Papillome
Papillome
Papillome intracanalaire du sein
| Spécialité | Oncologie |
|---|
| ICD-O | 8050/0 |
|---|---|
| MeSH | D010212 |
Mise en garde médicale
Le papillome est une petite tumeur bénigne constituée d'axes conjonctifs bordés par des cellules épithéliales.
Types
- Papillome malpighien : composé d'axes conjonctifs bordés par des cellules malpighiennes, rappelant la structure des « papilles ». Ils peuvent former un relief à la surface ou s'invaginer dans la muqueuse (papillome inversé).
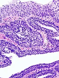
- Papillome urothélial : lésion urothéliale composée d'axes conjonctifs bordés par des cellules urothéliales, rappelant la structure des « papilles ». Il peut être exophytique ou inversé, dans ce dernier cas les cellules épithéliales proliférantes s'invaginent dans le stroma sous-jacent[1].
Causes
De nombreux papillomes malpighiens sont associés aux papillomavirus.
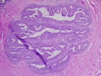
Image histologique de papillome urothélial.
Papillome urothélial inversé de la vessie. HE, x400.
Photomicrographie d'un papillome malpighien sur une langue. Coloration à l'hématoxyline et à l'éosine.
Notes et références
Liens externes
- Ressources relatives à la santé :
- Ressource relative à la recherche :
- Papillome urothélial dans le Dictionnaire médical de l'Académie de médecine (2023)
- Portail de la médecine