Oncocytome
| Spécialité | Oncologie |
|---|
| ICD-O | M8290/0 |
|---|---|
| DiseasesDB | 31956 |
| eMedicine | 279462 |
| MeSH | D018249 |
Mise en garde médicale
L'oncocytome est une tumeur bénigne de nature glandulaire (adénome) ; à signaler toutefois que certaines formes malignes ont été discutées[1].
Ce terme vient du Grec (onkos : masse et kutos : cellule).
Localisation

Cette lésion touche essentiellement les reins[2], les bronches et surtout les glandes salivaires (parotide).
Elle peut, plus rarement, atteindre les muqueuses digestives (côlon, estomac).
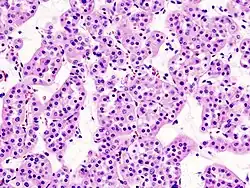
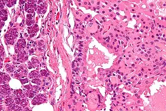
Histologie
.jpg)
La tumeur est constituée de cellules oncocytaires éosinophiles. Les noyaux des oncocytomes sont toujours ronds et réguliers (par opposition aux noyaux des carcinomes à cellules chromophobes qui sont, au contraire, anguleux, rainurés et avec inclusion cytoplasmique).
L'immuno-histochimie et les critères cytogénétiques sont utilisés pour confirmer le diagnostic[3].
Profil immunohistochimique
Profil immunohistochimique de l'oncocytome rénal[4] :
Évolution
Son évolution est le plus souvent favorable, mais un diagnostic histologique s'impose afin d'éliminer une tumeur maligne.
La localisation parotidienne semble la plus fréquemment décelée (80 % des cas), cependant il faut relativiser ce chiffre dans la mesure où la masse tumorale y est perçue par le patient lui-même, sous la forme d'un nodule légèrement douloureux au niveau maxillaire.
Les autres localisations sont plus difficiles à mettre en évidence, car l'onconcytome reste le plus souvent asymptomatique et c'est au cours d'examens médicaux systématiques (imagerie médicale) que la lésion est suspectée.
Références
- ↑ http://cat.inist.fr/?aModele=afficheN&cpsidt=892399 Oncocytome malin thyroïdien
- ↑ http://www.med.univ-rennes1.fr/cgi-bin/adm/reponse.pl?prg=1&cod=M09107 Oncocytose rénale
- ↑ http://www.epathologies.com/sem/uro2002/rf/OR13.htm Cas clinique
- ↑ (en) Renal Neoplasms: An Update on Immunohistochemical and Histochemical Features
- Portail de la médecine