Typhus des broussailles

Typhus des broussailles
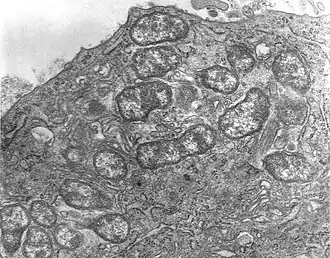
Description de cette image, également commentée ci-après
Micrographie électronique à transmission (TEM) montrant une cellule mésothéliale péritonéale d'une souris infectée expérimentalement par voie intrapéritonéale par Orientia tsutsugamushi. On voit plusieurs spécimens circulant librement dans le cytoplasme de la cellule mésothéliale.
Causes Orientia tsutsugamushi
Transmission Transmission par les tiques (d)
Incubation min 6 j
Incubation max 20 j
Symptômes Foyer d'infection primaire (d), céphalée, frissonnement (en), fièvre, adénopathie, conjonctivite, insomnie, arthralgie, mal de gorge (en), exanthème, macule, Papule, bradycardie, tachycardie, hypotension artérielle et toux
Traitement
Médicament Doxycycline, rifampicine et chloramphénicol
Spécialité Infectiologie
Classification et ressources externes
DiseasesDB 31715
eMedicine 971797
MeSH D012612

Wikipédia ne donne pas de conseils médicaux Mise en garde médicale

Le typhus des broussailles (également appelé fièvre fluviale du Japon, typhus tropical ou tsutsugamushi) est une rickettsiose provoqué par la bactérie Orientia tsutsugamushi. Ce typhus est transmis par des acariens du genre Leptotrombidium présents notamment dans les zones à végétation broussailleuse dense en Asie du Sud-Est. La maladie est caractérisée par une fièvre élevée associée à des douleurs musculaires et des ganglions augmentés de volume. La confirmation diagnostique peut être faite par sérologie. La létalité est variable, et le traitement repose sur un antibiotique de la classe des tétracyclines.

Épidémiologie

Maladie endémique dans l'Est du continent asiatique et dans l'Ouest du Pacifique, la fièvre fluviale du Japon est notamment présente en Chine, Russie asiatique, Thaïlande, Laos, Cambodge, Malaisie, Japon et Australie.

Il y aurait près d'un million de nouveaux cas chaque année dans le monde[1]. Orientia tsutsugamushi est la cause la plus fréquente d'encéphalite aiguë en Inde en 2022[2]. Son incidence augmente en Chine, mais cela peut être la simple conséquence d'une meilleure détection.

La maladie se déclare essentiellement entre juillet et novembre[3].

Il existe plusieurs sérotypes, les plus fréquents étant le « Karp » et le « Gillian », représentant 60 % des cas[4].

Cause

La maladie est due à une bactérie, Orientia tsutsugamushi (anciennement nommée Rickettsia tsutsugamushi ou Rickettsia orientalis), qui appartient à l'ordre des rickettsiales. L'homme est un hôte accidentel de ces bactéries, le réservoir de l'infection est animal (rongeurs, lapin, porc).

La transmission se fait par piqûre de larves de trombiculidés (Leptotrombidium deliense). Ces acariens proches des aoûtats vivent habituellement dans des zones broussailleuses.

Symptômes

Les symptômes présentés sont une fièvre élevée à 40 °C associée à des troubles cardiaques (myocardite), des signes pulmonaires (toux), des maux de tête, des douleurs musculaires, et des troubles gastro-intestinaux. Certaines souches plus virulentes d’ O. tsutsugamushi peuvent provoquer des hémorragies et une coagulation intravasculaire disséminée (CIVD).

Une pneumonie grave se développe chez environ un cinquième des patients[1].

Les lésions cutanées sont fréquentes, à type de nécrose limitée (taille d'une brûlure de cigarettes), essentiellement sur la face antérieure du corps (ventre, thorax, membres)[5].

Les formes de la personne âgée ou sans atteinte cutanée, avec une hyperleucocytose et une albuminémie basse, sont les plus graves[6], ainsi que celles avec lymphopénie, hypothermie ou perturbation du bilan hépatique[7].

Diagnostic

Il peut être sérologique (test de Weil-Felix), avec cependant une sensibilité faible[8]. La PCR permet de détecter certains gènes du germe et est une méthode fiable[9].

Traitement

L'antibiotique de référence est une tétracycline.

Divers

Une première tentative pour produire un vaccin contre le typhus des broussailles a eu lieu au Royaume-Uni en 1937 (avec la fondation Wellcome qui avait prévu l'infection de 300 000 rats dans un projet classifié appelé « opération Tyburn »]), mais le vaccin n'a pas été utilisé.

Notes et références

  1. 1 2 Watt G, Parola P, Scrub typhus and tropical rickettsioses, Curr Opin Infect Dis, 2003;16:429-36
  2. (en) Bhagteshwar Singh, Gareth D. Lipunga, Premkumar Thangavelu et Shalley Dhar, « A multifaceted intervention to improve diagnosis and early management of hospitalised patients with suspected acute brain infections in Brazil, India, and Malawi: an international multicentre intervention study », The Lancet, vol. 405, no 10483, , p. 991–1003 (ISSN 0140-6736 et 1474-547X, PMID 40081400, DOI 10.1016/S0140-6736(25)00263-6, lire en ligne, consulté le )
  3. Zhang WY, Wang LY, Ding F et al. Scrub typhus in mainland China, 2006-2012: the need for targeted public health interventions, PLoS Negl Trop Dis, 2013;7:e2493
  4. Kelly DJ, Fuerst PA, Ching WM et al. Scrub typhus: the geographic distribution of phenotypic and genotypic variants of Orientia tsutsugamushi, Clin Infect Dis, 2009;48(suppl 3):S203-30
  5. Kim DM, Won KJ, Park CY et al. Distribution of eschars on the body of scrub typhus patients: a prospective study, Am J Trop Med Hyg, 2007;76:806-9
  6. Kim DM, Kim SW, Choi SH et al. Clinical and laboratory findings associated with severe scrub typhus, BMC Infect Dis, 2010;10:108
  7. Sriwongpan P, Krittigamas P, Kantipong P et al. Clinical indicators for severe prognosis of scrub typhus, Risk Manag Healthc Policy, 2013;6:43-9
  8. Amano K, Suzuki N, Hatakeyama H et al. The reactivity between rickettsiae and Weil-Felix test antigens against sera of rickettsial disease patients, Acta Virol, 1992;36:67-72
  9. Paris DH, Aukkanit N, Jenjaroen K et al. A highly sensitive quantitative real-time PCR assay based on the groEL gene of contemporary Thai strains of Orientia tsutsugamushi, Clin Microbiol Infect, 2009;15:488-95
  • icône décorative Portail de la médecine
  • icône décorative Portail des maladies infectieuses