Hydrocéphalie
| Spécialité | Génétique médicale et neurologie |
|---|
| CISP-2 | N85 |
|---|---|
| CIM-10 | G91, Q03 |
| CIM-9 | 331.3, 331.4, 741.0, 742.3 |
| OMIM | 615219, 123155, 236635 et 307000 236600, 615219, 123155, 236635 et 307000 |
| DiseasesDB | 6123 |
| MedlinePlus | 001571 |
| eMedicine | 1135286 |
| MeSH | D006849 |
| Patient UK | Hydrocephalus |
Mise en garde médicale
L’hydrocéphalie (du grec ancien ὕδωρ / húdôr (« eau ») et κεφαλή / kephalế (« tête »)) est une anomalie neurologique sévère, définie par l'augmentation du volume des espaces contenant le liquide cérébrospinal (LCS) : ventricules cérébraux et espace subarachnoïdien. Cette dilatation peut être due à une hypersécrétion de LCS, un défaut de résorption, ou une obstruction mécanique des voies de circulation. Dans les familles issues de mariages entre apparentés, l'enfant consanguin a 13 fois plus de risques de développer une hydrocéphalie[1].
Histoire

L'hydrocéphalie fut décrite pour la première fois par Hippocrate, mais ne put être traitée avec succès qu'au XXe siècle, avec l'avènement des techniques neurochirurgicales idoines.
Hydrocéphalie communicante
Aussi nommée hydrocéphalie normotensive, elle se manifeste par une dilatation du système ventriculaire en présence d'une pression plus ou moins normale au niveau du liquide cérébrospinal. La dynamique du liquide cérébrospinal est perturbée. Elle peut être secondaire à une hémorragie, elle-même due à une malformation artérioveineuse, à une hémorragie sous-arachnoïdienne, à un traumatisme ou bien être idiopathique.
Signes et symptômes

%252C_dipl%C3%A9gie_spasmodique%252C_h%C3%A9r%C3%A9do-syphilis.jpg)
- Signes de confusion (une désorientation, une difficulté à comprendre ou à répondre à des questions simples).
- Démence.
- Déséquilibre à la marche (ataxie).
- Incontinence (troubles sphinctériens).
- Troubles de vision (diplopie ou autres affections qui rend la vision douteuse).
- Maux de tête (céphalée à différentes positions comme lorsqu'on est en position assise, à la marche, etc.).
- Grande fatigue, empêchant les tâches quotidiennes (asthénie).
- Trouble de l'articulation (dysarthrie) et autres troubles associés de la parole en lien avec l'altération centrale de la commande motrice.
Hydrocéphalie obstructive
Elle s'accompagne d'une hypertension intracrânienne et représente une urgence médicale par risque majeur d'engagement cérébral, imposant la pose d'une dérivation ventriculaire en urgence. Ses causes sont :
- les tumeurs cérébrales (bénignes ou malignes) comprimant le troisième et/ou le quatrième ventricule cérébral (d'où blocage des voies de circulation et accumulation de liquide cérébrospinal (LCS) dans les ventricules) ;
- l'hydrocéphalie congénitale, par malformation cérébrale ;
- une tumeur des plexus choroïdes (rarissime), responsable d'une hypersécrétion de LCS ;
- le cloisonnement méningé (dans le cadre d'une méningite) ;
- l'hémorragie méningée.
Ce type d'hydrocéphalie est l'apanage du nourrisson et se déclare par une augmentation du périmètre crânien, un bombement des fontanelles, des yeux en coucher de soleil caractéristiques. Cette hydrocéphalie malformative accompagne souvent les défauts de fermeture (dysraphies) du tube neural (méningocèles, myéloméningocèles).
Hydrocéphalie à pression normale
L'hydrocéphalie à pression normale ou HPN est également connue sous le nom du syndrome d'Adams et Hakim. C'est une forme particulière d'hydrocéphalie chronique de l'adulte.
Physiopathologie
C'est une variété d'hydrocéphalie liée à une obstruction basse des voies de circulation du liquide cérébrospinal (en aval des orifices du quatrième ventricule, en général au niveau des citernes de la base), rencontrée chez le sujet âgé. Elle ne s'accompagne pas d'hypertension intracrânienne, ses symptômes sont d'apparition progressive et insidieuse. Classiquement, elle est considérée comme la conséquence de la résorption du liquide céphalorachidien dans le parenchyme ventriculaire.
Signes et symptômes
- Troubles de l'équilibre et de la marche (signe le plus précoce) avec marche à petits pas et à base élargie. Dans les formes sévères, la marche et la station debout deviennent impossibles sans aide. L'examen neurologique montre une instabilité posturale et des signes dysexécutifs.
- Troubles sphincteriens : incontinence (tardive).
- Démence : les signes cognitifs sont discrets au début syndrome frontal : ralentissement idéomoteur, troubles attentionnels, troubles du rappel libre. Dans certains cas, ils peuvent être similaires à ceux observés dans la maladie d'Alzheimer, témoignant des lésions d'Alzheimer souvent associées qui ne seront pas améliorés par la chirurgie.
Ces signes sont peu spécifiques d'hydrocéphalie : le diagnostic clinique est difficile, c'est l'imagerie médicale qui apporte la meilleure certitude.
Examens complémentaires
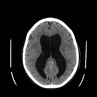
- Le scanner cérébral (sans injection d'iode) retrouve une dilatation quadriventriculaire sans élargissement des sillons corticaux sur l'ensemble de la convexité corticale et un arrondissement des angles latéraux des ventricules (ce qui permet de différencier hydrocéphalie et atrophie cérébrale).
- L'IRM cranioencéphalique est devenu l'examen de référence. Il permet de mettre en évidence la dilatation des ventricules et des anomalies périventriculaires
- La ponction lombaire évacuatrice permet souvent d'améliorer temporairement les symptômes (en particulier les troubles de la marche). Son analyse révèle un LCS normal.
Traitement
C'est un traitement neurochirurgical consistant en la mise en place d'une dérivation ventriculo-péritonéale (DVP), cette dérivation est interne, entre le système ventriculaire et le péritoine (ou le cœur, plus rarement) où va se drainer l'excès de LCS. Les effets sont inconstants d'un patient à l'autre : la récupération motrice est souvent très satisfaisante si le traitement est précoce (troubles de la marche sans démence si troubles sphinctériens), en cas de bonne réponse à la ponction lombaire évacuatrice et en cas d'hydrocéphalie secondaire (à un traumatisme, une infection, etc.). Lorsque le blocage se situe au-delà des trous de Monro et du troisième ventricule, on réalise actuellement une ventriculo-cisternostomie (VCS) sous endoscopie transventriculaire et en effondrant le plancher du V3 à l'aide d'un ballonnet gonflable. Chez l'enfant, cette dernière technique donne plus de complications à court terme mais de meilleurs résultats à long terme[2]. Le résultat peut être également incomplet, voire être un échec, surtout chez le nouveau-né[3]. L'ouverture créée peut également se refermer secondairement[4], entraînant une récidive de la maladie, voire, le décès.
Les risques de ces interventions sont les mêmes que ceux liés à toute intervention chirurgicale :
- infectieux : il peut se déclarer quelques jours ou quelques semaines après l’opération. La gravité de l’infection peut être très variable et dicte le traitement. Souvent des traitements locaux de la plaie suffisent, mais il arrive que l’on doive réintervenir et/ou traiter ensuite le patient par des antibiotiques ;
- hémorragique (caillot de sang) : il se présente le plus souvent dans les 48 premières heures après l’opération. Un hématome peut se créer n'importe où sur la trajectoire d’insertion de la sonde ou du drain. En fonction de sa gravité, cet hématome sera soit surveillé soit nécessitera une reprise chirurgicale. Ceci peut se manifester par une aggravation neurologique due à la compression provenant du caillot ;
- en cas d'hyperdrainage de la valve de dérivation, il peut également survenir un hématome sous-dural nécessitant son évacuation et le clampage temporaire de la valve ;
- obstruction, obturation : ce dysfonctionnement retardé n’est pas prévisible et peut apparaître même après des années.
Notes et références
- ↑ « Algérie : Près de 38% des mariages sont consanguins », sur casafree.com via Wikiwix (consulté le ).
- ↑ Kulkarni AV, Drake JM, Kestle JRW, Mallucci CL, Sgouros S, Constantini S, Endoscopic third ventriculostomy vs cerebrospinal fluid shunt in the treatment of hydrocephalus in children: a propensity score-adjusted analysis, Neurosurgery, 2010;67:588-593
- ↑ Drake JM, Endoscopic third ventriculostomy in pediatric patients: the Canadian experience, Neurosurgery, 2007;60:881-886
- ↑ Hader WJ, Drake J, Cochrane D, Sparrow O, Johnson ES, Kestle J, Death after late failure of third ventriculostomy in children: report of three cases, J Neurosurg, 2002;97:211-215
- Portail de la médecine
- Portail des neurosciences