Syndrome Allgrove

Syndrome Allgrove
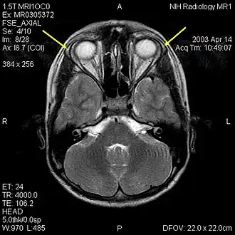
Description de cette image, également commentée ci-après
IRM du crâne d'un garçon de 12 ans présentant un syndrome Allgrove : les flèches jaunes indiquent les glandes lacrymales hypoplasiques.
Traitement
Spécialité Endocrinologie
Classification et ressources externes
CIM-10 E27.4
OMIM 231550
DiseasesDB 32088
eMedicine 919360
MeSH C536008

Wikipédia ne donne pas de conseils médicaux Mise en garde médicale

Le syndrome Allgrove, aussi appelée syndrome triple A ou syndrome 4A, est une maladie génétique autosomique récessive découverte en 1978 par Jeremy Allgrove (en).

Les trois principaux symptômes détectables sont une alacrymie (sécheresse de l’œil), une achalasie du cardia (rétrécissement de l’œsophage au-dessus de l'estomac) et une insuffisance surrénalienne évolutive. Cela entraine une déshydratation buccale, de la peau et des flux masculins et également une perte musculaire.

Elle serait dû à un stress oxydant important par le réseau mitochondrial constitué de mitochondrie dans une dizaine d'organes.

Diagnostic différentiel




  • icône décorative Portail de la médecine