Substantia innominata

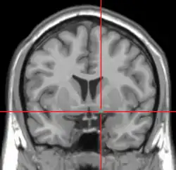
Repérage de la substance innominée de Reichert par IRM.

La substantia innominata dite aussi « substance innominée de Reichert » désigne la partie du cerveau au sein du prosencéphale basal constituée d'un ensemble mal défini de structures incluant le noyau basal de Meynert et une partie du striatopallidum ventral (dont le noyau accumbens), d'une part et une partie du complexe amygdalien d'autre part.

Notamment, au sein du noyau de Meynert, la substantia innominata contient un grand nombre de neurones cholinergiques impliqués dans de nombreuses fonctions cognitives et la régulation de l'éveil. Du fait de la connexion étroite entre le complexe amygdalien et les autres structures du pallidum ventral, la substantia innominata joue un rôle important dans la régulation des réponses émotionnelles motrices comme autonomes.

L'adjectif « innominée » (innominata en latin) est en général attribué au neuroanatomiste Karl Bogislaus Reichert qui n'a pas proposé de légende pour désigner cette région dans son atlas du cerveau humain qu'il fit paraître en 1859. Mais déjà en 1809 le médecin allemand Johann Christian Reil avait désigné sous le nom de ungenannte Marksubstanz (substance innominée) cette région parce que son rôle et son organisation physiologique restaient mal compris.

Source

  • (en) L. Heimer, R. E. Harlan, G. F. Alheid, M. M. Garcia and J. de Olmos « Substantia innominata: a notion which impedes clinical-anatomical correlations in neuropsychiatric disorders » Neuroscience, Volume 76, Issue 4, , 15 January 1997, Pages 957-1006.
  • icône décorative Portail des neurosciences
  • icône décorative Portail de la médecine