Tumeur stromale gastro-intestinale

Tumeur stromale gastro-intestinale
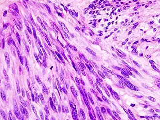
Description de cette image, également commentée ci-après
Coupe histologique d'une tumeur stromale de l'estomac (coloration à l'hématoxyline et à l'éosine)
Traitement
Médicament Nilotinib, pazopanib, ponatinib, sunitinib, imatinib, régorafénib et sunitinib
Spécialité Oncologie
Classification et ressources externes
CIM-10 D37
CIM-9 215.5, 238.1 et 171.5
ICD-O M8936/0 - M8936/3
OMIM 606764
DiseasesDB 33849
MeSH D046152

Wikipédia ne donne pas de conseils médicaux Mise en garde médicale

Les tumeurs stromales digestives ou GIST (Gastro Intestinal Stromal Tumor) sont des tumeurs malignes du tube digestif. Historiquement, les GIST étaient des sarcomes de mauvais pronostic caractérisés par une grande résistance aux chimiothérapies. Le traitement des GIST a été révolutionné par l'utilisation du Glivec (Imatinib), un inhibiteur de tyrosine kinase qui bloque la prolifération des cellules du GIST et ce de façon très spécifique.

Physiopathologie

Les GIST sont des tumeurs stromales donc issues des tissus mésenchymateux. Elles dérivent des cellules de Cajal. Les cellules des GIST sont caractérisées par la mutation très fréquente de l'oncogène c-kit (codant le récepteur membranaire CD117). Plus rarement, il s'agit d'une mutation du gène pour le récepteur PDGFRA. Dans les deux cas, la mutation entraîne une activation excessive des récepteurs membranaires CD117 ou PDGFRA responsables de la transformation maligne.

Traitement des GIST localisés opérables

Le traitement de référence des GIST localisés opérables est la chirurgie. La chirurgie doit être complète avec une marge de sécurité suffisante. La tumeur ne doit pas être rompue pendant le geste chirurgical. En cas d'exérèse incomplète ou de rupture de la tumeur, le risque de dissémination tumorale dans le péritoine est important.

Il n'y a pas d'indication aujourd'hui à un traitement complémentaire par inhibiteur de tyrosine kinase après une chirurgie. Néanmoins, plusieurs études semblent montrer qu'un traitement adjuvant par l'imatinib réduit ou retarde les rechutes, en particulier pour des tumeurs de mauvais pronostic.

Traitement des GIST inopérables ou métastatiques

Pour des tumeurs volumineuses, et souvent pour des tailles supérieures à 10 cm, la chirurgie première n'est pas indiquée, car elle risque d'être incomplète ou accompagnée d'une rupture de la capsule tumorale. Le traitement repose alors sur une chimiothérapie par Glivec. La chirurgie peut alors être proposée dans un second temps, lorsque le traitement a permis une régression suffisante de la tumeur.

Le traitement des GIST inopérables ou métastatiques repose aujourd'hui sur le Glivec en première ligne et le Sutent en deuxième ligne (AMM en 2006).

En première intention, le Glivec est donné à la dose de 400 mg/j. Dans 10 % des cas, le GIST va progresser sous Glivec dans les 6 premiers mois : il s'agit d'une résistance primaire. En cas de progression sous Glivec 400 mg, il est le plus souvent proposé de doubler les doses (800 mg/j). Le statut mutationnel de la protéine KIT est aussi à prendre en compte pour définir la meilleure dose de Glivec. En effet, si 400 mg/j est la dose classique pour un GIST avec mutation de l'exon 11 (70 % des GISTs), les récentes études montrent qu'il y a un bénéfice à démarrer à 800 mg/j en cas de mutation de l'exon 9.

Liens externes

  • icône décorative Portail de la médecine