Pneumopéritoine

Dans le domaine de la gastro-entérologie, un pneumopéritoine (pneumopéritoine gynécologique, pneumopéritoine pathologique, pneumopéritoine provoqué, pneumopéritonite) correspond à l'entrée d'air ou de gaz dans la cavité de l'abdomen (cavité péritonéale). Cet air provient le plus souvent de la perforation d'un organe digestif creux, tel que l'estomac, l'intestin grêle ou encore le côlon.

Il décolle les deux feuillets du péritoine :

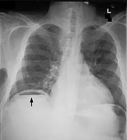
La bulle d'air visible sur l'hémidiaphragme droit (sur la gauche de l'image) est un pneumoperitoine ; vue frontale (Rayons X).
Pneumopéritoine (Rayons X).
Pneumopéritoine observé aux rayons X chez un patient allongé sur son flanc gauche.
  • le feuillet pariétal (qui tapisse la paroi de l'abdomen) ;
  • le feuillet viscéral (qui entoure les viscères abdominaux).

Un pneumopéritoine de faible volume est le plus souvent asymptomatique. Il est avant tout suspecté dans un contexte clinique. La radiographie (abdomen sans préparation (ASP) et/ou cliché debout de face, centré sur les coupoles diaphragmatiques) permet généralement de faire le diagnostic, le pneumopéritoine apparaissant comme un croissant radio transparent sous-diaphragmatique, uni ou bilatéral et de taille variable[1]. Cependant, un pneumopéritoine de faible abondance peut facilement passer inaperçu a la radiographie. C'est pourquoi la tomodensitométrie (ou scanner abdominal) est aujourd'hui considérée comme l'examen de référence pour son diagnostic[2]. La tomodensitométrie permet de rendre visible des volumes aussi faibles que cm3 d'air ou de gaz.

Types

On distingue :

  • le pneumopéritoine pathologique, dont la cause la plus fréquente est la perforation accidentelle ou pathologique d'un viscère abdominal, par exemple à la suite d'un ulcère gastro-duodénal ayant perforé la paroi de l'estomac, ou encore une diverticulite sigmoïdienne perforée. Cependant, toute partie du tube digestif peut également se voir perforée par de nombreuses maladies, dont par exemple une tumeur ou encore un traumatisme abdominal. Le pneumopéritoine rentre alors dans le cadre d'une pneumopéritonite (du grec -itis [-ite], désignant l'inflammation), cas le plus fréquent en pratique médicale[3]. Une perforation de l'appendice provoque toutefois rarement un pneumopéritoine ;
  • le pneumopéritoine provoqué, qui peut être délibérément créé par une équipe chirurgicale en vue d'exécuter une chirurgie laparoscopique. Ce résultat est obtenu en insufflant du dioxyde de carbone dans l'abdomen pour « gonfler » ce dernier afin de permettre une observation ou une intervention chirurgicale par cœlioscopie. En règle, le « pneumopéritoine » n'est guère visible après la vingt-quatrième heure postopératoire[4]. Dans le « pneumopéritoine gynécologique », cet air permet d'intervenir sur l'utérus, les trompes ou les ovaires.

Étymologie

  • Pneumo: du grec pneumôn [pneum(o)-], poumon. Syn. pulm(o)- ;
  • Péritoine: du latin peritonaeum, du grec peritonaion [péritoné(o)-], ce qui est tendu autour, relatif au péritoine.

Diagnostic différentiel

Le pneumopéritoine ne doit pas être confondu avec :

  • la poche à air gastrique : visualisable en sous diaphragmatique gauche (petite coupole). Elle est physiologique et correspond à l'estomac partiellement vide ;
  • un abcès sous-phrénique. Ces abcès entraînent parfois des signes d'irritation diaphragmatique (hoquet). Au scanner, ils apparaissent comme des collections spontanément hypodenses dont les contours (coque) sont rehaussés par le produit de contraste ;
  • une anse intestinale interposée entre le diaphragme et le foie (syndrome Chilaiditi)[5] ;
  • une atélectasie linéaire à la base des poumons (peut simuler la présence d'air libre sous le diaphragme sur une radiographie du thorax).

Notes et références

  1. « Pneumopéritoine (abdomen sans préparation) », sur info-radiologie.ch (consulté le ).
  2. (en) Ali Nawaz Khan ; eMedicine.com: Pneumoperitoneum
  3. [PDF] « Pneumopéritonite » sur le site de la Société nationale française de gastro-entérologie (SNFGE).
  4. (en) Schauer PR, Page CP, Ghiatas AA, Miller JE, Schwesinger WH, Sirinek KR, « Incidence and significance of subdiaphragmatic air following laparoscopic cholecystectomy » Am Surg. 1997;63:132-6
  5. (en) Saber AA, Boros MJ, « Chilaiditi’s syndrome: what should every surgeon know? » Am Surg. 2005;71:261-3

Voir aussi

Articles connexes

  • icône décorative Portail de la médecine