Tumeur intracanalaire papillaire et mucineuse du pancréas

Tumeur intracanalaire papillaire et mucineuse du pancréas
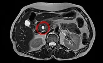
Description de cette image, également commentée ci-après
TIPMP visualisée en IRM
Classification et ressources externes
CIM-10 D13.6

Wikipédia ne donne pas de conseils médicaux Mise en garde médicale

La tumeur intracanalaire papillaire et mucineuse du pancréas (TIPMP) est une variété de tumeur kystique du pancréas exocrine caractérisée par une dilatation du canal pancréatique principal ou des canaux secondaires.

Anatomopathologie

La TIPMP se développe à partir de l’épithélium du système canalaire pancréatique et sécrète un mucus épais[1],[2],[3]. Cette sécrétion de mucus est à l’origine d’une dilatation canalaire « kystique » intéressant soit le canal pancréatique principal soit les canaux secondaires[3],[2],[1].

Il existe un continuum évolutif allant de la lésion bénigne vers le carcinome in situ puis le carcinome invasif[3]. Le taux de malignité dépend de la localisation au niveau du canal pancréatique principal ou des canaux secondaires. On considère ainsi que 60 à 90 % des TIPMP du canal pancréatique principal sont malignes[1],[4], contre seulement 5 % des tumeurs localisées aux canaux secondaires[4].

Quatre types histopathologiques ont été décrits, basés sur les caractéristiques cellulaires et immunophénotypiques : intestinal, gastrique, bilio-pancréatique et oncocytique[1]. Cette classification présente un interêt pronostique[1]. La différenciation gastrique évolue très rarement en carcinome contrairement à la différenciation bilio-pancréatique[1].

Clinique

La découverte d’une TIPMP peut être fortuite à l’occasion d’un examen d’imagerie[3]. Lorsqu’elle est cliniquement parlante, la TIPMP peut se révéler par des douleurs abdominales, en particulier à l’occasion d’un épisode de pancréatite aiguë[3].

Imagerie

Échographie

L'échographie explore difficilement le pancréas compte tenu de sa position profonde dans l'abdomen. Elle peut toutefois mettre en évidence une dilatation canalaire (> 6 mm) dans le cas d'une TIPMP du canal pancréatique principal[3]. Le contenu canalaire est parfois non strictement anéchogène[3]. Une TIPMP des canaux secondaires se manifeste par une lésion kystique volontiers lobulée[3].

L'écho-endoscopie est une méthode nettement plus performante que l'échographie conventionnelle[3],[2]. Elle permet de plus de guider une éventuelle aspiration du contenu de la lésion[2].

Références

  1. 1 2 3 4 5 6 Norman Oneil Machado, Hani al Qadhi et Khalifa al Wahibi, « Intraductal Papillary Mucinous Neoplasm of Pancreas », North American Journal of Medical Sciences, vol. 7, no 5, , p. 160–175 (ISSN 2250-1541, PMID 26110127, PMCID PMC4462811, DOI 10.4103/1947-2714.157477, lire en ligne, consulté le )
  2. 1 2 3 4 Michael P. Federle, Diagnostic Imaging : Abdomen, Amirsys, (ISBN 978-1-4160-2541-2, lire en ligne)
  3. 1 2 3 4 5 6 7 8 9 Valérie Vilgrain et Denis Régent, Imagerie de l'abdomen, Paris, Médecine sciences publications-[Lavoisier], , 1056 p. (ISBN 978-2-257-20417-2, lire en ligne)
  4. 1 2 (en) « IPMN », sur Radiopaedia (consulté le )
  • icône décorative Portail de la médecine