Plasmocytome

Plasmocytome
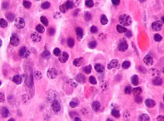
Description de cette image, également commentée ci-après
Traitement
Médicament Bortézomib et (RS)-lénalidomide
Spécialité Oncologie
Classification et ressources externes
CIM-10 C90.2
CIM-9 238.6
ICD-O M9731/3, M9734/3
DiseasesDB 8628
eMedicine 207233
MeSH D010954

Wikipédia ne donne pas de conseils médicaux Mise en garde médicale

Un plasmocytome osseux solitaire du 1/3 inférieur du fémur dans le cadre d'un syndrome POEMS.

Un plasmocytome ou plasmacytome, est une tumeur maligne développée à partir de plasmocytes, cellules représentant le stade final de différenciation des lymphocytes B, productrices d'anticorps et d'immunoglobulines[1].

Un plasmocytome peut être, rarement, localisé à un os ou un autre organe, on parle alors de :

  • Plasmocytome osseux solitaire
  • Tumeur plasmocytaire extra-osseuse

Le plus souvent il s'agit d'un cancer généralisé : un myélome multiple.

Notes et références

Annexes

Articles connexes

Liens externes

  • icône décorative Portail de la médecine
  • icône décorative Portail de l’hématologie