Cellule de Leydig
Les cellules de Leydig, aussi nommées cellules interstitielles, contrôlent le développement et le maintien des caractères sexuels primaires et secondaires, et jouent un rôle dans le fonctionnement de l'appareil reproducteur masculin et le comportement sexuel.

Étymologie

Les cellules de Leydig doivent leur nom à leur éponyme, Franz von Leydig, qui les a découvertes en 1850.
Localisation et fonctions
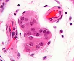
Les cellules de Leydig sont situées dans les testicules, entourées d'un tissu conjonctif lâche et de capillaires sanguins.
Elles produisent et sécrètent environ 85,87 % de la testostérone chez l'homme (les 15 % restant viennent des glandes surrénales, ce qui explique que les femmes aient aussi une faible quantité de testostérone). La testostérone peut se diffuser vers les tubes séminifères. Elles sécrètent aussi de l'androstènedione. La testostérone produite par ces cellules permet, au stade fœtal, le développement des canaux de Wolff.
Pathologie et perturbation de la fonction leydigienne
- Des anomalies de constitution ou de fonctionnement de ces cellules peuvent intervenir dans le syndrome de dysgénésie testiculaire.
- Une tumeur à cellules de Leydig (ou hyperplasie à cellules de Leydig, HCL) peut se produire chez l'enfant, en se traduisant par une fréquente élévation de la LH, une puberté précoce et plus rarement par une gynécomastie. Un diagnostic échographique est possible.
- Les cellules de Leydig humaines, contrairement à celles de la plupart des mammifères, accumulent en leur sein, au cours du vieillissement, des structures évoquant un cristal très allongées : les cristalloïdes de Reinke. La fonction de ces organites est inconnue, mais une accumulation anormale de ceux-ci pourrait être un indice associé à certaines maladies, comme une tumeur des cellules de Leydig.
- certains perturbateurs endocriniens courants (dont certains, de type phtalates sont retrouvés dans le lait maternel allaitant des bébés atteints de malformation génitales) affectent la fonction leydigienne[1].
Bibliographie
- (en) Payne Anita H., Hardy Matthew P., The Leydig Cell in Health and Disease, Science & Business Media, 2007, 476 p.
Notes et références
Voir aussi
Articles connexes
Lien externe
- Portail de la médecine
- Portail de l’anatomie
- Portail de la biologie cellulaire et moléculaire