Syndrome de Fahr

Syndrome de Fahr
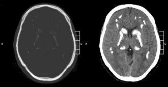
Description de cette image, également commentée ci-après
Syndrome de Fahr
Traitement
Spécialité Neurologie
Classification et ressources externes
OMIM 213600
DiseasesDB 32200
MeSH C536275
GeneReviews

Wikipédia ne donne pas de conseils médicaux Mise en garde médicale

Décrit pour la première fois en 1951[1], le syndrome de Fahr est une maladie se traduisant par des calcifications massives des noyaux gris centraux en l'absence d'anomalie du métabolisme du calcium. Il existe parallèlement des signes neurodégénératifs.

Le début des signes neurodégénératifs débute vers 30 à 40 ans bien que des cas chez des enfants aient été décrits. Les signes neurologiques sont très variés : syndrome parkinsonien, trouble de la marche, ataxie cérébelleuse et chorée-athétose.

La constatation de calcifications des noyaux gris centraux est fréquent dans de nombreuses maladies. Près de 1 pour cent des scanners du cerveau montrent la présence de calcifications des noyaux gris centraux surtout après 60 ans. Cette constatation ne s'accompagne pas d'une augmentation de pathologie neurologique chez ces individus.

Notes et références

  1. (en) J FOLEY, « Calcification of the corpus striatum and dentate nuclei occurring in a family », J Neurol Neurosurg Psychiatry, vol. 14, no 4, , p. 253-61. (PMID 14898295, PMCID PMC499527, DOI 10.1136/jnnp.14.4.253)

Liens externes

  • (en) Maria J Sobrido, Suellen Hopfer, Daniel H Geschwind, « Familial Idiopathic Basal Ganglia Calcification » in GeneTests: Medical Genetics Information Resource (database online). Copyright, University of Washington, Seattle. 1993-2006
  • (en) Online Mendelian Inheritance in Man, OMIM (TM). Johns Hopkins University, Baltimore, MD. MIM Number:213600
  • (en) Online Mendelian Inheritance in Man, OMIM (TM). Johns Hopkins University, Baltimore, MD. MIM Number:114100
  • icône décorative Portail de la médecine