Bruxisme
| Symptômes | Attrition dentaire (en) |
|---|
| Spécialité | Odontologie |
|---|
| CISP-2 | P75 |
|---|---|
| CIM-10 | F45.8 |
| CIM-9 | 306.8 |
| DiseasesDB | 29661 |
| MedlinePlus | 001413 |
| MeSH | D002012 |
Mise en garde médicale
Le bruxisme (du grec brugmos βρυγμος « grincement des dents »[1]) est une parafonction manducatrice (mouvement inconscient sans but précis concernant l'appareil manducateur) soit par serrement soit par mouvements latéraux, nommé alors grincement de dents. Cette parafonction qui au niveau évolutif sert aux enfants à éliminer leurs dents de lait[réf. nécessaire] et disparaît généralement à l'apparition de la denture définitive, peut se manifester chez le bruxomane pendant la journée mais plus souvent durant le sommeil, il est alors généralement inconscient et ne se réveille pas.
La brycose (du grec brychos βρυχός « frottement des dents ») est un bruxisme sévère caractérisé par des abrasions dentaires considérables[2].
Description

Plusieurs types de bruxisme existent :
- le bruxisme centré (clenching en anglais) est un serrement dentaire sans mouvement latéral. Ce type de parafonction silencieux entraîne presque toujours des douleurs musculaires de l'ensemble des muscles manducateurs, des céphalées bitemporales en étau, des douleurs de nuque ou en chape de plomb sur les épaules, des nausées, des douleurs de l'oreille moyenne, une sensation d'instabilité, parfois des acouphènes ;
- le bruxisme excentré (grinding en anglais) est, lui, moins pathogène car le desmodonte y est moins sensible : il s'agit de grincements de dents avec micro-mouvements latéraux de la mâchoire. Il est fréquent et physiologique durant l'enfance, où son rôle est l'usure des dents de lait ;
- le bruxisme d'éveil : le sujet bruxe pendant ses heures d'éveil, mais il arrive généralement à se contrôler. Ainsi, son incidence est minime ;
- le bruxisme du sommeil : il est associé à de longues périodes d'activité musculaire masticatoire alliée à des mouvements anormaux pendant le sommeil, secondaires à des micro-éveils ;
- le bruxisme primaire, idiopathique, en l'absence de cause ;
- le bruxisme secondaire, iatrogène, associé à des problèmes neurologiques, psychiatriques ou pharmacologiques.
Épidémiologie
La prévalence mondiale du bruxisme selon les données de 2024 (à la fois pendant le sommeil et à l'état d'éveil) est de 22,22 %. La prévalence du bruxisme pendant le sommeil est de 21 % (43 % selon les études polysomnographiques), et de 23 % à l'état d'éveil. Le bruxisme éveillé est plus fréquent chez les filles (11 %) que chez les garçons (6 %). Le bruxisme nocturne apparaît au même niveau, à 9 %. Il existe également des différences dans sa prévalence en fonction des continents[4]. L'âge le plus commun d'apparition se situe entre 17 et 20 ans, la rémission spontanée survenant généralement après 40 ans dans le cas du bruxisme chronique, mais elle peut se produire à tout moment de la vie[5]. Selon les données épidémiologiques les plus récentes, la cooccurrence du bruxisme et des TTM) dans la population mondiale est estimée à 17 %. Toutefois, comme pour le bruxisme lui-même, cette prévalence varie selon le continent. De plus, 63,5 % des patients souffrant de TTM présentent également des signes de bruxisme[6].
Les personnes atteintes du syndrome de Prader-Willi ont généralement un bruxisme dès leur plus jeune âge.
Causes
Il peut être causé par :
- la déglutition atypique[7] et respiration buccale, reliquat de la déglutition salivaire infantile ;
- l’infraclusion organique[8], ou dents verticalement trop petites par arrêt prématuré de l'éruption dentaire sous les pressions axiales des 1 500 à 2 000 interpositions linguales quotidiennes (permutation dentaire, pic pubertaire) ;
- le stress. Il s’agirait d'une expression comportementale possible de l'anxiété ;
- un trouble de l’occlusion dentaire. En fait c’est souvent plus une conséquence du bruxisme, avec abrasion (usure) des dents, qu’une cause[9],[10] ;
- certains antidépresseurs comme la venlafaxine et les inhibiteurs sélectifs de la recapture de la sérotonine[11] ;
- des stupéfiants, comme l’ecstasy ou d'autres stimulants comme la méthamphétamine ;
- un traumatisme cervical (mouvement de fléau), (whiplash en anglais), souvent au cours d'un accident de la circulation, dont les conséquences cervicales sont bien connues mais l'effet sur le maxillaire inférieur, siège d'un véritable mouvement de balancier d'avant en arrière, est le plus souvent négligé ;
- des anesthésies générales répétées avec intubation, traumatisante sur l'articulation temporo-mandibulaire ;
- certaines maladies infectieuses comme la fièvre du Nil occidental[12].
L’importance du grincement augmente en fonction du stress ressenti durant la journée et une corrélation positive entre le bruxisme et l'anxiété ; l'hostilité ou encore l'hyperactivité a été mise en évidence chez les étudiants, notamment à l'approche des examens. Il existe également une relation entre les troubles respiratoires nocturnes (respiration buccale et/ou pauses respiratoires), par interférence avec la langue.
Conséquences
Les conséquences à distance du bruxisme (surtout centré) sont de plusieurs ordres :
- problèmes au niveau des articulations temporo-mandibulaires (ATM) ;
L'ATM est l'articulation entre la mandibule et le crâne. Le fait de bruxer sollicite ces articulations de manière trop importante. Il peut alors apparaître le dysfonctionnement de l'appareil manducateur (DAM) avec des symptômes suivants :
- claquements à l'ouverture de la bouche, généralement non douloureux ;
- blocage : impossibilité d'ouvrir ou de fermer la bouche complètement;
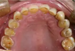
- usure des dents, parfois de manière importante, pouvant aller jusqu'à la nécrose ;
- usure et fracture des prothèses dento-portées (bridge) et implanto-portées (prothèses sur implant) ;
- échec implantaire ;
- problèmes parodontaux : récessions parodontales (« déchaussement » des dents). Le stress constitue une orientation étiologique nouvelle de certaines atteintes parodontales[13] ;
- douleurs vertébrales et raideurs musculaires, surtout au réveil ;
- perturbation du contrôle postural ;
- syndromes cognitifs par perturbation de la voie neurologique de la proprioception des muscles oculomoteurs ;
- troubles de la convergence visuelle ;
- risque accru de relarguer le mercure des amalgames dentaires. Le mercure va alors intoxiquer le corps tout entier avec de graves conséquences.
Traitements
Les traitements peuvent avoir pour objectif de traiter les symptômes et / ou les causes. Citons notamment[14],[15],[16],[17],[18],[19],[20],[21] :
- le polissage de l'émail des dents afin de recréer un rééquilibrage correct de la mâchoire, pratique peu répandue car le bruxisme a pour conséquence l'usure importante de la face occlusale des dents si bien que l'émail a pratiquement disparu ;
- le port de plaque occlusale durant la nuit (qui absorbe les forces les plus importantes, ayant une densité plus faible que l'émail). La psychothérapie est utile pour diminuer le stress à l'origine de cette parafonction (de même, il semblerait aussi que l'hypnose pourrait être une solution). Ils traitent toutefois les symptômes et non la cause. Ce traitement vise à limiter l'usure dentaire ;
- l'anesthésie du muscle ptérygoïdien latéral par injection par voie intrabuccale ;
- le NTI-tss. Ce traitement, peu coûteux et peu encombrant, est basé sur un réflexe réduisant la capacité de serrer les dents pour le patient et permettant ainsi une réduction sensible de l'intensité de la musculature masticatoire. Le NTI-tss est une petite préforme qui s'appose sur les incisives du patient et qui empêche ainsi de serrer et de grincer des dents. Malheureusement, son effet est transitoire, il aboutit bien souvent à une aggravation à long terme[réf. nécessaire] ;
- des injections de toxine botulique dans les muscles masticateurs les plus puissants : le masséter et (ou) le temporal. Ce traitement, en réduisant la force musculaire, permet un déconditionnement du « tic » (praxie) ;
Il n'existe actuellement aucune recommandation fondée sur des données probantes pour une stratégie de traitement du bruxisme du sommeil chez les enfants[22].
Histoire
Le terme de bruxomanie a pour la première fois été utilisé par les docteurs français Marie et Pietkiewicz en 1907, avant d'être appelé par la suite bruxisme[23]. Il fut classé d'abord dans la catégorie des parasomnies en 1990 puis dans la catégorie des troubles du mouvements liés au sommeil en 2005 par l'ISCD (International Classification of Sleep Disorders)[4]. Selon l'AAP (Association Américaine de Psychiatrie), il est assimilé à un trouble du comportement.
Notes et références
- ↑ brygmós
- ↑ D. Rozencweig, Algies et dysfonctionnement de l'appareil manducateur, Éditions CdP, , 487 p.
- ↑ (en) Ranjitkar S, Kaidonis JA, Smales RJ, « Gastroesophageal Reflux Disease and Tooth Erosion », International Journal of Dentistry, vol. 2012, , p. 479850 (ISSN 1687-8728, PMID 22194748, PMCID 3238367, DOI 10.1155/2012/479850)
- 1 2 (en) Grzegorz Zieliński, Agnieszka Pająk et Marcin Wójcicki, « Global Prevalence of Sleep Bruxism and Awake Bruxism in Pediatric and Adult Populations: A Systematic Review and Meta-Analysis », Journal of Clinical Medicine, vol. 13, no 14, , p. 4259 (ISSN 2077-0383, PMID 39064299, PMCID PMC11278015, DOI 10.3390/jcm13144259, lire en ligne, consulté le )
- ↑ (es) Eduardo Cairo Valcarcel, « Rechina usted los dientes mientras duerme ? », Rev cuba psicol, vol. 13, no 1, , p. 59-74.
- ↑ Grzegorz Zieliński, Beata Pająk-Zielińska, Agnieszka Pająk et Marcin Wójcicki, « Global co-occurrence of bruxism and temporomandibular disorders: A meta-regression analysis », Dental and Medical Problems, no 2, , p. 309–321 (ISSN 1644-387X et 2300-9020, DOI 10.17219/dmp/201376, lire en ligne, consulté le )
- ↑ A Jeanmonod « La responsabilité de la déglutition atypique dans l’apparition des dysfonctions de l’appareil manducateur » Bull. no 34, Acad. Natle Chir. Dent. 1989 : 35-40.
- ↑ A Jeanmonod Occlusodontologie, Applications cliniques CDP, Paris (France) : 1988
- ↑ (en) Lobbezoo F, Naeije M, « Bruxism is mainly regulated centrally, not peripherally », J Oral Rehabil, vol. 28, no 12, , p. 1085-91. (PMID 11874505, DOI 10.1046/j.1365-2842.2001.00839.x)
- ↑ (en) Murali RV, Rangarajan P, Mounissamy A, « Bruxism: Conceptual discussion and review », J Pharm Bioallied Sci, vol. 7(Suppl 1), , S265-70. (PMID 26015729, PMCID PMC4439689, DOI 10.4103/0975-7406.155948, lire en ligne [html])
- ↑ Revue Prescrire, 284, juin 2007
- ↑ Dominique J. Bicout et al., Le virus du Nil occidental, Quæ, coll. « Synthèses », , 239 p. (ISBN 978-2-7592-1968-1, lire en ligne), chap. 5 (« Les mammifères, des hôtes accidentels du virus »), p. 89, disponible en accès libre.
- ↑ Kissa J. ; Lakehal F., Dr Khlil N. « Le stress : Nouveau facteur étiologique des maladies parodontales ? »
- ↑ (en) JP Boyd, W Shankland, C Brown, J Schames et al. « Taming of the muscular forces that threaten everyday dentistry » Postgraduate Dentistry, novembre 2000.
- ↑ (en) Migraine and tension type headache reduction through pericranial muscular suppression ; W Shankland… in: Cranio, The Journal of Craniomandibular Practice Vol. 19, numéro 4, octobre 2001.
- ↑ (en) A method of preventing migraine and tension type headaches ; W Shankland… in : Compendium Vol. 23, no 2, février 2002.
- ↑ (en) Electromyographic evaluation of the effect of two types of occlusal splints on the muscle activity in the decubitus position ; by S. Ishigaki, S. Omatsu, K. Kajiwara, E. Morishige, and T. Kurozumi, Osaka University Graduate School of Dentistry, Japan… IADR/AADR/CADR 80th General Session (6-9 March, 2002), San Diego (États-Unis).
- ↑ (en) Clinical comparison between two different splint designs for temporomandibular disorder therapy ; by A Jokstad, A Mo, BS Krogstad, in Acta Odontologica Scandinavica 2005 ; 63 : 1–9.
- ↑ (en) Evaluation of effectiveness of two different Appliances in Treatment of Patients with Sleep Bruxism Disorder Diagnosed with Polysomnography ; by Y. Kavakli, Doctoral Thesis, Ankara 2006.
- ↑ (en) Anterior Midline Point Stop Device (AMPS) in the treatment of myogenous TMDs: Comparison with the stabilization splint and control group ; by Fam Al Quran, MS Kamal, Oral Surg Oral Med Oral Pathol Oral Radiol Endod 2006, 101:747-1.
- ↑ (en) Baad-Hansen, F. Jadidi, E. Castrillon, PB Thomsen, P. Svensson et al. « Effect of a nociceptive trigeminal inhibitory splint on electromyographic activity in jaw closing muscles during sleep » J Oral habilitation Vol. 34 (2), février 2007.
- ↑ Samanta Scarpini, Adriana de Oliveira Lira, Thais Gimenez et Daniela Prócida Raggio, « Associated factors and treatment options for sleep bruxism in children: an umbrella review », Brazilian Oral Research, vol. 37, , e006 (ISSN 1807-3107, PMID 36629590, DOI 10.1590/1807-3107bor-2023.vol37.0006, lire en ligne, consulté le )
- ↑ (en) S Varalakshmi Reddy, M Praveen Kumar, D Sravanthi et Abdul Habeeb Bin Mohsin, « Bruxism: A Literature Review », Journal of International Oral Health : JIOH, vol. 6, no 6, (lire en ligne, consulté le )
Voir aussi
Articles liés
Liens externes
- Ressources relatives à la santé :
- Ressource relative à la recherche :
- Notices dans des dictionnaires ou encyclopédies généralistes :
- Portail de la médecine
- Portail du sommeil et du rêve