Emphysème sous-cutané
| Emphysème sous-cutané | |
| Classification et ressources externes | |
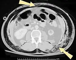
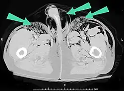
Scanner abdominal (rayons X) d'un patient présentant des emphysèmes sous-cutanés (fléchés). | |
| CIM-10 | T79.7, T81.8 |
|---|---|
| CIM-9 | 958.7, 998.81 |
| DiseasesDB | 29756 |
| MedlinePlus | 003286 |
| MeSH | D013352 |
L'emphysème sous-cutané est caractérisé par la diffusion sous la peau d'air ou de gaz divers. Il se produit lorsque du gaz ou de l'air circule sous la peau. Le terme "sous-cutané" désigne le tissu situé sous la peau, et l'emphysème désigne l'air emprisonné. Comme l'air provient généralement de la cavité thoracique, l'emphysème sous-cutané se produit généralement sur la poitrine, le cou et le visage, où il peut se déplacer de la cavité thoracique le long du fascia[1].
L'emphysème sous-cutané a une sensation caractéristique au toucher qui a été décrite comme similaire au toucher des Rice Krispies (grains de riz soufflé)[2]. Cette sensation d'air sous la peau est connue sous le nom de crépitation sous-cutanée.
Historique
De nombreuses étiologies de l'emphysème sous-cutané ont été décrites. Le pneumomédiastin a d'abord été reconnu comme une entité médicale par Laennec, qui l'a signalé comme conséquence d'un traumatisme en 1819. Le premier rapport d'emphysème sous-cutané résultant de l'air dans le médiastin a été fait en 1850 chez un patient qui toussait violemment[3].
En 1900, le premier cas enregistré d'emphysème sous-cutané spontané a été signalé par les Royal Marines : un joueur de clairon qui avait eu une dent extraite avait forcé l'air à travers le trou où se trouvait la dent et dans les tissus de son visage[3].
Depuis lors, un autre cas d'emphysème sous-cutané spontané a été signalé dans un sous-marinier de l'US Navy qui avait eu un canal radiculaire dans le passé ; la pression accrue dans le sous-marin a forcé de l'air à travers le corps de la personne et dans son visage. Ces dernières années, un cas a été signalé à l'hôpital universitaire du Pays de Galles d'un jeune homme qui toussait violemment, provoquant une rupture de l'œsophage entraînant une emphysème cutanée.
Plus tard, en 1939, à l'hôpital Johns Hopkins, le Dr Louis Hamman l'a décrit chez la femme en post-partum ; en effet, l'emphysème sous-cutané est parfois connu sous le nom de syndrome de Hamman. Cependant, dans certains milieux médicaux, il peut être plus communément appelé syndrome de Macklin, d'après L. Macklin, en 1939, et M. T. et C. C. Macklin, en 1944, qui ont décrit la physiopathologie de manière plus détaillée[3].
Physiopathologie
L'emphysème sous-cutané peut résulter de la perforation de certaines parties du système respiratoire ou gastro-intestinal. En particulier dans la poitrine et le cou, l'air peut être emprisonné à la suite d'un traumatisme pénétrant (par exemple, des blessures par balle ou des coups de couteau) ou d'un traumatisme contondant. L'infection (par exemple, la gangrène gazeuse) peut entraîner l'emprisonnement de gaz dans les tissus sous-cutanés. L'emphysème sous-cutané peut être causé par des procédures médicales et des conditions médicales qui font que la pression dans les alvéoles du poumon est plus élevée que celle des tissus extérieurs[4]. Ses causes les plus courantes sont le pneumothorax et un tube thoracique qui a été bouché par un caillot de sang ou une matière fibrineuse. Il peut également se produire spontanément en raison de la rupture des alvéoles, avec une présentation spectaculaire[3]. La rupture des alvéoles peut subvenir en plongée sous-marine lors d'une remontée en bloquant l'expiration (accident barotraumatique). Lorsque l'affection est causée par une intervention chirurgicale, on parle d'emphysème chirurgical[6]. Le terme d'emphysème sous-cutané spontané est utilisé lorsque la cause n'est pas clairement identifiée[3].
L'air est capable de voyager vers les tissus mous du cou à partir du médiastin et du rétropéritoine (l'espace situé derrière la cavité abdominale) parce que ces zones sont reliées par des plans aponévrotiques[4]. À partir des poumons ou des voies aériennes perforés, l'air remonte les gaines périvasculaires et pénètre dans le médiastin, d'où il peut entrer dans les tissus sous-cutanés[17]. On pense que l'emphysème sous-cutané spontané résulte de l'augmentation des pressions dans le poumon qui provoque la rupture des alvéoles[3]. dans l'emphysème sous-cutané spontané, l'air voyage des alvéoles rompues dans l'interstitium et le long des vaisseaux sanguins du poumon, dans le médiastin et de là dans les tissus du cou ou de la tête[3].
Diagnostic
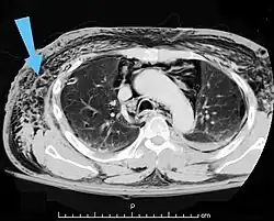
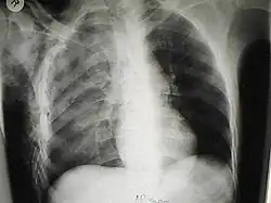
Les cas importants d'emphysème sous-cutané sont faciles à diagnostiquer en raison des signes caractéristiques de l'affection. Dans certains cas, les signes sont subtils, ce qui rend le diagnostic plus difficile. L'imagerie médicale est utilisée pour diagnostiquer la maladie ou confirmer un diagnostic établi à l'aide de signes cliniques. Sur une radiographie du thorax, l'emphysème sous-cutané peut être vu comme des stries radiotransparentes dans le modèle attendu du groupe de muscles principaux du pectoral. L'air présent dans les tissus sous-cutanés peut interférer avec la radiographie du thorax, ce qui peut masquer des affections graves comme le pneumothorax. Elle peut également réduire l'efficacité de l'échographie thoracique. D'autre part, comme l'emphysème sous-cutané peut être visible sur les radiographies du thorax avant un pneumothorax, sa présence peut être utilisée pour déduire celle de cette dernière lésion. L'emphysème sous-cutané peut également être observé sur les scanners, les poches d'air apparaissant comme des zones sombres. Le scanner est si sensible qu'il permet généralement de trouver l'endroit exact d'où l'air pénètre dans les tissus mous. En 1994, M. T. Macklin et C. C. Macklin ont publié d'autres aperçus sur la physiopathologie du syndrome de Macklin spontané survenant à la suite d'une grave crise d'asthme. La présence d'un emphysème sous-cutané chez une personne qui semble très malade et fébrile après une crise de vomissements suivie d'une douleur thoracique gauche est très évocatrice du diagnostic du syndrome de Boerhaave, qui est une urgence vitale causée par une rupture de l'œsophage distal. L'emphysème sous-cutané peut être une complication de l'insufflation de CO2 avec la chirurgie laparoscopique. Une augmentation soudaine du CO2 en fin de marée après la hausse initiale qui se produit avec l'insufflation (les 15-30 premières minutes) devrait faire suspecter un emphysème sous-cutané. Il est à noter que l'oxymétrie de pouls et la pression des voies aériennes ne varient pas dans l'emphysème sous-cutané, contrairement à l'intubation endobronchique, au capnothorax, au pneumothorax ou à l'embolie au CO2.
Prise en charge et traitement
Bien que les affections sous-jacentes nécessitent un traitement, l'emphysème sous-cutané n'en a généralement pas besoin ; de petites quantités d'air sont réabsorbées par l'organisme. Cependant, l'emphysème sous-cutané peut être inconfortable et peut gêner la respiration. Il est souvent traité en retirant l'air des tissus, par exemple en utilisant des aiguilles de gros calibre, des incisions cutanées ou un cathétérisme sous-cutané.
L'emphysème sous-cutané est un résultat courant de certains types de chirurgie ; par exemple, dans la chirurgie thoracique[8]. Il peut également se produire lors d'une chirurgie autour de l’œsophage, et est particulièrement probable dans le cas d'une chirurgie prolongée[7]. D'autres causes potentielles sont la ventilation en pression positive, pour quelque raison que ce soit et par quelque technique que ce soit, dans laquelle son apparition est souvent inattendue. Elle peut également se produire à la suite d'une chirurgie buccale[23], d'une laparoscopie[7] et d'une cricothyrotomie.
Dans une pneumonectomie, dans laquelle un poumon entier est retiré, le moignon bronchique restant peut laisser fuir de l'air, une condition rare mais très grave qui conduit à un emphysème sous-cutané progressif. [8] L'air peut s'échapper de l'espace pleural par une incision pratiquée pour une thoracotomie afin de provoquer un emphysème sous-cutané. [8] À de rares occasions, le cas peut résulter d'une chirurgie dentaire, généralement due à l'utilisation d'outils à grande vitesse entraînés par de l'air. [24] Ces cas se traduisent généralement par un gonflement indolore du visage et du cou, avec un début immédiat, le crépitement typique de l'emphysème sous-cutané, et souvent avec de l'air sous-cutané visible aux rayons X. [24]
L'une des principales causes d'emphysème sous-cutané, avec le pneumothorax, est un tube thoracique qui ne fonctionne pas correctement[2]. Ainsi, l'emphysème sous-cutané est souvent le signe que quelque chose ne va pas avec un drain thoracique ; il peut être obstrué, serré ou déplacé[2]. Il peut être nécessaire de remplacer le tube ou, lorsque de grandes quantités d'air fuient, un nouveau tube peut être ajouté[2].
Évolution et complications
L'emphysème sous-cutané n'est généralement pas dangereux en soi, mais il peut être le symptôme d'affections sous-jacentes très dangereuses, telles que le pneumothorax[7].
L'air présent dans les tissus sous-cutanés ne constitue généralement pas une menace mortelle[4] ; de petites quantités d'air sont réabsorbées par l'organisme[8] ; une fois que le pneumothorax ou le pneumomédiastin qui cause l'emphysème sous-cutané est résolu, avec ou sans intervention médicale, l'emphysème sous-cutané disparaît généralement[18] ; cependant, l'emphysème sous-cutané spontané peut, dans de rares cas, évoluer vers une affection mettant la vie en danger[3] ; et l'emphysème sous-cutané dû à la ventilation mécanique peut induire une défaillance ventilatoire[25].
Notes et références
- (en) Cet article est partiellement ou en totalité issu de l’article de Wikipédia en anglais intitulé « Subcutaneous emphysema » (voir la liste des auteurs).
- ↑ Bouros D, Papiris SA, Roussos C, Pleural Disease (Lung Biology in Health and Disease), Floride, Bendy Jean Baptiste, , 771–777 p. (ISBN 978-0-8247-4027-6, lire en ligne), « Pleural disease in the intensive care unit ».
- 1 2 3 4 Lefor, Alan T., Critical Care on Call, New York, Lange Medical Books/McGraw-Hill, Medical Publishing Division, , 238–240 p. (ISBN 978-0-07-137345-6, lire en ligne) .
- 1 2 3 4 5 6 7 Parker GS, Mosborg DA, Foley RW, Stiernberg CM, « Spontaneous cervical and mediastinal emphysema », Laryngoscope, vol. 100, no 9, , p. 938–940 (PMID 2395401, DOI 10.1288/00005537-199009000-00005, S2CID 21114664).
Voir aussi
Articles connexes
Liens externes
- Ressources relatives à la santé :
- Ressource relative à la recherche :
- Portail de la médecine



