Myélocyte

Les myélocytes sont des cellules immatures de la lignée granuleuse (formant à terme les granulocytes, un type de globule blanc).
À l'état basal, les myélocytes ne sont retrouvés que dans la moelle osseuse, lieu de maturation des granulocytes (aussi appelés polynucléaires).
Contexte : la granulopoïèse
La maturation des granulocytes est désignée par le terme granulopoïèse. La granulopoïèse représente une partie de l'hématopoïèse et aboutit aux trois types de granulocytes matures : neutrophiles, basophiles, et éosinophiles. Toutes les cellules hématopoïétiques dérivent des cellules souches hématopoïétiques.
Étapes
Étapes de la granulopoïèse[1] :
- Tout d'abord, la cellule souche hématopoïétique forme un progéniteur myéloïde commun (CFU-GEMM) qui va ensuite donner des progéniteurs plus spécifiques (mais non distinguables morphologiquement) :
- tout d'abord un progéniteur précoce : le CFU-GM (granulocyte/monocyte)
- Qui lui-même donnera un progéniteur tardif : le CFU-G
- Le CFU-G se différencie ensuite en précurseurs :
- Tout d'abord le myéloblaste
- le myéloblaste se différencie ensuite en promyélocyte
- qui se différencie en myélocyte
Ces trois étapes durent environ 5 jours. Le granulocyte achève sa maturation par la différenciation du myélocyte en métamyélocyte puis enfin en granulocyte. Cette dernière phase se déroule sur environ 7 jours.
Les étapes de la granulopoïèse éosinophile et basophiles sont identiques à l'exception des progéniteurs précoces (CFU-Eo et CFU-BAS).
Contrôle de la granulopoïèse
Le contrôle de la granulopoïèse est sous la dépendance de nombreux facteurs, parmi lesquels :
- le G-CSF contrôle l'engagement dans la lignée granuleuse ;
- le GM-CSF à un effet plus large, il stimule la lignée granuleuse et monocytaire ;
- la lactoferrine induit quant à elle l’inhibition de la lignée granuleuse.
Cytologie
Apparence
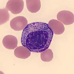
La taille d'un myélocyte est comprise en 20 et 25 μm[1].

Après coloration au May-Grunwald Giemsa, on distingue un cytoplasme nettement basophile et relativement plus abondant que dans les promyélocytes ou les myéloblastes, même si les myélocytes sont de plus petites cellules.
De nombreuses granulations cytoplasmiques sont présentes dans les formes les plus matures de myélocyte. Les granulations des myélocytes éosinophiles et neutrophiles sont positives à la peroxydase, contrairement à celles des myélocytes neutrophiles. Le noyau, de forme ronde ou ovalaire, a un contour assez régulier et semble comme "enterré" sous les nombreuses granulations cytoplasmiques. La chromatine est dense.
Antigènes
On retrouve sur la surface du myélocyte plusieurs clusters de différenciation :
- CD13
- CD15
- CD33
- CD65
Présence dans la circulation[2]
Il est possible que des myélocytes (ainsi que des myéloblastes) passent dans la circulation sanguine. Ce phénomène s'appelle myélémie. Si ce phénomène est transitoire, il n'est généralement pas pathologique[3].
Une myélémie fait souvent suite à une production importante de granulocytes, comme on peut le voir pendant une récupération d'aplasie médullaire ou d'agranulocytose. Une myélémie peut aussi s'observer à la suite d'une infection aiguë.
On peut également retrouver une myélémie dans un contexte d'hémopathie maligne. Dans ce cas là, la myélémie est persistante[3].
Notes et références
- 1 2 « Laboratoire d'Hématologie Cellulaire du CHU d'Angers », sur hematocell.univ-angers.fr (consulté le )
- ↑ « Laboratoire d'Hématologie Cellulaire du CHU d'Angers », sur hematocell.univ-angers.fr (consulté le )
- 1 2 « FMPMC-PS - Hématologie - Niveau DCEM3 », sur www.chups.jussieu.fr (consulté le )
- Portail de la médecine
- Portail de l’hématologie