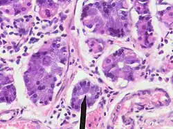
Cellule principale
Les cellules principales de l'estomac sont impliquées dans la sécrétion de pepsinogène[1],[2].
Il s'agit du précurseur de la pepsine, une enzyme protéolytique permettant la biodégradation et la digestion des peptides.
Leur cytoplasme est fortement basophile[3].
Voir aussi
Bibliographie
- Patricia C. Cross, K. Lynne Mercer, Ultrastructure cellulaire et tissulaire : approche fonctionnelle, De Boeck Supérieur, 1995 (ISBN 2804120597)
Références
- ↑ « ESTOMAC », sur universalis.fr (consulté le ).
- ↑ « Ulcère gastro-duodenal : Les fonctions de l estomac », sur hepatoweb.com (consulté le ).
- ↑ « Faculté de Médecine, de Pharmacie et de Médecine Dentaire de Fès », sur fmp-usmba.ac.ma (consulté le ).
- Portail de la biochimie
- Portail de la physiologie