Cellule de Sertoli


| MeSH |
A05.360.444.849.789 |
|---|---|
| Nom MeSH |
Sertoli+Cells |
| FMA |
72298 |
Les cellules de Sertoli sont de grandes cellules somatiques de soutien qui constituent, avec les cellules germinales et les gamètes, un épithélium unistratifié qui tapisse la paroi des tubes séminifères du testicule chez les mammifères et les oiseaux. Lors de la différenciation des gonades, les cellules de Sertoli produisent l'hormone anti-müllerienne (AMH) qui permet la régression des canaux de Müller lors du développement embryologique.
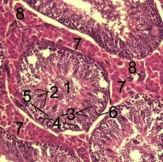
Chez l'homme, les cellules de Sertoli contrôlent l'évolution de la spermatogenèse en enserrant les cellules germinales souches ainsi que les cellules germinales en voie de maturation depuis la périphérie, qui est en contact avec une lame basale, jusqu'à la lumière. Elles jouent également un rôle nourricier et protecteur pour le spermatozoïde en maturation[1]. Elles mesurent environ 70 micromètres de longueur et 20 micromètres de largeur et arrêtent de se diviser à la puberté, sans possibilité de renouvellement.
Historique et nomenclature
Les cellules de Sertoli doivent leur nom à Enrico Sertoli (1842–1910), un physiologiste et histologiste italien, qui les a découvertes en 1865 en étudiant la médecine à l'université de Pavie, en Italie. Il a pu les observer à l'aide d'un microscope optique Belthle qu'il s'est procuré en 1862 pour ses études[Note 1].
L'origine des cellules somatiques qui constituent le « blastème gonadique somatique », dont les cellules de Sertoli, reste très discutée. Mais l'hypothèse la plus courante laisse entendre que ces cellules proviendraient du mésonéphros, du mésenchyme local et l'épithélium cœlomique, tous ces éléments dérivant de différents territoires du mésoderme[2].
La cellule de Sertoli humaine
Structure
Les cellules de Sertoli sont des cellules pyramidales qui se trouvent en périphérie des tubes séminifères des testicules et dont la fonction essentielle est la nutrition des futurs spermatozoïdes appelés spermatides. Reliées aux cellules germinales et entre elles par des gap junctions (nexus ou jonctions communicantes) en profondeur, elles exercent un rôle de soutien en enveloppant les cellules germinales et le couplage des activités métaboliques entre les cellules. Des jonctions serrées (ou zonula occludens) présentes en périphérie des cellules de Sertoli permettent la mise en place d'une barrière hémato-testiculaire, qui isole le compartiment germinal – et donc la spermatogenèse – de la circulation systémique sanguine et de la circulation lymphatique. Cette barrière confère une protection des cellules germinales vis-à-vis du système immunitaire, qui ne tolère pas les antigènes spermatiques et qui peut alors sécréter des anticorps antispermatiques[1]. On note toutefois que malgré la forte étanchéité de cette barrière hémato-testiculaire, les spermatogonies peuvent la traverser.
Possédant une importante fonction de synthèse protéique, cette activité sécrétrice est due à la présence de nombreux organites. En effet, la cellule de Sertoli comprend un noyau triangulaire unique, volumineux et riche en euchromatine et en nucléoles, et refoulé contre la paroi du tube séminifère. Dans son cytoplasme, il y a également présence d'un réticulum endoplasmique rugueux abondant, d'un appareil de Golgi développé ainsi que des lysosomes.
Fonctions
Outre les fonctions de protection des cellules germinales et de maintien de leur survie, les cellules de Sertoli possèdent des fonctions sécrétoires, endocrines, un rôle dans la cytodifférenciation terminale des spermatozoïdes et un rôle d'épuration d'éléments indésirables issus du fonctionnement normal des tubes séminifères.
Chez le fœtus
Le développement et les divisions par mitose des cellules de Sertoli commence dès le stade fœtal et se poursuit après la naissance (leur nombre augmente surtout pendant la première semaine de vie) jusqu'à la puberté. Les homologues des cellules de Sertoli chez la femme sont les cellules folliculaires ou cellules de la granulosa). Chez le fœtus, le fonctionnement des cellules de Sertoli est indépendant de l'axe hypothalamo-hypophysaire et elles jouent un rôle important dans le processus de déterminisme sexuel en sécrétant l'hormone antimüllérienne AMH (Anti-müllerian hormone), qui, dans le cadre d'une masculinisation, provoque la régression des canaux de Müller.
Chez l'adulte
Lors de la spermiogenèse, qui constitue l'étape finale de la spermatogenèse, les cellules de Sertoli ont un rôle de phagocytose des corps résiduels formés de cytoplasme et rejetés par les spermatozoïdes en formation. Elles peuvent également phagocyter les cellules germinales entrant en apoptose. Ce sont des cellules riches en lysosomes, organites riches en protéases actives à pH acide qui sont impliquées dans la digestion intracellulaire. Elles assurent la dégradation des molécules qu'elles réutilisent pour leur propre synthèse. Chez l'adulte, les fonctions des cellules de Sertoli sont contrôlées (rétrocontrôle positif) par l'hormone hypophysaire FSH (folliculo-stimulating hormone) et la testostérone, produite par les cellules de Leydig, qui aide à la spermatogenèse.
Les cellules de Sertoli synthétisent environ 200 protéines différentes associées à la fonction de la reproduction dont l'inhibine, une hormone peptidique de nature glycoprotéique qui exerce un rétrocontrôle négatif de la production de FSH par l'hypophyse, l'androgen-binding protein (ABP, impliquée dans transport des androgènes), le Stem Cell Factor (SCF, facteur de migration des gonocytes) et l'hormone antimullérienne (AMH). Les cellules de Sertoli synthétisent aussi des facteurs de croissance.
Pathologie
Si elles se mettent à proliférer anarchiquement, les cellules de Sertoli et les cellules de Leydig peuvent être à l'origine de formes très rares de cancer du testicule, les tumeurs à cellules de Sertoli, à ne pas confondre avec la forme la plus fréquente (les tumeurs germinales).
Il existe un syndrome qui ne touche pas directement les cellules de Sertoli et qui se caractérise par la quasi-absence de spermatozoïdes au sein des tubules séminifères, responsable de stérilité masculine. Cette maladie se dénomme Sertoli cell-only syndrome et fait partie des azoospermies de type sécrétoire.
Notes et références
Notes
- ↑ (en) Sertoli Cell Biology, page 4, « The Brethle microscope that Sertoli personally purchased in 1862 and the same microscope that he used to make the famous discovery of the cell that now carries his name. »
Références
- 1 2 « Les cellules de soutien de Sertoli: fonction, mode d'action et sécrétion hormonale », sur www.embryology.ch (consulté le )
- ↑ « Les gonades: stade indifférencié », sur www.embryology.ch (consulté le )
Voir aussi
Bibliographie
- (en) Michael Skinner et Michael Griswold, Sertoli Cell Biology, Amsterdam/Boston, Hardbound, , 512 p. (ISBN 978-0-12-647751-1)
Articles connexes
Liens externes
- Portail de la médecine
- Portail de la biologie cellulaire et moléculaire