Pseudokyste

Pseudokyste
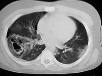
Description de cette image, également commentée ci-après
Une tomodensitométrie thoracique révélant des contusions pulmonaires, un pneumothorax et des pseudokystes
Classification et ressources externes

Wikipédia ne donne pas de conseils médicaux Mise en garde médicale

Les pseudokystes sont des kystes auxquels manquent des cellules épithéliales ou endothéliales. La prise en charge initiale consiste en des soins généraux de soutien, mais les symptômes et les complications causés par les pseudokystes nécessitent une intervention chirurgicale. On effectue auparavant une tomodensitométrie (TDM) pour l'imagerie initiale, et une échographie endoscopique pour différencier les kystes des pseudokystes. Le traitement de 1ère intention pour les pseudokystes est le drainage endoscopique[1].

Symptomatologie et diagnostic

Les pseudokystes sont souvent asymptomatiques. Les symptômes apparaissent plutôt avec les plus gros pseudokystes, la taille et l'ancienneté étant généralement de mauvais pronostic et indiquent de potentielles complications. Les pseudokystes pancréatiques peuvent provoquer des douleurs abdominales, des nausées et des vomissements, une sensation de ballonnement et des difficultés à manger ou digérer les aliments. Ils peuvent également s'infecter, se rompre ou obstruer une partie de l'intestin. Rarement, le pseudokyste infecté provoque un ictère ou de façon plus rare et plus grave un sepsis[2].

Causes

Les pseudokystes pancréatiques sont souvent causés par une pancréatite aiguë ou chronique. Ils peuvent également être causés par un traumatisme à l'abdomen, avec une fréquence plus élevée chez les enfants. Les pseudokystes sont plus souvent présents chez les patients atteints de pancréatite chronique que chez les patients atteints de pancréatite aiguë. De plus, si la pancréatite est causée par l'alcool, il y a une incidence plus élevée de pseudokystes. Ces pseudokystes causés par l'alcool représentent 59 % à 78 % de tous les pseudokystes pancréatiques. L'incidence réelle des pseudokystes pancréatiques est faible, d'environ 1,6 % à 4,5 %, soit 0,5 à 1 pour 100 000 adultes par an[2].

Les kystes surrénaliens existent en formes variées, ils comprennent les kystes parasitaires, les kystes épithéliaux, les kystes endothéliaux et les pseudokystes. 56 % de tous les changements ressemblant à des kystes surrénaliens sont des pseudokystes, et seulement 7 % de ces pseudokystes sont malins ou potentiellement malins.

La cause de l'apparition de pseudokystes surrénaliens est inconnue. Quelques théories existent, mais on pense que des épisodes répétés de traumatisme, d'infection ou de saignement peuvent provoquer la formation de collagène conduisant à la formation d'une muqueuse fibreuse.

Dans la maladie de Chagas, le parasite Trypanosoma cruzi entraîne la formation de pseudokystes, en particulier dans les tissus musculaires et nerveux. Dans ces pseudokystes, les parasites entrent dans leur stade amastigote, se reproduisant de manière asexuée, avant de rompre le pseudokyste et d'entrer dans la circulation sanguine[3] .

Notes et références

  1. Zadik Yehuda, Aktaş Alper, Drucker Scott, Nitzan Dorrit, « Aneurysmal bone cyst of mandibular condyle: A case report and review of the literature », Journal of Cranio-Maxillofacial Surgery, vol. 40, no 8, , p. 243–8 (PMID 22118925, DOI 10.1016/j.jcms.2011.10.026)
  2. 1 2 Samir Habashi, Peter Draganov, « Pancreatic pseudocyst », World Journal of Gastroenterology, vol. 15, no 1, , p. 38–47 (PMID 19115466, PMCID 2653285, DOI 10.3748/wjg.15.38)
  3. David Lalloo, Lecture Notes: Tropical Medicine, Wiley-Blackwell, (ISBN 978-0-470-65853-6), « South American trypanosomiasis (Chagas’ disease) », p. 148
  • icône décorative Portail de la médecine