Chromosome

Un chromosome (du grec ancien χρῶμα / khrôma, « couleur » et σώμα / sóma, « corps, élément »)[1] est un élément microscopique constitué d'une molécule d'ADN et de protéines, les histones et les protéines non histones. Il porte les gènes, supports de l'information génétique, transmis des cellules mères aux cellules filles lors des divisions cellulaires.
Dans les cellules eucaryotes, les chromosomes se trouvent dans le noyau. Dans les cellules procaryotes, qui ne contiennent qu'un seul chromosome circulaire, ce dernier se trouve dans une région du cytoplasme appelée nucléoïde.
Entre deux divisions, les molécules d'ADN constituant les différents chromosomes d'une cellule ne sont pas visibles ; ADN, ARN et protéines forment un ensemble non structuré appelé chromatine. L'ADN se condense progressivement au cours de la division cellulaire pour prendre lors de la métaphase une apparence caractéristique en forme de double bâtonnet, lié au centromère en forme de X.
L'ensemble des chromosomes est représenté sur un caryotype, ou carte de chromosomes, où les chromosomes sont habituellement présentés par paires, en parallèle avec leur homologue. Le caryotype représente les chromosomes sous leur forme condensée : les chromatides.
Définitions


Dans sa définition commune le chromosome est constitué d'une (ou plusieurs) molécule d'ADN, d'histones et de protéines non-histones, en ne tenant pas compte de son degré de condensation.
Dans sa définition la plus scientifiquement rigoureuse, un chromosome correspond à une structure totalement condensée de chromatine. Dans cette définition, le chromosome est seulement présent pendant la mitose, plus précisément pendant la métaphase où il prend le nom de chromosome métaphasique (c'est pendant la métaphase qu'il atteint son degré de condensation maximum), et se trouve en dehors du noyau (car ce dernier n'existe plus). Néanmoins il n'est pas incohérent de parler de chromosome pour les autres phases de la mitose, mais l'on parlera alors de chromosome mitotique au sens large. Le reste du temps (hors mitose), la chromatine est plus ou moins condensée dans le noyau (en euchromatine ou hétérochromatine) et ne forme pas de chromosome (il est sous la forme de pelote de laine, à l'aspect fibreux).

Un chromosome peut posséder une, deux ou plusieurs molécules d'ADN (chromatines) en fonction de l'espèce et du cycle cellulaire.
Il n'y a toujours qu'une seule molécule d'ADN par chromatide (structure très condensée, en forme de bâton et composée de chromatine) mais, chez l'humain par exemple, en fonction du moment de la mitose le chromosome peut être composé de deux chromatides (donc 2 molécules d'ADN) avant/pendant la métaphase; et d'une seule chromatide (1 molécule d'ADN) après la métaphase. Chez certaines espèces, comme chez les diptères, certains chromosomes sont dits polyténiques et possèdent plusieurs chromatides (jusqu'à 1 024).
Structure
Après la réplication de l'ADN pendant l'interphase du cycle cellulaire, les chromosomes sont composés de deux chromatides identiques, attachées au niveau du centromère. Chaque chromatide est formée d'une molécule d'ADN (le nucléofilament) associée à des protéines, les histones, autour desquelles elle s'enroule pour former des nucléosomes. Aux extrémités de chaque chromatide se trouvent les télomères, constitués de séquences répétitives d'ADN, qui assurent une protection des terminaisons chromosomiques. Les télomères et le centromère ne codent pas d'information génétique, il s'agit d'ADN non codant.
En microscopie optique, on distingue sur les chromosomes des régions condensées, formées d'hétérochromatine, et des régions décondensées, formées d'euchromatine. Les gènes exprimés se localisent principalement au niveau de l'euchromatine.
Chromosomes chez les procaryotes
Les bactéries et les Archaea possèdent en général un unique chromosome circulaire appelé chromoïde. Cependant, chez quelques espèces, comme la bactérie Borrelia burgdorferi, le chromosome est linéaire. Il existe également quelques bactéries, comme Rhodobacter sphaeroides, qui possèdent deux chromosomes[2]. Les bactéries contiennent également de l'ADN sous forme de plasmides, éléments génétiques non chromosomiques, non essentiels à la survie de la cellule.
Chromosomes chez les eucaryotes

Les eucaryotes possèdent de multiples chromosomes linéaires contenus dans le noyau cellulaire. Chaque chromosome a son propre centromère, avec un ou deux bras se projetant à partir de celui-ci. Lors de la mitose et de la méiose, le centromère permet l'assemblage du kinétochore qui lie les chromosomes aux microtubules, permettant ainsi leurs déplacements et leur répartition entre les deux cellules filles. Les extrémités des chromosomes sont des structures spéciales appelées télomères. Ces extrémités raccourcissent à chaque réplication car l'ADN polymérase a besoin d'une amorce pour commencer la réplication. Une enzyme, la télomérase, permet dans certains cas de rétablir la longueur des télomères. La réplication de l'ADN commence à divers endroits du chromosome.
Les gamètes (cellules sexuelles) ne possèdent qu'un seul exemplaire de chaque chromosome, tandis que les autres cellules de l'organisme, dites cellules somatiques, possèdent deux exemplaires de chaque.
Les chromosomes eucaryotes peuvent être distingués selon la position de leur centromère :
- on parle de chromosome métacentrique lorsqu’il possède un centromère en position centrale (position médiane) ce qui lui donne des bras (ou chromatides) de longueur à peu près égales ;
- un chromosome submétacentrique est un chromosome dont le centromère est presque en position centrale ; les chromatides de ce chromosome présentent des bras de longueur inégale (un petit bras nommé « p » et un long bras « q ») ;
- si le centromère est plus proche de l’une des deux extrémités (les télomères), le chromosome est dit acrocentrique ;
- un chromosome télocentrique présente un centromère très proche de ses télomères ;
- en cas de perte du centromère (anomalie), le chromosome est dit acentrique ;
- d’autres anomalies peuvent provoquer l’apparition d’un chromosome possédant deux centromères nommé chromosome dicentrique. Celui-ci est instable et peut se casser (lors de la méiose de façon physiologique) en différents segments qui se répartissent au hasard dans chacune des cellules filles.
Chromosomes humains
Chaque cellule somatique humaine possède 22 paires de chromosomes homologues (également appelés autosomes), numérotés de 1 à 22, et une paire de chromosomes sexuels (également appelés hétérochromosomes ou gonosomes), soit un total de 23 paires.
Le sexe d'un individu est déterminé par le système XY : les femmes possèdent deux chromosomes X (XX) tandis que les hommes possèdent un chromosome X et un chromosome Y (XY). Les deux chromosomes X de la femme sont homologues, mais le chromosome Y n'est homologue au chromosome X que pour une petite partie (région pseudo-autosomique).
Le projet du génome humain visait à la seule détermination de la portion euchromatique du génome. Les télomères, centromères et autres régions hétérochromatiques n'ont pas encore été déterminées, ainsi d'ailleurs qu'un petit nombre de lacunes non clonables.
Nombre de chromosomes de différentes espèces eucaryotes
Le nombre et la forme des chromosomes (caryotype) sont en général les mêmes pour tous les individus d'une espèce donnée (mais il peut exister une variabilité interne). Le nombre de chromosomes est très variable d'une espèce à l'autre.
Chez les animaux, il varie de 2 pour la fourmi australienne Myrmecia pilosula à environ 440 pour le papillon marocain Azuré de l'Atlas. Le mammifère le mieux doté est le Rat-viscache roux d'Argentine avec 102 chromosomes.
Le record absolu revient à une fougère, Ophioglossum reticulatum, qui compte 1 440 chromosomes. Chez les phanérogames (plantes à graines), le plus grand nombre de chromosomes est attribué au mûrier noir avec 308 chromosomes.
Chromatine

Deux types de chromatine peuvent être distingués :
- l'euchromatine, qui consiste en ADN actif, par exemple exprimé en protéine ;
- l'hétérochromatine, qui consiste en ADN principalement inactif. Il semble servir à des fins structurelles durant les phases chromosomiques. L'hétérochromatine peut à son tour se subdiviser en deux types :
- l'hétérochromatine constitutive, qui n'est jamais exprimée. Elle est située autour du centromère et consiste en général en des séquences répétitives. Elle est condensée en permanence dans tous les types cellulaire. Ce type d'hétérochromatine contient des séquences d'ADN hautement répétées qui pourraient jouer un rôle structural dans le chromosome. On peut la détecter dans les chromosomes par la technique du caryotype avec coloration en bandes C. Chez le mâle le chromosome Y est composé essentiellement d'hétérochromatine constitutive,
- l'hétérochromatine facultative, qui contient des gènes inactivés pouvant être parfois exprimés. Les femelles des mammifères ont deux chromosomes X dont un est largement inactif, en ce qui concerne la transcription, il est transformé en hétérochromatine, on peut l’observer sous forme d’un point dense dans le noyau interphasique connu sous le nom de Corps de Barr ou chromatine X.

(1) Brin bicaténaire d'ADN.
(2) Brin de chromatine (ADN avec histones).
(3) Chromatine au cours de l'interphase avec centromère.
(4) Chromatine condensée au cours de la prophase (Deux copies de la molécule d'ADN sont présentes).
(5) au cours de la métaphase.
Caryotype


Pour déterminer le nombre (diploïde) de chromosomes d'un organisme, des cellules peuvent être bloquées en métaphase in vitro (dans un tube à essai) avec de la colchicine. Ces cellules sont ensuite teintes (le nom « chromosome » fait référence au fait que l'on peut les colorer), photographiées et arrangées en un caryotype (un ensemble ordonné de chromosomes) également nommé « caryogramme ». Comme beaucoup d'espèces à reproduction sexuée, les humains ont des gonosomes (des chromosomes sexuels, par opposition aux autosomes). Ils sont XX chez les femelles et XY chez les mâles. Chez les femelles, l'un des deux chromosomes X est inactif et peut être vu au microscope comme un corpuscule de Barr.
Altérations des chromosomes
Les anomalies soit du nombre, soit de la structure des chromosomes sont appelées aberrations chromosomiques. Elles peuvent être détectées avant la naissance par l'analyse du caryotype de cellules fœtales obtenues par ponction de trophoblaste ou par amniocentèse. La présence d'un chromosome surnuméraire constitue une trisomie, tandis qu'un chromosome manquant dans une paire réalise une monosomie. Certaines maladies résultent d'une anomalie du nombre des chromosomes sexuels, comme le syndrome de Turner, où il manque un chromosome X (XO), ou le syndrome de Klinefelter, où l'on observe un chromosome X en trop chez un garçon.
Les altérations des chromosomes sont :
- les cassures chromosomiques, comme la délétion ou l'inversion ;
- les échanges de fragments entre chromosomes : translocation et insertion ;
- la duplication.
Exemples

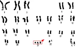
- Syndrome de Down ou trisomie 21.
- Syndrome d'Edward, trisomie du chromosome 18 : la trisomie la plus fréquente après le syndrome de Down.
- Syndrome de Patau, ou syndrome-D ou trisomie 13.
- Syndrome de Klinefelter (XXY).
- Syndrome de Turner (X au lieu de XX ou XY).
- Syndrome triple X
- Syndrome des yeux de chat dû à une anomalie du chromosome 22, à ne pas confondre avec le syndrome du cri du chat, due à une délétion d'une partie du bras court du chromosome 5.
- Syndrome de Wolf-Hirschhorn, due à une délétion partielle du bras court du chromosome 4.
- Syndrome de Di George, dû à une micro-délétion du bras long du chromosome 22.
- Dyskinésie kinésigénique paroxystique.
Marquage des bandes chromosomiques
- Euchromatine :
- Bandes Q : traitement à la moutarde de quinacrine. Marquage des régions riches en liaison A-T, régions à réplication tardive, régions pauvres en gènes actifs. La moutarde de quinacrine s'associe aux régions riches en A-T et C-G, mais seul le complexe A-T rends la moutarde de quinacrine fluorescente.
- Bandes G : dénaturation chimique (Trypsine) puis coloration Giemsa. Marquage des régions riches en liaison A-T, régions à réplication tardives, régions pauvres en gènes actifs (≈bandes Q), et donc plus condensées.
- Bandes R : dénaturation thermique (87 °C) puis coloration au Giemsa (Reverse). Marquage des régions riches en liaisons G-C régions à réplication précoce, régions riches en gènes actifs. Les liaisons G-C sont plus stables que les liaisons A-T, et donc à haute température les régions à liaisons G-C sont plus condensées.
- Hétérochromatine :
- Bandes T : Dénaturation poussée à 87 °C (solution de pH=5,1). Marquage des régions télomériques.
- Bandes C : Solution chauffée d'hydroxyde de baryum. Marquage des régions centromériques, des constrictions secondaires et bras long du chromosome Y.
- Bandes Nor : traitement au nitrate d'argent. Marquage des satellites des chromosomes acrocentriques (13,14,15, 21 et 22).
Notes et références
- ↑ D'un mot allemand, « parce qu'ils [les chromosomes] absorbent électivement certaines matières colorantes » (J. Rostand), selon Le Petit Robert 2013.
- ↑ (en) « Chromosomes in Bacteria: Are they all single and circular? », sur microbewiki.kenyon.edu
Voir aussi
Articles connexes
- Anomalie chromosomique
- Maladie génétique
- Chromosomes humains
- Fibre chromosomique
- Chironomidae : insectes diptères ayant des chromosomes géants visibles au microscope
- Génie génétique
- Mutagène
- ADN
- Chromosome B
Liens externes
- (en) « Human Genome Project Information Archive » (consulté le ) Human Genome Project
- Glossaire de la biotechnologie de la FAO
- Index to Plant Chromosome Numbers (IPCN)
- Exposition en ligne (ISB)
- Portail de la biologie cellulaire et moléculaire