Xanthome
| Causes | Cellule spumeuse ou hyperlipémie |
|---|
| Spécialité | Gastro-entérologie et dermatologie |
|---|
| CISP-2 | T93 |
|---|---|
| CIM-10 | E78.2 et K13.4 |
| CIM-9 | 272.2 |
| DiseasesDB | 28524 |
| MedlinePlus | 001447 |
| eMedicine | 1103971 |
Mise en garde médicale



Un xanthome (du grec xanthos, jaune) est une tumeur bénigne cutanée plane ou nodulaire, externe ou sous-cutanée, de couleur jaune, jaunâtre ou jaune-orangé, formée par un infiltrat dermique de cellules chargées de graisses (cholestérol, etc.). Ce sont des amas de tissu conjonctif (tissu de soutien) et d'histiocytes (type de globule blanc proche des macrophages, et ayant la capacité de digérer des particules étrangères). Les xanthomes ne mesurent souvent que quelques millimètres et parfois un centimètre ou plus (sur les fesses, les coudes, les genoux…). Exceptionnellement ils se présentent comme des excroissances épaisses d'un centimètre voire plus.
Ils ont pour cause une anomalie lipidique, d'origine génétique ou secondaire, consécutive à une dyslipémie ou une hypercholestérolémie sévère que le médecin recherchera.
Clinique (Macroscopie)
- Formes :
- Localisation :
- Les xanthomes se retrouvent au niveau des tendons des extenseurs de la main, du tendon d'Achille, des plis palmaires, des crêtes tibiales et ulnaires, ainsi qu'au niveau des fesses.
- Équivalent au niveau de l'œil (symétrie droite-gauche fréquente) :
- xanthélasma : xanthome en partie nasale des paupières.
- arc cornéen.
- Xanthomes non cutanés :
- Le xanthome médiastinal est une tumeur bénigne du médiastin.
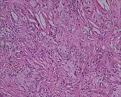
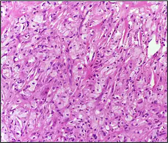
Histologie (Microscopie)
- Infiltrat dermique d'histiocytes géants parfois polynucléés (cellules de Touton) dont le cytoplasme spumeux est chargé de lipides : cholestérol essentiellement
Aspects cliniques
Suivant l'aspect clinique des xanthomes et leur localisation, il est possible d'orienter les recherches de pathologies causales ou associées :
- xanthélasma des paupières : normolipémiques,
- xanthomes plans : myélome,
- xanthomes striés : cirrhose biliaire,
- xanthomes tubéreux : hyperbêtalipoprotéinémie,
- xanthome éruptif : hyperchylomicronémie, hypertriglycéridémie,
- xanthogranulome juvénile.
Voir aussi
Liens externes
- Page NSFA (dyslipoprotéinémies primaires athérogènes : aspects génétiques, biologiques et cliniques)
- Portail de la médecine