Péricyte
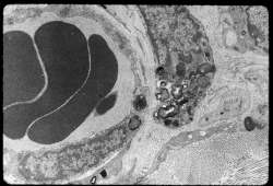
Les péricytes[1],[2], parfois appelés « cellules de Rouget », sont des cellules murales localisées au niveau de la lame basale de l’endothélium des capillaires, qu’elles entourent par de longs prolongements circonférentiels et cytoplasmiques. Bien que peu nombreux dans certains lits vasculaires, les péricytes auraient une fonction contractile et un rôle dans la régulation métabolique à travers la régulation du débit sanguin au niveau des capillaires et des veinules post-capillaires. Ils jouent également un rôle dans l’angiogenèse et pourraient avoir un rôle immunitaire. Les péricytes sont particulièrement nombreux au niveau des capillaires cérébraux et rétiniens.

Les péricytes sont espacés le long de la partie externe des capillaires. Ils possèdent des prolongements primaires étendus longitudinalement le long de la paroi du capillaire et des prolongements latéraux secondaires s’étendant autour du vaisseau. Le cytoplasme des péricytes contient des microtubules qui s’étendent dans l’axe des prolongements primaires. Les plaques d'adhésion focales assurent un solide ancrage mécanique des péricytes avec l'endothélium. De plus, elles comportent une proportion importante de protéines de structure telles que l'actine, la tropomyosine, la myosine du muscle lisse... Ces différentes structures permettraient à ces péricytes de changer le diamètre des capillaires par leurs prolongements, et donc de réguler localement la pression sanguine. Entre les péricytes et les cellules endothéliales sous-jacentes, il existe des jonctions communicantes reliant directement par leur canal les deux cytoplasmes, et permettant l'échange d'ions et de petites molécules entre les deux types cellulaires. Des jonctions de type 'peg-and-socket', sous la forme d'interdigitations entre la membrane plasmique endothéliale et la membrane péricytaire, ont également été décrites mais leur fonction n'est pas définie.
Action sur les capillaires

Péricytes et angiogenèse
Lors du développement embryonnaire des vaisseaux plusieurs étapes servent à leur mise en place. La dernière consiste à la stabilisation des vaisseaux[5] (durant la phase de maturation) : pour cela les péricytes et les cellules musculaires lisses seront recrutés ainsi que la formation d’une nouvelle membrane basale. Ce processus implique des facteurs de croissance dérivés des plaquettes[6].
Les péricytes laissent passer le facteur pro-angiogénique majeur Vascular Endothelial cell Growth Factor[7] jouant un rôle dans la stabilisation des vaisseaux, ainsi que d’autres facteurs de survie des cellules endothéliales.
L’angiogenèse[8] est la formation de nouveaux vaisseaux. Les péricytes à la suite d'un message extracellulaire vont pouvoir se détacher du capillaire sanguin. Après s’être détachés du capillaire ils vont entrainer une ouverture de ce dernier et une multiplication des cellules de l’endothélium[9]. Ainsi un nouveau capillaire va naitre et les péricytes pourront jouer un rôle régulateur dans le contrôle de sa croissance.
Débit circulatoire
Les péricytes présentent un certain nombre de caractéristiques compatibles avec l'activité des cellules musculaires, et leur localisation dans les capillaires leur permettrait de réguler la contraction de l'endothélium sous-jacent. En effet, la présence d’actine et de myosine sur les péricytes leur permettrait de se contracter[10]. De plus, ces cellules, possèdent des récepteurs aux substances vasoactives telles que l'oxyde nitrique (effet vasodilatateur), la prostacycline, l'angiotensine II et l'endothéline (vasoconstricteurs)[11].
Les péricytes auraient donc un rôle dans la régulation du débit sanguin. Ceci a été plus particulièrement décrit dans le cerveau en raison de leur plus grand nombre dans le système nerveux central. En effet, selon une recherche du neurologue B. Zlokovic du centre médical de l’université de Rochecter, les péricytes seraient au cœur de la détermination de la quantité de sang circulant dans le cerveau et joueraient un rôle déterminant dans la protection des tissus cérébraux contre les substances nocives[12].
Péricytes et perméabilité des capillaires sanguins
Selon une étude menée en Suède[13], les péricytes joueraient un rôle essentiel dans la régulation de l’étanchéité de la barrière hémato-encéphalique (BHE). Ils vont soit l’ouvrir et laisser passer des molécules de différentes tailles qui n’affectent pas le cerveau, soit la fermer pour empêcher le passage de toutes molécules pouvant induire des lésions au cerveau. De plus, les péricytes régulent le fonctionnement des astrocytes, qui soutiennent la BHE grâce à des extensions appelées podocytes. Ces extensions enveloppent les capillaires et règlent la circulation de l’eau et des ions.
Autres rôles des péricytes
La Régénération des tissus
L’implication des péricytes dans la régénération de divers tissus a aussi été démontrée[14]. On sait d’une part que les péricytes expriment de façon native les marqueurs moléculaires classiquement associés aux cellules souches mésenchymateuses car ils leur sont semblables aussi bien sur le plan morphologique que fonctionnel. D’autre part, les péricytes dissociés de leur tissu d’origine présentent un potentiel de différenciation. Les péricytes sont donc des cellules dites multipotentes, capables de se différencier en adipocytes, ostéoblastes et phagocytes. Les scientifiques ont démontré une augmentation du réticulum endoplasmique rugueux des péricytes en réponse à une lésion thermique. De plus les péricytes prolifèrent après une lésion osseuse et sont capables de synthétiser du collagène, des protéoglycanes et de l’ostéocalcine en intégrant le phosphate de calcium pour produire une matrice extracellulaire permettant la réparation du tissu osseux[15].
Immunité
Dans les cultures de tissus, on a démontré la capacité des péricytes à la phagocytose et à la présentation d’antigène. Ces propriétés seraient une « deuxième ligne de défense » contre les molécules neurotoxiques, qui ont déjà franchi la couche endothéliale en direction du cerveau. Via ces propriétés, ils participeraient au développement de certaines maladies (auto-immunes). On discute aussi de leur participation indirecte à la maladie d’Alzheimer et de Parkinson.
Péricytes et pathologies
Si les péricytes ne régulent pas correctement la barrière hémato-encéphalique certaines molécules normalement filtrées vont passer et endommager les cellules nerveuses ce qui entraine plusieurs pathologies telles que la maladie de Parkinson, la maladie d'Alzheimer et la sclérose latérale amyotrophique.
Les péricytes jouent aussi un rôle lors de la détérioration des vaisseaux chez les sujets atteints de rétinopathie diabétique. Les péricytes sont sensibles aux dommages causés par le glucose. Ils vont être modifiés ce qui va entrainer des changements dans les capillaires, augmenter leur perméabilité, et pourraient entrainer une détérioration des vaisseaux.
Notes et références
- ↑ Don W .Fawcett & Ronald P.Jensh, « Bloom & Fawcett » HISTOLOGIE L’ESSENTIEL, Collection Sciences fondamentales, MALOINE
- ↑ Elaine N.Marieb & Katja Hoehn, « Maintien de l’homéostasie », Anatomie et physiologie humaine, 8e édition, PEARSON
- ↑ Stevens Lowe, Histologie Humaine, Boeck Université
- ↑ Encyclopédie, dictionnaire Encyclopaedia Universalis
- ↑ http://bcpp.circulation-respiration.master.univ-paris-diderot.fr/M2/CV/diapo_cvpw/PharmacoPW/courspw/Levy-pharmacoM2_2010.pdf
- ↑ http://theses.vet-alfort.fr/telecharger.php?id=357
- ↑ http://www.collectionscanada.gc.ca/obj/s4/f2/dsk2/ftp01/MQ38135.pdf
- ↑ Bernard Vandenbunder, « Bulletin du Cancer », sur jle.com, Bulletin du Cancer, (ISSN 0007-4551, consulté le ), p. 29–36.
- ↑ « avernes.fr/Oncologie/article.p… »(Archive.org • Wikiwix • Archive.is • Google • Que faire ?).
- ↑ Karen K. Hirschi, Patricia A. D’Amore, “Pericytes in the microvasculature”, dans Cardiovascular Research 32, (1996) 687-698
- ↑ Martin Krueger and Ingo Bechmann, "CNS Pericytes: Concepts, Misconceptions, and a Way Out”, dans GLIA 58:1–10 (2010)
- ↑ (en) « Brain cells called pericytes become a player in Alzheimer's, other diseases », sur ScienceDaily (consulté le ).
- ↑ « Des scientifiques financés par l'UE découvrent une cellule essentielle de la barrière hémato-encéphalique / News / CORDIS / European Commission », sur CORDIS / European Commission (consulté le ).
- ↑ Cardiovascul research« Pericytes in the microvasculature » Karen K. Hirschi, Patricia A. D’Amore 1996
- ↑ http://zaghez.ifrance.com/cours/cicatrisation.pdf
Bibliographie
•Don W .Fawcett & Ronald P.Jensh, « Bloom & Fawcett » Histologie l’essentiel, Collection Sciences fondamentales, Maloine
•Elaine N.Marieb & Katja Hoehn, « Maintien de l’homéostasie », Anatomie et physiologie humaine, 8e édition, Pearson
•Stevens Lowe, Histologie Humaine, Boeck Université
•Encyclopaedia Universalis
•Bruno Péault, « Cellules souches mésenchymateuses » Médecine/science volume 27 page 227
•Karen K. Hirschi, Patricia A. D’Amore, “Pericytes in the microvasculature”, dans Cardiovascular Research 32, (1996) 687-698
•Martin Krueger and Ingo Bechmann, "CNS Pericytes: Concepts, Misconceptions, and a Way Out”, dans GLIA 58:1–10 (2010)
•Dr Zlokovic Berislav's laboratory. ZNI, Los Angeles, CA 90089 (main topic of the lab): https://www.ncbi.nlm.nih.gov.gate2.inist.fr/pubmed/?term=Zlokovic+BV.
Liens externes
- (en) « Brain cells called pericytes become a player in Alzheimer's, other diseases », sur ScienceDaily (consulté le )
- Bernard Vandenbunder, « Bulletin du Cancer », sur jle.com, Bulletin du Cancer, (ISSN 0007-4551, consulté le ), p. 29–36
- http://theses.vet-alfort.fr/telecharger.php?id=357
- « Des scientifiques financés par l'UE découvrent une cellule essentielle de la barrière hémato-encéphalique / News / CORDIS / European Commission », sur CORDIS / European Commission (consulté le )
- Portail de la biologie