Syndrome de Pancoast-Tobias
| CIM-10 | C34.1 |
|---|---|
| CIM-9 | 162.3 |
| DiseasesDB | 31266 |
| eMedicine | med/3418 |
| MeSH | D010178 |
Mise en garde médicale
Le syndrome de Pancoast-Tobias ou syndrome apico-costo-vertébral douloureux constitue l'une des manifestations possibles d'un cancer de la partie supérieure du thorax ou de la partie inférieure du cou, plus précisément et le plus souvent d'un cancer des apex (ou sommets) des poumons[1]. Ces derniers sont situés au voisinage de nombreuses structures — vaisseaux, nerfs… — et la croissance d'une tumeur peut, à un stade avancé, entraîner la compression ou la destruction de ces structures voisines.
Historique
Ce syndrome a été d'abord décrit par Edwin Hare[2], puis en 1924 par Henry Pancoast[3],[4].
Diagnostic
Clinique
L'ensemble des signes cliniques, symptômes secondaires à ces compressions et destructions est regroupé sous le terme de syndrome de Pancoast-Tobias. Il comprend ainsi :
- une destruction douloureuse de l'arc postérieur de la première (ou des deux premières) côte(s) ;
- une douleur irradiant jusque dans le bras, l'avant-bras et la main[1], liée à la compression de racines nerveuses (issues des métamères (ou « étages ») C8 et T1 de la moelle épinière) ;
- une lyse des 2e, 3e et 4e arcs costaux ;
- un syndrome de Claude Bernard-Horner[1] comprenant une chute de la paupière supérieure (ou ptosis), une constriction de la pupille (ou myosis), et un enfoncement de l'œil situé du même côté que la lésion pulmonaire (énophtalmie), voire joue chaude et diminution de la sudation locale, liés à des compressions nerveuses du système nerveux sympathique ;
- une tachycardie (accélération du rythme cardiaque), des troubles de la sudation (anhydrose) et de la pigmentation cutanée[1].
Examens complémentaires
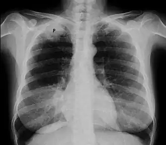
- Radiographie thoracique montrant une opacité de l'apex[1]
- Scanner thoracique
- Calcémie à la recherche d'une hypercalcémie
Traitement
Son traitement est avant tout celui de la tumeur qui permettra de lever les compressions. Il semble toutefois important de préciser qu'il est souvent synonyme de stade avancé, et que son pronostic est, à ce titre, réservé. Une prise en charge symptomatique est indispensable (traitement de la douleur).
Notes et références
- 1 2 3 4 5 Marcel Garnier et Valery Delamare, Dictionnaire illustré des termes de médecine, Paris, Maloine, , 28e éd., 1046 p. (ISBN 2-224-02784-2), p. 645
- ↑ (en) Edwin S. Hare « Tumor involving certain nerves » Letter to London Med Gaz. 1838;1:16-8.
- ↑ (en) Henry K. Pancoast « Importance of careful roentgen ray investigations of apical chest tumours » JAMA 1924;83, 1407-11.
- ↑ (en) Henry K. Pancoast « Superior pulmonary sulcus tumor: Tumor characterized by pain, Horner's syndrome, destruction of bone and atrophy of hand muscles » JAMA 1932;99:1391-6.
- Portail de la médecine
