dentaire. On profite de cette phase mouvante pour résoudre les malpositions, dentaires (diastème ou espace entre deux dents) ou basales (articulé croisé des maxillaires).
- Pour permettre d'harmoniser la hauteur clinique de toutes les dents, plusieurs REIOR doivent se succéder sur les molaires et tous les trois à six mois. Ainsi débutés avant le pic pubertaire, les cycles de REIOR peuvent être répétés jusqu'à l'âge de 20-30 ans, si le jeune patient adulte l'accepte.
- Après ces déplacements naturels de Bio-Orthodontie, le calage occlusal (occlusion des arcades dentaires) est manifeste sur la majorité des dents (déglutition physiologique), toute récidive « orthodontique » est inexistante et les contentions à vie (2003[37]) sont totalement inutiles.
Plan de morsure rétro-incisif (PMRI)
- À partir de 17-20 ans, il n'y a plus de croissance ou de maturation naturelle (voir 3.7. Auxologie ci-avant) : seule la compensation artificielle peut transformer le réflexe de déglutition salivaire atypique et ses 1500 à 2000 interpositions linguales quotidiennes en déglutition salivaire physiologique « en dents serrées » (occlusion réflexe).
- Chez 15 à 17 % des patients, la déglutition atypique va de pair avec gênes, douleurs musculaires, crampes posturales et une dysfonction mandibulaire, ou relation mandibulaire symptomatique ; au point que les relations sociales, familiales et professionnelles, de l'individu sont fortement perturbées (SADAM, DAM, STM, etc.).
- Les seules références scientifiques, stables et reproductibles, en physiologie neuromusculaire sont :
- les réflexes neuromusculaires, ou automatismes déclenchés par une proprioception tactile inconsciente (mécanorécepteurs périodontaux)[55],[56], et
- la position des deux maxillaires lorsque tous leurs muscles posturaux sont au repos physiologique.
- L'analyse vidéographique numérique (voir « 6.2 Analyse fonctionnelle des signes » ci-avant) permet d'évaluer ces références physiologiques. Dans la déglutition atypique, l'espace libre est dysfonctionnel (trop grand). Corollairement, on estime la hauteur à ajouter aux dents naturelles pour obtenir un espace libre physiologique de 1,6 millimètre[6],[57],[58].
- Sur ce tableau clinique très sombre, un plan de morsure rétro-incisif[6] (PMRI) en résine est confectionné par le laboratoire dentaire. L'épaisseur de son plateau rétro-incisif ramène la hauteur de l'espace libre dans des conditions physiologiques (asymptomatiques). Porté vingt-quatre heures sur vingt-quatre, cet appareil provisoire est ajusté en bouche en quatre ou cinq jours, de sorte à fournir, séance après séance, un espace libre physiologique, une dimension verticale asymptomatique (DVO), les contacts canins en intercuspidation maximale (point zéro), les guidances antérieures et latérales, ainsi que in fine le calage occlusal des prémolaires et molaires (« calages postérieurs », gauche et droit). À ce stade, tous les ajustages sont terminés et le PMRI change de nom : il s’appellera dorénavant « prothèse occlusale » ou « PO » (ELOPI[43],[59]).
- La précision des contacts et guidances dentaires est de l'ordre du centième ou du millième de millimètre : c'est l'échelle de grandeur des mécanorécepteurs périodontaux (proprioception desmodontale). Toute usure de la résine du PMRI-PO reconduit le patient dans des signes de la maladie occlusale. Il faut donc remplacer la résine par un matériau plus résistant : la porcelaine.
- Le traitement par PMRI-PO en résine est provisoire[60] et, au plus tôt, il servira de « patron », comme en couture, pour réaliser la prise d'articulé fine[61] de l'armature métallique des couronnes et bridges en porcelaine (restauration permanente).
- Si l'émail des dents naturelles ne s'use pas face à la porcelaine de la réhabilitation permanente, la patient peut être assuré d'une relation maxillo-mandibulaire asymptomatique à vie.
Épidémiologie
- Prévalence : toute déglutition primaire (enfants) est susceptible de devenir une déglutition atypique chez l'adulte.
- Incidence : plus de trois quarts de la population adulte conserve une déglutition atypique, mais il faut remarquer que tous les porteurs de symptômes et/ou de signes n'aboutissent pas nécessairement dans la maladie occlusale avec « perte des relations sociales ».
- Évolution : certaines associations de signes conduisent inexorablement le patient vers la maladie occlusale, mais nul ne peut prédire le moment. Au cours de la croissance (enfant, adolescent), on peut réaliser une interception par l'intermédiaire des REIOR. Ce n'est plus possible chez l'adulte, où la croissance est devenue nulle.
- Facteurs de risque ou habitudes néfastes : succion du pouce, onychophagie, contrainte iatrogène de longue durée (gouttière occlusale, ODF), aucune activité physique, sommeil sur le ventre avec un gros oreiller coincé dans un bras, etc.
- La maladie occlusale est une des complications de la déglutition atypique. Celle-ci touche 15 à 17 % de la population adulte et se manifeste par de fréquents maux de tête, gènes, douleurs musculaires et crampes posturales, locales ou à distance des mâchoires (SADAM, DAM, STM, etc.).
Prise en charge
- Traitement médicamenteux : fortement déconseillé (myorelaxants, anxiolytiques, etc.).
- Traitement physique (« rééducation ») : faisant appel à la volonté de l'individu, il n'est efficace qu'au cours des séances de thérapie (kinésithérapie, logopédie, orthophonie, ostéopathie, etc.).
- Prise en charge sociale : bien que vital pour le patient adulte qui a perdu toutes ses relations sociales, le traitement prothétique des complications de la déglutition atypique n'est jamais pris totalement en charge par le corps médical ou par la sécurité sociale.
- Traitement psychologique : inutile s'il n'est pas précédé par un traitement dentaire adéquat et efficace.
- Associations représentatives de la maladie occlusale et des signes connexes : l'objectif principal est l'entraide entre patients. En outre, elles se proposant d'être un relais actif entre les mondes scientifique ou thérapeutique et les personnes qui souffrent d'acouphènes, de migraines ou de douleurs. Exemples : Belgique-Acouphènes, SOS-Migraines (Association France Migraine, AFM), World Headache Alliance (WHA), Céphalée-be (Ligue Belge contre les céphalées), etc.
Évolution et complications
- Complications de la déglutition atypique symptomatique : elles proviennent de symptômes de la maladie occlusale, souvent aggravée par des traitements inappropriés tels les « meulages sélectifs », les « gouttières occlusales » et des traitements orthodontiques ou chirurgicaux mal orientés.
- Évolution de la maladie sans traitement : perte des relations sociales, isolement du patient et dépression. Avant d'arriver à ces stades ultimes, le patient n'a pas peur de parcourir de longues distances pour trouver le « bon » thérapeute.
- Évolution sous traitement : l'augmentation de la hauteur des dents, la mise en place des contacts et guidances canines, ainsi que la présence d'un calage occlusal sur les dents cuspidées (prémolaires et molaires) résout plus de 80 % des symptômes et des signes grâce aux REIOR et GAL chez l'adolescent (Bio-Orthodontie) ou au PMRI-PO et prothèses en porcelaine chez l'adulte (occlusodontologie).
- Et tout cela, à cause d'une dysfonction de la langue et des dents trop petites :

Prévention, interception
- La déglutition infantile (nourrisson, enfant) n'étant pas une « maladie », il n'existe aucun traitement préventif sensu stricto (Fig.20).
- Un des objectifs du traitement interceptif de la déglutition infantile (enfant, adolescent) sera de créer, artificiellement et le plus tôt possible (à partir de 4 à 6 ans et jusqu'à l'âge adulte), une stimulation tactile réflexe des propriocepteurs desmodontaux de l'enfant ou de l'adolescent pour tenter de transformer les interposition linguales (déglutition atypique) en élévation linguale dans le palais (déglutition physiologique). C'est le but des REIOR et GAL (1999)[62],[63],[45].
Fig. 21. Déglutiton infantile du nourrisson : asymptomatique.
Fig. 22. Déglutition infantile du nourrisson : asymptomatique.
Fig. 23. Déglutition atypique de l'adulte : symptomatique.
Fig. 24. Déglutition atypique de l'adulte : symptomatique.
Notes et références
- ↑ Jeanmonod A, La responsabilité de la déglutition atypique dans l’apparition des dysfonctions de l’appareil manducateur, Bull. no 34, Acad. Natle Chir. Dent., 1989: 35-40
- ↑ [PDF] Cotton G, Occlusodontologie et Orthodontie, VJOrthod, Dr Gabriele Floria Editor, Florence (Italy): 1996
- ↑ Kratz S, La Déglutition et l'Occlusodontologie, Mémoire, Graduat en Logopédie, Institut Libre Marie Haps asbl, Bruxelles: 1996
- ↑ DiagnosisPro, 100 maladies associées à maladies de la déglutition, Free Online Differential Diagnosis Tool [en ligne] fr.diagnosispro.com Consulté le 15 décembre 2010.
- ↑ WrongDiagnosis, Swallowing difficulty, Free health-information service, Health Grades, Inc., Colorado (USA) [en ligne] WrongDiagnosis.com Consulté le 15.12.2010.
- 1 2 3 4 5 6 7 8 9 10 11 12 Jeanmonod A, Occlusodontologie, Applications cliniques, CDP, Paris (France), 1988.
- ↑ Infraclusion organique : terme d'Occlusodontologie pour désigner des dents qui n'ont pas achevé leur phase d'éruption au moment de la permutation dentaire (enfants, adolescents).
- ↑ Espace libre physiologique = espace qui sépare les dents supérieures des dents inférieures, lorsque tous les muscles des mâchoires sont au repos physiologique.
- ↑ Béance dentaire : espace vertical compris entre une dent supérieure et son antagoniste inférieure, lorsque les deux arcades dentaires sont en intercuspidation maximale volontaire (arcades en occlusion).
- ↑ Supraclusion incisvo-canine, ou overbite (en) : recouvrement important des incisives supérieures sur les incisives inférieures lorsque les arcades dentaires sont en intercupidation maximale volontaire (« occlusion »). L'espace libre est considérable = dents trop petites sur les arcades. Étiologie : déglutition infantile, devenue déglutition atypique chez le sujet adulte.
- 1 2 3 4 5 6 7 8 9 10 RMDA = relation myodéterminée asymptomatique - Jeanmonod A, Occlusodontologie, Applications cliniques, CDP, Paris (France): 41.
- ↑ Proffit WR, Prewitt JR, Baik HS, Lee CF, Video microscope observations of human premolar eruption, J Dent Res. 1991 Jan;70(1):15-8.
- ↑ Kardos TB, The mechanism of tooth eruption, Br Dent J. 1996 Aug 10;181(3):91-5.
- ↑ Pilipili MC, Contribution à l'étude de l'éruption dentaire, Thèse, Université Catholique de Louvain, Bruxelles (Belgique): 1993
- ↑ Pilipili CM, Goret-Nicaise M, Dhem A, Microradiographic aspects of the growing mandibular body during permanent premolar eruption in the dog, Eur J Oral Sci. 1998 Jan;106 Suppl 1:429-36.
- 1 2 3 4 Trulsson M, Essick GK, Sensations Evoked by Microstimulation of Single Mechanoreceptive Afferents Innervating the Human Face and Mouth, J. Neurophysiol. 103, 2010: 1741-47 - Cité par Hartmann F, Marseille (France).
- 1 2 3 4 Trulsson M, Francis ST, Bowtell R, McGlone F, Brain activations in response to vibrotactile tooth stimulation: a psychophysical and FMRI study, J. Neurophysiol. 104(4), 2010: 2257-65.
- ↑ Sherrington CS, Reflexes elicitable in the cat from pinna, vibrissae and jaws, J. Physiol., 51, London, 1917:404-431 (en)
- ↑ Jeanmonod A, Position de repos physiologique de la mandibule, Occlusodontologie, Applications cliniques, CDP, 1988 : 27-31
- ↑ Gross MD, Ormianer Z, Moshe K, Gazit E, Integrated electromyography of the masseter on incremental opening and closing with audio biofeedback: a study on mandibular posture, Int J Prosthodont, 1999 Sep-Oct;12(5):419-25.
- ↑ Ormianer Z, Gross M, A 2-year follow-up of mandibular posture following an increase in occlusal vertical dimension beyond the clinical rest position with fixed restorations, J Oral Rehabil. 1998 Nov;25(11):877-83.
- ↑ Kiliaridis S, Katsaros C, Karlsson S, Effect of masticatory muscle fatigue on cranio-vertical head posture and rest position of the mandible, Eur J Oral Sci. 1995 Jun;103(3):127-32.
- ↑ Serra MD, Gavião MB, Evaluation of condylar position from transcranial projections in primary dentition, Dentomaxillofac Radiol. 2006 Mar;35(2):110-6.
- 1 2 3 Our work shows that dental occlusion differentially contributes to postural control, with no effect in static postural conditions but a worsening in dynamic conditions (texte publié) - Tardieu C, Dumitrescub M, Giraudeaua A, Blanc JL, Cheynet F, Borel L, Dental occlusion and postural control in adults, Neuroscience Letters 450, Elsevier, 2009 : 224
- ↑ Jeanmonod A, Occlusodontologie, Applications cliniques, CDP, Paris (France), 1988 : 28.
- 1 2 "D’avis général, les méthodes utilisant la déglutition et la phonation semblent les plus intéressantes" - In : Ferrigno JM, Tavitian P, Tosello A, Pouysségur V, Dimension verticale : aspects physiologiques, Conclusion, Encycl Méd Chir (Éditions Scientifiques et Médicales Elsevier SAS, Paris, tous droits réservés), Stomatologie/Odontologie, 22-008-C-15, 2000 : 11.
- 1 2 3 4 5 6 7 8 9 10 Sempé M, Pédron G, Roy-Pernot M.P., La maturation osseuse, Auxologie, méthode et séquences, Théraplix, Paris, 1979. Réédition 1997 Méditions (ISSN 2905-8392).
- ↑ Ponté C, Weill J, Croissance normale, croissances pathologiques. Typoform, 4 rue du Vaulorin, 91320 WISSOUS.
- 1 2 3 Chez le lapin, une forces axiale de 0.2-0,4 g, appliquée pendant quatre heures, suffit à stopper l'éruption de l'incisive mandibulaire. Au cours de la même période, une force de 2,5 g provoque une réinclusion de la dent - Steedle JR, Proffit WR, Fields HW, The effects of continuous axially-directed intrusive loads on the erupting rabbit mandibular incisor, Arch Oral Biol. 1983;28(12):1149-53
- 1 2 3 Shimada A, Shibata T, Komatsu K, Chiba M, The effects of intrusive loading on axial movements of impeded and unimpeded rat incisors: estimation of eruptive force, Arch Oral Biol. 2003 May;48(5):345-51
- 1 2 3 Chiba M, Yamaguchi S, Komatsu K, Measurement of the force needed to restrain eruptive movement of the rat mandibular incisor, Arch Oral Biol. 1996 Apr;41(4):341-9.
- ↑ Espace libre : distance verticale séparant les dents supérieures des dents inférieures (Gnathologie).
- ↑ Pour P. Planché et P. Canal : "La récidive est une constante à laquelle il faut se plier. Le taux de récidive est très variable et le plus souvent élevé - In : HAS, Rapport complet, Les critères d’aboutissement du traitement d’orthopédie dento-faciale, Recommandation pour la pratique clinique, Agence nationale d’accréditation et d’évaluation en santé (Anaes, Rapport 2003), Haute Autorité de la Santé, décembre 2003: 28"
- ↑ Pechoux S, 5.5.3. Examen fonctionnel lingual, Incidence des habitudes de vie et des parafonctions dans les troubles algo-dysfonctionnels de l'appareil manducateur : étude effectuée sur une population d'adultes jeunes de la région de Cuenca (Équateur) , Thèse, Chir. Dent., Nancy (France), 2007 : 106
- ↑ HAS (ANAES), Les critères d’aboutissement du traitement d’orthopédie dento-faciale, Recommandations.pdf (30.88 Ko) et Rapport complet.pdf (146.69 Ko), Recommandation de bonne pratique, Espace Professionnels de santé, Haute Autorité de la Santé, gouv.fr (Loi du 13 août 2004), Paris (France), décembre 2003
- ↑ Michelotti A, Farella M, Vollaro S, Martina R, Mandibular rest position and electrical activity of the masticatory muscles, J Prosthet Dent. 1997 Jul;78(1):48-53.
- 1 2 HAS-ANAES, Les critères d’aboutissement du traitement d’orthopédie dento-faciale, Rapport complet (146,69 Ko), Recommandation de bonne pratique, Espace Professionnels de santé, Haute Autorité de la Santé, gouv.fr (Loi du 13 août 2004), Paris (France), décembre 2003: 28
- ↑ Sato F, Kino K, Sugisaki M, Haketa T, Amemori Y, Ishikawa T, Shibuya T, Amagasa T, Shibuya T, Tanabe H, Yoda T, Sakamoto I, Omura K, Miyaoka H, Teeth contacting habit as a contributing factor to chronic pain in patients with temporomandibular disorders, Med Dent Sci. 2006 Jun;53(2):103-9.
- ↑ Kino K, Sugisaki M, Haketa T, Amemori Y, Ishikawa T, Shibuya T, Sato F, Amagasa T, Shibuya T, Tanabe H, Yoda T, Sakamoto I, Omura K, Miyaoka H, The comparison between pains, difficulties in function, and associating factors of patients in subtypes of temporomandibular disorders, Oral Rehabil. 2005 May;32(5):315-25.
- ↑ Enregistrement codifié de la phonation et de la déglutition salivaire, Appareil photographique numérique type Canon PowerShot G3 (2003) ou Canon PowerShot S5IS (2006), Concept © CPD sprl, 2003 et suiv., Liège & Bruxelles.
- ↑ Fourchette sternale, ou échancrure médiane de l'extrémité supérieure du sternum (source : Biomédicale Univ. Paris V).
- ↑ programme GNU General Public Licence type "VirtualDub" v.1.9.9 par exemple
- 1 2 Streel R, Entretiens du CLEPIRO, Anales, École liégeoise d'Occlusodontologie et de Prothèses implantaires (ELOPI), Liège (Belgique): 1980-1994.
- ↑ Sempé M, Pédron G, Roy-Pernot M.P., La vitesse de croissance, Auxologie méthode et séquences, Théraplix, Paris, 1979. Réédition 1997 Méditions (ISSN 2905-8392).
- 1 2 3 4 Cotton G, Réducteur d'espace interocclusal de repos (REIOR) et Guide Anti-Langue (GAL), Bio-Orthodontie, Occlusodontologie Tridimensionnelle Physiologique (OTP), ©CPD sprl, Bruxelles-Liège (Belgique): 1999 [En ligne] occlusion.be.
- ↑ McGlone F, Kelly EF, Trulsson M, Francis ST, Westling G, Bowtell R, Functional neuroimaging studies of human somatosensory cortex, Behav Brain Res. 2002 Sep 20;135(1-2):147-58.
- ↑ Couly G, Les oralités humaines : Avaler et crier : le geste et son sens, Doin Éditions, 2010 - (ISBN 2704012822)
- ↑ Jeanmonod A, Plan de morsure rétro-incisif, Cah Prothese, 1982 Jan; 10 (37):91-105.
- ↑ Rizzatti A, Ceruti P, Mussano F, Erovigni F, Preti G, A new clinical method for evaluating the closest speaking space in dentulous and edentulous subjects: a pilot study, Int J Prosthodont. 2007 May-Jun;20(3):259-62.
- ↑ Miyamoto JJ, Honda M, Saito DN, Okada T, Ono T, Ohyama K, Sadato N, The representation of the human oral area in the somatosensory cortex: a functional MRI study, Cereb Cortex, 2006 May;16(5):669-75
- ↑ Sempé M, Pédron G, Roy-Pernot M.P. Auxologie méthode et séquences. Théraplix. Paris; 1979. Réédition 1997 Méditions (ISSN 2905-8392).
- 1 2 Haute Autorité de Santé (HAS), Orthopédie dento-faciale - Critères d'aboutissement - Rapport complet.pdf (146.69 Ko), Les critères d’aboutissement du traitement d’orthopédie dento-faciale, décembre 2003 : 28.
- ↑ Garliner D, Myofunctional therapy, Institute for Myofunctional therapy, Coral Gables, USA: 1981
- ↑ Marshalla P, Oral motor treatment vs. non-speech oral motor exercises, Historical Clinical Evidence, Oral Motor Institute, 09 April 2008
- ↑ Dessem D, Iyadurai O D, Taylor A, The role of periodontal receptors in the jaw-opening reflex in the cat, J Physiol. 1988 December; 406: 315–330
- ↑ Mei N, Hartmann F, Roubien R, Functional characteristics of dental ligament mechanoreceptors in cats, J Physiol (Paris), 1971;63(6):137A
- ↑ Jankelson B, F.A.Q. Neuromuscular Dentistry, Myotronics-Noromed, Washington (USA), 1972.
- ↑ Jeanmonod A, L'espace libre moyen est de 1,6 millimètre. Mais, certains patients peuvent nécessiter un espace libre allant jusqu'à plus de 6 millimètres.
- ↑ ELOPI ou École Liégeoise d'Occlusodontologie et de Prothèses Implantaires, sous la direction du Dr Robert STREEL, Liège (Belgique). Elle fut créée à la suite du Congrès dentaire du Millénaire de la Province de Liège, 1980.
- ↑ La résine du PMRI-PO s'use au fil de son utilisation buccale (mastication, bruxisme, etc.) : face à la dureté de l'émail des dents antagonistes, seule la porcelaine prothétique, ou « cosmétique » artificielle, résiste à la dureté de l'émail des dents naturelles antagonistes.
- ↑ Prise spécifique de l'articulé occlusal à l'aide de cire dentaire, à l'état semi-liquide et déposée en goutte à goutte sur l'armature métallique des futurs bridges en porcelaine ; ceci afin de ne jamais influencer la perception tactile fine des piliers naturels (proprioception desmodontale).
- ↑ REIOR : Réducteurs d'Espace Inter-Occlusal de Repos.
- ↑ GAL : Grilles Anti-Langue.
- Portail de la médecine