Cancer de la bouche
| Spécialité | Oncologie et chirurgie maxillo-faciale |
|---|
| CIM-10 | C00-C08 |
|---|---|
| CIM-9 | 140-146 |
| DiseasesDB | 9288 |
| MedlinePlus | 001035 |
Mise en garde médicale
Les cancers de la bouche, ou cancers de la cavité buccale, désignent les lésions cancéreuses situées au niveau du plancher de la bouche (2/3 antérieurs de langue, palais, joues, gencives, lèvres). Ce sont les cancers des voies aérodigestives supérieures (VADS) les plus fréquents[1].
Ils sont essentiellement causés par la consommation de tabac et d’alcool, d'autant plus lorsqu'ils sont consommés ensemble (effet synergique)[2].
Épidémiologie
En France métropolitaine, on a recensé environ 4 700 nouveaux cas en 2018, dont 66 % d'hommes. Entre 1990 et 2018, on observe une baisse de 25 % de nouveaux cas annuels chez l'homme, et une hausse de 122 % chez la femme, attribuable à plus de la moitié par une augmentation du risque, et un accroissement et vieillissement de la population[1].
Dans le monde, le taux d'incidence standardisé est de respectivement 5,7 cas et 2,3 cas pour 100 000 personnes-années chez l'homme et chez la femme. Cela représente plus de 377 000 cas, avec plus de 177 000 décès tous âges et sexes confondus. Il est observé une prévalence plus forte en Asie du Sud Est et en Inde, liée à la consommation de bétel[1].
L'âge médian au diagnostic est de 62 ans chez les hommes, et 66 ans chez les femmes[1].
Symptômes
Les signes d'alerte des cancers de la cavité buccale sont :
- une plaie dans la bouche qui ne guérit pas, ulcération infiltrée, souvent indolore et persistante
- une tuméfaction dans la bouche
- une difficulté ou une douleur lors des mouvements de la langue (trouble de la protraction linguale)
- une douleur de l'oreille (otalgies réflexe)
- une mobilité dentaire
- un saignement des gencives (gingivorragie)
- une gêne à la déglutition (dysphagie et odynophagie)
- une anesthésie dans le territoire du nerf mandibulaire
- une augmentation de la taille d'un ganglion cervical
De façon générale, tout symptôme persistant plus de 15 jours devrait conduire à consulter[3].
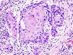
Types
_squamous_cell_carcinoma_histopathology.jpg)
Le cancer peut être primitif ou secondaire à un autre cancer (métastase). Il peut être de différents types histologiques :
- carcinome épidermoïde (ou spinocellulaire) le plus fréquent ;
- tératome ;
- adénocarcinome issu d'une glande salivaire ;
- lymphome dans les tissus lymphatiques ;
- mélanome des cellules productrices de pigment dans la muqueuse buccale.
Facteurs de risque
Certains facteurs de risque de cancer de la bouche ont été identifiés :
- Âge : la plupart des personnes atteintes ont entre 50 et 60 ans[1].
- Sexe : les hommes sont 2,5 fois plus atteints que les femmes[1].
- Leucoplasie et érythroplasie : états précancéreux[1].
- Tabagisme (à partir de 20 paquets-années) : 90 % des personnes atteintes sont des fumeurs[1]. Le tabac contient plus de 19 substances cancérigènes identifiées, et sa combustion est le premier facteur de cancer[4]. Il contribue aussi à l'irritation des muqueuses par la fumée et la chaleur des cigarettes, cigares ou pipes. Le tabac à mâcher et les prises provoquent également des irritations des muqueuses nasales et de la bouche ;
- Consommation d'alcool : 75 % des personnes atteintes sont consommateurs d'alcool[1]. Ils sont particulièrement impliqués pour les cancers des VADS et plus encore lorsqu'associés au tabagisme[4]. La consommation concomitante tabac et d'alcool augmente le risque de cancer des VADS par 15[1].
- Certains produits ou pâtes à mâcher : dans de nombreux pays asiatiques et du Moyen-Orient, une consommation culturelle de produits à mâcher (bétel, paan et Areca) est connue comme puissant facteur de risque de cancer de la bouche. En Inde où de telles pratiques sont courantes, le cancer de la bouche représente jusqu'à 40 % de tous les cancers, contre seulement 4 % au Royaume-Uni. Par ailleurs, dans le sous-continent indien une fibrose buccale des sous-muqueuses est très commune, caractérisée par une difficulté à ouvrir la bouche et par une sensation de brûlure inhabituelle lors de la mise en bouche de nourriture épicée. Cette lésion progressive finit par rendre la prise de nourriture difficile. Cette maladie concerne presque exclusivement l'Inde et les communautés indiennes vivant à l'étranger.
Stade tumoral
Stades TNM OMS 2009 des cancer des lèvres et de la cavité buccale
- Tis - Carcinome in situ
- T1 : Tumeur de moins de 2 cm (ou égal)
- T2 : Tumeur entre 2 et 4 cm
- T3 : Tumeur de plus de 4 cm
- T4a - Lèvres : Tumeur franchissant l'os cortical, envahissant le nerf alvéolaire inférieur, le plancher buccal ou le revêtement cutané (nez ou menton)
- T4a - Cavité buccale : Tumeur franchissant l'os cortical, envahissant les muscles profonds/extrinsèques de la langue, le sinus maxillaire, ou le revêtement cutané de la face.
- T4b - Lèvres et cavité buccale : Tumeur envahissant l'espace masticateur, les lames ptérygoïdes, ou la base du crâne, ou l'artère carotide interne.
Notes et références
- 1 2 3 4 5 6 7 8 9 10 « Facteurs de risque de cancer de la cavité buccale | Cancer et environnement », sur www.cancer-environnement.fr (consulté le )
- ↑ « Cancers de la sphère ORL (voies aérodigestives supérieures) : les points clés - Cancers de la sphère ORL (voies aérodigestives supérieures) », sur www.e-cancer.fr (consulté le )
- ↑ L’essentiel sur les cancers de la cavité buccale - Le module de formation à la détection précoce des cancers de la cavité buccale (novembre 2008) de l’Institut National du Cancer (INCa)
- 1 2 Rapport Alcool et risque de cancer (60 pages), Institut national du cancer, et réseau Nacre, 2008)
Annexes
Articles connexes
Liens externes
- Ressources relatives à la santé :
- Ressource relative à la recherche :
- Portail de la médecine