Malocclusion dentaire
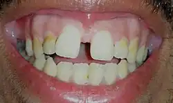
La malocclusion dentaire est un défaut d'alignement ou d'emboitement entre les dents des deux arcades dentaires lorsque celles-ci se rencontrent à la fermeture des mâchoires.
Le terme fait référence à la manière dont les dents opposées se rencontrent (mal + occlusion = "occlusion incorrecte"). Chez l'humain, les spécialistes distinguent trois classes de malocclusion dentaire : la neutrocclusion, la distocclusion et la mésiocclusion[1]. Cette classification est issue des travaux d'Edward Angle, le père de l'orthodontie moderne[2].
Chez l'Humain


Chez l'enfant, la croissance faciale dépend autant de facteurs génétiques (chromosomes) que fonctionnels (fonction musculaire). La force musculaire peut être représentée par un vecteur physico-mathématique et celui-ci se définit par son point d'origine, sa direction, son sens et son intensité. Chez l'enfant, l'association des vecteurs dans un même muscle contribue pour beaucoup à la structure interne (orientation des trabécules osseuses) et à la croissance directionnelle des os de la face, ainsi qu'à toutes les fonctionnalités d'une bouche depuis le stade fœtal (grossesse) jusqu'à l'âge adulte (découvrir, téter, parler, manger, boire, avaler, chanter, respirer, etc.)
Mal orientés, ces vecteurs musculaires peuvent freiner la croissance (palais étroit et profond, rétrognathie, prosopie, etc.), créer des malpositions dentaires (« récidives orthodontiques », articulé croisé, etc.) ou rendre l'élocution pénible (shuintement) : la fonctionnalité de la langue en est le meilleur exemple (déglutition salivaire infantile, déglutition atypique, déglutition dysfonctionnelle).
La malocclusion est un état dysfonctionnel, qui se remarque autant au niveau d'une malposition dentaire sur une des arcades (examen clinique d'une "occlusion volontaire" ou analyse des modèles en plâtre, des radiographies, etc., comme en Orthodontie-ODF et en chirurgie maxillo-faciale), que sur une mauvaise posture relationnelle entre les deux mâchoires, et tant dans une situation statique ("occlusion volontaire", position de repos physiologique des mâchoires, etc.) que dans toutes les relations dynamiques des mouvements (analyse par vidéographie numérique de la phonation et de la déglutition salivaire).
La dysfonction et la maladie occlusale (syn. malocclusion) débutent lorsque la phase de repos physiologique des muscles posturaux des deux mâchoires se réduit comme une peau de chagrin : gènes, douleurs musculaires et crampes. Les causes sont diverses : déglutition infantile qui arrête prématurément l'éruption des dents permanentes ("permutations dentaires" chez l'adolescent), déplacements insidieux des dents à cause d'une déglutition salivaire atypique ("récidives orthodontiques" après traitement ODF), traitement iatrogène inadéquat perturbant l'équilibre physiologique (obturations dentaires, prothèses, orthopédie dento-faciale ou ODF, chirurgie maxillo-faciale), etc.
La localisation des douleurs est proche des dents et des ATM, ou éloignée de la cavité buccale (nuque, épaule, dos, bras, etc.). Dans tous les cas, elle est nettement plus prononcée d'un même côté du corps, gauche ou droit; et cette prédominance fait partie des éléments principaux du diagnostic.
Le traitement premier est de trouver la position de repos physiologique de tous les muscles. Seulement après viennent la correction des malpositions dentaires par obturations dentaires, artifices prothétiques, orthodontie (ODF) ou chirurgie maxillo-faciale. Malheureusement dans la pratique, c'est trop souvent le chemin inverse qui est réalisé, ce qui procure une guérison nettement moins efficace.
Chez les animaux
Chez l'animal, la malocclusion dentaire provoque une gène peut aller jusqu'à l'impossibilité de s'alimenter et des douleurs insupportables qui rendent parfois nécessaire de recourir à l'euthanasie pour apaiser les souffrances d'un sujet âgé.
Rongeurs et léporidés
Bien que les incisives des rongeurs et léporidés poussent continuellement, normalement elles s'usent naturellement par frottement mutuel, sauf si l'animal est atteint d'une malocclusion dentaire[3].

Les problèmes de malocclusion dentaire sont fréquents chez les rongeurs d'élevage comme le chinchilla, etc. ou chez le lapin. Considérée comme une tare héréditaire, l'éleveur ne devrait pas faire se reproduire un animal qui en souffre[4].
- Symptômes :
- amaigrissement,
- yeux larmoyants,
- et problèmes de mastication.
- Conduite à tenir :
- malocclusion des incisives : on peut demander au vétérinaire de raccourcir les dents au moyen d'une pince et d'une lime.
- malocclusion des autres dents : des éperons poussent vers le haut, dans les orbites, ou vers le bas, dans la mâchoire. Des radiographies le détermineront. Chez un animal âgé, il faudra songer à abréger ses souffrances[5].
Pathologie comparable

Notes et références
- ↑ Classifications of Occlusion
- ↑ L'histoire de l'orthodontiste
- ↑ « Les Malocclusions dentaires », sur Rongeurs.net (consulté le )
- ↑ (en) Malocclusion - A Polygenic Trait
- ↑ J.C.Harris, Introduction aux Chinchillas, T.F.H. publications, Ed. française, 1993.
Voir aussi
Articles connexes
Liens externes
Chez l'animal :
- (en) Malocclusion chez le lapin sur le site du Long Beach Animal Hospital (Attention certaines images médicales peuvent choquer).
- Malocclusion chez le lapin sur le site margueritecie.com. Exemples concrets en photo.
- l'Appareil dentaire est seul qui peut régler le problème de malocclusion dentaire
- Portail de la médecine
- Portail de la médecine vétérinaire
