Rhodobacter

Rhodobacter
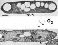
Description de cette image, également commentée ci-après
Rhodobacter sphaeroides
Classification LPSN
Domaine Bacteria
Embranchement Proteobacteria
Classe Alpha Proteobacteria
Ordre Rhodobacterales
Famille Rhodobacteraceae

Genre

Rhodobacter
Imhoff et al. 1984 emend. Srinivas et al. 2007

Rhodobacter est un genre de bactéries. Les cellules sont de formes ovoïdes ou en bâtonnet. Ce sont des bactéries photosynthétiques aquatiques, rencontrées dans l'environnement marin ou l'eau douce. Rhodobacter exprime différents modes respiratoires (aérobie ou anaérobie) et métaboliques, lui permettant de survivre dans un grand nombre d'habitats.

Rhodobacter sphaeroides est une espèce très étudiée en recherche fondamentale, notamment sur l'étude de la photosynthèse bactérienne, l'adaptation à l'environnement et l'évolution. Elle présente par ailleurs l'originalité de posséder deux chromosomes, (un grand et un petit) ce qui est rare chez les procaryotes.

Rhodobacter capsulatus est également étudiée.

Liste d'espèces

  • Rhodobacter apigmentum
  • Rhodobacter azotoformans
  • Rhodobacter blasticus
  • Rhodobacter capsulatus
  • Rhodobacter gluconicum
  • Rhodobacter litoralis
  • Rhodobacter massiliensis
  • Rhodobacter sphaeroides
  • Rhodobacter veldkampii

Selon NCBI (8 janv. 2011)[1] :

  • Rhodobacter aestuarii
  • Rhodobacter apigmentum
  • Rhodobacter azotoformans
  • Rhodobacter blasticus
  • Rhodobacter capsulatus
  • Rhodobacter changlensis
  • Rhodobacter gluconicum
  • Rhodobacter johrii
  • Rhodobacter litoralis
  • Rhodobacter maris
  • Rhodobacter megalophilus
  • Rhodobacter ovatus
  • Rhodobacter sphaeroides
  • Rhodobacter veldkampii
  • Rhodobacter vinaykumaraii
  • Rhodobacter vinaykumarii
  • unclassified Rhodobacter

Notes et références

Voir aussi

Références biologiques

Liens externes

  • icône décorative Portail de la microbiologie