Reflux gastro-œsophagien
| Causes | Acide gastrique |
|---|---|
| Symptômes | Pyrosis, reflux gastro-œsophagien (en), douleur précordiale (d) et toux |
| Médicament | (RS)-rabéprazole, pantoprazole, bethanechol, bicarbonate de sodium, carbonate de calcium, métoclopramide, hydroxyde de magnésium, famotidine, oméprazole, ésoméprazole, trisilicate de magnésium (en), lansoprazole, calcium (glucoheptonate de) dihydraté (en), cimétidine, nizatidine, cisapride (en), magaldrate (en), dihydroxyaluminum sodium carbonate (d), aluminium carbonate (en), carbonate de magnésium, carbonate ion (d), isosorbide, sucralfate, ledipasvir/sofosbuvir (en), denosumab, dexlansoprazole, ranitidine, métoclopramide, lansoprazole et dexlansoprazole |
|---|---|
| Spécialité | Gastro-entérologie |
| CIM-10 | K21.0 |
|---|---|
| CIM-9 | 530.11 |
| OMIM | 109350 |
| DiseasesDB | 23596 |
| MedlinePlus | 000265 |
| eMedicine | 176595 |
| MeSH | D005764 |
Mise en garde médicale
Le reflux gastro-œsophagien (RGO) désigne la remontée dans l'œsophage d'une partie du contenu gastrique acide. C'est un phénomène normalement intermittent et silencieux, qui se produit chez tous les sujets après les repas. Chez certains, le reflux gastro-œsophagien peut être pathologique s'il est excessivement fréquent ou prolongé. Les symptômes possibles incluent les brûlures rétrosternales et les régurgitations acides. Ceux-ci peuvent apparaître sous certaines conditions, comme la consommation d'alcool[1]. C'est un motif fréquent de consultations médicales et une source importante de consommation médicamenteuse, notamment lorsque le reflux se complique par une œsophagite, un œsophage de Barrett ou un adénocarcinome de l'œsophage. De plus, RGO peut être un symptôme du syndrome d'activation mastocytaire[2]. RGO est une pathologie de plus en plus fréquente.
Prévalence
La prévalence du RGO (ainsi que de l'œsophagite) tend à augmenter, au moins depuis le milieu des années 1980, mais avec des variations selon les continents ou pays[3].
Physiopathologie
Fonctionnement de la jonction œso-gastrique
Dans les conditions normales l'étanchéité de la jonction œso-gastrique est assurée par :
- le tonus permanent du sphincter inférieur de l'œsophage, muscle lisse dont la relaxation se produit automatiquement à chaque déglutition et est particulièrement marquée au cours de la prise alimentaire et de la période postprandiale ;
- la position intraabdominale stricte du cardia, portion supérieure de l'estomac, qui assure mécaniquement la fermeture du sphincter (fermeture de l'angle de His), du fait d'une différence de pression entre la région thoracique (hyper) et la région abdominale (hypo).
Chez la plupart des gens en bonne santé, un reflux gastro-œsophagien symptomatique se produit naturellement dans les 10 minutes suivant la fin d'un repas ; la poche acide ainsi formée perdure ensuite jusqu'à 47 ± 8 minutes chez une personne immobile ; cette petite « poche d'acide postprandiale » se forme plus tardivement chez une personne en mouvement ; la nuit, en position couchée, cette poche se forme près du cardia et le liquide diffuse dans l’œsophage, mais il est moins acide à distance et devient moins acide au cours de la nuit[4].
Un groupe de consensus médical (dit Consensus de Lyon)[5] a considéré en 2017 ce reflux comme pathologique aux conditions suivantes :
- œsophagite de grade C ou D[6] ;
- sténose peptique[6] ;
- histologie prouvée la muqueuse de Barrett > 1 cm[6] ;
- exposition à l'acide œsophagien avec un « temps d'exposition à l'acide » supérieur à 6 % (lors d'un test de pH)[6].
Si aucun de ces critères n'est rempli, des tests supplémentaires sont à envisager[6].
Remarques :
- il y a souvent une insuffisance sphinctérienne (cas le plus fréquent). Si elle se traduit par des relaxations spontanées du sphincter inférieur de l'œsophage, hors des moments de déglutition ; elles ont alors une cause en partie génétique, selon une étude menée chez des vrais jumeaux[7] ;
- en cas d'anomalie anatomique (plus rarement) : la protrusion du cardia dans le thorax à travers le hiatus œsophagien du muscle diaphragmatique, appelée hernie hiatale, participe à la défaillance du sphincter inférieur de l'œsophage.
- un test de reflux doit être effectué après l'arrêt du traitement suppresseur d'acide chez les patients présentant un faible risque de RGO[6].
Conséquences du reflux
Une situation chronique de reflux fréquent ou trop prolongé a un effet corrosif sur la muqueuse œsophagienne (qui est moins bien protégée contre l'acidité que celle de l'estomac).
Par ordre décroissant de fréquence, une agression répétée de la muqueuse œsophagienne est responsable ou co-responsable des complications suivantes :
- fréquemment : d'une simple irritation de la muqueuse responsable du symptôme le plus fréquent (pyrosis, c'est-à-dire sensation de brûlure) ;
- parfois d'une inflammation de la muqueuse œsophagienne (œsophagite), responsable de douleurs, ou parfois asymptomatique, parfois compliquée d'hémorragie digestive (hématémèse) ou de rétrécissement du diamètre œsophagien (sténose peptique) ;
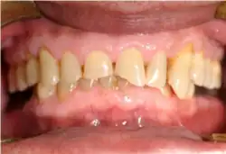
- parfois de troubles de la sphère ORL[8], et notamment asthme[9],[10],[11],[12],[13],[14], laryngite[15],[16], toux[17] ou érosion dentaire[18],[19],[20] ;
- exceptionnellement d'altérations profondes de la structure cellulaire de la muqueuse pouvant aboutir à une métaplasie : on parle d'endobrachyœsophage (ou « œsophage de Barrett ») pouvant évoluer vers une dysplasie et une cancérisation.
Remarque : une prévalence accrue de reflux est notée chez les patients souffrant de ronflement et /ou d'apnée obstructive du sommeil[21],[22],[23],[24],[25],[26],[27], mais sans lien causal compris ou démontré (notamment la gravité du reflux ne semble pas corrélée à la gravité de l'apnée du sommeil)[28].
Épidémiologie
Plus de 100 études ont été jugées pertinentes par une métanalyse de 2005 sur ce sujet, mais seuls 16 essais cliniques avaient examiné l'impact de changements de mode de vie sur le RGO (par modification des symptômes, des variables du pH de l'œsophage ou de la baisse de la pression du sphincter œsophagien)[29].
Des statistiques précises à large échelle n'existent pas, car le seuil au-delà duquel un Reflux gastro-œsophagien est perçu comme pathologique varie selon les individus, les médecins, les pays et les époques et la définition de la maladie a récemment évolué (2006) ; de plus, près du tiers des patients présentant une œsophagite lors d'une fibroscopie ou d'une autopsie ne s'étaient jamais plaints de pyrosis. Une sous-déclaration est donc probable, notamment dans les pays en développement.
Dans les pays riches le RGO est la cause de consultation la plus fréquente concernant la sphère digestive[30] ; il affecterait 10 % à 20 % de la population et 0,4 % développeront une nouvelle maladie[31].
Ainsi 3,4 à 6,8 millions de Canadiens seraient atteints de RGO. Aux États-Unis, 44 % en souffrent au moins une fois par mois, 14 % à 20% au moins une fois par semaine, et jusqu'à 7 % chaque jour[32],[33],[31].
Le taux de prévalence du RGO augmente dans les pays riches, en partie parce qu'il est étroitement lié à d'autres facteurs tels que l'obésité[34], l'alcoolisme ou encore l'âge (les adultes de 60 à 70 ans sont les plus touchés[35]).
Une étude chinoise (2004) a conclu que « par rapport aux sujets sans reflux, la prévalence des symptômes évocateurs de Dyspepsie fonctionnelle, syndrome de l'intestin irritable, pneumonie, asthme, bronchite, laryngite, pharyngite, toux chronique, respiration sifflante, sensation de globus, ulcère buccal et ronflement était significativement augmentée chez les sujets avec reflux »[36].
Tendances
Une étude de tendances en termes de prévalence (publiée en 2007) a conclu à une augmentation significative de la prévalence des symptômes de reflux dans la population générale ; avec certitude de 1985 à 2005, notamment en Amérique du Nord et en Europe[3]. La prévalence du RGO mais aussi de l'œsophagite augmente dans la majorité des études longitudinales[3].
Cette tendance préoccupe, car si elle se maintient, elle augure d’une augmentation rapide de complications plus graves (adénocarcinome de l'œsophage) aux coûts socioéconomiques importants (notamment pour les systèmes de santé)[3].
La sensation de brûlure au niveau de la poitrine (pyrosis) est un signe plus rare chez les Asiatiques[37].
Helicobacter pylori, germe responsable de nombre d'ulcères gastriques, n'augmente pas le risque de reflux et semble même parfois protecteur[réf. souhaitée].
Le tabagisme[38],[39],[40], l'alcoolisme[41], un régime salé et/ou pauvre en fibres, la sédentarité/obésité semblent favoriser le reflux. La prise de caféine ne semble pas influencer la prévalence des symptômes ; elle ne serait donc pas le composant du café en cause[42].
Symptômes


La maladie a été redéfinie lors d'une conférence de consensus (2006) qui a porté sur 50 points[1] comme une affection qui se développe lorsque le reflux du contenu de l'estomac provoque des symptômes et/ou des complications gênantes. Elle a été sous-classée en syndromes œsophagiens et extraœsophagiens. Et cette nouvelle définition a inclus une approche centrée sur le patient (indépendante des résultats endoscopiques), une sous-classification de la maladie en syndromes discrets ; de plus la laryngite, la toux, l'asthme et des érosions dentaires sont ajoutés comme signes syndromiques possibles[1].
Forme typique de l'adulte
Chez l'adulte, le symptôme le plus fréquent est le pyrosis, une sensation de brûlure ascendante derrière le sternum. Il survient volontiers lorsque le sujet est allongé ou se penche en avant. L'association à des régurgitations acides est typique du reflux gastro-œsophagien et suffit à poser le diagnostic. Une douleur épigastrique sans pyrosis et une mauvaise haleine (halitose) sont fréquentes.
Formes atypiques de l'adulte
Parfois les symptômes sont indirects et des examens complémentaires peuvent être nécessaire pour poser le diagnostic :
- douleurs thoraciques pouvant en imposer pour une angine de poitrine ;
- manifestations pulmonaires : toux irritative chronique, dyspnée asthmatiforme (selon une étude (1990) beaucoup d'asthmatiques ont des reflux, qu'ils soient ou non traités par un bronchodilatateur[44]) ;
- manifestations ORL : enrouement[45] ; manifestations stomatologiques : carie dentaire, gingivite ;
- troubles du sommeil[46].
Chez un patient ne se plaignant de rien (asymptomatique), le reflux peut être découvert à l'occasion d'une complication (près du tiers des œsophagites sont asymptomatiques[47].
Chez le nourrisson et l'enfant
Les manifestations sont plus atypiques : cassure de la courbe staturo-pondérale, rhino-pharyngo-bronchite récidivante, asthme et bronchiolite, anémie.
Le reflux du nourrisson est fréquent ; souvent dû au fait que, jusqu’alors nourri directement via le cordon ombilical et sa circulation sanguine, l'enfant a très peu fait usage de son tube digestif, et encore moins de son estomac. Les premiers mois, le bébé avale de l'air en tétant ou il produit des gaz ensuite évacués (rot) avec un reflux. L'allaitement maternel ou un biberon limitant l'ingestion d'air (biberon Brown's, par exemple) diminuent ce phénomène. Ces reflux surviennent souvent en fin d’après-midi, après un repas. L'enfant est agité, il replie les jambes contre son ventre, pleure jusqu’à ce qu’il émette enfin un rot.
Évolutions et complications
Le reflux pathologique est souvent une maladie chronique.
Les complications sont plutôt rares (vu la fréquence du pyrosis) et ne sont pas corrélées avec la sévérité des symptômes :
- l'œsophagite peptique comporte un risque de saignements (anémie occulte ferriprive) et de rétrécissement de l'œsophage, particulièrement chez l'enfant ;
- l'endobrachyœsophage correspond à une métaplasie intestinale de l'œsophage (aussi appelé œsophage de Barrett), survenant surtout chez le patient âgé, diagnostiquée sur l'analyse microscopique d'un prélèvement réalisé au cours d'une fibroscopie, pouvant évoluer dans un second temps en cancer de l'œsophage (de type adénome, différent en cela du cancer du haut œsophage, de type épidermoïde) ;
- le cancer de l'œsophage est une complication rare et tardive.
Il faut se méfier de la survenue de l'une de ces complications s'il existe une dysphagie (sensation de gêne ou de blocage lors de la déglutition), une hématémèse (vomissement de sang) ou un melæna (diarrhée noirâtre correspondant à du sang digéré).
Diagnostic

Au moindre doute, un avis cardiologique doit être demandé afin de ne pas passer à côté d'une angine de poitrine ou d'un infarctus du myocarde dont les signes peuvent ressembler fortement à ceux d'un reflux atypique. Si les symptômes sont typiques et peu graves, aucune autre investigation n'est nécessaire[45].
Des méthodes plus nouvelles existent comme l'utilisation de la distance ph-métrique.
La fibroscopie
L'endoscopie digestive haute ne pose pas le diagnostic de reflux mais permet de déterminer l'existence ou non d'une lésion œsophagienne secondaire à celui-ci, tels qu'une œsophagite ou une sténose (rétrécissement) par exemple. Cet examen peut être totalement normal, même en cas de reflux avéré.
La fibroscopie permet de classer la maladie suivant la classification de Los Angeles[48].
- Grade 0 : anamnèse typique de reflux sans lésions muqueuses détectables à l’endoscopie.
- Grade A : une ou plusieurs lésions muqueuses, inférieures ou égales à 5 mm
- Grade B : au moins une lésion muqueuse de plus de 5 mm mais sans aucune confluence entre les sommets des 2 plis.
- Grade C : au moins une érosion continue entre les sommets de 2 plis ou plus, mais non circonférentielle.
- Grade D : lésion muqueuse circonférentielle.
La pH-métrie œsophagienne
Elle mesure l'acidité de l'œsophage par une petite sonde dont l'extrémité est positionnée à quelques centimètres au-dessus du sphincter inférieur de l'œsophage. Cette sonde, reliée à un boîtier enregistreur, est introduite par le nez. C'est le seul examen qui confirme de façon certaine un reflux gastro-œsophagien, en déterminant son acidité (pH inférieur à 4), sa fréquence (reste normal si le reflux occupe moins de 5 % des 24 h), son horaire, etc. L'examen est cependant désagréable et reste réservé aux cas incertains.
Une capsule enregistreuse sans fil a été développée[49] : elle est fixée au bas œsophage au cours d'une fibroscopie et communique à l'extérieur par ondes électromagnétiques. Elle se détache spontanément de la paroi au bout de 24 à 48 h et est ensuite éjectée par les voies naturelles. C'est une technique coûteuse, encore au stade de l'évaluation en 2003.
La pH-métrie doit être faite après arrêt de tout traitement anti-secrétoire. Elle montre (ou non) une corrélation entre les symptômes et les épisodes de reflux[50]. Un reflux peut toutefois être non acide (et donc non détecté par la pH-métrie) et symptomatique. L'examen peut être alors couplé avec une bio-impédance œsophagienne qui détecte les reflux non acides[51]. Le nombre d'épisodes de reflux et l'impédance de base sont des mesures exploratoires qui peuvent compléter l'évaluation du temps d'exposition à l'acide[6]. « Chez les patients présentant une probabilité élevée de RGO (œsophagite de grade C et D, muqueuse de Barrett prouvée par l'histologie > 1 cm, sténose peptique, contrôle antérieur du pH positif) et des symptômes persistants, une surveillance de l'impédance du pH doit être effectuée pendant le traitement »[6].
Une autre dimension importante est le « temps d'exposition à l'acide » (ou AET, pour Acid exposure time)[52],[6].
Il est à noter que la pHmétrie œsophagienne a rendu obsolète le test de Bernstein ou test de perfusion acide[53].
Autres examens
La manométrie œsophagienne explore la cause du reflux. Elle consiste à mesurer la pression dans différentes zones de l'œsophage au moyen d'un tube souple et creux, que le patient avale et qui est relié à un capteur de pression. On recherchera une baisse du tonus du sphincter inférieur de l'œsophage, ou un trouble moteur associé. Les données le retrouvées lors d'un reflux banal sont peu spécifiques et ne permettent guère d'en étayer le diagnostic[45]. Elles permettent parfois d'en déterminer le mécanisme dans des cas rares, comme lors d'une achalasie de l'œsophage, correspondant à une absence totale de contraction de cet organe. Elle peut aider au positionnement correct de la sonde de pH-métrie[54].
La scintigraphie permet de rechercher une radioactivité résiduelle inhalée à la suite d'un reflux au niveau des poumons. Cet examen se fait en milieu hospitalier et peut être intéressant chez le nourrisson ou le petit enfant.
Le test de Bernstein est un test psychophysiologique, obsolète depuis la pH-métrie œsophagienne, qui était indiqué dans les douleurs thoraciques d'origine œsophagienne ; il nécessitait la pleine coopération du malade[55].
Le transit œsophagien consiste à faire avaler au patient une pâte radio-opaque et de suivre sa progression dans le tube digestif. Cet examen permet de visualiser certaines complications (rétrécissements) ou certains terrains favorisants (hernie hiatale).
Une échographie abdominale peut être effectuée à la recherche d'une hypertrophie du pylore.
Traitement
Le traitement peut être médical ou chirurgical. Les médicaments (sels d'aluminium, antihistaminiques anti-H2, inhibiteurs de la pompe à protons) sont très efficaces, souvent bien tolérés et surtout permettent de passer outre ou, en tous cas, d'alléger des régimes pénibles et antisociaux.
Une autre forme de traitement fort simple consiste à pratiquer plusieurs éructations. Une étude japonaise a montré que l'estomac peut contenir jusqu'à quatre litres d'air. L'air coincé peut ainsi transformer l'estomac en bombe aérosol repoussant les acides gastriques et les aliments vers l'œsophage. Les éructations peuvent donc réduire la présence d'air et ainsi la pression des aliments vers l'œsophage[56].
Plusieurs recommandations ont été publiées sur la prise en charge du reflux, notamment en 2008 par l'American College of Gastroenterology (en)[57].
Prévention : éviter les facteurs aggravants
Il existe des « preuves physiologiques »[29] que certains aliments favorisent le reflux gastro-œsophagien : Le régime méditerranéen semble protéger contre le reflux[58], alors que la prise fréquente de café[36], d'alcool[41], de tabac et aliments riches en graisse et/ou sucrés[36] (chocolat y compris)[29] ou de menthe poivrée[29] favorisent le reflux, parfois en inhibant le sphincter inférieur de l'œsophage ; ils doivent donc être diminués ou proscrits en cas de reflux, les boissons alcoolisées notamment car « quels que soient le type et la dose de boisson impliquée, l'alcool facilite le développement du reflux gastro-œsophagien en réduisant la pression du sphincter œsophagien inférieur et la motilité œsophagienne. Les boissons alcoolisées fermentées et non distillées augmentent les taux de gastrine et la sécrétion d'acide. L'acide succinique et l'acide maléique présents dans certaines boissons alcoolisées stimule aussi la sécrétion d'acide »[41].
De faibles doses d'alcool accélèrent la vidange gastrique, alors que des doses élevées causent un retard de la vidange en freinant la motilité intestinale. Boire de l'alcool favorise la gastrite superficielle et la gastrite atrophique chronique, mais son pouvoir d'induction de l'ulcère gastro-duodénal est discuté dans le cas du vin rouge, car en tant que boisson alcoolisée il est bactéricide contre Helicobacter pylori et d'autres bactéries survivant dans l'estomac et éventuellement entéropathogènes, mais d'autre part (chez la personne en bonne santé, par rapport à de l'eau comme boisson, et même en quantité modérée) le vin rouge, s'il n'augmente pas le pH gastrique (comme n'importe quelle autre boisson), il augmente la motilité œsophagienne et la durée de la période postprandiale ce qui expose à des remontées acides[59]. Enfin, de manière générale tous les alcools altèrent aussi le foie, et l'intestin, en favorisant les diarrhées et la malabsorption source de carences en anti-oxydants[41].
La vitamine C augmentent la sécrétion acide de l'estomac et doit être consommée avec précaution[réf. nécessaire]. L'efficacité réelle de ces mesures n'a cependant pas été démontrée[45]. Le choix des aliments recommandés pour éviter les reflux gastro-œsophagiens ne devrait pas reposer sur l'acidité de l'aliment comme le veut la croyance populaire mais plutôt sur sa réaction lorsqu'il subit la présence de l'acidité de l'estomac. Les tomates, oignons et agrumes (malgré la vitamine C) devraient donc en effet être considérés comme des aliments qui peuvent aider à combattre les reflux gastro-œsophagiens. Ces aliments courants provoquent de fortes « réactions alcalines » et sont recommandés en remplacement ou ajout aux diverses recommandations médicales : abricot, avocat, canneberge, carotte, concombre, datte, épinard, graine de soja, fève de Lima, soja vert germé, jus de légumes frais et/ou de fruits frais, haricot, navet, olive noire, raisin, tangerine, taro.[réf. nécessaire]
Remarque : un cas particulier est le jus d'orange qui, plus ou moins selon le type d'orange, peut déclencher une réaction de brûlure acide de l'œsophage chez des patients sujets ou non sujets au reflux, mais le changement de la pression du sphincter œsophagien inférieur (PSOI), ce qui laisse penser qu'« un reflux gastro-œsophagien est peu susceptible d'être le mécanisme des brûlures d'estomac induites par le jus d'orange »[60].
Les aliments gras ne sont pas conseillés, mais le gras animal (beurre, saindoux...), la margarine et les huiles végétales ne sont pas des aliments aggravant le niveau d'acidité durant la digestion s'ils sont consommés tels quels (ex. : huile d'olive en vinaigrette).
Remarque : l'ingestion accidentelle d'une pile bouton, outre un empoisonnement par les métaux peut brûler/éroder la paroi de l'œsophage[61]. Une étude récente (2020) a montré (chez le porc), que l'acide libéré par une pile bouton mise en contact avec des segments d'œsophage induit une érosion sévère de la surface de l'œsophage, mais qui peut être très atténuée si le tissu a préalablement été enduit d'huile végétale comestible[62].
Des études ont montré que « l'élévation de la tête de lit et la position de décubitus latéral gauche ont amélioré le temps global pendant lequel le pH œsophagien était inférieur à 4,0 »[29], mais cette mesure concerne les symptômes essentiellement nocturnes (certains reflux étant strictement diurnes)[45]. En cas de symptômes légers, préférer dormir sur le côté gauche (estomac en bas), plutôt que sur le côté droit (estomac en haut) : cela s'explique simplement par gravité.
Une fréquence légèrement accrue est remarquée chez les personnes régulièrement amenées à se pencher en avant, le dos courbé, durant un travail, une activité physique régulière ou une posture constante (être assis sur une chaise peut suffire si la posture n'est pas saine et si cela est prolongé durant de nombreuses années)[réf. souhaitée].
Le stress est un facteur aggravant, voire déclencheur. Les boissons gazeuses peuvent augmenter la fréquence des reflux.
Une bonne hygiène de vie est recommandée, au moins durant la période de rétablissement :
- fractionner les prises alimentaires ; manger en petite quantité mais plus fréquemment ;
- prendre le temps de manger et bien mastiquer, ce qui favorise la salivation et l'imprégnation du bol alimentaire de salive (dont les enzymes contribuent à la digestion).
Chez le sujet sain, le débit sanguin alimentant les glandes salivaires augmente après stimulation (par ex par le dépôt sur la langue d'1 ml de jus de citron). Plus ce débit augmente, plus grande est la quantité de salive produite. Il a été constaté qu'à taille égale de glande salivais sous-maxillaire, les patients atteints de reflux produisent significativement moins de salive que les patients sains, ce qui laisse penser qu'« une diminution de la fonction sécrétoire salivaire est impliquée dans la pathologie du reflux gastro-œsophagien »[63] ; - éviter de boire de l'eau lors du repas ; mieux vaut en boire un peu avant ou après[source insuffisante][64] ;
- ne pas s'allonger ni prendre la position du décubitus dans les 3 heures suivant un repas ;
- chez la personne obèse ou en surpoids, perdre du poids est une mesure souvent efficace[34] (une corrélation importante entre les symptômes et le poids est démontrée, chez la femme notamment)[65]. Ceci peut diminuer, voire supprimer les symptômes[66].
Selon une méta-analyse[34] de 2005, basée sur 9 études antérieures sur l'association de l'indice de masse corporelle (IMC) avec les symptômes du RGO : 6 de ces études concluaient à un lien significatif[34]. 6 études sur 7 ont concluaient à un lien entre l'IMC et l’œsophagite érosive, et 6 sur 7 avec l'adénocarcinome de l'œsophage (et 4 études sur 6 trouvaient un lien avec l'adénocarcinome du cardia[34]. 8 études montraient une relation entre le degré d'IMC et le risque d'adénocarcinome de l'œsophage[34].
Traitement médicamenteux
Seuls (c'est-à-dire sans modifications du mode de vie qui sont le traitement de première intention), ils sont souvent non curatifs, car ne traitant pas la cause[29]. L'arrêt de ces médicaments se traduit assez souvent par une récidive des symptômes. Parfois la guérison est spontanée.
- La prise d'antiacides avant les repas ou symptomatiquement après l'apparition des symptômes peut réduire l'acidité gastrique (en augmentant le pH).
- La prise d'antihistaminiques H2 gastriques tels la ranitidine ou la famotidine peut réduire la sécrétion de suc gastrique acide.
- Les inhibiteurs de la pompe à protons, tels l'oméprazole, sont en général plus efficaces en matière de réduction de la sécrétion d'acide gastrique. La prescription de ces derniers peuvent constituer un test diagnostique avec une bonne sensibilité[67]. Tous les médicaments de cette classe se valent quant à l'efficacité sur les symptômes[68].
- Les agents prokinétiques comportent la dompéridone, le métoclopramide, le cisapride. Un membre de cette classe a été retiré du marché dans certains pays (risque de bloc de branche et de torsades de pointe), dans d'autres, par exemple la Belgique, il fait l'objet d'une règlementation et d'une surveillance accrue. La dompéridone ou le métoclopramide n'ont pas d'efficacité démontrée[69].
- Les surnageants, composés d'alginate de sodium et de bicarbonate de sodium diminuent les symptômes en tamponnant en partie l'acidité gastrique par les bicarbonates, et en isolant mécaniquement la zone inflammatoire par l'alginate de sodium : les alginates « surnagent » en milieu acide.
- Un protecteur de la muqueuse œsophagienne sous forme d'une combinaison liquide d'acide hyaluronique, de sulfate de chondroïtine et de poloxamère 407 [70], qui forme à température corporelle un hydrogel bioadhésif qui se répartit sur la paroi œsophagienne[71], la protégeant ainsi des dommages causés par les acides gastriques et la pepsine[70]. L'acide hyaluronique et le sulfate de chondroïtine soulagent des symptômes du reflux[70],[72],[73] et contribuent à la régénération et à la cicatrisation de la muqueuse endommagée [74],[75],[76].
En cas d'œsophagite, les inhibiteurs de la pompe à protons sont sensiblement plus efficaces que les antihistaminiques H2[77].
La maladie étant chronique, le traitement doit être poursuivi sur une très longue durée.
Traitement chirurgical
La fundoplicature reste théoriquement réservée aux cas graves et rebelles aux traitements par médicaments, ou récidivant à l'arrêt de ceux-ci. Il consiste à replier l'estomac de manière à renforcer la jonction entre ce dernier et l'œsophage. Elle a été testée pour la première fois au début des années 1950[78]. Cette chirurgie peut être faite par laparotomie ou par cœlioscopie. Ce type de traitement améliore parfois mieux les symptômes que le traitement médicamenteux seul[79], parfois non[80].
Perspectives thérapeutiques
Des traitements par voie fibroscopique ont été proposés mais restent à évaluer. Ils sont réservés à des cas particuliers :
- application d'une radiofréquence dans le bas œsophage provoquant une mini brûlure de ce dernier, entraînant l'amélioration des symptômes, la diminution du risque de survenue d'une oesophagite et permettant un diminution du traitement médicamenteux[81].
- injection dans le sphincter musculaire d'un produit agissant probablement de manière mécanique en épaississant ce dernier ;
- suture partielle du bas-œsophage par voie endoscopique[82], pour y restreindre le passage, technique semblant plus efficace sur les symptômes que les inhibiteurs de la pompe à protons[83]. L'effet à long terme reste discuté, avec des résultats contradictoires[84],[85] ;
Il peut être également mis en place, par voie chirurgicale, d'un dispositif magnétique au niveau du sphincter, avec de bons résultats à court terme[86], comparable à ceux de la fundoplication[87]
Complications
Le reflux gastro-œsophagien est essentiellement bénin mais deux complications sont possibles, toutes deux secondaires à une œsophagite :
- la sténose œsophagienne peptique, secondaire à une cicatrisation fibreuse et qui peut se traduire par une dysphagie (difficulté à avaler), pouvant nécessiter un traitement par introduction d'une bougie de dilatation[88] ;
- l'endobrachyœsophage, métaplasie du bas œsophage pouvant conduire à une cancérisation.
Voir aussi
Liens externes
Notes et références
- 1 2 3 Vakil N, Van Zanten S.V, Kahrilas P, Dent J & Jones R (2006) The Montreal definition and classification of gastroesophageal reflux disease: a global evidence-based consensus. American Journal of Gastroenterology, 101(8), 1900-1920. URL=https://www1.hospitalitaliano.org.ar/multimedia/archivos/noticias_archivos/58/pdf/58_am_j_gastroenterol_2006_101_1900_20.pdf
- ↑ (en) Afrin L.B., Butterfield J.H., Raithel M. et Molderings, « Often seen, rarely recognized: mast cell activation disease--a guide to diagnosis and therapeutic options », The American Journal of the Medical Science, vol. 48, no 3, , p. 190-201 (PMID 27012973, DOI 10.3109/07853890.2016.1161231)
- 1 2 3 4 El–Serag H.B (2007) Time trends of gastroesophageal reflux disease: a systematic review. Clinical Gastroenterology and Hepatology, 5(1), 17-26.
- ↑ Moonen An & al. (2019) "24‐hour multi‐pH recording of the postprandial acid pocket and the nocturnal acid distribution at the esophagogastric junction in healthy volunteers." Neurogastroenterology & Motility 31.11 : e13694.(résumé)
- ↑ (en) Matteo Ghisa, Brigida Barberio, Vincenzo Savarino et Elisa Marabotto, « The Lyon Consensus: Does It Differ From the Previous Ones? », Journal of Neurogastroenterology and Motility, vol. 26, no 3, , p. 311–321 (ISSN 2093-0879 et 2093-0887, PMID 32606254, PMCID PMC7329153, DOI 10.5056/jnm20046, lire en ligne, consulté le )
- 1 2 3 4 5 6 7 8 9 (en) S. Roman, C. P. Gyawali, E. Savarino et R. Yadlapati, « Ambulatory reflux monitoring for diagnosis of gastro-esophageal reflux disease: Update of the Porto consensus and recommendations from an international consensus group », Neurogastroenterology & Motility, vol. 29, no 10, , e13067 (DOI 10.1111/nmo.13067, lire en ligne, consulté le )
- ↑ Gastroenterology 2002;122:55-9
- ↑ Weaver EM (2003) Association between gastro-esophageal reflux and sinusitis, otitis media, and laryngeal malignancy: A systematic review of the evidence. Am J Med ;115:81S–9S
- ↑ Goodall RJR, Earis JE, Cooper DN, et al. (1981) Relationship between asthma and gastro-esophageal reflux. Thorax ;36:116–21. 186. Nagel RA, Brown P, Perks WH, et al. (1988) Ambulatory pH monitoring of gastro-esophageal reflux in ’morning dipper’ asthma. BMJ ;297:1371–3
- ↑ Gustafsson PM, Kjellman N-IM, Tibbling L. (1992) A trial of ranitidine in asthmatic children and adolescents with or without pathological gastro-esophageal reflux. Eur Respir J ;5:201–6.
- ↑ Ford GA, Oliver PS, Prior JS & al. (1994) Omeprazole in the treatment of asthmatics with nocturnal symptoms and gastro-esophageal reflux: A placebo controlled crossover study. Postgrad Med J ;70:350–4.
- ↑ TeichtahlH, KronborgIJ, YeomansND, etal.Adultasthma and gastro-esophageal reflux: The effect of omeprazole therapy on asthma. Aust N Z J Med 1996;26:671–6.
- ↑ Meier JH, McNally PR, Punja M, et al. (1994) Does omeprazole (Prilosec) improve respiratory function in asthmatics with gastro-esophageal reflux ? A double-blind placebo-controlled crossover study. Dig Dis Sci ;39:2127– 33.
- ↑ Böcskei C, Viczian M, Böcskel R, et al. (2005) The influence of gastro-esophageal reflux disease and its treatment on asthmatic cough. Lung ;183:53–62.
- ↑ El-Serag HB, Lee P, Buchner A, et al. Lansoprazole treatment of patients with chronic idiopathic laryngitis : A placebo-controlled trial. Am J Gastroenterol 2001;96:979-83.
- ↑ Noordzij JP, Khidr A, Evans BA, et al. (2001)Evaluation of omeprazole in the treatment of reflux laryngitis: A prospective, placebo-controlled, randomized, double-blind study. Laryngoscope ;111:2147–51.
- ↑ Ing AJ, Ngu MC, Breslin AB. (1994) Pathogenesis of chronic persistent cough associated with gastro-esophageal reflux. Am J Respir Crit Care Med ;149:160–7.
- ↑ Munoz JV, Herreros B, Sanchiz V, et al. (2003) Dental and periodontal lesions in patients with gastro-esophageal reflux disease. Dig Liver Dis ;35:461–7.
- ↑ Bohmer CJ, Klinkenberg-Knol EC, Niezen-de Boer MC, et al. (1997) Dental erosions and gastro-esophageal reflux disease in institutionalized intellectually disabled individuals. Oral Dis ;3:272–5.
- ↑ Schroeder PL, Filler SJ, Ramirez B, et al. (1995) Dental erosions and acid reflux disease. Ann Intern Med ;122:809–
- ↑ Graf K-I, Karaus M, Heinemann S, et al. Gastro- esophageal reflux in patients with sleep apnea syndrome. Z Gastroenterol 1995;33:689–93.
- ↑ Heinemann S, Graf K-I, Karaus M, et al. Unter- suchungen u ̈ber das Auftreten einer obstruktiven schlaf- bezogenen Atmungsstro ̈rung in Zusammenhang mit einer gastro-o ̈esophagealen Refluxerkrankung. Pneumolo- gie 1995;49(suppl 1):S139-41.
- ↑ Teramoto S, Ohga E, Matsui H. Obstructive sleep ap- nea syndrome may be a significant cause of gastro- esophageal reflux disease in older people. J Am Geriatr Soc 1999;47:1273–4.
- ↑ Valipour A, Makker HK, Hardy R, et al. Symptomatic gastro-esophageal reflux in subjects with a breathing sleep disorder. Chest 2002;121:1748–53.
- ↑ Guda N, Partington S, Vakil N. Symptomatic gastro- esophageal reflux, arousals and sleep quality in patients undergoing polysomnography for possible obstructive sleep apnoea. Aliment Pharmacol Ther 2004;20:1153–9.
- ↑ Field SK, Flemons WW (2002) Is the relationship between obstructive sleep apnea and gastro-esophageal reflux clinically important? Chest ;121:1730–3.
- ↑ Berg S, Hoffstein V, Gislason T. (2004) Acidification of distal esophagus and sleep-related breathing disturbances. Chest ;125:2001–106.
- ↑ Morse CA, Quan SF, Mays MZ, et al. (2004) Is there a relationship between obstructive sleep apnea and gastro-esophageal reflux disease? Clin Gastroenterol Hepatol ;2:761–8
- 1 2 3 4 5 6 (en) Tonya Kaltenbach, Seth Crockett et Lauren B. Gerson, « Are Lifestyle Measures Effective in Patients With Gastroesophageal Reflux Disease?: An Evidence-Based Approach », Archives of Internal Medicine, vol. 166, no 9, , p. 965 (ISSN 0003-9926, DOI 10.1001/archinte.166.9.965, lire en ligne, consulté le )
- ↑ (en) Shaheen NJ, Hansen RA, Morgan DR. et al., « The burden of gastrointestinal and liver diseases », Am J Gastroenterol., no 101, , p. 2128-2138. (lire en ligne)
- 1 2 Hershcovici T, Fass R, « Pharmacological management of GERD: where does it stand now? », Trends in Pharmacological Sciences, vol. 32, no 4, , p. 258–64 (PMID 21429600, DOI 10.1016/j.tips.2011.02.007)
- ↑ Gallup Organization, Heartburn Across America: A Gallup Organization National Survey. Princeton, NJ Gallup Organization1988
- ↑ (en) Otto T. Nebel, Michael F. Fornes et Donald O. Castell, « Symptomatic gastroesophageal reflux: Incidence and precipitating factors », The American Journal of Digestive Diseases, vol. 21, no 11, , p. 953–956 (ISSN 0002-9211 et 1573-2568, DOI 10.1007/BF01071906, lire en ligne, consulté le )
- 1 2 3 4 5 6 (en) Howard Hampel, Neena S. Abraham et Hashem B. El-Serag, « Meta-Analysis: Obesity and the Risk for Gastroesophageal Reflux Disease and Its Complications », Annals of Internal Medicine, vol. 143, no 3, , p. 199 (ISSN 0003-4819, DOI 10.7326/0003-4819-143-3-200508020-00006, lire en ligne, consulté le ).
- ↑ Fedorak RN, Veldhuyzen van Zanten S, Bridges R, « Canadian Digestive Health Foundation Public Impact Series: Gastroesophageal reflux disease in Canada: Incidence, prevalence, and direct and indirect economic impact », Canadian Journal of Gastroenterology, vol. 24, no 7, , p. 431–4 (PMID 20652158, PMCID 2918483, DOI 10.1155/2010/296584, lire en ligne)
- 1 2 3 (en) Jin-Hai Wang, « Epidemiology of gastroesophageal reflux disease: A general population-based study in Xi’an of Northwest China », World Journal of Gastroenterology, vol. 10, no 11, , p. 1647 (ISSN 1007-9327, PMID 15162542, PMCID PMC4572771, DOI 10.3748/wjg.v10.i11.1647, lire en ligne, consulté le )
- ↑ (en) Dent J, El-Serag HB, Wallander MA, Johansson S, « Epidemiology of gastro-oesophageal reflux disease: a systematic review », Gut, no 54, , p. 710-717. (lire en ligne)
- ↑ Yasuhiro Fujiwara, Makiko Kubo, Yukie Kohata et Hirohisa Machida, « Cigarette smoking and its association with overlapping gastroesophageal reflux disease, functional dyspepsia, or irritable bowel syndrome », Internal Medicine (Tokyo, Japan), vol. 50, no 21, , p. 2443–2447 (ISSN 1349-7235, PMID 22041340, DOI 10.2169/internalmedicine.50.6012, lire en ligne, consulté le )
- ↑ Eivind Ness-Jensen et Jesper Lagergren, « Tobacco smoking, alcohol consumption and gastro-oesophageal reflux disease », Best Practice & Research. Clinical Gastroenterology, vol. 31, no 5, , p. 501–508 (ISSN 1532-1916, PMID 29195669, DOI 10.1016/j.bpg.2017.09.004, lire en ligne, consulté le )
- ↑ (en) Watanabe Y., Fujiwara Y., Shiba M. et Watanabe T., « Cigarette Smoking and Alcohol Consumption Associated with Gastro-Oesophageal Reflux Disease in Japanese Men », Scandinavian Journal of Gastroenterology, vol. 38, no 8, , p. 807–811 (ISSN 0036-5521 et 1502-7708, DOI 10.1080/00365520310004506, lire en ligne, consulté le )
- 1 2 3 4 (en) Luis Bujanda, « The effects of alcohol consumption upon the gastrointestinal tract », The American Journal of Gastroenterology, vol. 95, no 12, , p. 3374–3382 (ISSN 0002-9270 et 1572-0241, DOI 10.1111/j.1572-0241.2000.03347.x, lire en ligne, consulté le ).
- ↑ Nilsson M, Johnsen R, Ye W, Hveem K, Lagergren J, Lifestyle related risk factors in the aetiology of gastro-oesophageal reflux, Gut, 2004;53:1730-1735
- 1 2 Ranjitkar S, Kaidonis JA, Smales RJ, « Gastroesophageal Reflux Disease and Tooth Erosion », International Journal of Dentistry, vol. 2012, , p. 479850 (ISSN 1687-8728, PMID 22194748, PMCID 3238367, DOI 10.1155/2012/479850)
- ↑ Sontag S, O’Connell S, Khandelwal S, et al. (1990) Most asthmatics have gastro-esophageal reflux with or without bronchodilator therapy. Gastroenterology ;99:613– 20.
- 1 2 3 4 5 Bredenoord AJ, Pandolfino JE, Smout AJ, Gastro-oesophageal reflux disease, LAncet, 2013;381:1933-1942
- ↑ Orr WC, Sleep-related gastro-oesophageal reflux as a distinct clinical entity, Aliment Pharmacol Ther, 2010;31:47-56
- ↑ Ronkainen J, Aro P, Storskrubb T et als. Prevalence of Barrett's esophagus in the general population: an endoscopic study, Gastroenterology, 2005;129:1825-1831
- ↑ Lundell LR, Dent J, Bennett JR et al. Endoscopic assessment of oesophagitis: clinical and functional correlates and further validation of the Los Angeles classification, Gut, 1999;45:172-180
- ↑ Pandolfino JE, Richter JE, Ours T, Guardino JM, Chapman J, Kahrilas PJ, Ambulatory esophageal pH monitoring using a wireless system, Am J Gastroenterol, 2003;98:740-749
- ↑ (en) Bredenoord AJ, Weusten BL, Smout AJ, « Symptom association analysis in ambulatory gastro-oesophageal reflux monitoring », Gut, no 54, , p. 1810-1817 (lire en ligne)
- ↑ (en) Sifrim D, Castell D, Dent J, Kahrilas PJ, « Gastro-oesophageal reflux monitoring: review and consensus report on detection and definitions of acid, non-acid, and gas reflux », Gut, no 53, , p. 1024-1031 (lire en ligne)
- ↑ Anthony J. Horton et Steven B. Clayton, « Optimization of impedance-measured reflux events in GORD utilizing acid exposure time », BMC gastroenterology, vol. 20, no 1, , p. 179 (ISSN 1471-230X, PMID 32517709, PMCID 7281954, DOI 10.1186/s12876-020-01321-z, lire en ligne, consulté le )
- ↑ (en) Joel E. Richter, Edward G. Hewson, Jane W. Sinclair, Christine B. Dalton, « Acid perfusion test and 24-hour esophageal pH monitoring with symptom index », Digestive Diseases and Sciences, Kluwer Academic Publishers-Plenum Publishers, vol. 36, no 5, , p. 565-571. (ISSN 0163-2116 et 1573-2568, DOI 10.1007/BF01297020, résumé)
- ↑ (en) Pandolfino JE, Kahrilas PJ, « AGA technical review on the clinical use of esophageal manometry », Gastroenterology, no 128, , p. 209-224 (lire en ligne)
- ↑ (en) Joel E. Richter, Edward G. Hewson, Jane W. Sinclair, Christine B. Dalton, « Acid perfusion test and 24-hour esophageal pH monitoring with symptom index », Digestive Diseases and Sciences, Kluwer Academic Publishers-Plenum Publishers, vol. 36, no 5, , p. 565-571 (ISSN 0163-2116 et 1573-2568, DOI 10.1007/BF01297020, résumé)
- ↑ Tremblay, Larry, Autotraitement du mal de ventre ou Soulager les troubles digestifs fonctionnels et les symptômes associés : diarrhée, constipation, migraine, insomnie, anxiété, etc., Larry Tremblay, éditeur, Québec, 2007, 188 p. http://www.makisoft.net/autotraitement
- ↑ Kahrilas PJ, Shaheen NJ, Vaezi MF et al. American Gastroenterological Association. American Gastroenterological Association medical position statement on the management of gastroesophageal reflux disease, Gastroenterology, 2008;135:1383-1391, 1391.e1-1391.e5
- ↑ Ioannis-Nektarios Elmaliklis, Athanasia Liveri, Basileios Ntelis et Konstantina Paraskeva, « Increased Functional Foods' Consumption and Mediterranean Diet Adherence May Have a Protective Effect in the Appearance of Gastrointestinal Diseases: A Case⁻Control Study », Medicines (Basel, Switzerland), vol. 6, no 2, (ISSN 2305-6320, PMID 30970582, PMCID 6631641, DOI 10.3390/medicines6020050, lire en ligne, consulté le ).
- ↑ Luis Grande, Carlos Manterola, Emilio Ros et Gloria Lacima, « [No title found] », Digestive Diseases and Sciences, vol. 42, no 6, , p. 1189–1193 (DOI 10.1023/A:1018893721735, lire en ligne, consulté le ).
- ↑ J. P. Cranley, E. Achkar et B. Fleshler, « Abnormal lower esophageal sphincter pressure responses in patients with orange juice-induced heartburn », The American Journal of Gastroenterology, vol. 81, no 2, , p. 104–106 (ISSN 0002-9270, PMID 3946363, lire en ligne, consulté le ).
- ↑ Johannes Völker, Christine Völker, Philipp Schendzielorz et Sebastian P. Schraven, « Pathophysiology of esophageal impairment due to button battery ingestion », International Journal of Pediatric Otorhinolaryngology, vol. 100, , p. 77–85 (ISSN 1872-8464, PMID 28802391, DOI 10.1016/j.ijporl.2017.06.030, lire en ligne, consulté le ).
- ↑ Wenyuan Jia, Bin Zhang, Guanghui Xu et Jiangang Xie, « Edible Oils Attenuate Button Battery-Induced Injury in Porcine Esophageal Segments », Frontiers in Pediatrics, vol. 8, , p. 97 (ISSN 2296-2360, PMID 32232020, PMCID PMC7082351, DOI 10.3389/fped.2020.00097, lire en ligne, consulté le ).
- ↑ (en) Noriaki Manabe, Ken Haruma, Hiroaki Kusunoki et Tomoari Kamada, « Differences in salivary secretory function between patients with erosive esophagitis and those with nonerosive reflux disease: Salivary function between NERD and RE », Journal of Gastroenterology and Hepatology, vol. 33, no 4, , p. 807–813 (DOI 10.1111/jgh.14002, lire en ligne, consulté le ).
- ↑ « Toutes les infos médicales sur Reflux gastro-oesophagien: comment lutter contre le goût acide? ».
- ↑ (en) Jacobson BC, Somers SC, Fuchs CS, Kelly CP, Camargo CA Jr, « Body-mass index and symptoms of gastroesophageal reflux in women », N Engl J Med., no 354, , p. 2340-2348 (lire en ligne).
- ↑ (en) Singh M, Lee J, Gupta N et al., « Weight loss can lead to resolution of gastroesophageal reflux disease symptoms: a prospective intervention trial », Obesity (Silver Spring), (PMID 22728696, DOI 10.1038/oby.2012.180).
- ↑ (en) Johnsson F, Hatlebakk JG, Klintenberg AC et al., « One-week esomeprazole treatment: an effective confirmatory test in patients with suspected gastroesophageal reflux disease », Scand J Gastroenterol., no 38, , p. 354-359 (PMID 12739706)
- ↑ (en) Miner P, Katz PO, Chen Y, Sostek M., « Gastric acid control with esomeprazole, lansoprazole, omeprazole, pantoprazole, and rabeprazole: a five-way crossover study », Am J Gastroenterol., no 98, , p. 2616-2620. (PMID 14687806)
- ↑ (en) Grande L, Lacima G, Ros E et al., « Lack of effect of metoclopramide and domperidone on esophageal peristalsis and esophageal acid clearance in reflux esophagitis: a randomized, double-blind study », Dig Dis Sci., no 37, , p. 583-588 (lire en ligne)
- 1 2 3 (en) V. Savarino, F. Pace, C. Scarpignato et the Esoxx Study Group, « Randomised clinical trial: mucosal protection combined with acid suppression in the treatment of non-erosive reflux disease - efficacy of Esoxx, a hyaluronic acid-chondroitin sulphate based bioadhesive formulation », Alimentary Pharmacology & Therapeutics, vol. 45, no 5, , p. 631–642 (PMID 28116754, PMCID PMC5347926, DOI 10.1111/apt.13914, lire en ligne, consulté le )
- ↑ (en) Massimo Di Simone, Fabio Baldi, Valentina Vasina et Maria Laura Bacci, « Barrier effect of Esoxx® on esophageal mucosal damage: experimental study on ex-vivo swine model », Clinical and Experimental Gastroenterology, , p. 103 (ISSN 1178-7023, PMID 22767997, PMCID PMC3387832, DOI 10.2147/CEG.S31404, lire en ligne, consulté le )
- ↑ B. Palmieri, A. Merighi, D. Corbascio et V. Rottigni, « Fixed combination of hyaluronic acid and chondroitin-sulphate oral formulation in a randomized double blind, placebo controlled study for the treatment of symptoms in patients with non-erosive gastroesophageal reflux », European Review for Medical and Pharmacological Sciences, vol. 17, no 24, , p. 3272–3278 (ISSN 1128-3602, PMID 24379055, lire en ligne, consulté le )
- ↑ Eliseo Carrasco Esteban, « How Efficacious is Ziverel® for Symptomatic Relief of Acute Radiation-Induced Esophagitis? Retrospective Study of Patients Receiving Oncologic Treatment », Cancer therapy & Oncology International Journal, vol. 7, no 5, (DOI 10.19080/CTOIJ.2017.07.555724, lire en ligne, consulté le )
- ↑ (en) Patrick du Souich, Antonio G. García, Josep Vergés et Eulàlia Montell, « Immunomodulatory and anti-inflammatory effects of chondroitin sulphate », Journal of Cellular and Molecular Medicine, vol. 13, no 8a, , p. 1451–1463 (PMID 19522843, PMCID PMC3828858, DOI 10.1111/j.1582-4934.2009.00826.x, lire en ligne, consulté le )
- ↑ (en) M. Schnabelrauch et D. Scharnweber, « Sulfated Glycosaminoglycans As Promising Artificial Extracellular Matrix Components to Improve the Regeneration of Tissues », sur www.ingentaconnect.com, (consulté le )
- ↑ (en) Kessiena L. Aya et Robert Stern, « Hyaluronan in wound healing: Rediscovering a major player: Hyaluronan in wound healing », Wound Repair and Regeneration, vol. 22, no 5, , p. 579–593 (DOI 10.1111/wrr.12214, lire en ligne, consulté le )
- ↑ (en) Khan M, Santana J, Donnellan C, Preston C, Moayyedi P., « Medical treatments in the short term management of reflux esophagitis », Cochrane Database Syst Rev., no 2, , CD003244-CD003244 (lire en ligne)
- ↑ (de) R Nissen, « Eine einfache Operation zur Beeinflussung der Refluxoesophagitis (A simple operation for control of reflux esophagitis) », Schweiz Med Wochenschr., no 86(suppl 20), , p. 590-592
- ↑ (en) Grant AM, Cotton SC, Boachie C. et al., « Minimal access surgery compared with medical management for gastro-oesophageal reflux disease: five year follow-up of a randomised controlled trial (REFLUX) », BMJ, no 346 pages=f1908., (lire en ligne)
- ↑ (en) Galmiche JP, Hatlebakk J, Attwood S. et al., « Laparoscopic antireflux surgery vs esomeprazole treatment for chronic GERD: the LOTUS randomized clinical trial », JAMA, no 305, , p. 1969-1977. (lire en ligne)
- ↑ Fass R, Cahn F, Scotti DJ, Gregory DA, Systematic review and meta-analysis of controlled and prospective cohort efficacy studies of endoscopic radiofrequency for treatment of gastroesophageal reflux disease, Surg Endosc, 2017;31:4865-4882
- ↑ Cadière GB, Rajan A, Germay O, Himpens J, Endoluminal fundoplication by a transoral device for the treatment of GERD: a feasibility study, Surg Endosc, 2008;22:333-342
- ↑ Trad KS, Barnes WE, Simoni G et al. Transoral incisionless fundoplication effective in eliminating GERD symptoms in partial responders to proton pump inhibitor therapy at 6 months: the TEMPO randomized clinical trial, Surg Innov, 2015;22:26-40
- ↑ Trad KS, Barnes WE, Prevou ER et al. The TEMPO trial at 5 years: transoral fundoplication (TIF 2.0) is safe, durable, and cost-effective, Surg Innov, 2018;25:149-157
- ↑ Witteman BP, Conchillo JM, Rinsma NF et al. Randomized controlled trial of transoral incisionless fundoplication vs proton pump inhibitors for treatment of gastroesophageal reflux disease, Am J Gastroenterol, 2015;110:531-542
- ↑ Ganz RA, Peters JH, Horgan S et al. Esophageal sphincter device for gastroesophageal reflux disease, N Engl J Med, 2013;368:719-727
- ↑ Guidozzi N, Wiggins T, Ahmed AR, Hanna GB, Markar SR, Laparoscopic magnetic sphincter augmentation versus fundoplication for gastroesophageal reflux disease: systematic review and pooled analysis, Dis Esophagus, 2019;32:doz031
- ↑ (en) Egan JV, Baron TH, Adler DG. et al., « Esophageal dilation », Gastrointest Endosc., no 63, , p. 755-760 (lire en ligne)
- Portail de la médecine