Ouvertures latérales du IVe ventricule

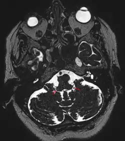
Les ouvertures latérales du IVe ventricule sont des ouvertures au niveau des cornes latérales du IVe ventricule[1],[2] permettant le passage du liquide cérébro-spinal. Ils étaient anciennement appelés trous ou foramina de Luschka, ou bien foramina de Retzius[3].
Ils ont été décrits au XIXe siècle par Hubert von Luschka.
Leur existence physiologique est contestée, certains estimant qu'ils apparaissent uniquement en cas d'hyperpression ventriculaire[4].
Notes et références
- ↑ Neurosciences médicales: Les bases neuroanatomiques et neurophysiologiques, Thomas C. Pritchard, Kevin D. Alloway
- ↑ Michaël Schünke, Erik Schulte, Udo Schumacher, Atlas d'Anatomie Prométhée : Tête, cou et neuro-anatomie, De Boeck Supérieur, , 581 p. (ISBN 978-2-8041-8552-7), p. 302-303
- ↑ Pierre Kamina, Anatomie clinique, tome 5 : neuroanatomie, Maloine, , 430 p. (ISBN 2224033605), p. 365
- ↑ Benoit Lengelé, Anatomie humaine systématique, Université Catholique de Louvain, , 202 p., p. 79-80
- Portail de l’anatomie
- Portail des neurosciences