Polymicrogyrie

Polymicrogyrie
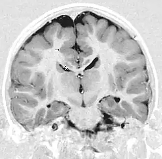
Description de cette image, également commentée ci-après
.
Traitement
Spécialité Neurologie
Classification et ressources externes
CIM-9 742.2
DiseasesDB 33975
MeSH D054220
GeneReviews Polymicrogyria Overview

Wikipédia ne donne pas de conseils médicaux Mise en garde médicale

La polymicrogyrie est principalement une anomalie de l'organisation corticale des neurones probablement par un trouble de la migration des neurones à l'origine des dernières couches cellulaires du cortex cérébral : le cortex cérébral est plus épais avec de multiples circonvolutions.

La polymicrogyrie peut être localisée à une zone unique d'un lobe cérébral ou au contraire généralisée à l'ensemble du cortex. Les manifestations cliniques de cette maladie dépendent surtout de l'étendue de cette anomalie: ce sont des troubles neurologiques stables parfois nommés encéphalopathie statique. Ces manifestations sont parfois minimes ou très importantes avec des manifestations visuelles, auditives, motrices ou cognitives. Les formes plus graves comprennent retard mental profond et épilepsie réfractaire au traitement.

Le diagnostic repose uniquement sur l'imagerie à résonance magnétique. La polymicrogyrie peut être isolée ou associée à d'autres anomalies : agénésie du corps calleux, schizencéphalie. Les diagnostics différentiels principaux sont la pachygyrie et la lissencéphalie.

La prévalence de cette maladie est inconnue mais certainement rare.

Causes de la polymicrogyrie

Infectieuses

Toute infection in utero peut être responsable de polymicrogyrie : toxoplasmose, cytomégalovirus, varicelle, syphilis.
On en rapprochera le syndrome transfuseur-transfusé.

Héréditaires

Notes et références

    Sources

    • (en) Bernard Chang, Christopher A Walsh, Kira Apse, Adria Bodell, Polymicrogyria Overview in GeneTests: Medical Genetics Information Resource (database online). Copyright, University of Washington, Seattle. 1993-2006
    • icône décorative Portail du handicap
    • icône décorative Portail de la médecine