Fumer

.jpg)
Fumer est une pratique consistant à brûler ou chauffer une substance pour en inhaler la fumée par la bouche ou le nez.
Consommation
Mode de consommation
Ce type de consommation se fait généralement à l'aide de pipes adaptées, et sous forme de cigarettes ou de cigares (notamment dans le cas du tabac et du cannabis). L'héroïne peut par exemple se fumer à l'aide de cigarettes roulées dans du papier aluminium sous laquelle une flamme est passée pour permettre l'inhalation des vapeurs.
Produits inhalés
Ces produits sont consommés pour leurs propriétés stupéfiantes. Ce mode de consommation convertit les principes actifs des produits sous une forme permettant leur passage des poumons vers le système sanguin puis le cerveau où ils agissent. Plusieurs types de produits peuvent être absorbés de cette façon :
- le tabac (via Cigarette, pipe, cigare, chicha, bidî, tabac chauffé...) ;
- des composés nicotiniques (via la cigarette électronique). À noter que le terme fumer est inapproprié car la cigarette électronique ne brûle pas du tabac, mais chauffe par une résistance un liquide qui sera vaporisé ;
- le cannabis ;
- l'opium ;
- la Sauge des devins ;
- l'héroïne ;
- la cocaïne, le crack (un dérivé fumable de la cocaïne) ;
- la méthamphétamine, sous forme d'ice.
Hors ces produits stupéfiants, certaines plantes sont parfois consommées sous forme de cigarette, comme les feuilles d'eucalyptus. Quelques-unes de ces cigarettes indiennes ne contiennent pas de tabac, mais des herbes aromatiques roulées dans une feuille d'eucalyptus. En Indonésie, les kreteks contiennent du clou de girofle en plus du tabac, pour la saveur. Certaines cultures traditionnelles africaines ou américaines font brûler des plantes médicinales sur un foyer pour en inhaler les fumées, mais ces pratiques liées à différentes formes de chamanisme tiennent davantage de la fumigation.
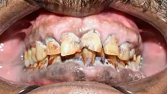
Risque sanitaire

.jpg)
En dehors des propriétés toxiques des produits inhalés, ce mode de consommation entraine dans de nombreux cas des risques élevés de cancer du poumon, de la gorge et de la langue, en raison de l'absorption de produits cancérigènes accompagnant la combustion du produit consommé.
Tabagisme passif
On parle parfois de fumeur passif pour désigner une personne qui respire les fumées d'autres fumeurs sans fumer elle-même.
Profil du fumeur
En France en , douze millions de personnes fument quotidiennement, soit un quart des Français adultes[2]. Ce taux est plus élevés chez les chômeurs qui comptent 42% de fumeurs, et les actifs occupés. Ce taux est moins élevés chez les étudiants qui comptent 19% de fumeurs. Ce taux est plus élevé chez les adultes n'ayant pas le baccalauréat (bac) qui comptent 31% de fumeurs que chez les adultes ayant un niveau d'étude strictement supérieur au Baccalauréat qui comptent 17% de fumeurs[3].
En France, 60% des fumeurs souhaitent arrêter de fumer[3].
Voir aussi
Notes et références
- ↑ Peter Gay, Freud: A Life for Our Time, New York, W. W. Norton & Company, , 650–651 p. (ISBN 978-0-393-32861-5)
- ↑ « En 2022, la France compte toujours près de 12 millions de fumeurs quotidiens » (consulté le )
- 1 2 Tabac. Sexe, revenus, diplômes… Qui sont les 12 millions de fumeurs en France? Ouest-France, Yiqing QI, 31/05/2023 https://www.ouest-france.fr/sante/addictions/tabac/tabac-sexe-revenus-diplomes-qui-sont-les-12-millions-de-fumeurs-en-france-fa308526-ff85-11ed-a110-11a954a625a9
- Portail de la société
- Portail de la pharmacie
- Portail de la médecine
- Portail du tabac