Syndrome de Morel-Lavallée

Syndrome de Morel-Lavallée
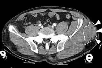
Description de cette image, également commentée ci-après
Syndrome de Morel-Lavallée au niveau du bassin gauche observée au scanner.
Causes Blessure[1]
Début habituel Immédiatement ou quelques jours après la blessure[1]
Symptômes Ecchymoses, mobilité accrue de la peau, gonflement[1]
Complications Zone anormale[1]
Risques Infection, épanchement
Traitement
Diagnostic Sur la base d'un examen, étayé par l'imagerie médicale[1]
Différentiel Abcès, contusion, hématome, bursite prépatellaire[2].
Traitement Surveillance étroite, drainage à l'aide d'une aiguille, chirurgie[1]
Épidémiologie
Fréquence Rare[2]
Classification et ressources externes

Wikipédia ne donne pas de conseils médicaux Mise en garde médicale

Le syndrome de Morel-Lavallée (SML) ou lésion de Morel-Lavallée (MLL) est un type de blessure[1] caractérisée par un épanchement de liquide sérolymphatique consécutif à un traumatisme qui survient de manière tangentielle[3] sur un tissu fortement vascularisé. Ce traumatisme provoque la désolidarisation des tissus cutanés et sous-cutanés par rapport aux couches musculaires et aux fascias situés en-dessous, sans rupture de la peau[4],[5]. À la suite de ce décollement cutané, se crée un espace dans lequel le liquide sérolymphatique s'accumule.

La lésion se situe généralement au niveau de la cuisse ou du bassin ; même si d'autres régions du corps peuvent être impliquées[1]. Les symptômes comprennent des ecchymoses, une mobilité cutanée accrue et un gonflement[1]. Cela peut ne pas apparaître avant quelques jours[1]. Les complications peuvent consister en une infection ou une anomalie de la zone concernée[1].

Le syndrome de Morel-Lavallée a été décrit pour la première fois en 1863 par Victor-Auguste-François Morel-Lavallée[6]. Ces lésions de Morel-Lavallée sont relativement rares[2].

Cause

Elle survient généralement après un traumatisme important, comme une collision automobile[1],[2]. L'épanchement est souvent aussi dû à des chocs violents, tels que des chutes en pratiquant des sports comme le ski, le skateboard, le football, ou les sports de combat, entraînant des lésions des tissus sous-cutanés[3].

Les blessures associées peuvent inclure des fractures du bassin ou du fémur[1]. Le mécanisme sous-jacent implique la séparation du tissu sous-cutané du fascia situé en dessous, sans rupture de la peau[1], Cela crée un espace dans lequel le fluide s'accumule[2]. Le diagnostic se fait à partir d'un examen physique et peut être étayé par imagerie médicale[1].

Diagnostic

Le diagnostic est basé sur l'examen clinique et peut être étayé par l'imagerie médicale[7].

Classification de Mellado et Bencardino des lésions de Morel-Lavallée. Type I = collection séreuse, type II = hématome sous-cutané, type III = hématome chronique en cours de constitution, type IV = dissection périfasciale avec lacune graisseuse fermée, type V = lésion pseudonodulaire périfasciale, type VI = lésion infectée avec ou sans formation de sinus, cloisons internes et capsule épaisse de consolidation[8]

Prise en charge

La prise en charge définitive est dictée par la taille, la localisation et l'ancienneté de la lésion et va du drainage percutané au débridement et nettoyage chirurgical. Elle comporte généralement une surveillance étroite et un drainage effectué avec une aiguille ou une intervention chirurgicale[1]. Il existe d'autres options, comme la thérapie par compression ou la sclérothérapie[2].

Après le traitement, il y a un risque de récidive[2]. Les lésions chroniques peuvent entraîner l'apparition de pseudokystes et/ou de dystrophies[9].

Références

  1. 1 2 3 4 5 6 7 8 9 10 11 12 13 14 15 16 JA Scolaro, T Chao et DP Zamorano, « The Morel-Lavallée Lesion: Diagnosis and Management. », The Journal of the American Academy of Orthopaedic Surgeons, vol. 24, no 10, , p. 667-72 (PMID 27579812, DOI 10.5435/JAAOS-D-15-00181)
  2. 1 2 3 4 5 6 7 D Greenhill, C Haydel et S Rehman, « Management of the Morel-Lavallée Lesion. », The Orthopedic clinics of North America, vol. 47, no 1, , p. 115-25 (PMID 26614926, DOI 10.1016/j.ocl.2015.08.012)
  3. 1 2 « Hématome de Morel-Lavallée », sur DrSport (consulté le )
  4. (en) Ammar Mahmoudi et Ahmed Zrig, « Le syndrome de Morel-Lavallée: une entité à ne pas méconnaitre », Pan African Medical Journal, vol. 20, (ISSN 1937-8688, PMID 26113931, PMCID PMC4470410, DOI 10.11604/pamj.2015.20.200.6312, lire en ligne, consulté le )
  5. J. Foret, C. Geneve, M. Haaser, P. Germain, « Syndrome de Morel-Lavallée compliquant un traumatisme de cuisse », sur Société Française de Rhumatologie (consulté le )
  6. Victor-Auguste-François Morel-Lavallée, « Décollements traumatiques de la peau et des couches sous-jacentes », Arch. Gen. Med., vol. 1, , p. 300-332.
  7. G. Delannoy et A. Peyrottes, « Le syndrome de Morel-Lavallée : physiopathologie, présentation clinique et prise en charge », Journal de Traumatologie du Sport, vol. 38, no 3, , p. 168–172 (ISSN 0762-915X, DOI 10.1016/j.jts.2021.05.001, lire en ligne, consulté le )
  8. Tineke De Coninck, Filip Vanhoenacker et Koenraad Verstraete, « Imaging Features of Morel-Lavallée Lesions », Journal of the Belgian Society of Radiology, vol. 101, no S2, , p. 15 (DOI 10.5334/jbr-btr.1401).
  9. (en) John A. Scolaro, Tom Chao et David P. Zamorano, « The Morel-Lavallée Lesion: Diagnosis and Management », Journal of the American Academy of Orthopaedic Surgeons, vol. 24, no 10, , p. 667–672 (ISSN 1067-151X et 1940-5480, DOI 10.5435/JAAOS-D-15-00181, lire en ligne, consulté le )
  • icône décorative Portail de la médecine