Sarcome myéloïde

Le sarcome myéloïde (parfois appelé sarcome granulocytaire ou chlorome[1]) est une forme rare de cancer caractérisée par une tumeur solide de cellules myéloïdes et localisée hors de la moelle osseuse[2]. Cette hémopathie est intégrée dans la classification OMS 2016 des leucémies aiguës myéloïdes et néoplasies liées[3].
Présentation clinique
Les symptômes dépendent de la localisation anatomique: foie[4], prostate[5].
Diagnostic
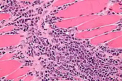
Le diagnostic associe l'imagerie médicale (scanner, TEP) et l'étude de la biopsie en l'anatomopathologie.
Traitement
Le sarcome myéloïde peut être traité par chimiothérapie en même temps qu'une leucémie concomitante mais peut également être accessible à la chirurgie ou la radiothérapie[7].
Notes et références
- ↑ « CHLOROME : Définition de CHLOROME » (consulté le )
- ↑ OrphaNet, « Orphanet: Sarcome myéloïde », (consulté le )
- ↑ (en) James W. Vardiman, « The 2016 revision to the World Health Organization classification of myeloid neoplasms and acute leukemia », Blood, American Society of Hematology, vol. 127, no 20, , p. 2391-2405 (ISSN 1528-0020, DOI 10.1182/blood-2016-03-643544, résumé, lire en ligne)
- ↑ « Hepatic myeloid sarcoma | Radiology Reference Article | Radiopaedia.org » (consulté le )
- 1 2 Sebastian Spethmann, Roman Heuer, Helmut Hopfer et Gert Tuinmann, « Myeloid sarcoma of the prostate as first clinical manifestation of acute myeloid leukaemia », The Lancet Oncology, vol. 5, no 1, , p. 62–63 (ISSN 1470-2045, DOI 10.1016/S1470-2045(03)01326-3)
- ↑ L. Max Almond, Maria Charalampakis, Samuel J. Ford, David Gourevitch et Anant Desai, « Myeloid Sarcoma: Presentation, Diagnosis, and Treatment », Clinical Lymphoma Myeloma and Leukemia, vol. 17, no 5, , p. 263–267 (ISSN 2152-2650, DOI 10.1016/j.clml.2017.02.027)
- ↑ Yilmaz AF, Saydam G, Sahin F, Baran Y, « Granulocytic sarcoma: a systematic review », Am J Blood Res, vol. 3, no 4, , p. 265–70 (PMID 24396704, PMCID 3875275)
Voir aussi
Articles connexes
Liens externes
- Portail de la médecine
- Portail de l’hématologie