Syndrome de Budd-Chiari

Syndrome de Budd-Chiari
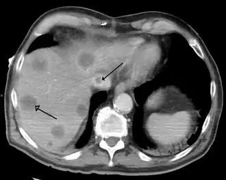
Description de cette image, également commentée ci-après
Syndrome de Budd-Chiari secondaire à un cancer, les flèches indiquent un caillot dans la veine cave inférieure et une métastase dans le foie.
Traitement
Spécialité Hépatologie
Classification et ressources externes
CIM-10 I82.0
CIM-9 453.0
OMIM 600880
DiseasesDB 1735
MedlinePlus 000239
eMedicine 184430
ped/296 radio/121
MeSH D006502
Patient UK Budd-Chiari-Syndrome

Wikipédia ne donne pas de conseils médicaux Mise en garde médicale

Le syndrome de Budd-Chiari, peu fréquent, résulte de l’obstruction d’au moins une des trois veines sus-hépatiques par une thrombose ou une tumeur. Il peut également être dû à une compression d'au moins une de ces veines par un kyste hydatique du foie.

Le résultat est une nécrose des segments hépatiques, exception faite du premier segment se jetant directement dans la veine cave inférieure sans passer par les veines sus-hépatiques.

Ce syndrome doit son nom à George Budd, un médecin britannique et à Hans Chiari, un pathologiste autrichien.

Symptômes

Ils résultent de la congestion hépatique et de l'Hypertension portale : Ascite, Circulation collatérale, Hépatomégalie douloureuse. Le syndrome peut cependant être asymptomatique, révélé uniquement par des perturbations de la biologie[1].

Il peut se présenter sous forme d'une insuffisance hépatique aiguë, de mauvais pronostic[2].

Causes et facteurs de risque

Les syndromes myéloprolifératifs, comme la maladie de Vaquez, facilitent la thrombose, en particulier des veines sus-hépatiques et constituent la cause la plus fréquente du Budd-Chiari[1].

Les différentes thrombophilies congénitales en sont une autre cause : mutation du facteur V, anomalie du facteur II, déficit en protéine C, en Protéine S, en antithrombine III. Le diagnostic est cependant rendu plus complexe car les différents facteurs intervenant dans l'hémostase sont synthétisés par le foie et sont donc abaissés en cas d'insuffisance hépato-cellulaire.

Certaines maladies acquises peuvent se compliquer de ce syndrome : maladie de Behçet, Anticoagulant lupique et Syndrome des antiphospholipides, comme d'autres états inflammatoires ou cancer.

La grossesse constitue un facteur de risque en raison du risque plus élevé de thrombose, de même la prise de contraceptifs oraux

Une cause plus rare est la compression des veines sus-hépatiques par une tumeur ou par un kyste hydatique du foie.

Dans 20 % des cas, aucune cause n'est retrouvée et on parle alors de formes idiopathiques[1].

Diagnostic

Le Scanner avec injection permet de visualiser la compression ou l'occlusion des veines sus-hépatiques, de même l'IRM avec injection. Ils mettent aussi en évidence les défects perfusionnels hépatiques[3].

l'échographie abdominale peut objectiver un élargissement des veines sus-hépatiques atteintes avec présence d'un thrombus et anomalie du flux Doppler[4] avec hépatomégalie[5]. Dans les formes chroniques, il existe une réduction du calibre des veines sus-hépatiques [5],[6] qui prennent la forme d'un cordon fibreux [5],[4]. Il peut exister une hypertrophie marquée du segment I hépatique [5],[6] en raison de son drainage par la veine cave inférieure[5] avec mise en évidence des veines de drainage segmentaires[5]. Une circulation collatérale peut être dépistée[5]. Des signes d’hypertension portale[5] ou de cirrhose avec ses complications, doivent être systématiquement recherchés.

Incidence

Il y aurait environ un cas sur 100 000 personnes. En France, on estime le nombre de personnes touchées à, au plus, quelques centaines[7].

Espérance de vie

La maladie est de mauvais pronostic sans traitement[8]. L'espérance de vie est de 90 % à 10 ans en 2005.

Traitement

La prise en charge du syndrome de Budd-Chiari a fait l'objet de la publication de recommandations de sociétés savantes. Celles de l'« American Association for the Study of Liver Diseases » datent de 2020[9]

Le traitement anticoagulant au long cours permet d'éviter la progression ou l'apparition d'une nouvelle thrombose d'une veine sus-hépatique. Le traitement de la cause, quand elle est possible, est naturellement indispensable. Un traitement fibrinolytique local peut être proposé dans certains cas[10]. Une reperfusion veineuse par angioplastie peut être également proposée[11].

La mise en place d'un shunt intrahépatique par voie transjugulaire (TIPS) peut être une solution dans les formes graves[12] avec de bons résultats à long terme[13].

En cas de maladie constituée, le traitement est celui de la cirrhose pouvant aller jusqu’à la transplantation en cas d'insuffisance hépatique grave.

Complications

Ce sont ceux de la cirrhose.

Notes et références

  1. 1 2 3 Garcia-Pagán JC, Valla DC, Primary Budd–Chiari syndrome, N Engl J Med, 2023;388:1307-1316
  2. Thuluvath PJ, Alukal JJ, Zhang T, Acute liver failure in Budd-Chiari syndrome and a model to predict mortality, Hepatol Int, 2021;15:146-154
  3. Brancatelli G, Vilgrain V, Federle MP et al. Budd-Chiari syndrome: spectrum of imaging findings, AJR Am J Roentgenol, 2007;188:W168-W176
  4. 1 2 (en) Valérie Vilgrain et Denis Régent, Imagerie de l'abdomen, Paris, Médecine sciences publications-[Lavoisier], , 1056 p. (ISBN 978-2-257-20417-2, lire en ligne)
  5. 1 2 3 4 5 6 7 8 (en) Olivier Lucidarme, Echographie abdominale, Elsevier Health Sciences France, , 480 p. (ISBN 978-2-294-74360-3, lire en ligne)
  6. 1 2 (en) Michael P. Federle, Diagnostic Imaging : Abdomen, Amirsys, (ISBN 978-1-4160-2541-2, lire en ligne)
  7. Ollivier-Hourmand I, Allaire M, Goutte N et al. The epidemiology of Budd-Chiari syndrome in France, Dig Liver Dis, 2018;50:931-937
  8. Tavill AS, Wood EJ, Kreel L, Jones EA, Gregory M, Sherlock S, The Budd-Chiari syndrome: correlation between hepatic scintigraphy and the clinical, radiological, and pathological findings in nineteen cases of hepatic venous outflow obstruction, Gastroenterology, 1975;68:509-518
  9. Northup PG, Garcia-Pagan JC, Garcia-Tsao G et al. Vascular liver disorders, portal vein thrombosis, and procedural bleeding in patients with liver disease: 2020 practice guidance by the American Association for the study of liver diseases, Hepatology, 2021;73:366-413
  10. Sharma S, Texeira A, Texeira P, Elias E, Wilde J, Olliff SP, Pharmacological thrombolysis in Budd Chiari syndrome: a single centre experience and review of the literature, J Hepatol, 2004;40:172-180
  11. Han G, Qi X, Zhang W et al. Percutaneous recanalization for Budd-Chiari syndrome: an 11-year retrospective study on patency and survival in 177 Chinese patients from a single center, Radiology, 2013;266:657-667
  12. Seijo S, Plessier A, Hoekstra J et al. Good long-term outcome of Budd-Chiari syndrome with a step-wise management, Hepatology, 2013;57:1962-1968
  13. Garcia-Pagán JC, Heydtmann M, Raffa S et al. TIPS for Budd-Chiari syndrome: long-term results and prognostics factors in 124 patients, Gastroenterology, 2008;135:808-815

Liens externes


  • icône décorative Portail de la médecine
  • icône décorative Portail de l’hématologie