Contusion pulmonaire

Contusion pulmonaire
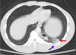
Description de cette image, également commentée ci-après
Un scanner montrant une contusion pulmonaire (rouge) accompagnée d'une fracture des côtes (bleue).
Causes Traumatisme thoracique
Traitement
Spécialité Médecine d'urgence
Classification et ressources externes
CIM-10 S27.3
CIM-9 861.21, 861.31

Wikipédia ne donne pas de conseils médicaux Mise en garde médicale

Une contusion pulmonaire est une ecchymose du poumon causée par un traumatisme thoracique.

  • icône décorative Portail de la médecine