Syndrome de Joubert
| Spécialité | Génétique médicale |
|---|
| CIM-10 | Q04.3 |
|---|---|
| CIM-9 | 742.2 |
| OMIM | 213300 |
| DiseasesDB | 30688 |
Mise en garde médicale
Le syndrome de Joubert est un syndrome commençant en période néonatale associant :
- un retard de développement ;
- des anomalies de la respiration ;
- des accélérations du rythme de la respiration alternant avec des pauses respiratoires et des mouvements anormaux des yeux ;
- une agénésie du vermis cérébelleux est souvent retrouvée ;
- une hypotonie et une ataxie cérébelleuse apparaissent à l’âge de la marche ;
- le retard mental est absent ou d’intensité variable.
Autres noms de la maladie
- Syndrome de Joubert-Boltshauser
- Agénésie du vermis cérébelleux
- Syndrome cérébello-oculo-rénal
Causes
La maladie fait partie des ciliopathies (maladie des cils cellulaires)[1].
Pas moins de 15 gènes jouant un rôle dans l'expression du syndrome ont été identifiés. Cela concerne principalement les gènes AHI1 (en) (chromosome 6 humain), NPHP1 (en) codant la protéine néphrocystine, CEP290 et C5ORF42 (en) retrouvé chez la population du Bas-Saint-Laurent au Québec[2].
Prévalence
La prévalence est de 1 sur 100 000 naissances ; elle est probablement sous-estimée.
Description
Manifestations neurologiques
Un retard de développement[3], des anomalies de la respiration, des accélérations du rythme de la respiration alternant avec des pauses respiratoires et des mouvements anormaux des yeux.
Des mouvements rythmiques importants de la langue aboutissent à une hypertrophie de celle-ci.
Les épisodes apnéiques s’améliorent souvent avec le temps mais sont responsables de décès de l’enfant.
L’intelligence est variable. L’autisme est parfois retrouvé.
L'agénésie du vermis cérébelleux fait partie de la description de ce syndrome.
La malformation de Dandy-Walker est décelée dans 10 % des cas.
Manifestations oculaires
Nystagmus vertical et horizontal
Paralysie de la paupière
Une rétinite pigmentaire, des pertes de la vision avec des caractéristiques électro rétinographique ressemblant à l’amaurose congénitale de Leber
Manifestations diverses
Des kystes rénaux peuvent apparaître au cours de l’enfance
Il peut exister une polydactylie, un faciès caractéristique, une atteinte du foie[4].
Diagnostic

- Le diagnostic se fait sur la présence de :
- hypotonie avec secondairement ataxie ;
- retard de développement avec retard mental ;
- respiration anormale et/ou mouvement oculaire anormaux.
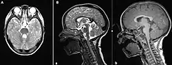
- Avec en imagerie à résonance magnétique du cerveau, le signe caractéristique d’« aspect en molaire » des pédoncules cérébelleux ou molar tooth sign Molar tooth sign en I.R.M.. Cet aspect est consécutif d'une absence du vermis cérébelleux et des déformations du tronc cérébral[5].
Diagnostic différentiel
La discussion se fait autour des différentes pathologies pouvant donner :
- Un molar tooth sign en imagerie à résonance magnétique :
- Syndrome de Dekaban-Arima
- Syndrome COACH (en)
- Syndrome Varadi-Papp
- Syndrome de Senior-Løken (en)
- Des hypoplasies ou des agénésies du vermis cérébelleux :
- Malformation de Dandy-Walker
- CDG Syndrome
- Syndrome 3C
- Syndrome de Meckel-Gruber
- Syndrome oro-facio-digital
- Hypoplasie olivopontocerebelleuse
Mode de transmission
Notes et références
- ↑ Hildebrandt F, Benzing T, Katsanis N, Ciliopathies, N Engl J Med, 2011;364:1533–1543
- ↑ (en) Myriam Srour, Jeremy Schwartzentruber, Fadi F Hamdan, Luis H Ospina, Lysanne Patry, Damian Labuda, Christine Massicotte, Sylvia Dobrzeniecka, José-Mario Capo-Chichi, Simon Papillon-Cavanagh, Mark E Samuels, Kym M Boycott, Michael I Shevell, Rachel Laframboise, Valérie Désilets, Bruno Maranda, Guy A Rouleau, Jacek Majewski, Jacques L Michaud, « Mutations in C5ORF42 Cause Joubert Syndrome in the French Canadian Population », American Journal of Human Genetics, vol. 90, no 4, , p. 693-700 (ISSN 1537-6605, PMID 22425360, DOI 10.1016/j.ajhg.2012.02.011).
- ↑ Sattar S, Gleeson JG, The ciliopathies in neuronal development: a clinical approach to investigation of Joubert syndrome and Joubert syndrome-related disorders, Dev Med Child Neurol, 2011;53:793–798
- ↑ Bachmann-Gagescu R, Dempsey JC, Bulgheroni S et al. Healthcare recommendations for Joubert syndrome, Am J Med Genet A, 2020;182:229–249
- ↑ Maria BL, Hoang KB, Tusa RJ et al. “Joubert syndrome” revisited: key ocular motor signs with magnetic resonance imaging correlation, J Child Neurol, 1997;12:423–430
Sources
- association "Mieux vivre avec le syndrome de Joubert"
- (en) Online Mendelian Inheritance in Man, OMIM (TM). Johns Hopkins University, Baltimore, MD. MIM Number:213000
- (en) Online Mendelian Inheritance in Man, OMIM (TM). Johns Hopkins University, Baltimore, MD. MIM Number:608091
- (en) GeneTests: Medical Genetics Information Resource (database online). Copyright, University of Washington, Seattle. 1993-2005
- Portail du handicap
- Portail de la médecine
- Portail de l’œil et de la vue