Santé buccodentaire
La santé bucco-dentaire, en anglais : oral health, est l'état de bien-être, avec un fonctionnement normal de la bouche et de ses éléments principalement les dents. Selon l'OMS, la santé buccodentaire s'apparente à « l'absence de douleur buccale ou faciale, de cancer buccal ou pharyngé, d'infection ou de lésion buccale, de parodontopathie (affection touchant les gencives), de déchaussement et perte de dents, et d'autres maladies et troubles[1]». Plus de 70 % de la population mondiale (principalement des pays en voie de développement) manquent d'accès aux soins buccodentaires convenables et moindre coût.
Historique
Au Danemark, des preuves d’ouverture de molaires remontent au néolithique. Les anciens paysans du Pakistan pratiquaient déjà un traitement conservateur des dents, il y a environ 7 000 à 5 500 ans av. J.-C., cherchant à réparer les dents et à combler les cavités. Depuis les Sumériens jusqu’aux temps modernes, on pensait qu’un ver dans la dent était responsable de la carie. Le traitement dentaire sous anesthésie a commencé au XIXe siècle, utilisant d’abord le gaz hilarant, puis l’éther et le chloroforme[2]. Au XVIIe siècle, Antoine Lambert a émis l’hypothèse que la carie serait également la résultante de contusions externes, de fractures osseuses ou d’infections internes.
Au XVIIIe siècles, Pierre Fauchard jette les bases modernes de la médecine dentaire. En 1895, Wilhelm Röntgen a découvert les rayons X[3], simplifiant l’exploration de la mâchoire. En 1905, l’anesthésique local procaïne (Novocaïne) a été mis au point facilitant le processus du diagnostic et de la thérapeutique modernes[4].
Situation bucco-dentaire dans le monde
Près de 3,5 milliards de personnes, dont la plupart dans des pays à revenu intermédiaire, sont touchées par les affections buccodentaires selon les statisques de l'OMS[5]. On estime que 2 milliards de personnes souffrent de caries des dents définitives et 514 millions d’enfants de caries des dents de lait[6].
La prévalence des affections bucco-dentaires ne cesse de s'accroître. Et ce, en raison d’une exposition inadéquate au fluorure (dans certains produits de consommation), des aliments à forte teneur en sucre, de la consommation des stupéfiants et des difficultés d’accès aux services de soins bucco-dentaires communautaires surtout en Afrique subsaharienne[7].
En Afrique
La santé bucco-dentaire en Afrique est une préoccuppation de santé publique. Au cours des trois dernières décennies, le continent a enregistré la plus forte hausse de ces maladies dans le monde[7]. En 2023, le bureau Afrique de l'OMS signale que 44 % de la population africaine est touchée par une maladie bucco-dentaire.
En Amérique
En Europe
En Asie
Maladies buccodentaires
Caries dentaires
Les caries dentaires apparaissent lorsque la plaque dentaire qui se forme à la surface des dents transforme les sucres libres présents dans les aliments et les boissons en acides qui, au fil du temps, détruisent la dent. En moyenne, 29 % des adultes, soit environ deux milliards de cas, sont touchés par cette infection[8].
Depuis 1990, les estimations font état d'environ 640 millions de cas supplémentaires de carie dentaire dans le monde avec une prévalence en baisse de 2,6 % dont plus de 120 %,en Afrique.
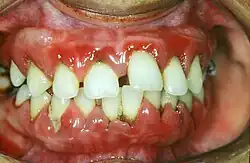
Maladie parodontale

Les maladies parodontales affectent les tissus qui entourent et soutiennent les dents[9]. Elles se manifestent par un saignement ou un gonflement des gencives (gingivite), des douleurs et parfois par une mauvaise haleine. On estime que les parodontites avancés touchent près de 19 % de la population adulte mondiale. Les principaux facteurs de risque sont une mauvaise hygiène bucco-dentaire et le tabagisme.
Édentement
La perte de dents est généralement l’aboutissement d’une vie marquée par les affections bucco-dentaires, principalement des caries dentaires avancées et une maladie parodontale grave, mais elle peut également être due à un traumatisme ou à d’autres causes.
Selon les estimations, la prévalence moyenne mondiale de l’édentement est de près de 7 % chez les personnes âgées de 20 ans ou plus. Pour les personnes âgées de 60 ans ou plus, la prévalence mondiale estimée est beaucoup plus élevée, s’établissant à 23 %. Perdre ses dents peut être traumatisant sur le plan psychologique, dommageable sur le plan social et limitant sur le plan fonctionnel.
Cancer de la bouche

Le cancer de la bouche, qui englobe le cancer des lèvres et des autres sites de la cavité buccale ainsi que le cancer de l’oropharynx et des formes combinées, constitue le 13e cancer le plus répandu dans le monde selon l'OMS[6]. En Amérique du Nord et en Europe, les infections à papillomavirus humain affectent le pourcentage de cancers de la bouche chez les jeunes[10],[11].
Traumatismes bucco-dentaires
Les traumatismes bucco-dentaires sont des lésions causées par un choc sur les dents et d’autres tissus situés dans la bouche[12]. Selon les estimations, un milliard de personnes seraient touchées dont 20 % des enfants âgés de moins de 12 ans. Ces traumatismes résultent d'un mauvais alignement des dents, et de facteurs environnementaux comme des aires de jeu mal sécurisées, des comportements à risque, des accidents de la route et des actes de violence.
Noma
Le noma est une infection gangréneuse sévère de la bouche et du visage qui touche principalement l’enfant malnutri de deux à six ans souffrant d’une maladie infectieuse, vivant dans l’extrême pauvreté sans une hygiène bucco-dentaire satisfaisante et/ou dont le système immunitaire est affaibli. Il prédomine en Afrique, comparativement aux autres régions du monde.
Facteurs de risque
La plupart des maladies et affections bucco-dentaires présentent les mêmes facteurs de risque : tabagisme, consommation récurrente d’alcool et une alimentation très riche en sucres libres[6]. En outre, le diabète sucré aurait un lien de réciprocité avec l’apparition et l’évolution de la parodontite[13]. Un lien de causalité existe aussi entre une forte consommation de sucres, le diabète et la carie dentaire[14].
Les cas des athlètes de haut-niveau
Pour des raisons mal comprises (nutrition inadéquate ? fréquente déshydratation buccale ?, immunosuppression induite par le surentrainement ?...), toutes les études faites depuis 1968 démontrent que les athlètes de haut niveau, même considérés comme en bonne santé, en forme et hautement préparés, ont une mauvaise santé bucco-dentaire (30 % des consultations médicales aux Jeux olympiques de 2012 ont consacrées à des soins dentaires, second motif de consultation, juste après les troubles musculo-squelettiques ; et cette demande a augmenté au fil des jeux), au détriment de leur bien-être et potentiellement de leurs performances[15].
Une déclaration de consensus a été publiée en 2015, visant à sensibiliser le public aux enjeux de la santé bucco-dentaire dans le sport de haut-niveau, elle encourage la prévention et la promotion de la santé, ainsi que des recherches sur le sujet[15]. En 2021, un nouvel article « invite à développer le rôle du dentiste du sport »[16].
Prévention
Il est possible de réduire la charge des affections bucco-dentaires par certaines conduites :
- Bonne nutrition : l’allaitement maternel exclusif pendant les six premiers mois de la vie. De six mois à deux ans, encouragez l’allaitement maternel et commencez à incorporer de petites quantités d’aliments, en choisissant des aliments et des boissons sans sucres ajoutés. Ensuite, il faut prendre des aliments nutritifs, pauvres en sucres ajoutés. Le sucre peut provoquer l’obésité, le diabète et les caries dentaires;
- Une alimentation équilibrée : riche en fruits, légumes, noix et grains entiers, et pauvre en sel, sucre, gras;
- stopper la consommation de tabac sous toutes ses formes, y compris la mastication de noix d’arec;
- réduire la consommation d’alcool;
- encourager le port d’équipements de protection lors d’activités sportives et de déplacements à vélo et à moto (de sorte à réduire le risque de traumatismes de la face);
- Le brossage des dents deux fois par jour avec un dentifrice contenant du fluorure (entre 1000 et 1500 ppm).
En Afrique
Les pays membres de la Région africaine de l'OMS ont approuvé, en 2016, la Stratégie régionale pour la santé bucco-dentaire 2016-2025. Celle-ci vise à intégrer la santé bucco-dentaire dans la prévention et la lutte contre les maladies non transmissibles en vue d’instaurer la couverture sanitaire universelle[17]. À partir de 2021, une trentaine de pays africains disposent d’une unité de santé bucco-dentaire et l'accès aux dentifrices fluorés de bonne qualité pour prévenir les caries dentaires sont élargis dans différents du pays du continent.
Notes et références
- ↑ « L'état de la santé buccodentaire au Canada », sur cda-adc.ca (consulté le ).
- ↑ Mathilde Ragot, « Révélation sur la résistance aux caries des hommes préhistoriques, grâce à une étude de dents vieilles de 4 000 ans », sur Geo.fr, (consulté le ).
- ↑ Encyclopédie Universalis, « DÉCOUVERTE DES RAYONS X : Universalis Junior », sur Encyclopædia Universalis Junior (consulté le ).
- ↑ par, « Qu'est-ce que la procaïne ? - Spiegato », (consulté le ).
- ↑ « Dentaire365 - OMS : les chiffres de la santé bucco-dentaire », sur dentaire365.fr (consulté le ).
- 1 2 3 « Santé bucco-dentaire », sur who.int (consulté le ).
- 1 2 « L’Afrique est confrontée à la plus forte hausse des maladies bucco-dentaires dans le monde », sur OMS | Bureau régional pour l'Afrique, (consulté le ).
- ↑ Fontenelle nicolas, « Selon les données mondiales de l'OMS, sur 30 ans, l’atteinte carieuse régresse, la maladie parodontale explose », sur L'Information Dentaire, (consulté le ).
- ↑ « Maladie parodontale : définition, causes et symptômes », sur Actualités Santé, (consulté le ).
- ↑ Q. Lepiller, L. Puget, A. Debernardi et J. L. Prétet, « Infections à papillomavirus humains et lésions associées », Journal de Pédiatrie et de Puériculture, vol. 34, no 3, , p. 122–129 (ISSN 0987-7983, DOI 10.1016/j.jpp.2021.02.003, lire en ligne, consulté le )
- ↑ « Infection par le papillomavirus humain (VPH) - Infection par le papillomavirus humain (VPH) », sur Manuels Merck pour le grand public (consulté le ).
- ↑ « Les traumatismes bucco-dentaires », sur Site du Cabinet d'Odontologie Saint Léonard - Trélazé - Village Santé (consulté le ).
- ↑ « Le diabète et les problèmes de santé bucco-dentaire », sur colgate.fr (consulté le ).
- ↑ « Le sucre, un facteur de risque de cancer ? », sur INRAE Institutionnel (consulté le ).
- 1 2 (en) I. Needleman, P. Ashley, P. Fine et F. Haddad, « Consensus statement: Oral health and elite sport performance », British Dental Journal, vol. 217, no 10, , p. 587–590 (ISSN 1476-5373, DOI 10.1038/sj.bdj.2014.1000, lire en ligne, consulté le ).
- ↑ (en) Julie Gallagher, Peter Fine, Paul Ashley et Ian Needleman, « Developing the role of the sports dentist », British Dental Journal, vol. 231, no 9, , p. 544–546 (ISSN 0007-0610 et 1476-5373, DOI 10.1038/s41415-021-3612-9, lire en ligne, consulté le ).
- ↑ Badr Kidiss, « En Afrique, une personne sur deux souffre d'une maladie bucco-dentaire », sur AlloDocteursAFRICA, (consulté le ).
Voir aussi
Liens externes
Articles connexes
- Portail de la médecine