Covid long
Covid longue
| Causes | SARS-CoV-2 |
|---|---|
| Début habituel | 4 semaines après l'infection au SARS-CoV-2 |
| Durée | 4 à 12 semaines ; au-delà de 12 semaines |
| Symptômes | Syndrome de fatigue chronique, asthénie, dyspnée, céphalées, parésie, anosmie, agueusie, tachycardie et dysautonomie cardio-pulmonaire, douleurs neuropathiques et brouillard cérébral notamment |
| Prévalence | 7 % à 18 % des malades de la COVID-19 au Royaume-Uni présentaient des symptômes persistant plus de 5 semaines[1] |
|---|---|
| Incidence |
10 à 15 % des personnes infectées au SARS-CoV-2 < 80 % chez les patients hospitalisés |
| CIM-10 | U09.9 |
|---|---|
| MeSH | D000094024 |
Mise en garde médicale
Le Covid long[a], parfois appelé syndrome Covid chronique ou syndrome post-Covid-19[2], est le nom communément donné aux séquelles à long terme engendrées par la maladie à coronavirus 2019 (Covid-19) chez les personnes infectées, même après la période de convalescence typique[3],[4],[5]. Les deux symptômes les plus fréquents sont l'asthénie (fatigue anormale) et une dyspnée (essoufflement). Mais ils peuvent être également accompagnés par des céphalées (maux de tête), une parésie (faiblesse musculaire), une anosmie (perte d'odorat), une agueusie (perte du goût) ou un brouillard cérébral (pouvant traduire des dysfonctionnements cognitifs)[6].
Après plusieurs modifications de sa définition[7],[8], le terme est désormais utilisé pour caractériser une présence de symptômes durant plus de 4 semaines. Selon la Haute Autorité de santé, 10 % des personnes ayant contracté la Covid-19 ont encore des symptômes plus de 6 mois après[9],[10].
Ce syndrome, encore mal compris, est aussi observé chez des jeunes sans comorbidités et chez des patients n'ayant pas développé de forme grave[11].
Les enfants, originellement plutôt épargnés par les formes graves de la Covid, y seraient vulnérables. Les femmes semblent plus affectées que les hommes. La réactivation du virus d'Epstein-Barr (de la mononucléose) dormant serait une cause possible de ces symptômes.
Le suivi d'environ 100 000 participants aux essais de développement d'un vaccin a conclu (en ) que la vaccination contre la Covid ne provoque pas de Covid long, contrairement aux cas d'infections naturelles[12],[13],[14]. Fin 2021, le vaccin ne protégeant qu'une partie des vaccinés contre le Covid long, dans les foyers et régions à taux d'infection élevés, de nouveaux cas de Covid longs sont attendus (même si le taux de vaccination est élevé)[15].
Terminologie
« Covid long » est une traduction littérale de l'anglais Long COVID[16]. En , après un sondage effectué auprès de plusieurs centaines de malades dans un groupe Facebook, l'expression est adoptée en remplacement de l'expression « « Aprèsj20 » moins explicite. Elle est ensuite reprise par les médias et les réseaux sociaux[17],[18].
L’Organisation mondiale de la santé (OMS) préfère les termes « affection post-Covid-19 » ou « Covid-19 de longue durée »[19], quant à l’Office québécois de la langue française et le Bureau de la traduction, ils recommandent le terme « syndrome post-Covid-19 »[16],[20].
Les termes anglophones adjacents Longhaul COVID (et Long-hauler pour une personne souffrant d'un Covid long) furent ensuite repris par la plupart des personnes affectées[21],[22],[23],[24],[25].
Définition
L'Assurance maladie Française et la Haute Autorité de santé (HAS) proposent en janvier 2023 la définition[26]suivante :
- Infection vérifiée ou supposée au SRAS COV-2 (phase aigue confirmée ou probable).
- Apparition de symptômes (Cognitifs, ORLs, Fatigue, Digestifs, Cardio/Respiratoires...) persistants, apparaissants ou réapparaissants après 4 semaines.
- L'état du patient n'est pas explicable par un autre diagnostique médical.
Incidence
Au début de la pandémie de Covid-19 (fin 2019/début 2020), il fut rapidement établi que les symptômes de cette maladie persistaient parfois, quel qu'ait été le degré de sévérité initial[27],[21]. Cela concernerait aussi bien des personnes ayant développé des formes légères et modérées de la maladie[28] que des personnes qui ont été gravement atteintes[29].
Entre 10 et 30 % de COVID long en population générale
Selon l'OMS en , les COVID longs concerneraient 10 à 15 % des personnes infectées, soit près de 11,5 millions de personnes dans le monde, et 250 000 à 300 000 en France[9]. La HAS donne les mêmes chiffres : 10% à six mois. Une étude de l'agence nationale Santé publique France parue en indique quant à elle que « 30% des personnes ayant eu une infection par le SARS-CoV-2 présentaient les critères d’un « COVID long » »[30].
Les premières études estimèrent que 10 % à 20 % des malades du Covid-19 présentaient des symptômes durant plus d'un mois[27]. Ces études étaient basées sur les suivis des personnes hospitalisées pour une forme grave de la maladie, parfois placées sous respiration artificielle, et dont le rétablissement était bien plus long[7].
Des études ultérieures appuyèrent le fait qu'approximativement 10 % des malades continuaient à manifester des symptômes importants après trois semaines, alors que 90 % semblaient libérés de tout symptôme.
Une revue suédoise de question associée à une étude qualitative menée sur cinq jeunes Suédois (de neuf à quinze ans) atteints du Covid, publié en , suggéra que les enfants pouvaient être aussi vulnérables à certains symptômes du Covid long[31],[32]. Ils incluent la fatigue intense, la dyspnée, les palpitations cardiaques et des douleurs thoraciques. Les auteurs suggèrent que les femmes sont plus exposées aux symptômes prolongés que les hommes.
Selon les épidémiologistes, il est hautement probable qu'en 2024 en France, entre 400 000 et 600 000 adultes voient leur qualité de vie considérablement affectée, voire gravement affectée, en raison des effets persistants du Covid-19[33].
Jusqu'à 80 % de Covid long chez les patients hospitalisés
Chacun peut développer un Covid long (le taux de cas pédiatriques est proche de la moyenne générale), mais le rétablissement est plus long chez les personnes devant être hospitalisées.
Une majorité (jusqu'à 80 %[34]) de ces derniers présentent des symptômes à long terme (dont fatigue et essoufflement)[35],[36]. Une infection initiale sévère (nécessitant une assistance ventilatoire mécanique notamment) prédispose au syndrome de soins post-intensifs après guérison.
La majorité des patients hospitalisés à Wuhan présentaient toujours au moins un symptôme six mois après l'infection ; et les plus atteints avaient toujours une grande difficulté à respirer correctement[37]. Et parmi les 1 733 patients sortis de l'hôpital, les symptômes pouvant se manifester six mois plus tard étaient la « fatigue ou la faiblesse musculaire » (63 %), les troubles du sommeil (26%) et « l'anxiété ou la dépression »(23%)[38],[39].
En , une étude britannique révéla que parmi les 47 780 personnes sorties des hôpitaux au cours de la première vague au Royaume-Uni, un tiers d'entre elles (29,4 %) furent réadmis à l'hôpital dans les 140 jours suivant leurs sorties et un huitième (12,3 %) y décédèrent. Beaucoup de ces personnes revenaient avec un nouveau diagnostic, ayant au passage développé des problèmes cardiaques, rénaux, hépatiques, ainsi que du diabète[40].
En , selon l'Association indonésienne des médecins, jusqu'à 21 % des patients guéris souffriraient d'un long Covid. Mais une enquête auprès de 463 personnes suggére que 63,5 % du groupe interrogé présentaient des symptômes (fatigue et toux le plus souvent, devant des douleurs musculaires et maux de tête)[réf. nécessaire].
Un épidémiologiste australien de l'université Griffith a déclaré que l'impact clinique à long terme de nombreux cas de Covid long est inconnu. À cette date, l'Indonésie avait enregistré 1,3 million de cas de Covid et plus de 36 000 décès[41].
En , une étude française publiée dans la revue Clinical Microbiology and Infection[42] a suivi, depuis le , 1 137 personnes prises en charge pendant la première vague, sous l'égide de l'Institut national de la santé et de la recherche médicale (Inserm). L'étude examine dix symptômes attestés par visite médicale (fatigue, dyspnée, douleurs articulaires et musculaires, céphalées, toux, rhinorrhée, perte du goût et de l'odorat). Six mois après infection, l'étude recense :
- 60 % des patients hospitalisés à cause du Covid-19 sont toujours affectés par au moins un symptôme ;
- 25 % présentent « trois symptômes ou plus » ;
- 2 % ont « dû être hospitalisés à nouveau » ;
- 7 % des patients n'ont pas retrouvé le goût ou l'odorat un semestre après leur infection ;
- 29 % de ceux qui avaient initialement une activité professionnelle n'ont pas pu reprendre leurs fonctions.
Jad Ghosn (auteur principal) de l'article, parle de « séquelles » plutôt que de Covid long, le virus n'étant plus détectable dans l'organisme chez la plupart des patients. L'étude ambitionne de suivre les patients sur 18 mois. Il avait d'abord été décidé de suivre «« les symptômes classiquement décrits » dans les maladies respiratoires. La diversité des séquelles a conduit à envisager des tests supplémentaires (sur la mémoire, la concentration, les séquelles cardiaques, la qualité de vie ou la force musculaire). La cohorte suivie s'est élargie jusqu'à atteindre plus de 4 300 personnes, afin notamment de comparer les effets à long terme des différents variants.
Liste des symptômes
D'après les connaissances disponibles en , les symptômes les plus rapportés par les patients atteints de Covid long étaient[43],[23],[24],[44],[45] :
- Troubles généraux
- Fatigue intense ;
- Faiblesse musculaire ;
- Douleurs articulaires ;
- Douleurs aiguës dans les bras et les jambes ;
- Fièvre légère ;
- Diarrhées et vomissements ;
- Démangeaisons ;
- Perte de cheveux ;
- Perte de dents ;
- Troubles rénaux
- Calculs rénaux ;
- Apparition de diabète ;
- Troubles cardiaques
- Apparition d'hypertension ;
- Palpitations cardiaques
- Troubles cognitifs
- Troubles de l'attention ;
- Mémoire vacillante ;
- Changements d'humeur, parfois accompagné par de la dépression ;
- Troubles du sommeil ;
- Troubles neurologiques
- Dystonie neurovégétative ;
- Tremblement essentiel ;
- Amnésie ;
- Apathie ;
- Ataxie ;
- Migraines ;
- Perte de goût (Agueusie) et d'odorat (Anosmie) ;
- Accidents vasculaires ischémiques[46] ;
- Accident vasculaire cérébral ;
- Troubles pulmonaires et ORL
- Toux de longue durée ;
- Maux de gorge et difficultés de déglutition ;
- Essoufflement ;
- Douleurs à la poitrine ;
Causes
Il n'y a pas encore de consensus scientifique sur les causes ni les raisons pour lesquelles seuls certains individus développent des symptômes longs[7].
Selon une analyse préliminaire du National Institute for Health Research du Royaume-Uni, quatre caractéristiques sont associées à cette persistance[27],[47] :
- dommages importants à certains organes vitaux (cœur et poumons notamment) ;
- syndrome de soins post-intensifs ;
- syndrome de fatigue post-virale ;
- symptômes continus du Covid-19 ;
- atteinte du nerf vague.
Fin 2021, plusieurs hypothèses d'explications coexistent :
- un réservoir de virus persisterait, caché dans certains tissus de l'organisme (intestin, foie ou cerveau), peut-être en raison d'une réponse immunitaire insuffisante ou contournée[7] ;
- réinfection (par exemple, à la suite d'une autre mutation du virus) ; le variant Delta pourrait diminuer la protection vaccinale contre la forme longue de la COVID. Les malades « Delta » semblent expirer un grand nombre de particules infectieuses ; une partie des infections qu'ils transmettent autour d'eux pourraient être caractérisées par une forte charge virale initiale, facilitant la réplication virale, même des patients bien vaccinés, et donnant plus de chance au virus d'avoir le temps de se protéger dans un réservoir, et/ou de causer une réponse immunitaire hyperactive, dont l'un ou l'autre pourrait alors conduire à un long Covid, suggère-t-elle[15], plus transmissible, via un plus grand nombre de virions expirés.
- lésions inflammatoires dues à une forte réponse immunitaire (choc cytokinique), déclenchée par l'infection initiale qui pourrait générer des anticorps et d'autres réactions immunologiques contre les propres tissus du corps persistant après la fin de l'infection[15] ;
- déconditionnement physique à la suite du manque d'exercice ;
- séquelles post-traumatiques en particulier chez les personnes affectées par l'anxiété, la dépression, des problèmes d'insomnie ou d'autres problèmes de santé mentale[48] ;
- Réactivation de virus de la mononucléose infectieuse.
Séquelles pulmonaires
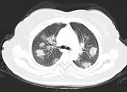
Comme pour la plupart des survivants du syndrome de détresse respiratoire aiguë, la dyspnée est le symptôme persistant le plus courant après un Covid-19 grave, avec une prévalence de 42 à 66 % après plus de 60 jours de suivi. Par exemple, parmi 1800 patients espagnols qui ont dû subir une trachéotomie au cours d'un épisode aigu, seuls 52 % ont réussi à être sevrés de la ventilation mécanique un mois plus tard. Cela s'explique par une baisse de la capacité de diffusion pulmonaire (la quantité de gaz absorbé par le sang des capillaires pulmonaires à partir du gaz alvéolaire), phénomène déjà observé chez des survivants de la grippe H1N1. L'invasion des cellules alvéolaires par le SRAS-CoV-2, ou l'inflammation périvasculaire, participent à la rupture des barrières endothéliales et épithéliales avec invasion de monocytes et de granulocytes neutrophiles et extravasation d'un blastème riche en protéines[49],[50],[51],[52],[53].
Par ailleurs, environ 40 à 50 % des Covid-19 asymptomatiques pourraient présenter des anomalies radiographiques des poumons, le plus souvent des nodules en verre dépoli[54],[55]. Le verre dépoli aigu exprime un œdème, une hémorragie ou simplement une inflammation pulmonaire. Généralement il faut moins de 3 mois pour que ces nodules disparaissent[56].
Réactivation de la mononucléose
Une étude préliminaire de juillet 2021 relève la présence d'anticorps du virus d'Epstein-Barr (EBV) chez 73 % de patients souffrant de « Covid long ». Ce virus de la même famille que l'herpès et responsable de la mononucléose infectieuse est fréquemment contracté à l'adolescence et reste latent chez 95 % des adultes. L'affaiblissement général et l'inflammation causés par la Covid-19 pourrait, chez certains patients, réactiver ce virus dormant. Les symptômes du « Covid long » ne seraient alors pas imputables directement au coronavirus mais à l'EBV qu'il serait alors judicieux de détecter chez les malades de la Covid-19[57].
Persistance du virus dans l'organisme ?
Tropisme du SARS-CoV-2
Le SARS-CoV-2 est capable d'infecter de nombreux organes. Il avait été constaté dans le cas du SARS-CoV-1 que lorsque les glandes parathyroïdes étaient infectées, il n'y avait pas de réaction inflammatoire dans cet organe[58]. Or le Covid long est parfois comparé aux autres syndromes post-infectieux, parmi lesquels le syndrome post-Ebola. Bien que le lien ne soit pas encore totalement établi, certains cas documentés montrent que le virus d'Ebola peut survivre pendant des mois dans certaines parties du corps inaccessibles au système immunitaire (exemples : yeux et testicules)[59],[60].
| Systèmes | Organes | Cellules | SARS-CoV-1 | SARS-CoV-2 |
|---|---|---|---|---|
| Appareil respiratoire | Nez | Nasal brushing epithelial cells[61] | ? | + |
| Nasal turbinate epithelial cells[61] | ? | + | ||
| Nasal airway epithelial cells[61] | ? | + | ||
| Mesopharynx / Oropharynx | Glotte[62] ? | ? | +[63] | |
| Épiglotte | Cellules épithéliales de l'hypopharynx[62] ? | ? | +[63] | |
| Trachée | Cellules épithéliales ciliées / Ciliated cells | +[58] | +[64] | |
| Cellules épithéliales calciformes / Goblet cells | +[58] | +[64] | ||
| Bronches | Cellules épithéliales séreuses / Serous cells | +[58] | +[64] | |
| Bronchial mucous gland epithelial cells | -[58] | ? | ||
| Poumons / voies inférieures | Cellules épithéliales alvéolaires de type I | +[58] | +[64] | |
| Cellules épithéliales alvéolaires de type II | +[58] | +[64] | ||
| Macrophages alvéolaires | +[58] | +[65] | ||
| Appareil digestif | Langue / tongue | papilles gustatives[62] | ? | +[63] |
| Glandes submandibulaires | Cell membrane/brush border of the main ducts, interlobular excretory ducts and interlobular ducts[66] ? | ? | +[63] | |
| Œsophage | Cellule progénitrice sécrétoire / secretory progenitor cell[61] ? | -[67] | +[63] | |
| Estomac / Stomach | Cellules pariétales / gastric parietal cells | +[58] | +[68] | |
| Cellules principales / gastric chief cell | -[58] | ? | ||
| Foie / liver | Hépatocytes | +[58] | +[68],[69] | |
| Vésicule biliaire / gallbladder | Primordium cell[61] | ? | +[63] | |
| Pancréas | Îlot de Langerhans / pancreatic islet cells | +[58] | +[69] | |
| Intestin grêle (Duodénum, Jejunum et Iléon) / small intestinal | Cellules épithéliales[58] + Enterocyte progenitor cells[61] ? | +[58] | +[70] | |
| Gros intestin (côlon et rectum) | Goblet cells[61] ? | ? | +[63] | |
| Système immunitaire / immune system | Système lymphatique / lymph nodes | Tonsille palatine | -[67] | +[63] |
| Ganglions lymphatiques cervicaux / cervical lymph nodes | -[67] | +[71],[63] | ||
| Ganglions lymphatiques de Hilar / hilar lymph nodes | -[67] | +[68] | ||
| Ganglions lymphatiques périaortiques (en) | -[67] | +[63] | ||
| Rate / spleen | Pulpe rouge / red pulp | -[67] | +[68],[72] | |
| Appendice iléo-cæcal | Glandular cells[73] | ? | +[63] | |
| Système cardiovasculaire / circulatory system | Vaisseaux sanguins (artères, veines) / Blood vessels[74],[75] | Artère pulmonaire | ? | +[63] |
| Crosse de l'aorte | ? | +[63] | ||
| Suprarenal abdominal aortic (en) | ? | +[63] | ||
| Cœur / heart | Cardiomyocytes / myocardial cells | +[58] | +[68] | |
| Système nerveux central | Moëlle épinière | Cordes cervicale, thoracique et lombaire[76] | -[67] | +[63] |
| Lobe frontal | Neural and capillary endothelial cells | ? | +[63],[77] | |
| Hippocampe | Cellule pyramidale[78] ? | ? | +[63] | |
| Cervelet | Cellules gliales[79] ? | -[67] | +[63] | |
| Pont de Varole | ? | +[63] | ||
| Système endocrinien | Glande surrénale / adrenal gland | Cellules cortico-surrénales / adrenal cortical cells | +[58] | +[63] |
| Thyroïde | Cellules épithéliales folliculaires / follicular epithelial cells | -[58] | +[63] | |
| Glande parathyroïde | Cellules d'oxyphile / acidophilic cells of the parathyroid | +[58] | ? | |
| Hypophyse / Pituitary | Cellules acidophiles / acidophilic cells | +[58] | ? | |
| Systèmes urinaire et génital | Rein / kidney | Tubule contourné distal / distal convoluted renal tubules[58] + Mesangial cell (en)[61] ? | +[58] | +[68],[69] |
| Testicule / testis | Peritubular myoid cell (en)[61] ? | -[67] | +[68] | |
| Prostate | Cellules épithéliales[80] | ? | -[63] | |
| Ovaire / ovary | -[67] | -[63] | ||
| Utérus | Cellules épithéliales ? | -[67] | +[63] | |
| Système tégumentaire | Peau / skin | Cellules épithéliales des glandes sudoripares / sweat gland epithelial cells | +[58] | +[68] |
Études montrant une persistance virale
En décembre 2022, les résultats de plusieurs études scientifiques suggèrent la persistance du virus dans l'organisme :
- Des analyses post-mortem chez 27 patients dont l'état s'est dégradé après qu'ils se sont apparemment remis du COVID-19 montrent une persistance d'ARN viral dans différents types de cellules (ce, alors que leurs tests nasopharingés sont négatifs)(article de janvier 2023) [81].
- La microscopie électronique et la coloration immunohistochimique montrent la présence du virus du SRAS-CoV-2 dans les corps caverneux péniens des patients un mois après leur guérison du COVID-19 (article de novembre 2023) [82].
- L'ARN du SRAS-CoV-2 et la protéine Spike ont été détectés dans les selles de nouveau-nés nés de mères ayant résolu le COVID-19, ce qui suggère la possibilité de réservoirs viraux intestinaux persistants (article de mai 2022)[83].
- L'antigène de la protéine Spike est retrouvé dans le plasma de patients covid long jusqu'à 12 mois après le diagnostic (article de septembre 2022)[84],[85].
- L'ARN du virus est retrouvé dans les selles jusqu'à 7 mois après le diagnostic (article d'avril 2022)[86].
- L'ARN du virus et la protéine de nucléocapside sont retrouvés dans la muqueuse intestinale jusque 7 mois après le diagnostic (article de mai 2022)[87].
- La fréquence des cellules T spécifiques du virus et exprimant du TNF-α et de IFN-γ est liée statistiquement à l'intensité de la dyspnée des patients covid long (article de mai 2022)[88].
- Dans une review sur le covid long, il apparait que cette maladie semble avoir une base génétique, qui prédispose les individus à avoir une capacité immunologique diminuée pour éliminer complètement le virus, avec des parties résiduelles du virus qui persistent (article de mai 2022) [89].
- Chez les patients souffrant de covid-19, la persistance virale du Sars-Cov-2 est associée à un enrichissement en monocytes classiques et en cellules dendritiques plasmacytoïdes dans les échantillons de cellules mononucléaire du sang périphérique (article de février 2022) [90].
- La protéine de nucléocapside virale est détectée dans l'appendice et le tissu mammaire respectivement de 2 patients covid long, 175 et 462 jours après le diagnostic positif. On a aussi détecté l'ARN viral de sens négatif ce qui suggère une réplication virale en cours (article en preprint de février 2022)[91].
- Des chiens entraînés à identifier COV ont discriminé de manière positive 23/45 des patients COVID long et 0/188 témoins (p<.0001) (article en preprint de janvier 2022)[92].
- L'ARN du virus est détecté à l'autopsie (44 patients) dans de multiples sites jusqu'à 230 jours après l'apparition des symptômes (article en preprint de décembre 2021)[93].
- Une hypothèse est qu'une partie du covid long pourrait être due à une infection systémique persistante, le superantigène du virus sur-stimulant les réponses immunitaires anti-virales, induisant ainsi des boucles de rétroaction négative, qui paradoxalement permettraient au virus de persister (article de février 2021)[94]
- Le système nerveux central peut servir de réservoir à de nombreux virus, qui peuvent alors contribuer à des dommages tissulaires et des processus neuroinflammatoires (article d'avril 2021) [95].
- L'ARN du virus et une réactivité immunitaire sont retrouvés dans des biopsies intestinales après une infection au SARS-COV-2 chez 7 personnes asymptomatiques sur 14 (article de janvier 2021)[96].
- L'ARN du virus est retrouvé dans la muqueuse olfactive de patients présentant une persistance à long terme de l'anosmie associée au COVID-19 (article de mai 2021)[97].
- Le SRAS-CoV-2 peut exister dans le tractus gastro-intestinal des enfants pendant plus longtemps que dans le système respiratoire (article de juin 2020) [98].
- Dès mai 2020, une publication indique que chez une minorité de patients COVID-19, les organes extrapulmonaires (système nerveux central, yeux, cœur et intestin) peuvent servir de réservoir pour le SRAS-CoV-2, et liste ses implications potentielles dans la pathogenèse de la maladie (article de mai 2020) [99].
- Alexandre Bruno Raul Freitas (bibliographie sur ResearchGate), M.D. à l'Université de Sao Paulo a réalisé une vaste compilation d'études démontrant la capacité du virus à persister dans l’organisme et/ou à y être réactivé (en février 2023, cette compilation recense 123 articles), ainsi qu'une seconde bibliographie traitant de ce sujet (en février 2023, celle-ci recense 165 articles additionnels).
- En février 2024, dans Nature[100], une large étude communautaire faite au Royaume-Uni, conclue que les personnes qui avaient un virus persistant dans le nez ou la gorge au moins 30 jours après l'infection étaient 50 % plus susceptibles de signaler des symptômes de Long Covid à 12 semaines ou plus[101].
Facteurs de risque
Selon une étude du King's College London publiée le les facteurs de risque d'un Covid long peuvent inclure[102],[103] :
- être âgé de plus de cinquante ans ;
- disposer d'un indice de masse corporelle avoisinant ou surpassant 30 (surpoids et obésité) ;
- présenter de l'asthme ;
- présenter plus des cinq symptômes ayant trait au Covid-19 durant les premiers jours de la maladie (ex : toux, fatigue, maux de tête, diarrhée, perte de l'odorat). Cinq symptômes étant le nombre médian relevé.
Bien que les femmes soient moins susceptibles de développer une forme sévère du Covid-19, elles semblent cependant plus exposées au Covid long que les hommes.
Réponses
Outre les mesures barrières et la vaccination, une réponse a été de financer l'effort de recherche sur la COVID longue.
Recherche internationale
Jusque fin 2020, la plupart des suivis (dont par les CDC aux États-Unis) ne concernaient pas les cas bénins de COVID-19. Ces suivis ont donc pu manquer certains cas de COVID longs[15].
Elle se déroule en outre essentiellement dans les pays riches, bénéficiant notamment de 1,15 milliard de dollars US affichés en décembre 2020 par le Congrès américain au NIH (pour 4 ans). En juin, 2021, le NIH a lancé un programme dédié (‘RECOVER’) visant à suivre des dizaines de milliers de patients de tous âges, avec et sans COVID longue, vaccinés ou non, après une infection aiguë à coronavirus, comparés à des non-infectés[15].
Un risque est qu'à partir de 2021, les pays à forte couverture vaccinale testent moins leur population, ce qui fera perdre des statistiques importants pour évaluer la prévalence des infections à bas bruit et l'influence de la vaccination sur la COVID longue[15]. Dans ce cas, les patients victimes de COVID longue après une infection légère ou asymptomatique risquent de ne pas avoir les informations et le traitement dont ils ont besoin[15].
Réponses par pays
Australie
En octobre 2020, il fut décidé par le Royal Australian College of General Practitioners (RACGP), principal organisme des médecins généralistes d'Australie, que les symptômes de l'infection post-Covid-19 (fatigue, essoufflement et douleurs thoraciques) devront impérativement être pris en charge par les médecins généralistes afin de prévenir des maladies cardiaques ou pulmonaires potentielles pouvant se manifester dans le futur[104].
États-Unis
Lors d'une conférence de presse le , l'immunologiste Anthony Fauci, en sa qualité de conseiller médical de l'Administration Biden, émit de fortes inquiétudes quant au degré de gravité du Covid long chez certains individus ainsi que de sa progression ininterrompue au sein de la population. Indiquant prendre le problème au sérieux, il rappela que ce syndrome pouvait se manifester assez tard, même dans les cas originellement asymptomatiques du Covid-19[105],[106].
Dans une autre perspective, des cliniques spécialisées uniquement consacrées au traitement des formes longues du Covid commencent à apparaitre aux États-Unis[107].
Des recherches menées en Californie mettent en évidence l'efficacité des antihistaminiques pour traiter les symptômes de Covid longs[108].
France
Une proposition de résolution visant à reconnaître et prendre en charge les complications à long terme de la Covid-19 fut proposée à l'Assemblée nationale le 21 janvier 2021 par Patricia Mirallès, députée de la première circonscription de l'Hérault, et Julien Borowczyk, député de la sixième circonscription de la Loire.
Cette résolution visait d'une part, à reconnaitre la gravité de certains symptômes du Covid long tout aussi douloureux que handicapants ; et d'autre part, à traiter l'insuffisance de la réponse médicale actuelle, pouvant avoir des répercussions psychologiques chez certains patients[109],[110].
La Haute Autorité de Santé considère toutefois que l'état de santé s'améliore de façon progressive, dans la plupart des cas en quelques mois, grâce à une prise en charge pouvant inclure des traitements symptomatiques, du repos et une réadaptation en fonction de la nature des symptômes qui persistent. Les troubles anxieux ou dépressif doivent également faire l'objet d'une prise en charge[111].
Une association de malades #AprèsJ20[112] s'est créée pour soutenir, informer le public et donner des conseils.
Vingt députés du groupe Agir ensemble appellent en à mieux appréhender le phénomène du Covid long[113], sans quoi il pourrait devenir « une bombe à retardement pour notre société » : « un pays qui compterait demain 5 à 10 % de sa population atteinte de symptômes invalidants persistants, souffrirait d'un grave handicap en termes de force de travail, de force psychologique, d'énergie, de création, d'innovation par rapport à ses compétiteurs. La question se posera notamment vis-à-vis des pays, dont la Chine, qui ont mis en place la stratégie Zéro Covid… » Le groupe de députés appelle notamment à « reconnaitre le Covid long comme une maladie à part entière et lancer sans tarder un parcours de soins spécifique avec des crédits supplémentaires pour la prise en charge de ces patients ».
En novembre 2023, le Covars constate la difficulté du système de santé français et du monde du travail à gérer la situation des « centaines de milliers » de Français atteints[114].
Royaume-Uni
Le National Health Service a mis en place des cliniques spécialisées pour le traitement des formes longues du Covid[115] et l'Institut national pour la recherche en santé a alloué des fonds pour la recherche portant sur les mécanismes responsables de ce syndrome[116]. D'autre objectifs immédiats furent dévoilés, avec par exemple un suivi approprié de 10 000 patients affectés et la mise en service d'une méthode en ligne : "Your Covid Recovery"[117],[118].
En novembre 2020, il était estimé que plus de 60 000 citoyens britanniques pourraient souffrir d'une forme longue du Covid, bien qu'il soit impossible de savoir si certaines de ces personnes étaient déjà porteurs de symptômes analogues avant l'infection[119].
Suisse
Une information sur les effets à long terme a été communiquée et publiée en novembre 2020 par la Swiss National Covid-19 Science Task Force[120],[121]. Les autorités, en particulier l'office fédéral de la santé publique et la Confédération n'ont pas de stratégie en place concernant le Covid long[122],[121]. Les caisses maladies excluent déjà les effets à long terme de la couverture des assurances complémentaires[121].
La ligue pulmonaire zurichoise met en place le réseau « Altea » permettant l'échange entre les malades, le corps médical et la communauté scientifique[122].
Effets de la vaccination
Selon le physiothérapeute David Putrino (spécialiste de la réadaptation neurologique à l’hôpital Mount Sinai de New York), en 2021, être complètement vacciné limite non seulement le risque de contracter la maladie, mais aussi d'en développer une forme longue. La vaccination ne protège cependant pas toujours contre la COVID longue, même après une infection légère ou asymptomatique.
Près d'un tiers des cas « longs » suivis par du Dr Putrino ont de graves difficultés cognitives (difficulté à se concentrer, à parler et à se souvenir, non présentes avant leur maladie) et 60 % environ ont dû changer de métier ou arrêter de travailler en raison de leur maladie. Néanmoins, selon les données étudiées en 2021, la vaccination pourrait réduire de moitié le risque de COVID longue – ou n'avoir aucun effet sur celui-ci[123],[124]
En Israël, sur un panel d'environ 1 500 agents de santé vaccinés, 39 ont été infectés, dont 7 (19 %) avec des symptômes persistant plus de 6 semaines[125].
50 % des vétérans américains vaccinés ont été protégés de la COVID-19 (même Lors de la vague Delta)[126] et chez ceux qui sont tombés malade le risque de COVID long était divisé par deux (11 % dans le groupe non vacciné contre 5 % environ chez les vaccinés[123].
1,2 million de personnes ayant reçu au moins une dose d'un vaccin ont enregistré leur expérience dans l'application COVID Symptom Study (Londres ZOE et King's College de Londres)1. Chez elles, même en tenant compte de l'immunité décroissante du vaccin et de l'arrivée du variant Delta (plus infectieux) : deux doses de vaccin ont diminué le risque de COVID longue de plus de 50 %. Deux biais de cette étude sont que plus de femmes que d'hommes s'y sont enregistrées, et peu de personnes de zones pauvres[15].
La vaccination semble dans un grand nombre de cas réduire le COVID long chez ceux qui en souffraient déjà, car au Royaume-Uni, la première dose vaccinale était associée à une diminution de 13 % des symptômes auto-déclarés du COVID-19 chez ceux qui les avaient déjà avant vaccination, et la seconde dose semble diminuer le risque de 9 % supplémentaires[127].
Une autre enquête épidémiologique (Survivor Corps, 2021) montre que 40 % environ des patients COVID-longs interrogées signalent une amélioration de leurs symptômes après la vaccination ; et que 14 % ont ressenti une aggravation de leurs symptômes[128].
En novembre 2021, une autre étude à grande échelle, rétrospectivement basée sur les dossiers de santé électroniques d'environ 10 000 personnes vaccinées mais atteintes de COVID[124] (pas encore été évaluée par des pairs) suggère que la vaccination ne protégeait pas contre plusieurs des symptômes associées à une COVID longue (comparativement à un groupe témoin de personnes infectées qui n'avaient pas été vaccinées contre le COVID-19, mais qui avaient reçu un vaccin contre la grippe)[124]. Cette étude, portée par Maxime Taquet (psychiatre et chercheur à l'Université d'Oxford) a cherché à aussi prendre en compte des différences potentielles de mode de vie entre ceux qui ont reçu le vaccin COVID-19 et ceux qui ne l'ont pas reçu, en incluant le groupe témoin, mais les dossiers de santé n'incluent pas les patients asymptomatiques ou Pausymptômatiques non testés[15].
Conséquences
Fin 2021, il n'y a pas de consensus sur la nature exacte du « Covid long » ni sur la possibilité de guérison totale pour l'ensemble des cas. L'impact réel de ce syndrome sur la société dans le futur (notamment dans les milieux professionnel et sportif) ne peut donc être mesuré avec certitude[129],[130].
Pour sensibiliser le public à ces symptômes, des communautés d'internautes se sont créées sur les réseaux sociaux[131],[132], où ils partagent leurs témoignages[133],[134].
Des internautes francophones victimes du Covid ont ainsi lancé une campagne, majoritairement sur Twitter, via des tweets avec des hashtags évoquant l'ensemble des expériences vécues jour après jour (#apresJ20, #apresJ60, #apresJ90, etc.). Elle a eu un écho sur les réseaux sociaux et dans l'ensemble de la sphère médiatique[135].
Un sujet préoccupant pour les malades longs est le refus, de la part de tiers, de prendre leurs symptômes au sérieux et de les reconnaître comme cause d'invalidité en l'absence d'une confirmation d'infection au Covid-19[136],[137].
Recherche
La recherche avance difficilement. La diversité des cas de patients, les différentes causes agissants en parallèle sont autant de complications pour mener des études crédibles.
L'étude "ComPaRe Covid Long[138]" (financés[139] par l'AP-HP et Université de Paris) est un suivi/étude réalisée sur une cohorte de 2200 personnes[140] environs et publiée dans le "International Journal of Infectious Diseases[141]" le 12 mai 2023. Une partie de la conclusion est la suivante :"[...] au cours des 2 premières années de maladie, environ 5% des patients vont avoir une amélioration rapide de leurs symptômes; 5% des patients vont avoir des symptômes importants et persistants ; et les 90% patients restants vont avoir une amélioration lente de leurs symptômes.".
Une étude randomisée en simple aveugle et contrôlée par placebo a révélé que la supplémentation en l-arginine et en vitamine C améliorait les performances de marche, la force musculaire, la fonction endothéliale et la fatigue chez les adultes atteints du Covid long. Après 28 jours, 2 participants du groupe actif et 21 du groupe placebo ont signalé de la fatigue[142].
La metformine prise les premiers jours des symptômes réduirait le risque de Covid long (-42 % chez les personnes obèses ou en surpoids, notamment si non vaccinées)[143].
Les patchs de nicotine ont montré une efficacité notable sur les principaux symptômes (notamment le brouillard cérébral) d'après une étude de cas de Marco Leitzke. L'étude semble bien menée (pas de conflit d'intérêts déclaré), mais les résultats sont fragiles, seuls quatre cas étant étudiés[144].
Une étude publiée en 2024 dans la revue Science conclut que « le Covid long actif s'accompagne d'une signature protéique sanguine marquée par une augmentation de l'activation du complément et de la thrombo-inflammation, y compris des plaquettes activées et des marqueurs de la lyse des globules rouges. Les lésions tissulaires peuvent aussi être médiées par le complément et, à leur tour, activer le système du complément. De plus, l'activation du complément peut être induite par des complexes antigène-anticorps, impliquant des auto-anticorps et des anticorps contre les herpèsvirus, ainsi que par une diaphonie avec un système de coagulation dérégulé »[145].
Les problèmes de sommeils et de douleurs peuvent être améliorés avec un traitement hyperbare[146].
Parmi les patients souffrant d'hypomagnésémie et de carence en vitamine D, une supplémentation orale combinée en magnésium et en vitamine D est efficace et sûre pour soulager la dépression légère à modérée liée au COVID long[147].
Notes et références
Notes
Références
- ↑ Office for National Statistics (2021). Updated estimates of the prevalence of post-acute symptoms among people with coronavirus (COVID-19) in the UK: 16 Septembre 2021
- 1 2 « Un nouveau document d'orientation exhorte les décideurs à soutenir les patients, dont 1 sur 10 signale des symptômes de « COVID longue » », sur =Organisation mondiale de la santé, (consulté le ).
- ↑ « Chronic COVID Syndrome: Need for an appropriate medical terminology for Long-COVID and COVID Long-Haulers », Journal of Medical Virology, (PMID 33095459, DOI 10.1002/jmv.26624).
- ↑ (en) « Long-Term Effects of COVID-19 »(Archive.org • Wikiwix • Archive.is • Google • Que faire ?), sur cdc.gov, (consulté le ).
- ↑ « Overview | COVID-19 rapid guideline: managing the long-term effects of COVID-19 | Guidance | NICE », National Institute for Health and Care Excellence, (consulté le ).
- ↑ (en) James Gallagher, « 'Long Covid': Why are some people not recovering? », sur BBC Online, (consulté le ).
- 1 2 3 4 « Management of post-acute covid-19 in primary care », The BMJ, vol. 370, , m3026 (PMID 32784198, DOI 10.1136/bmj.m3026, lire en ligne
). - ↑ « Attributes and predictors of Long-COVID: analysis of COVID cases and their symptoms collected by the Covid Symptoms Study App », MedRxiv, Preprint Server for the Health Sciences, (DOI 10.1101/2020.10.19.20214494, lire en ligne, consulté le ). Prépublication.
- 1 2 Ferney, « Les mystères du Covid long », La Croix, (consulté le ).
- ↑ « Covid long : les recommandations de la Haute Autorité de santé », sur Service-public.fr (consulté le ).
- ↑ « High Prevalence of Pericardial Involvement in College Student Athletes Recovering From COVID-19 », JACC. Cardiovascular Imaging, , S1936878X20309463 (PMID 33223496, PMCID 7641597, DOI 10.1016/j.jcmg.2020.10.023).
- ↑ « Safety and Efficacy of the BNT162b2 mRNA Covid-19 Vaccine », The New England Journal of Medicine, vol. 383, no 27, , p. 2603–2615 (PMID 33301246, PMCID 7745181, DOI 10.1056/NEJMoa2034577, lire en ligne).
- ↑ « Safety and Immunogenicity of SARS-CoV-2 mRNA-1273 Vaccine in Older Adults », The New England Journal of Medicine, vol. 383, no 25, , p. 2427–2438 (PMID 32991794, PMCID 7556339, DOI 10.1056/NEJMoa2028436, lire en ligne).
- ↑ « Covid-19: Oxford vaccine could be 59% effective against asymptomatic infections, analysis shows », BMJ, vol. 371, , m4777 (PMID 33298405, DOI 10.1136/bmj.m4777, lire en ligne
). - 1 2 3 4 5 6 7 8 9 (en) Heidi Ledford, « Do vaccines protect against long COVID? What the data say », Nature, vol. 599, no 7886, , p. 546–548 (ISSN 0028-0836 et 1476-4687, DOI 10.1038/d41586-021-03495-2, lire en ligne, consulté le ).
- 1 2 « syndrome post-COVID-19 », Grand Dictionnaire terminologique, Office québécois de la langue française (consulté le ).
- ↑ (en) Perego, Callard, Stras, Melville-Jóhannesson, Pope et Alwan, « Why we need to keep using the patient made term "Long Covid" », The BMJ, (consulté le ).
- ↑ « How and why patients made Long Covid », Social Science & Medicine, vol. 268, , p. 113426 (PMID 33199035, PMCID 7539940, DOI 10.1016/j.socscimed.2020.113426).
- ↑ « Maladie à coronavirus (COVID-19) : affection post-COVID-19 », sur Organisation mondiale de la santé (OMS) (consulté le ).
- ↑ Bureau de la traduction, « Lexique sur la pandémie de COVID-19 », sur TERMIUM Plus, Gouvernement du Canada (consulté le ).
- 1 2 Komaroff, « The tragedy of the post-COVID "long haulers" », Harvard Health, Harvard Health Publishing, Harvard Medical School, (consulté le ).
- ↑ « The lasting misery of coronavirus long-haulers », Nature, vol. 585, no 7825, , p. 339–341 (PMID 32929257, DOI 10.1038/d41586-020-02598-6, lire en ligne
). - 1 2 « COVID-19 (coronavirus): Long-term effects », Mayo Clinic, (consulté le ).
- 1 2 « What are the long-term health risks following COVID-19? », NewsGP, Royal Australian College of General Practitioners (RACGP), (consulté le ).
- ↑ « Persistent Symptoms in Patients After Acute COVID-19 », Journal of the American Medical Association, vol. 324, no 6, , p. 603–605 (PMID 32644129, PMCID 7349096, DOI 10.1001/jama.2020.12603, lire en ligne, consulté le ).
- ↑ « « Covid long » : quel diagnostic et prise en charge ? », sur www.ameli.fr (consulté le )
- 1 2 3 (en) « A dynamic review of the evidence around ongoing Covid19 symptoms (often called Long Covid). », sur evidence.nihr.ac.uk, (consulté le ).
- ↑ « Potential neurological manifestations of COVID-19 », Neurology: Clinical Practice, , p. 10.1212/CPJ.0000000000000897 (ISSN 2163-0402, DOI 10.1212/CPJ.0000000000000897, lire en ligne, consulté le ).
- ↑ Tanner, « All we know so far about 'long haul' Covid – estimated to affect 600,000 people in the UK », inews, (consulté le ) : « i spoke to Professor Tim Spector of King's College London who developed the Covid-19 tracker app ».
- ↑ « L'affection post-COVID-19 (appelée aussi COVID long). Point au 21 juillet 2022. », sur Santé publique France, (consulté le ).
- ↑ « Case report and systematic review suggest that children may experience similar long-term effects to adults after clinical COVID-19 », Acta Paediatrica, (PMID 33205450, PMCID 7753397, DOI 10.1111/apa.15673).
- ↑ (en-US) Simpson et Lokugamage, « Counting long covid in children », The BMJ, (consulté le ).
- ↑ Service Public d’Information en Santé, « Qu'est-ce que le Covid long ? », sur sante.fr, (consulté le ).
- ↑ Bridget Fitzgerald, « Long-haul COVID-19 patients will need special treatment and extra support, according to new guide for GPs », sur ABC News, Australian Broadcasting Corporation), (consulté le ).
- ↑ Ross JM, Seiler J, Meisner J, Tolentino L, « Summary of COVID-19 Long Term Health Effects: Emerging evidence and Ongoing Investigation », University of Washington, (consulté le ).
- ↑ « How long does COVID-19 last? », UK COVID Symptom Study, (consulté le ).
- ↑ (en) Stephen Chen, « Coronavirus: Chinese study finds most patients still show signs of ‘long Covid' six months later », South China Morning Post, (lire en ligne).
- ↑ Huang, Huang, Wang et Li, « 6-month consequences of COVID-19 in patients discharged from hospital: a cohort study », The Lancet, vol. 0, no 0, (ISSN 0140-6736, DOI 10.1016/S0140-6736(20)32656-8, lire en ligne, consulté le ).
- ↑ (en) « National estimates of prevalence of depression or symptoms of depression, pre‑COVID‑19, 2020 and 2021 », Health at a Glance, (ISSN 1999-1312, DOI 10.1787/5e1ae405-en, lire en ligne, consulté le ).
- ↑ (en) Sarah Knapton, « Almost a third of recovered Covid patients return to hospital in five months and one in eight die », The Daily Telegraph, .
- ↑ Natasya Salim, « Indonesians open up about the impacts of long COVID, one year since the country's first case », sur ABC News, Australian Broadcasting Corporation, (consulté le ).
- ↑ (en) Sarah Knapton, Persistent COVID-19 symptoms are highly prevalent 6 months after hospitalization: results from a large prospective cohort, Clinical Microbiology and Infection, 2021-05-10
- ↑ « Long-term consequences of COVID-19: research needs », The Lancet Infectious Diseases, vol. 20, no 10, , p. 1115–1117 (PMID 32888409, PMCID 7462626, DOI 10.1016/S1473-3099(20)30701-5, lire en ligne, consulté le ).
- ↑ (en) « In serious cases, covid-19 symptoms can linger for a long time », sur The Economist, (consulté le ).
- ↑ (en) « Chinese study finds most patients show signs of ‘long Covid' six months on », South China Morning Post, (lire en ligne, consulté le ).
- ↑ Institut national de la santé et de la recherche médicale (INSERM), « Des résultats confirment la capacité du SARS-CoV-2 à infecter les neurones », presse.inserm.fr, (lire en ligne, consulté le ).
- ↑ « Long covid could be four different syndromes, review suggests », The BMJ, vol. 371, , m3981 (PMID 33055076, DOI 10.1136/bmj.m3981, lire en ligne
). - ↑ « Bidirectional associations between COVID-19 and psychiatric disorder: retrospective cohort studies of 62 354 COVID-19 cases in the USA », The Lancet. Psychiatry, , S2215036620304624 (PMID 33181098, DOI 10.1016/S2215-0366(20)30462-4).
- ↑ (en) Eve Garrigues, Paul Janvier, Yousra Kherabi et Audrey Le Bot, « Post-discharge persistent symptoms and health-related quality of life after hospitalization for COVID-19 », Journal of Infection, vol. 81, no 6, , e4–e6 (PMID 32853602, PMCID PMC7445491, DOI 10.1016/j.jinf.2020.08.029, lire en ligne, consulté le ).
- ↑ (en) Stephen J. Halpin, Claire McIvor, Gemma Whyatt et Anastasia Adams, « Postdischarge symptoms and rehabilitation needs in survivors of COVID-19 infection: A cross-sectional evaluation », Journal of Medical Virology, vol. 93, no 2, , p. 1013–1022 (ISSN 1096-9071, DOI 10.1002/jmv.26368, lire en ligne, consulté le ).
- ↑ (en) COVID ORL ESP Collaborative Group (*), Cristina Martin-Villares, Carmen Perez Molina-Ramirez et Margarita Bartolome-Benito, « Outcome of 1890 tracheostomies for critical COVID-19 patients: a national cohort study in Spain », European Archives of Oto-Rhino-Laryngology, (ISSN 0937-4477 et 1434-4726, PMID 32749607, PMCID PMC7399582, DOI 10.1007/s00405-020-06220-3, lire en ligne, consulté le ).
- ↑ (en) Yiying Huang, Cuiyan Tan, Jian Wu et Meizhu Chen, « Impact of coronavirus disease 2019 on pulmonary function in early convalescence phase », Respiratory Research, vol. 21, no 1, , p. 163 (ISSN 1465-993X, PMID 32600344, PMCID PMC7323373, DOI 10.1186/s12931-020-01429-6, lire en ligne, consulté le ).
- ↑ (en) Wei Liu, Liping Peng, Hongmei Liu et Shucheng Hua, « Pulmonary Function and Clinical Manifestations of Patients Infected with Mild Influenza A Virus Subtype H1N1: A One-Year Follow-Up », PLOS ONE, vol. 10, no 7, , e0133698 (ISSN 1932-6203, PMID 26218647, PMCID PMC4517883, DOI 10.1371/journal.pone.0133698, lire en ligne, consulté le ).
- ↑ (en) Eng Eong Ooi, « Asymptomatic SARS-CoV-2 infection », The Lancet Infectious Diseases, (lire en ligne, consulté le ).
- ↑ (en) Rasha Mostafa Mohamed Ali, « Radiological findings spectrum of asymptomatic coronavirus (COVID-19) patients », Egypt J Radiol Nucl Med., (lire en ligne, consulté le ).
- ↑ Gilbert Ferretti, « Nodule en verre dépoli : quelle prise en charge en 2014 ? », Centre hospitalier universitaire Grenoble-Alpes, (lire en ligne, consulté le ).
- ↑ « Covids longs : la piste du virus de la mononucléose étudiée », sur Le Magazine de la santé, (consulté le ).
- 1 2 3 4 5 6 7 8 9 10 11 12 13 14 15 16 17 18 19 20 21 22 (en) L. He, « Expression of elevated levels of pro-inflammatory cytokines in SARS-CoV-infected ACE2+ cells in SARS patients: relation to the acute lung injury and pathogenesis of SARS », Journal of Pathology, (lire en ligne, consulté le ).
- ↑ (en) Emily Baumgaertner, « Ebola Lives On in Survivors' Eyeballs and Testicles », sur foreignpolicy.com, (consulté le ).
- ↑ (en) Brodin, « Immune determinants of COVID-19 disease presentation and severity », Nature, vol. 27, no 1, , p. 28–33 (ISSN 1546-170X, DOI 10.1038/s41591-020-01202-8, lire en ligne).
- 1 2 3 4 5 6 7 8 9 (en) Jing Qi, « The scRNA-seq Expression Profiling of the Receptor ACE2 and the Cellular Protease TMPRSS2 Reveals Human Organs Susceptible to SARS-CoV-2 Infection », Int J Environ Res Public Health., (lire en ligne, consulté le ).
- 1 2 3 (en) Taku Sato, « Expression of ACE2 and TMPRSS2 Proteins in the Upper and Lower Aerodigestive Tracts of Rats: Implications on COVID 19 Infections », Laryngology, (lire en ligne, consulté le ).
- 1 2 3 4 5 6 7 8 9 10 11 12 13 14 15 16 17 18 19 20 21 22 23 24 (en) Stefanie Deinhardt-Emmer, « Early postmortem mapping of SARS-CoV-2 RNA in patients with COVID-19 and correlation to tissue damage », biorxiv, (lire en ligne [PDF], consulté le ).
- 1 2 3 4 5 (en) Waradon Sungnak, « SARS-CoV-2 entry factors are highly expressed in nasal epithelial cells together with innate immune genes », Nature, (lire en ligne, consulté le ).
- ↑ (en) Chaofu Wang, « Alveolar macrophage dysfunction and cytokine storm in the pathogenesis of two severe COVID-19 patients », EBioMedicine, (lire en ligne, consulté le ).
- ↑ (en) Yu Usami, « Brief communication: Immunohistochemical detection of ACE2 in human salivary gland », Oral Sci Int., (lire en ligne, consulté le ).
- 1 2 3 4 5 6 7 8 9 10 11 (en) Yanqing Ding, « Organ distribution of severe acute respiratory syndrome (SARS) associated coronavirus (SARS-CoV) in SARS patients: implications for pathogenesis and virus transmission pathways », Journal of Pathology, (lire en ligne, consulté le ).
- 1 2 3 4 5 6 7 8 (en) Xiu-Wu Bian, « Autopsy of COVID-19 patients in China », National Science Review, (lire en ligne).
- 1 2 3 (en) Janis A. Müller, « SARS-CoV-2 infects and replicates in cells of the human endocrine and exocrine pancreas », Nature Metabolism, (lire en ligne, consulté le ).
- ↑ (en) Kristijan Skok, « Post-mortem viral dynamics and tropism in COVID-19 patients in correlation with organ damage », Virchows Archiv, (lire en ligne, consulté le ).
- ↑ (en) Ernesto Roldán-Santiago, « Severe Acute Respiratory Syndrome Coronavirus 2 Spreads to Lymph Nodes and Strongly Expands CD4+ Effector Memory RA Cells in a Patient With Mild Coronavirus Disease 2019 », Clinical Infectious Diseases, (lire en ligne, consulté le ).
- ↑ (en) Y. Chen, « The Novel Severe Acute Respiratory Syndrome Coronavirus 2 (SARS-CoV-2) Directly Decimates Human Spleens and Lymph Nodes », University of Oxford - Immunology Network, (lire en ligne, consulté le ).
- ↑ (en) Jessica S. Meyer, « Acute appendicitis in four children with SARS-CoV-2 infection », Journal of Pediatric Surgery Case Reports, (lire en ligne, consulté le ).
- ↑ (en) Julu Bhatnagar, « Evidence of Severe Acute Respiratory Syndrome Coronavirus 2 Replication and Tropism in the Lungs, Airways, and Vascular Endothelium of Patients With Fatal Coronavirus Disease 2019: An Autopsy Case Series », The Journal of Infectious Diseases, (lire en ligne, consulté le ).
- ↑ (en) Louis Maximilian Buja, « The emerging spectrum of cardiopulmonary pathology of the coronavirus disease 2019 (COVID-19): Report of 3 autopsies from Houston, Texas, and review of autopsy findings from other United States cities », Cardiovascular Pathology, (lire en ligne, consulté le ).
- ↑ (en) Huiwen Zheng, « Virulence and pathogenesis of SARS-CoV-2 infection in rhesus macaques: A nonhuman primate model of COVID-19 progression », PLoS Pathog, (lire en ligne, consulté le ).
- ↑ (en) Alberto Paniz-Mondolfi, « Central nervous system involvement by severe acute respiratory syndrome coronavirus-2 (SARS-CoV-2) », J Med Virol, (lire en ligne, consulté le ).
- ↑ (en) Veronica Murta, « Severe Acute Respiratory Syndrome Coronavirus 2 Impact on the Central Nervous System: Are Astrocytes and Microglia Main Players or Merely Bystanders? », ASN Neuro, (lire en ligne, consulté le ).
- ↑ (en) Bishara J. Freij, « Fatal central nervous system co-infection with SARS-CoV-2 and tuberculosis in a healthy child », BMC Pediatr., (lire en ligne, consulté le ).
- ↑ (en) Alexandra Lindsey Zune Djomkam, « Commentary: SARS-CoV-2 Cell Entry Depends on ACE2 and TMPRSS2 and Is Blocked by a Clinically Proven Protease Inhibitor », Front Oncol., (lire en ligne, consulté le ).
- ↑ Rossana Bussani, Lorena Zentilin, Ricardo Correa et Andrea Colliva, « Persistent <scp>SARS‐CoV</scp> ‐2 infection in patients seemingly recovered from <scp>COVID</scp> ‐19 », The Journal of Pathology, (ISSN 0022-3417 et 1096-9896, DOI 10.1002/path.6035, lire en ligne, consulté le )
- ↑ Elif Kervancioglu Demirci, Murat Dursun, Erva Seviç et Rıfat Burak Ergül, « Evidence for residual SARS‐CoV‐2 in corpus cavernosum of patients who recovered from COVID‐19 infection », Andrology, (ISSN 2047-2919 et 2047-2927, DOI 10.1111/andr.13351, lire en ligne, consulté le )
- ↑ (en) Jenny C. Jin, Aparna Ananthanarayanan, Julia A. Brown et Stephanie L. Rager, « SARS CoV-2 detected in neonatal stool remote from maternal COVID-19 during pregnancy », Pediatric Research, (ISSN 0031-3998 et 1530-0447, PMID 35986143, PMCID PMC9388973, DOI 10.1038/s41390-022-02266-7, lire en ligne, consulté le )
- ↑ (en) Zoe Swank, Yasmeen Senussi, Zachary Manickas-Hill et Xu G Yu, « Persistent Circulating Severe Acute Respiratory Syndrome Coronavirus 2 Spike Is Associated With Post-acute Coronavirus Disease 2019 Sequelae », Clinical Infectious Diseases, , ciac722 (ISSN 1058-4838 et 1537-6591, DOI 10.1093/cid/ciac722, lire en ligne, consulté le )
- ↑ (en) Heidi Ledford, « Coronavirus ‘ghosts’ found lingering in the gut », Nature, vol. 605, no 7910, , p. 408–409 (DOI 10.1038/d41586-022-01280-3, lire en ligne, consulté le )
- ↑ (en) Aravind Natarajan, Soumaya Zlitni, Erin F. Brooks et Summer E. Vance, « Gastrointestinal symptoms and fecal shedding of SARS-CoV-2 RNA suggest prolonged gastrointestinal infection », Med, vol. 3, no 6, , p. 371–387.e9 (PMID 35434682, PMCID PMC9005383, DOI 10.1016/j.medj.2022.04.001, lire en ligne, consulté le )
- ↑ (en) Andreas Zollner, Robert Koch, Almina Jukic et Alexandra Pfister, « Postacute COVID-19 is Characterized by Gut Viral Antigen Persistence in Inflammatory Bowel Diseases », Gastroenterology, vol. 163, no 2, , p. 495–506.e8 (PMID 35508284, PMCID PMC9057012, DOI 10.1053/j.gastro.2022.04.037, lire en ligne, consulté le )
- ↑ (en) Katherine M. Littlefield, Renée O. Watson, Jennifer M. Schneider et Charles P. Neff, « SARS-CoV-2-specific T cells associate with inflammation and reduced lung function in pulmonary post-acute sequalae of SARS-CoV-2 », PLOS Pathogens, vol. 18, no 5, , e1010359 (ISSN 1553-7374, PMID 35617421, PMCID PMC9176759, DOI 10.1371/journal.ppat.1010359, lire en ligne, consulté le )
- ↑ Danilo Buonsenso, Michele Piazza, Attilio L. Boner et Joseph A. Bellanti, « Long COVID: A proposed hypothesis-driven model of viral persistence for the pathophysiology of the syndrome », Allergy and Asthma Proceedings, vol. 43, no 3, , p. 187–193 (ISSN 1088-5412, DOI 10.2500/aap.2022.43.220018, lire en ligne, consulté le )
- ↑ Xiaorui Wang, Han Bai, Junpeng Ma et Hongyu Qin, « Identification of Distinct Immune Cell Subsets Associated With Asymptomatic Infection, Disease Severity, and Viral Persistence in COVID-19 Patients », Frontiers in Immunology, vol. 13, (ISSN 1664-3224, DOI 10.3389/fimmu.2022.812514, lire en ligne, consulté le )
- ↑ (en) « Persistence of residual SARS-CoV-2 viral antigen and RNA in tissues of patients with long COVID-19 », sur researchsquare.com, (DOI 10.21203/rs.3.rs-1379777/v1, consulté le ).
- ↑ (en) Dominique Grandjean, Dorsaf Slama, Capucine Gallet et Clothilde Julien, « Screening for SARS-CoV-2 persistence in Long COVID patients using sniffer dogs and scents from axillary sweats samples », medRxiv, , p. 2022.01.11.21268036 (DOI 10.1101/2022.01.11.21268036, lire en ligne, consulté le )
- ↑ (en) « SARS-CoV-2 infection and persistence throughout the human body and brain », sur researchsquare.com, (DOI 10.21203/rs.3.rs-1139035/v1, consulté le ).
- ↑ (en) John J.L. Jacobs, « Persistent SARS-2 infections contribute to long COVID-19 », Medical Hypotheses, vol. 149, , p. 110538 (PMID 33621843, PMCID PMC7884250, DOI 10.1016/j.mehy.2021.110538, lire en ligne, consulté le )
- ↑ Avindra Nath et Tory P. Johnson, « Mechanisms of viral persistence in the brain and therapeutic approaches », The FEBS Journal, vol. 289, no 8, , p. 2145–2161 (ISSN 1742-464X et 1742-4658, DOI 10.1111/febs.15871, lire en ligne, consulté le )
- ↑ (en) Christian Gaebler, Zijun Wang, Julio C. C. Lorenzi et Frauke Muecksch, « Evolution of antibody immunity to SARS-CoV-2 », Nature, vol. 591, no 7851, , p. 639–644 (ISSN 0028-0836 et 1476-4687, PMID 33461210, PMCID PMC8221082, DOI 10.1038/s41586-021-03207-w, lire en ligne, consulté le )
- ↑ (en) Guilherme Dias de Melo, Françoise Lazarini, Sylvain Levallois et Charlotte Hautefort, « COVID-19–related anosmia is associated with viral persistence and inflammation in human olfactory epithelium and brain infection in hamsters », Science Translational Medicine, vol. 13, no 596, , eabf8396 (ISSN 1946-6234 et 1946-6242, PMID 33941622, PMCID PMC8158965, DOI 10.1126/scitranslmed.abf8396, lire en ligne, consulté le )
- ↑ Yu-Han Xing, Wei Ni, Qin Wu et Wen-Jie Li, « Prolonged viral shedding in feces of pediatric patients with coronavirus disease 2019 », Journal of Microbiology, Immunology and Infection, vol. 53, no 3, , p. 473–480 (ISSN 1684-1182, DOI 10.1016/j.jmii.2020.03.021, lire en ligne, consulté le )
- ↑ Raj Kalkeri, Scott Goebel et Guru Dutt Sharma, « SARS-CoV-2 Shedding from Asymptomatic Patients: Contribution of Potential Extrapulmonary Tissue Reservoirs », The American Journal of Tropical Medicine and Hygiene, vol. 103, no 1, , p. 18–21 (ISSN 0002-9637 et 1476-1645, DOI 10.4269/ajtmh.20-0279, lire en ligne, consulté le )
- ↑ (en) Mahan Ghafari, Matthew Hall, Tanya Golubchik et Daniel Ayoubkhani, « Prevalence of persistent SARS-CoV-2 in a large community surveillance study », Nature, vol. 626, no 8001, , p. 1094–1101 (ISSN 1476-4687, DOI 10.1038/s41586-024-07029-4, lire en ligne, consulté le )
- ↑ (en) « Long Covid trials aim to clear lingering virus—and help patients in need », science.org, (DOI 10.1126/science.zcmd4cm, lire en ligne, consulté le )
- ↑ (en) James Gallagher, « Long Covid: Who is more likely to get it? », BBC, (lire en ligne).
- ↑ « New research identifies those most at risk from 'long COVID' », King's College London, (consulté le ).
- ↑ Fitzgerald, « Long-haul COVID-19 patients will need special treatment and extra support, according to new guide for GPs », ABC News, Australian Broadcasting Corporation), (consulté le ).
- ↑ A.Fauci : « While most persons with Covid-19 recover and return to normal health, some patients can have symptoms that can last for weeks or even months after recovery from acute illness. Even people who are not hospitalized and who have mild illness can experience persistent or late symptoms ».
- ↑ (en) Andrea Diaz, « Long-term Covid-19 symptoms "could be an issue," Fauci warns », sur edition.cnn.com, (consulté le ).
- ↑ (en) Jennfer Peltz, « ‘We know this is real': New clinics for coronavirus long-haulers crop up in U.S. », sur globalnews.ca, (consulté le ).
- ↑ « Covid Long: Et si les antihistaminiques étaient l'espoir tant attendu des 54 millions de patients souffrant de séquelles du Covid? », sur lindependant.fr (consulté le ).
- ↑ " Julien BOROWCZYK, Patricia MIRALLÈS, Christophe CASTANER, Patrick MIGNOLA, Olivier BECHT, Fadila KHATTABI, Christine CLOAREC‑LE NABOUR, les membres du groupe La République en Marche et apparentés, les membres du groupe Mouvement Démocrate et Démocrates apparentés, les membres du Groupe Agir ensemble", « Proposition de résolution nº 3792 visant à reconnaître et prendre en charge les complications à long terme de la covid-19 - Assemblée Nationale », sur assemblee-nationale.fr, (consulté le ).
- ↑ « Covid-19 : pour faire reconnaître les séquelles à long terme de la maladie, deux députés ont rédigé une proposition de résolution », sur francetvinfo.fr, (consulté le ).
- ↑ « Symptômes prolongés suite à une Covid-19 de l'adulte - Diagnostic et prise en charge », sur Haute Autorité de Santé (consulté le ).
- ↑ « Apresj20 : Association Covid Long France », sur apresj20 (consulté le ).
- ↑ « "Le Covid long pourrait devenir une catastrophe pour la France" », sur lejdd.fr (consulté le ).
- ↑ Florent Metois, « Isolement, difficultés financières... Le Covid long doit être mieux pris en charge, alerte le Covars », Le Dauphiné Libéré,
- ↑ (en) Clive Cookson i, « ‘Long Covid' symptoms can last for months », Financial Times, (lire en ligne)
- ↑ « NHS to offer 'long covid' sufferers help at specialist centres », NHS England, (consulté le ).
- ↑ « Your COVID Recovery », Your COVID Recovery (consulté le ).
- ↑ Herman, « I'm a consultant in infectious diseases. 'Long Covid' is anything but a mild illness », The Guardian, (consulté le ).
- ↑ (en) "VOA News", « WHO Head ‘Extremely Concerned' by Increase in Coronavirus Cases », sur voanews.com, (consulté le ).
- ↑ (de) « Mögliche Langzeitfolgen einer Sars-Cov-2-Infektion – Swiss National COVID-19 Science Task Force » (consulté le ).
- 1 2 3 « Les malades du Covid-long se battent pour obtenir aide et reconnaissance », sur SWI swissinfo.ch (consulté le ).
- 1 2 « Le "Covid long", un mal mystérieux qui toucherait un quart des malades », sur rts.ch, (consulté le ).
- 1 2 (en) Michela Antonelli, Rose S Penfold, Jordi Merino et Carole H Sudre, « Risk factors and disease profile of post-vaccination SARS-CoV-2 infection in UK users of the COVID Symptom Study app: a prospective, community-based, nested, case-control study », The Lancet Infectious Diseases, , S1473309921004606 (PMID 34480857, PMCID PMC8409907, DOI 10.1016/S1473-3099(21)00460-6, lire en ligne, consulté le )
- 1 2 3 (en) Maxime Taquet, Quentin Dercon et Paul J Harrison, « Six-month sequelae of post-vaccination SARS-CoV-2 infection: a retrospective cohort study of 10,024 breakthrough infections », Infectious Diseases (except HIV/AIDS), (DOI 10.1101/2021.10.26.21265508, consulté le ).
- ↑ Moriah Bergwerk, Tal Gonen, Yaniv Lustig et Sharon Amit, « Covid-19 Breakthrough Infections in Vaccinated Health Care Workers », New England Journal of Medicine, vol. 385, no 16, , p. 1474–1484 (ISSN 0028-4793 et 1533-4406, DOI 10.1056/nejmoa2109072, lire en ligne, consulté le )
- ↑ (en) Barbara A. Cohn, Piera M. Cirillo, Caitlin C. Murphy et Nickilou Y. Krigbaum, « SARS-CoV-2 vaccine protection and deaths among US veterans during 2021 », Science, , eabm0620 (ISSN 0036-8075 et 1095-9203, DOI 10.1126/science.abm0620, lire en ligne, consulté le )
- ↑ Office for National Statistics. Coronavirus (COVID-19) vaccination and self-reported long COVID in the UK: 25 October 2021 (ONS, 2021).
- ↑ (en) Daisy Massey, Diana Berrent, Athena Akrami et Gina Assaf, « Change in Symptoms and Immune Response in People with Post-Acute Sequelae of SARS-Cov-2 Infection (PASC) After SARS-Cov-2 Vaccination », Allergy and Immunology, (DOI 10.1101/2021.07.21.21260391, consulté le ).
- ↑ Coralie Lemke, « L'enfer des formes longues du Covid-19 : "Faire du sport ? Je ne peux même pas l'imaginer" », sur sciencesetavenir.fr, (consulté le ).
- ↑ Stéphane Demorand, « Le "Covid long", bombe à retardement ? », sur lepoint.fr, (consulté le ).
- ↑ (en) Blazonis, « Facebook Group Created by Tampa Man Aims to Connect COVID-19 Long Haulers », baynews9.com, (consulté le ).
- ↑ (en-US) Witvliet, « Here's how it feels when COVID-19 symptoms last for months », PBS NewsHour, (consulté le ).
- ↑ Coralie Lemke, « Formes longues de Covid-19 : "On nous dit que c'est dans la tête" », sur sciencesetavenir.fr, (consulté le ).
- ↑ Christophe Turgis, « Coronavirus : une Nantaise, malade au long cours du covid, interpelle médecins et autorités de santé », sur France 3 - Pays de la Loire, (consulté le ).
- ↑ Lorélie Carrive, Faustine Calmel, « #apresJ20 #apresJ60 : sur les réseaux sociaux, des malades font état de formes longues du Covid », sur franceinter.fr, (consulté le ).
- ↑ Adeline Divoux, « "Je me traîne depuis des mois" : les malades du Covid long se battent pour faire reconnaître leur pathologie », sur francebleu.fr, (consulté le ).
- ↑ Radio-Canada, « Atteinte par les effets de la COVID à long terme, elle se fait refuser des indemnisations », sur ici.radio-canada.ca, (consulté le ).
- ↑ « ComPaRe Covid long », sur ComPaRe - Communauté de Patients pour la Recherche, (consulté le )
- ↑ « Financeurs », sur ComPaRe - Communauté de Patients pour la Recherche (consulté le )
- ↑ https://www.aphp.fr/actualite/compare-covid-long-trajectoires-devolution-des-symptomes-du-covid-long
- ↑ Clemence Servier, Raphael Porcher, Isabelle Pane et Philippe Ravaud, « Trajectories of the evolution of post-COVID-19 condition, up to two years after symptoms onset », International Journal of Infectious Diseases, vol. 133, , p. 67–74 (ISSN 1201-9712, DOI 10.1016/j.ijid.2023.05.007, lire en ligne, consulté le )
- ↑ Matteo Tosato, Riccardo Calvani, Anna Picca et Francesca Ciciarello, « Effects of l-Arginine Plus Vitamin C Supplementation on Physical Performance, Endothelial Function, and Persistent Fatigue in Adults with Long COVID: A Single-Blind Randomized Controlled Trial », Nutrients, vol. 14, no 23, , p. 4984 (ISSN 2072-6643, PMID 36501014, PMCID 9738241, DOI 10.3390/nu14234984, lire en ligne, consulté le ).
- ↑ « Metformine et prévention du Covid long : une piste intéressante qui arrive trop tard ? », sur VIDAL (consulté le ).
- ↑ (en) Marco Leitzke, « Is the post-COVID-19 syndrome a severe impairment of acetylcholine-orchestrated neuromodulation that responds to nicotine administration? », Bioelectronic Medicine, (DOI 10.1186/s42234-023-00104-7).
- ↑ (en) Carlo Cervia-Hasler, Sarah C. Brüningk, Tobias Hoch et Bowen Fan, « Persistent complement dysregulation with signs of thromboinflammation in active Long Covid », Science, vol. 383, no 6680, (ISSN 0036-8075 et 1095-9203, DOI 10.1126/science.adg7942, lire en ligne, consulté le ).
- ↑ Amir Hadanny, Shani Zilberman-Itskovich, Merav Catalogna et Karin Elman-Shina, « Long term outcomes of hyperbaric oxygen therapy in post covid condition: longitudinal follow-up of a randomized controlled trial », Scientific Reports, vol. 14, no 1, , p. 3604 (ISSN 2045-2322, PMID 38360929, PMCID PMC10869702, DOI 10.1038/s41598-024-53091-3, lire en ligne, consulté le )
- ↑ Martha Rodríguez-Morán, Fernando Guerrero-Romero, Jazel Barragán-Zuñiga et Claudia I. Gamboa-Gómez, « Combined oral supplementation with magnesium plus vitamin D alleviates mild to moderate depressive symptoms related to long-COVID: an open-label randomized, controlled clinical trial », Magnesium Research, vol. 37, no 3, 2024 décembre 01, p. 49–57 (ISSN 1952-4021, PMID 39846976, DOI 10.1684/mrh.2024.0535, lire en ligne, consulté le )
Voir aussi
Filmographie
- Long Covid, un film diffusé par le gouvernement britannique
Liens externes
- « Living with COVID-19 review », UK National Institute for Health Research (octobre 2020)
- « Long Term Health Effects: Emerging evidence and Ongoing Investigation » (sommaire), université de Washington, septembre 2020
- Post-hospitalisation « COVID-19 study (PHOSP-COVID) », université de Leicester
- « LongCovidSOS », une campagne publique de sensibilisation au Royaume-Uni
- « The Long COVID Support Group », un groupe de support créé au Royaume-Uni
- « ApresJ20 - Association Covid Long France », un groupe de support créé en France
- Portail de la maladie à coronavirus 2019