Motivation
La motivation est, au sein d'un organisme vivant, la composante ou le processus en jeu pour l'engagement dans une activité précise.
Elle en détermine le déclenchement, la direction, l'intensité et en assure la prolongation jusqu'à l'aboutissement ou l'interruption.
Cette notion se distingue du dynamisme, de l'énergie ou du fait d'être actif. La motivation prend de nos jours une place de premier plan dans les organisations. Elle est déterminante pour l'apprentissage (y compris chez les nourrissons) et génère la productivité dans de nombreuses activités personnelles ou professionnelles.
Se manifestant habituellement par le déploiement d'une énergie (sous divers aspects tels que l'enthousiasme, l'assiduité, la persévérance), la motivation est parfois trivialement assimilée à une « réserve d'énergie ».
Mais plus qu'une forme « d'énergie potentielle », la motivation est une instance d'intégration et de régulation d'une multitude de paramètres relatifs aux opportunités d'un environnement et aux sollicitations d'une situation. Aussi, le rôle de la motivation est-il proportionné aux degrés d'ambiguïté et d'ambivalence d'une situation : elle doit dissiper la complexité voire la confusion des données et leur conférer différentes valeurs avant d'en tirer une conclusion sur le plan du comportement : le choix et l'investissement dans la direction préférée.
« Rien n'est plus insondable que le système de motivations derrière nos actions[1]. »
L'interrogation portant sur la motivation émerge principalement dans les situations où son rôle de délibération interne est requis prioritairement ; c'est-à-dire avant tout quand l'organisme est face à une dimension quelconque de concurrence, une priorité ou hiérarchie devant émerger pour permettre l'action. De ce point de vue, bien que les problématiques ne soient pas équivalentes, deux types de concurrence sont identifiables :
- la « concurrence psychologique » des attentes individuelles, par exemple, choisir entre l'action et le repos ;
- les situations collectives où — face aux mêmes exigences — les motivations individuelles sont le facteur de différenciation des conduites : apprentissage, compétitions, activités collectives, etc.
Histoire du concept

L'idée de motivation est déjà présente dans la division tripartite de l'âme chez Platon. L’epithumia est à l'origine du désir de manger ou de se reproduire. Siège des besoins physiques, ce ventre doit être maîtrisé par le thumos, l'élément moyen, au service de la raison (noos). Cette fonction appétitive ou conative s'oppose donc à la cognition. En utilisant le vocabulaire psychologique moderne, le thumos peut s'interpréter comme l'émotion, à la charnière entre le désir et la raison.
Le point de vue général de la philosophie antique, exprimé particulièrement par l'eudémonisme, considère que la recherche du bonheur est l'exigence impérative à la base de la motivation ; les autres attentes n'en étant que des objectifs partiels et isolément insuffisants.
Il est difficile de retracer l'histoire du concept général de motivation, car on n'a pas de traces d'une éventuelle étude entre l'antiquité et le XXe siècle. Cependant, on peut faire un parallèle avec l'histoire de l'organisation du travail, qui utilise (pas toujours de façon directe) le concept restreint de motivation au travail.
Au Moyen Âge comme aujourd'hui, le type d'organisation est en relation avec le type de métier considéré. Ainsi, on peut prendre l'exemple de l'artisan. Le savoir-faire artisanal, lui donnait la possibilité d'organiser son travail comme il le souhaitait. On peut penser que la motivation était donc relativement importante, de par le fait que l'artisan menait son œuvre du début à la fin, et cela au rythme qui lui convient (motivation intrinsèque). Plus tard, à la fin du Moyen Âge, on assiste à la création d'ateliers et de grandes entreprises, ce qui coïncide avec le passage à l'époque moderne. Dès lors, le mode d'organisation change, et on peut ainsi concevoir que la motivation des salariés diminue en conséquence. À partir de ce moment, l'art de l'organisation et du management deviendra rapidement une nécessité.
Au XVIIIe siècle, Jeremy Bentham conçoit l'individu comme répondant à l'utilitarisme, en particulier en se livrant à une subtile arithmétique des plaisirs.
Kant propose deux origines de la motivation. La première étant le devoir, tandis que la seconde est la satisfaction du désir ou motivation sensible[2].
Dans son journal, Maine de Biran semble considérer la liberté intérieure comme la caractéristique d'une motivation fondamentale ; motivation sans objet particulier, mais avec laquelle toutes les autres devraient entretenir des rapports de dépendance ou de conciliation. Il écrit : « Il est vrai qu'il y a en nous une force propre qui se donne à elle-même sa direction et ne la reçoit qu'autant qu'elle le veut », de nombreuses pages après avoir utilisé une métaphore de circonstance : « L'homme vertueux porte en lui-même une monarchie où toutes les forces sont soumises à une seule ; où tout fléchit devant la liberté intérieure ». Cette « force propre » et en quelque sorte « royale » n'est autre que l'âme ; celle-ci ayant pour vassales les différentes puissances de l'être et ses motivations.
Dans sa conception de rivalité des motifs d'action, Arthur Schopenhauer qualifie le motif vainqueur comme celui qui répond le mieux au vouloir vivre de la personne.
Au début du XXe siècle, le taylorisme, et un peu plus tard le fordisme, ont mis en place l'organisation scientifique du travail (OST). D'après Taylor, qui ne tient pas compte des motivations intrinsèques du salarié, la motivation est la conséquence du salaire. Cette conception tend à déshumaniser le travail.
« Les conséquences du taylorisme sévissent encore maintenant dans nos entreprises »[3], bien que l'on sache aujourd'hui que le salaire n'est pas un facteur de motivation du salarié, mais un facteur de satisfaction, et que la parcellisation de la tâche implique une « exécution passive du travail, sans implication personnelle »[3].
Au milieu du XXe siècle, la motivation a été étudiée en France par la « psychologie des tendances » ou « inclinations » : « tendances primitives » voisines de l'instinct, « tendances sociales », « tendances idéales », etc.
Problématique de la motivation

S'interroger sur la motivation d'un comportement est une démarche inductive : le constat objectif étant insatisfaisant, on suppute l'existence d'une composante subjective ; composante dont la connaissance aurait une vertu explicative en rapport avec ledit constat.
Considérant par exemple deux individus, par ailleurs fort différents, mais exprimant la même ambition apparente (telle une candidature à un même poste) ; le réflexe sera de chercher à découvrir chez l'un et chez l'autre une composante particulière qui expliquera une convergence de leurs comportements que leurs singularités auraient dû empêcher. Chez l'un, d'une manière ou d'une autre, on identifiera un goût du pouvoir, et chez l'autre par exemple un opportunisme…
La démarche inductive, à laquelle incite le questionnement quant à la motivation, est absolument la même que celle que la science psychologique déploie généralement à l'égard de la personne : « Mais comment fonctionne cet animal singulier pour se manifester avec si peu de cohérence ? Ou tant de variété ? ».
Cela revient à dire qu'on ne peut parler pratiquement de « motivation » sans se situer plus ou moins explicitement dans un cadre conceptuel ou théorique du sujet. Mettre en avant la notion de « motivation » engage, dans une forme ou une autre, la causalité ; pousse à vérifier un certain « mécanisme ». Cela ne signifie pas que parler de motivation soit nécessairement une forme de réductionnisme, mais assurément « autant d'écoles psychologiques, autant de motivations ! ».
Maintenant reconnaître la motivation comme tributaire ou emblématique d'une théorie donnée questionne la pertinence de ce concept :
- La motivation a-t-elle un contenu valide dans toute théorie du sujet ? Ou existe-t-il au moins une théorie incompatible avec tout usage de cette notion ? Et pourquoi ?
- Peut-on élire la motivation comme objet théorique assez général pour favoriser la synergie des différentes écoles ? Sans que l'une n'impose son modèle aux autres…
- Question qui — dans une approche plus épistémologique — peut prendre une autre forme : malgré ou à cause de son ambiguïté conceptuelle, la motivation ne pourrait-elle permettre une connaissance réunifiée du sujet, au-delà des approches partielles ?
Pour être crédible, l'hypothèse de cette dernière question doit résister à une dramatisation de l'ensemble de ces interrogations. Ainsi en réduisant provisoirement chaque théorie à un système causal, on peut facilement préjuger qu'à maintes reprises, telle motivation sera vue comme cause dans un système en même temps qu'effet dans un autre, la « vraie » motivation étant plus en amont ; cette divergence essentielle interdisant toute conciliation sauf à entreprendre des réformes.
Ces questions explicitées, une exploitation rationnelle du concept « motivation » passe par une approche systémique, chaque sujet considéré comme le cadre d'une certaine dynamique énergétique (« système individuel ») ; dynamique elle-même analysée au sein de tel ou tel « système » de psychologie dans tel et tel milieu.
Modèles de motivation
Selon la complexité de l'organisme étudié, les éléments théoriques peuvent plus ou moins se simplifier en modèles adaptés aux objectifs. On peut par exemple concevoir la motivation comme déterminée par la recherche d’expériences positives et par l’évitement d'expériences négatives ; une personne pouvant être conduite à l’automutilation ou à la violence parce que son cerveau est disposé à créer une réponse positive à ces actions.
Selon une autre optique, les intérêts subjectifs existeraient avant l'entrée en scène de la motivation, celle-ci ayant pour seul rôle de mobiliser l'individu entre ces préférences et les buts proposés : la motivation ne gère plus l'orientation du comportement, mais uniquement ses aspects dynamiques.
L'intérêt des modèles diverge selon qu'ils se préoccupent de « concurrence » entre individus ou de « concurrence » entre intérêts individuels :
- Les simplifications théoriques et les modèles permettent de faire des hypothèses sur les raisons de la diversité des comportements et c'est dans cette perspective que les modèles de motivation sont élaborés et validés. Dans certains secteurs, en particulier l'enseignement, ces modèles servent eux-mêmes de base à des échelles de motivation ;
- Les modèles peuvent au contraire faire obstacle aux efforts d'élucidation des processus profonds en cause ; par nature, tout modèle de motivation est inapte à rendre compte du processus de délibération lui-même. Demeurant toujours en deçà de l'intégration des divers paramètres intéressant l'individu, un irréductible facteur d'autodétermination (idiosyncrasie, libre-arbitre…) borne la portée du modèle ainsi que son intérêt prédictif. « À chaque personne, sa motivation ! ».
Théories de la motivation humaine
On parle de « théorie de la motivation » pour désigner les préconceptions qui ont présidé généralement à l'élaboration d'un modèle de motivation. On recense ainsi un grand nombre de « théories » :
- théorie de l'attribution ;
- théorie de l'autodétermination ;
- théorie de l'autorégulation ;
- théorie de l'efficacité personnelle ;
- théorie de l'expectation ;
- théorie du comportement planifié.
À chaque époque, ses conceptions de l'homme et ses théories de la motivation (Little 1999, McAdams 1999). Les bases classiques des théories sont :
- les pulsions et la réduction de la tension (plaisir) ;
- les exigences de croissance et d'actualisation de soi ;
- les bénéfices de la stabilité et de prévisibilité ;
- les gratifications de la réussite (théorie des buts).
Selon certains auteurs[4], on peut classifier les différentes théories de la motivation au travail en deux grandes catégories :
- Théories de contenu. « Ces théories ont pour objet d'énumérer, de définir et de classifier les forces qui incitent un individu à adopter un comportement. »
- Théories de processus. « Ces théories tentent d'expliquer comment les forces interagissent avec l'environnement pour amener l'individu à adopter un comportement particulier. »
Théories des besoins
Théorie de la hiérarchie des besoins d'Abraham Maslow (1943)

La théorie de la hiérarchie des besoins d'Abraham Maslow[5] hiérarchise les besoins, et dit que plus on se situe à un échelon proche du haut de la pyramide, et plus la motivation est importante. Mais on ne peut accéder aux niveaux supérieurs que si les besoins plus primaires, soit inférieurs dans la hiérarchie postulée, sont satisfaits. Dans un premier temps, il est primordial pour l'être humain de combler ses besoins physiologiques, suivis de ses besoins de sécurité. Dans cette logique de hiérarchie, il ne peut combler ses besoins de sécurité avant d'avoir comblé ses besoins physiologiques. Entrent ensuite en jeu les besoins sociaux, le besoin d'estime de soi et pour terminer, les besoins d'actualisation.
Cette théorie précise également que « ces besoins ont une structure multidimensionnelle »[6], c'est-à-dire que d'un sujet à un autre, le « niveau de satisfaction des besoins »[6] n'est pas le même. Ainsi, certaines « catégories » d'individus ignorent certains niveaux. Exemple : la relation entre artistes et besoins de type physiologique (se nourrir, dormir).
Cette théorie est très critiquée à l'heure actuelle, du fait que de nombreuses données montrent que plus on assouvit un besoin, plus on cherche à le satisfaire. La satisfaction des besoins se fait selon une suite logique.
Théories X et Y concernant les motivations au travail
En 1960, Douglas McGregor tenta d’expliquer ce qui pousse les gens à travailler en élaborant les théories X et Y. Globalement, ces théories présentent les motivations des employés telles qu’elles sont perçues par les gestionnaires[7].
Selon la théorie X, les gens, en général, entretiennent une aversion pour le travail, n’ont pas d’ambition et fuient toute forme de responsabilités. Les gestionnaires qui adhèrent à cette perspective considèrent qu’il faut continuellement modifier, contrôler et diriger le comportement de leurs subordonnés afin de satisfaire les besoins de l’organisation. Ainsi, si les dirigeants n’exercent pas un contrôle strict et rigoureux, les employés risquent de ne pas adopter les comportements conduisant à l’atteinte des objectifs organisationnels.
Selon la théorie Y, les gens aiment travailler, c’est-à-dire qu’ils éprouvent du plaisir à effectuer leur travail. Par conséquent, le travail, au même titre que les loisirs ou les activités récréatives, représente une source potentielle de valorisation et d’émancipation. Les gestionnaires qui adoptent ce point de vue considèrent que les travailleurs recherchent les responsabilités et l’autonomie et qu’ils font preuve d’initiatives et de créativité dans l’accomplissement de leurs tâches.
Théorie des deux facteurs d'Herzberg (1959)
Le grand apport de cette théorie, « parmi les travaux les plus classiques »[8], est qu'elle montre que la motivation peut être influencée par des facteurs externes, appelés extrinsèques.
Pour Herzberg[9], la motivation varie selon des facteurs internes, mais la démotivation influe selon les facteurs externes, qu'il appelle facteurs d'hygiènes.
Ainsi, la motivation n'est possible que si les facteurs d'hygiènes sont satisfaits. Mais il n'y a pas motivation pure. Ces deux concepts (motivation et démotivation) sont donc parallèles, et ne relèvent pas d'un continuum.
Les travaux d'Herzberg ont néanmoins suscité de nombreuses critiques. La méthode utilisée pour le recueil des données est souvent critiquée car source de biais. En effet, la méthode des incidents critiques consistait à recueillir les moments où les salariés se sont sentis heureux et les moments où ils se sont sentis mécontents. Procédant ainsi, les conclusions établissent que seuls les facteurs intrinsèques (accomplissement de soi, travail en lui-même, responsabilités) contribuent à la satisfaction, leur absence menant à des états neutres. Les facteurs extrinsèques (rémunération, qualités du hiérarchique…) diminueraient l'insatisfaction, mais n'influenceraient pas ou peu la satisfaction. La répartition entre facteurs internes et externes peut être interrogée. On peut en effet se demander si les responsabilités confiées sont un facteur interne ou externe. Plus globalement, ce modèle confond allègrement deux notions aujourd'hui clairement distinctes : motivation et satisfaction. Cette critique est portée par des auteurs comme Claude Levy-Leboyer ou Robert Francès[10]. L'intérêt de ce modèle est d'avoir engendré le mouvement dit de l'enrichissement au travail.
Théorie du besoin de réalisation de McClelland (1961)
La théorie des besoins (en) est construite à partir de la mesure des besoins, à l'aide du TAT. David McClelland fait ressortir trois types de besoins se trouvant au sommet de la pyramide de Maslow, déterminant la motivation au travail :
- Les besoins de réalisation, qui renvoie à l'envie de réussir (accomplissement) ;
- Les besoins de pouvoir, qui renvoie à la volonté d'avoir de l'influence sur autrui ;
- Les besoins d'affiliation, qui renvoie au besoin d'entretenir des relations sociales satisfaisantes.
Ainsi, ces trois facteurs semblent avoir comme objectif de montrer que « la volonté de réussir est une auto-motivation puissante »[11].
Théorie ESC d’Alderfer
Théorie de motivation (connue en anglais sous le nom de ERG Theory), qui est basée sur trois facteurs : l’existence, la croissance et la sociabilité.
Clayton Alderfer s’est inspiré de la théorie de Maslow, qui soutient une hiérarchie des besoins. Elle reprend la classification des besoins de la pyramide des besoins de Maslow, mais sans en considérer la hiérarchie. Ces besoins sont vus comme étant complémentaires. Elle est utilisée en gestion pour faciliter le travail des spécialistes en ressources humaines[12].
Trois facteurs
Existence
Le besoin d’existence est composé des deux catégories de base de la pyramide des besoins de Maslow : la sécurité et les besoins physiologiques. Ce facteur est influencé, en milieu de travail, par la rémunération et les conditions de travail principalement. Une fois ces facteurs contrôlés, les gestionnaires verront leurs employés plus motivés et plus accomplis[13].
Sociabilité
L’être humain a besoin d'amour et d’appartenance. Il ressent le besoin d’être associé avec des gens. Il a besoin d’interaction et d'être reconnu au sein d’un groupe[13].
Croissance
L’être humain a besoin de s’épanouir. Il doit faire preuve d’ambition pour pouvoir accomplir de nouvelles choses et grandir en tant qu’individu. En se fixant et en réalisant des objectifs, il se sent comme une personne plus épanouie[13].
Théorie des caractéristiques de la tâche (1968)
Cette théorie a eu, pour effet historique, un enrichissement du travail, par le fait de la nature de la tâche proposée par l'auteur. Pour Hackman, le chercheur à son origine, on trouve cinq facteurs influençant la motivation :
- La variété des tâches (V) ;
- Les tâches pouvant être réalisées entièrement (I pour identité) ;
- La signification des tâches (S) ;
- L'Autonomie individuelle (A) ;
- Un retour sur ses activités (F pour feedback).
Hackman et Oldham proposent une formule permettant de calculer un score de motivation :
| . |
Plus tard, en 1976[14], ces deux auteurs ajoutent plusieurs facteurs dont un important, le désir de reconnaissance, qui affectera les cinq autres.
Théorie de l'autodétermination
Théorie de l'autodétermination[15]
Parmi les principales théories qui permettent de mieux comprendre et de mieux expliquer la motivation, on retrouve la théorie de l'autodétermination (Deci et Ryan, 1985, 1991). Cette théorie a pour objectif de faciliter l'identification des différents facteurs du contexte social qui viennent affecter la motivation. La théorie propose l'existence de différents types de motivations autodéterminées qui ont des répercussions importantes sur le développement de la personne (Piché, 2003).
Selon la théorie de l'autodétermination, trois besoins psychologiques sont à la base de la motivation humaine : le besoin d'autonomie, le besoin de compétence et le besoin d'appartenance sociale. La satisfaction de ces trois besoins devrait favoriser le niveau de bien-être et des formes de motivations plus autonomes.
L'apport central de cette théorie est d'envisager la motivation plus uniquement à travers une dimension quantitative (avoir plus ou moins de motivation), mais à travers une dimension qualitative (pourquoi je fais ce que je fais).
Deci et Ryan (1985) catégorisent ainsi plusieurs formes de motivations variant selon un continuum d'autodétermination[16].
Motivation intrinsèque et extrinsèque[17]
Cette théorie, initialement présentée par Richard Deci en 1975 et enrichie par Deci et Ryan (1985, 2000) permet de distinguer deux types de motivation :
- La motivation intrinsèque : « Doing something because it is inherently interesting and enjoyable ». Si un individu est motivé intrinsèquement pour une activité, c'est-à-dire qu'il va faire cette activité pour le plaisir que lui procure son exécution. Les étudiants intrinsèquement motivés n'hésitent pas à mettre plus d'effort, à être plus persistante et à apprendre plus profondément.
- La motivation extrinsèque : « Doing something because it leads to a separate outcome ». Si un individu est motivé extrinsèquement pour une activité, il fera cette activité parce qu'il y est poussé par des éléments extérieurs ou pour l'obtention d'une récompense que lui procurerait la réalisation de cette activité (exemples : compétitions, punition, récompense, pression sociale, contraintes).
Par la suite, les auteurs ont différencié différentes formes de motivation extrinsèque[18].
Les études indiquent qu'en général une récompense externe a tendance diminuer la motivation intrinsèque. En effet, lorsqu'un individu a une motivation intrinsèque à réaliser une tâche, une récompense peut externaliser les raisons pour lesquelles l'individu agit[19].
Théorie des buts d'accomplissement
La théorie des buts d'accomplissement (en) est une théorie proposée par Edwin A. Locke selon laquelle la mise en place d'un objectif précis et difficile à atteindre, suivi d'un feed-back, optimise la performance de l'individu. Les objectifs SMART souvent valorisés dans les environnements professionnels s'inspirent de cette théorie.
Théorie de l'auto-efficacité
Théorie selon laquelle la motivation dépend du sentiment d'auto-efficacité, c'est-à-dire la croyance selon laquelle un individu pense être capable d'exécuter une tâche. Cette théorie a été élaborée par Albert Bandura.
Théorie V.I.E de Vroom (1964)
Cette théorie[20] cognitiviste, appelée aussi « la théorie du résultat escompté »[21], repose sur trois concepts :
- La « valence » (V) : c'est la valeur, positive ou négative, que l'on attribue au résultat de ses actions ou de sa performance. C'est répondre à la question : ce que j'obtiens en retour pour ma performance accomplie, c'est important ou pas pour moi ? Dans le cadre du travail, par exemple, l'important pour certains peut être le niveau du salaire, pour d'autres d'avoir du temps libre. Ces préférences sont mesurables sur une échelle de −10 à +10 ;
- L'« instrumentalité » (I) : est-ce que la performance est corrélée avec le résultat ? C'est la probabilité perçue du lien entre la performance à atteindre et ce que j'escompte en retour. C'est répondre à la question, si je fais ceci, alors est-ce que j'obtiendrai cela en retour ? Mesurable sur une échelle de 0 à 1 ;
- L'« attente » (E) : est-ce que l'effort aboutit à une performance ? c'est répondre à la question, si je me mobilise pour faire cela, est-ce que j'arriverai à cette performance ? Mesurable sur une échelle de 0 à 1.
| Effort fourni | →(E)→ | Performance | →(I)→ | Rétributions | →(V)→ | Objectifs personnels |
| Lien effort performance | Lien performance rétribution | Lien rétribution objectifs |
Une description de ce modèle de motivation en français se trouve dans le traité de psychologie du travail de C. Levy-Leboyer et J.C. Spérandio paru au PUF en 1987 ou dans Legrain H., Motivation à apprendre : mythe ou réalité ?, L'Harmattan, 2003, p. 42-51. L'intérêt de ce modèle est que des recherches quantitatives ont pu montrer un lien entre la motivation, ainsi mesurée, et les efforts déployés dans un travail ou un apprentissage.
Vroom propose une formule calculant la force de la motivation (F) :
| . |
Théorie de l'équité d'Adams (1963, 1965)
Selon cette théorie (1963[22], 1965[23]), l'individu calculerait un « score » pour lui-même, et un score pour autrui, afin de déterminer s'il y a une « justice sociale ». La motivation viendrait donc des représentations mentales (théorie cognitiviste).
Sachant que R correspond aux Résultats (ex. : salaire), et A à l'Apport (ex. : effort donné) :
- si le score du sujet est égal à celui d'autrui, alors il y a équité, donc il sera motivé ;
- si les scores sont inégaux, alors il n'y a pas équité, et la motivation baisse. Même dans le cas où le sujet serait surestimé, il va perdre de sa motivation, non pas par un changement de comportement, mais par un changement de perceptions.
Théorie du renversement (1982)
Présentée par Michael Apter en 1982[24], la théorie du renversement se préoccupe moins des déterminants biologiques ou environnementaux de la motivation que de sa dynamique dans une approche cybernétique par renversement entre des états relativement stables, dits états métamotivationnels. Elle prétend ainsi rendre compte aussi bien des variations inter-individuelles avec des états préférés que des variations intra-individuelles comme le passage (à environnement constant) de l'ennui à l'euphorie ou de la relaxation à l'anxiété.
Avec la notion d’état métamotivationnel, l'individu apparaît comme moins foncièrement dépendant de pulsions ou besoins vitaux puisque leur satisfaction est l'occasion d'un jeu ou d'une mise en concurrence renouvelée (multistabilité) ; à chaque moment, un point d'équilibre et une forme d'engagement dans l'action sont en définitive toujours prioritaires sur les résultats pratiques de ce comportement.
Quelques paires d'états métamotivationnels ont été dégagées et ont fait l'objet d'essais de validation. La plus connue et la plus importante est la paire état télique/paratélique ; très proche d'ailleurs de la distinction motivation extrinsèque/intrinsèque, le but (telos) au cœur de l'état télique étant la quintessence de la motivation extrinsèque.
Théories du renforcement (béhavioristes)
Selon le béhaviorisme, tenant par principe pour négligeables les caractéristiques individuelles internes, la motivation résulte toujours en premier lieu de facteurs liés plus ou moins étroitement au conditionnement et plus précisément des différents renforcements extrinsèques exercés sur les comportements considérés comme positifs[25].
Les théories de renforcement s'appuient sur l'évitement de la douleur, la recherche du bonheur et du plaisir à moindre frais possible pour expliquer le comportement des individus. Elles opèrent fréquemment au nom de Burrhus Frederic Skinner. Ces éléments peuvent être rattachés à deux concepts du conditionnement opérant, soit le renforcement, évènement qui motive l'individu à reproduire un comportement et la punition, approche qui conditionne l'individu à renoncer à reproduire un comportement. On distingue deux types de renforcement : le renforcement positif et le renforcement négatif[26].
Renforcement positif
Le renforcement positif a lieu lorsqu'un individu mène à bien une tâche et reçoit une récompense extrinsèque (prime) ou intrinsèque (satisfaction ou sentiment d'accomplissement). « A behavior followed by a reinforcing stimulus results in an increased probability of that behavior occurring in the future », Burrhus Frederic Skinner[26].
Ainsi, le processus d'apprentissage aussi bien à l'école qu'à l'entreprise est optimisé quand il y a une récompense[27].
Renforcement négatif
Il diffère du renforcement positif en ce qu'il amène une personne à réagir ou à se comporter d'une manière pour éviter des conséquences désagréables[26].
Motivation entre nature et culture
Engagé dans une situation donnée, l'individu exprime une certaine motivation ; simplement dit de l'« entrain » (ou enthousiasme). En pédagogie, l'on parle de « motivation situationnelle ».
Selon une étude récente (2017), la persévérance peut être apprise à un très jeune âge (dès 15 mois au moins), et notamment si les parents laissent leurs bébés les observer en train de persévérer pour résoudre des choses apparemment difficiles[28].
L'entrain est lui-même fonction d'une motivation plus individuelle correspondant aux attraits personnels de la situation ; par exemple, l'entrain d'un étudiant dans l'étude d'un ouvrage particulier sera en partie dépendant de son goût pour la lecture. On peut parler à ce niveau d'une « motivation habituelle » ; motivation apte à engager l'individu plus ou moins dans toutes les situations favorables à son expression.
La motivation habituelle est prioritairement déterminée par les intérêts profonds de l'individu ou « motivations intimes » et accessoirement par des éléments liés à son histoire, à son développement. Le plaisir (cf. Système hédonique) est un critère central de ce niveau de motivation puisqu'il signale l'adéquation des intérêts avec une forme d'expression possible.
En pédagogie, l'on parle de « motivation contextuelle » : c'est par une motivation contextuelle d'ordre esthétique qu'un élève assistera avec ravissement à un opéra alors qu'à la piscine, c'est le pur plaisir de nager qui l'enthousiasmera.
Ces degrés de motivation entre l'intime et le vécu des expériences successives suffirait à décrire un individu isolé, sans relation, puisqu'il lui suffirait de se laisser dériver au grée des opportunités qui se présenteraient sans avoir aucun compte à rendre. Mais on sait avec Sartre que « l'individu est une abstraction », et que la culture est présente au cœur de l'homme, via la communication, l'éducation, les associations.
Si la nature participe par le plaisir à la motivation, la culture (contrariant en partie la spontanéité) implique le renforcement dans la motivation du critère de l'autonomie. Très tôt l'enfant complète les plaisirs du « manger » ou du « regarder » par la satisfaction de manger ou de regarder ce qu'il entend manger et regarder ; très tôt l'autonomie s'impose à lui comme un instinct essentiel, instinct qui sera diversement reconnu par ses parents. Réagissant aux interférences d'ordre culturel avec ses désirs, le besoin d'autonomie pousse l'individu à rester le maître de ses choix.
La motivation quand elle est déterminée par le plaisir et le sentiment d'autonomie est dite « intrinsèque ».
Pour intime qu'il soit, le besoin d'autonomie n'est pas uniquement une posture défensive, il peut s'exprimer en particulier par le besoin de réussite (Atkinson, 1983). Mais une réussite qui ne répondrait qu'à une nécessité sociale, à une injonction éducative, sera dite « motivée extrinsèquement ».
En résumé :
« Une activité qui est pratiquée pour elle-même, pour son contenu est dite intrinsèquement motivée, tandis qu’une activité qui est pratiquée pour ses effets — pour l’obtention d’une conséquence positive ou pour l’évitement d’une conséquence négative — est dite extrinsèquement motivée[29]. »
Finalement, privée de satisfaction ou de conviction, une personne motivée extrinsèquement n'est pas essentiellement intéressée par l'activité en soi. Dans l'enseignement, cette motivation s'attachera à l'obtention d'une note, d'une appréciation positive du professeur, d'un diplôme.
L'estimation d'un degré de motivation extrinsèque ne doit pas masquer la complexité à la base de la motivation et faire tomber dans un schématisme dans lequel motivations ou individus d'un type ou d'un autre seraient distingués sans grande prudence. Des échelles de motivation basées sur ce modèle essayent d'encadrer cette discrimination.
Cette polarité « intrinsèque/extrinsèque » a été développée comme un continuum dans la théorie de l'autodétermination (Deci et Ryan, 1985, 1991).
Ces auteurs définissent plusieurs degrés d'autonomie (ou perte d'autonomie) en fonction de l'intensité de l'assimilation des contraintes culturelles, depuis la simple prise en compte (« régulation identifiée ») jusqu'à l'« oubli » des aspirations initiales (« régulation externe », opportunisme), le degré intermédiaire étant une intériorisation des contraintes (« régulation introjectée »).
Cependant, cette gradation appliquée à l'apprentissage ne réduit pas le paradoxe du « vouloir l'autonomie » de l'apprenant et l'effet de double contrainte qui en résulte au détriment de l'autonomie ; à ce titre « Ne pas faire obstacle à l'autodétermination ! » est un mot d'ordre de première importance.
La théorie de l'autodétermination parle de « motivation autodéterminée » quand le besoin d'autonomie joue un rôle prioritaire ; elle y ajoute le besoin de compétence et le besoin d’appartenance sociale ; trois besoins psychologiques formant selon elle la base de la motivation humaine.
Bases biologiques impliquées dans la motivation
Les neurosciences ont mis en lumière, ces dernières années, les différentes bases biologiques impliquées dans la motivation. Elles se composent d'hormones, et de différentes parties du système nerveux central. Ces dernières serviront d'éclairages, afin de mieux comprendre certains types de motivation, expliqués ci après.
Hormones et motivation
Une motivation, servant à l'accomplissement d'assouvissement primaire tel que les comportements agressifs et sexuels, peut être expliquée par l'augmentation de certaines hormones. Il est connu, en effet, que lors de l'adolescence par exemple, le taux d'hormone est corrélé positivement et significativement aux comportements agressifs, tournés vers le sexe. Mais ces décharges hormonales ne sauraient être l'explication unique de comportements plus évolués.
Hypothalamus et motivation

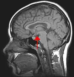
L'hypothalamus peut être également associé à la motivation de comportement assouvissant certains besoins physiologiques tels que la soif et la faim. Cet « expert » du système végétatif, est le « commandeur » de ces comportements. En effet, « l'hypothalamus peut être considéré comme un véritable ordinateur de la vie végétative qui programme les composantes physiologiques de la faim, de la soif, de la sexualité, de l'ovulation, les rythmes de base du sommeil, etc. »[30]. De plus, ce deuxième facteur explicatif de la motivation est directement relié au système limbique, qui est au centre des émotions humaines, et ainsi, permet de déclencher, ou inhiber, des comportements agressifs.
Par exemple, la stimulation de l'hypothalamus médian ventral entraîne le déclenchement de la lutte, alors qu'au niveau dorsal, il déclenche la fuite. L'hypothalamus latéral, stimulé cholinergiquement, déclenche soit la soif, soit l'agressivité.
Système hédonique et motivation
Le système hédonique, ou les réseaux déterminant dans la sensation de plaisir, participe évidemment au déclenchement de cette force qu'est la motivation. Skinner a illustré cela avec sa boîte, où des rats étaient directement stimulés au niveau de ces centres nerveux. Ceux-ci préféraient mourir de faim, ou passer par-dessus un grillage électrifié, plutôt que d'arrêter de se stimuler.
Sources de motivation
Besoins
Besoins physiologiques
Ce genre de motivations est vu comme tel, par la théorie de la pulsion de Hull (1943, 1952)[31]. Les plus faciles à analyser, au moins superficiellement, sont celles basées sur des besoins physiologiques évidents. Cela inclut la faim, la soif et le désir d’échapper à la douleur.
L’analyse des processus qui sous-tendent de telles motivations peut utiliser les recherches sur les animaux, en éthologie, en psychologie comparative et en psychologie physiologique, et celle des processus hormonaux et du cerveau dans ce qui semble commun au moins pour tous les mammifères et probablement tous les vertébrés. Cependant :
- chez les humains, ces motivations de bases sont modifiées et transformées par des influences sociales et culturelles de plusieurs genres : par exemple, aucune analyse de la faim chez les humains ne peut ignorer le problème des troubles de l’appétit comme l’anorexie et l’obésité, pour lesquels les parallèles avec les autres animaux sont peu clairs ;
- même chez les animaux, il est clair que les modèles antérieurs homéostase « manque-approvisionnement » ne sont plus adéquats car de nombreux animaux se nourrissent par précaution plutôt que sur la base de réactions, le cas le plus évident étant celui de la préparation à l’hibernation.
Ainsi, l'activation de l'hypothalamus, qui déclenche des comportements innés, ne peut se faire que par la présence de stimuli intérieurs, couplés à des stimuli environnementaux. Cependant, ces derniers peuvent prendre des formes très complexes (culture…), ce qui démontre que la motivation même des comportements innés n'est pas si simple qu'on pourrait le croire au premier abord.
Autres motivations biologiques
À un autre niveau, on trouve d'autres motivations ayant une base biologique évidente mais qui ne sont pas nécessaires pour autant à la survie immédiate de l’organisme. Cela inclut les motivations puissantes pour le sexe, le soin parental et l’agression : là encore, les bases physiologiques sont similaires chez les humains et les autres animaux, mais les complexités sociales sont plus grandes chez les humains (ou peut-être comprenons-nous mieux ceux de notre propre espèce).
Dans ces domaines, des analyses à partir de l’écologie comportementale et de la sociobiologie ont offert de nouvelles approches dans les dernières décennies du XXe siècle, mais restent controversées. Peut-être similaire, mais à un autre niveau, est la motivation pour rechercher une stimulation nouvelle — appelée exploration, curiosité ou recherche d’une excitation.
Un problème crucial dans l’analyse de telles motivations se pose quand elles ont un composant homéostatique, qui peut augmenter avec le temps s’il n’est pas déchargé ; cette idée fut un composant clé des analyses du début du XXe siècle comme chez Freud et Konrad Lorenz, et elle est un facteur important de la psychologie populaire de la motivation. « La perspective psychodynamique cherche à découvrir les motifs et les influences inconscientes qui s'organisent autour des pulsions sexuelles et agressives pour orienter le comportement (Freud, 1915) »[32]. Les décennies ultérieures, mieux informées au niveau biologique cependant, impliquent que de telles motivations sont situationnelles et apparaissent quand elles sont (ou semblent être) nécessaires pour assurer la bonne forme de l’animal ; elles se résorbent sans conséquence quand leur occasion passe.
Buts secondaires
Les besoins biologiques secondaires importants tendent à engendrer des émotions plus puissantes et donc des motivations plus importantes que d'autres besoins. L'une des études les plus connues est celle d'Abraham Maslow avec sa célèbre pyramide des besoins. Une distinction peut être faite entre motivation directe et indirecte. C’est par exemple le cas entre un cadre de travail agréable et la rémunération liée à cette activité.
Autres types de besoins
Outre les besoins physiologiques, d'autres types de besoins peuvent intervenir en tant que source de motivation. Les besoins psychologiques tels que les besoins d'estime de soi, d'accomplissement, de pouvoir, d'intimité, sont une source importante, ainsi que les besoins sociaux tels le besoin d'avoir des relations interpersonnelles.
Émotions
Les émotions, telles que la joie et la peur, sont également d'importantes sources de motivations.
Exemple de petit jeu pédagogique (artisanal) pour les enfants où la motivation se marie avec le renforcement (drill) des connaissances. Une question (épeler un mot, réciter ses tables de multiplications, traduire un mot dans une autre langue, etc.) est posée à un élève qui appuie sur le bouton vert ou rouge en fonction de la réponse, bonne ou incorrecte. Chaque impulsion allume une diode. À la fin de la série, un smiley spécifique s'affiche en fonction du score. Ce jeu constitue un très bon renforcement positif et donne l'envie de se dépasser sans se sentir jugé.
Cognitions
Certaines sources de motivation font appel à la cognition, par exemple les buts qu'on se fixe et les valeurs auxquelles on adhère.
Sources externes
Certaines sources externes à l'organisme peuvent nous motiver ou influencer notre comportement et éventuellement devenir des motivations internes. Par exemple, le renforcement positif ou l'apprentissage par observation sont deux formes de sources externes qui à la longue peuvent recruter de l'intérêt.
Coercition
La plus évidente forme de motivation externe est la coercition, quand l’évitement de la douleur ou d’autres conséquences négatives a un effet immédiat. Quand une telle coercition est permanente, elle est considérée comme un esclavage. Bien que la coercition soit considérée du point de vue éthique comme répréhensible par beaucoup de philosophies, elle est largement pratiquée sur les prisonniers et aussi sous la forme de la conscription. Les critiques du capitalisme moderne déclarent que sans réseaux de protection sociale, l’esclavage des salariés serait inévitable.
Contrôle de la motivation
Le contrôle de la motivation n’est compris que d’une manière partielle. Il y a de nombreuses approches de l’« entraînement à la motivation », mais beaucoup sont considérées comme de la pseudoscience. Comprendre le contrôle de la motivation implique d'aussi comprendre la démotivation.
Récemment des activités non-rémunérées comme le surf sur l’Internet sont devenues une préoccupation pour les employeurs notamment dans les pays dits riches. Des entreprises ont utilisé des tactiques contraignantes pour contrer cette addiction, et d’autres cherchent à définir des limites ou appliquent des représailles dans les cas extrêmes. Même pour les utilisateurs « à domicile », la dépendance à Internet, aux jeux vidéo ou à la télévision pose un problème de désir.
Leur utilisation peut être expliquée par une boucle de renforcement positif rapide par fourniture d’endorphine, une famille ersatz et l'alimentation de la curiosité. On sait que les connexions neuronales sont augmentées par la répétition de l’activité, ce qui signifie qu’il est plus facile de recommencer une action (l’habitude) que de faire quelque chose de nouveau.
La question clé pour la motivation est alors : quelles activités engendrent une réponse émotionnelle positive, et lesquelles ne le font pas ? Les réponses à cette question sont explorées de plus en plus par la neuropsychologie. « [Parmi] les principaux thèmes des neurosciences cognitives [on trouve la] neurobiologie des états de vigilance et de motivation mis en jeu par les comportements orientés vers un but »[33]. On sait que pour la plupart des gens, les activités qui comprennent de fortes impressions audiovisuelles ont un effet émotionnel plus important. Des informations seulement issues d'un texte, à l’inverse, sont habituellement peu motivantes. Cela semble intuitif vu que lire est une capacité entraînée à un haut niveau cortical alors que de grandes parties du cerveau sont affectées au traitement de l’audiovisuel.
Les humains étant des animaux sociaux, il apparaît aussi naturel que les connexions sociales jouent un rôle crucial dans la motivation. On connaît peu de choses sur la manière dont le cerveau humain traite de telles relations, mais elles sont a priori puissantes. Comme des raisons personnelles peuvent gêner les programmes de contrôle des motivations, on essaye d’apprendre aux enseignants et dirigeants à trouver des relations pour leurs sentiments personnels ailleurs qu’avec leurs étudiants et employés.
les techniques d'optimisation du potentiel (TOP) sont une forme d'auto-contrôle de la motivation, allant de la stimulation de l'attention à l'auto-induction d'une hypovigilance quand le repos est nécessaire.
Programmation précoce

Les images par la résonance magnétique (IRM) contemporaine ont procuré un support empirique solide pour la théorie psychologique selon laquelle la programmation émotionnelle est largement définie dans l’enfance, d’autant qu’à l’âge de neuf mois le cerveau a déjà 95 % du volume qu’il aura à l’âge adulte.
Autocontrôle
L’autocontrôle de la motivation est de plus en plus compris comme un sous-ensemble de l’intelligence émotionnelle. Une personne peut être très intelligente selon une définition conservatrice (mesurée par de nombreux tests d’intelligence), mais non motivée pour dédier son intelligence à l'accomplissement de certaines tâches. La théorie de l'expectation (ou des attentes, ou encore de l'espérance) de Victor Vroom fournit une valeur (la valence, cf. théorie de Vroom) qui montre cette idée d’autocontrôle, c'est-à-dire cette envie de poursuivre un but particulier.
L’autocontrôle est souvent en contraste avec le processus automatique de stimulus-réponse, comme dans le paradigme du comportement de B.F. Skinner.
Si un enfant prend l'identité d'un personnage fictif pour accomplir une tâche, il a été observé que l'enfant a une persévérance accrue pour performer comme s'il était le personnage[34].
Organisation
À côté des approches directes à la motivation, commençant tôt dans la vie, il est des solutions qui sont plus abstraites mais peut-être néanmoins plus pratiques pour l’automotivation. Dans la pratique, chaque livre-guide de motivation inclut au moins un chapitre sur la bonne organisation des tâches et buts de chacun. On indique par exemple qu’il est indispensable de maintenir la liste de ce qui est fait et de ce qui reste à faire et d’éviter que la routine ne fasse baisser l’attention. Beaucoup d’organiseurs de poche qui gèrent ces listes ne font que supprimer ce qui est fait au lieu de le garder dans une liste séparée.
Il existe des programmes plus sophistiqués qui montrent l’évolution du réseau.
Un aspect intéressant et relativement négligé par la sociologie est la nature d’assuétude des jeux de rôle qui utilisent un système de points d’expérience et des « niveaux » pour motiver le joueur et l'inciter à continuer ; quand il a gagné suffisamment de points, il peut progresser au niveau suivant, et obtenir ainsi de nouvelles facultés et un statut supérieur dans la communauté, s’il y en a une. Bien que de nombreux systèmes électroniques aient un concept de base des priorités, peu explorent cette possibilité de manière communautaire.
Notes et références
- ↑ Georg Christoph Lichtenberg, Le Miroir de l'âme, Corti, 1997 (ISBN 2-7143-0610-1).
- ↑ Ludovic Robberechts, Essai sur la philosophie réflexive, J. Duculot, 1971, p. 45 (ISBN 2-87037-050-4).
- 1 2 Roger Moyson, Le Coaching — Développer le potentiel de ses collaborateurs, De Boeck Université, 2e tirage, 2004, p. 58.
- ↑ Extrait (p. 79-119) tiré du livre Psychologie du travail et comportement organisationnel, 3e éd., par Simon L. Doland, Éric Gosselin et Jules Carrière, 2007, Les Éditions de la Chenelière inc.
- ↑ (en) Maslow, Motivation and personality, Harper, New York, 1954.
- 1 2 Paul Pellemans, Le Marketing qualitatif — Perspective psychoscopique, De Boeck Université, p. 41 (ISBN 2-8041-1589-5).
- ↑ Simon L. Doland, Éric Gosselin et Jules Carrière, Psychologie du travail et comportement organisationnel, 3e éd., Les Éditions de la Chenelière inc., 2007, p. 79-119
- ↑ Gustave-Nicolas Fischer et Jacqueline Vischer, L'Évaluation des environnements de travail — la Méthode diagnostique, De Boeck Université, p. 23 (ISBN 2-8041-2611-0).
- ↑ Frédérick Herzberg et Charles Voraz, Le Travail et la Nature de l'homme, Entreprise moderne d'édition, Paris.
- ↑ Robert Francès, Motivation et efficience au travail, Mardaga, 1995;
- ↑ Sylviane Fritz, Moi et le management — Être l'acteur de son développement personnel, De Boeck Université, p. 67 (ISBN 2-8041-2672-2).
- ↑ Dictionary of Human Resource Management, p. 112-112, Oxford University Press, 2001, édition en ligne : mars 2011.
- 1 2 3 Cecil A. Arnolds & Christo Boshoff (2002). Compensation, esteem valence and job performance: an empirical assessment of Alderfer's ERG theory. International Journal of Human Resource Management, 13(4), 697-719. Routledge Taylor & Francis group. https://doi.org/10.1080/09585190210125868 édition en ligne : mars 2011.
- ↑ (en) J. R. Hackman et G. R. Oldham, « Motivation through the design of work: Test of a theory », dans Organizational Behavior and Human Performance no 16, p. 250.
- ↑ (en) Edward L. Deci et Richard M. Ryan, « Conceptualizations of Intrinsic Motivation and Self-Determination », dans Intrinsic Motivation and Self-Determination in Human Behavior, Springer US, (ISBN 978-1-4899-2273-1, DOI 10.1007/978-1-4899-2271-7_2), p. 11–40.
- ↑ Joran FARNIER, « Théorie de l'auto-détermination, motivation et bien-être », sur La psychologie positive, (consulté le )
- ↑ (en) Richard M. Ryan et Edward L. Deci, « Intrinsic and Extrinsic Motivations: Classic Definitions and New Directions », Contemporary Educational Psychology, vol. 25, no 1, , p. 54–67 (ISSN 0361-476X, DOI 10.1006/ceps.1999.1020).
- ↑ Edward L. Deci et Richard M. Ryan, « Favoriser la motivation optimale et la santé mentale dans les divers milieux de vie. », Canadian Psychology / Psychologie canadienne, vol. 49, no 1, , p. 24–34 (ISSN 1878-7304 et 0708-5591, DOI 10.1037/0708-5591.49.1.24, lire en ligne, consulté le )
- ↑ (en) Edward L. Deci, Richard Koestner et Richard M. Ryan, « A meta-analytic review of experiments examining the effects of extrinsic rewards on intrinsic motivation. », Psychological Bulletin, vol. 125, no 6, , p. 627–668 (ISSN 1939-1455 et 0033-2909, DOI 10.1037/0033-2909.125.6.627, lire en ligne, consulté le )
- ↑ (en) Vroom, Work and motivation, New York, Wiley, 1964.
- ↑ Michel Amiel, Francis Bonnet et Joseph Jacobs, Management de l'administration, De Boeck Université, p. 66 (ISBN 2-8041-2615-3).
- ↑ (en) J. S. Adams, « Toward an understanding of inequity », dans Journal of abnormal and social psychology, vol. 67, no 5, p. 422.
- ↑ (en) J. S. Adams, « Inequity in social exchange », dans L. Berkowitz, Advances in experimental social psychology, Academic press, New York, vol. 2, p. 267.
- ↑ (en) Michale Apter, The Experience of Motivation, 1982.
- ↑ Voir notamment l'ouvrage de Burrhus F. Skinner, Pour une science du comportement : le béhaviorisme, Delachaux et Niestlé, Paris, 1979 (traduction de la version anglaise de 1974).
- 1 2 3 Shippensberg University, « Dr C. George Boeree », « Personality theories », en ligne, mars 2011.
- ↑ (en) Palminteri et coll, « Dopamine-dependent reinforcement of motor skill learning », Brain, vol. 134, , p. 2287-2301.
- ↑ Emily Underwood (2017) Slacker parents beware: Your babies may follow in your footsteps ; 21 septembre 2017
- ↑ Sylvie Piché, Précurseurs motivationnels des performances sportive et scolaire, Université Laval, 2003.
- ↑ Alain Lieury, Psychologie générale, cours et exercices, Dunod, Paris, 2000, p. 220 (ISBN 2-10-005273-X).
- ↑ (en) Hull, Behavior system, Yale U. Press, New Heaven, 1952.
- ↑ Carol Tavris et Carole Wade, Introduction à la psychologie — Les Grandes Perspectives, De Boeck Université, p. 267 (ISBN 2-8041-3284-6).
- ↑ Jean Delacour, Une introduction aux neurosciences cognitives, De Boeck Université, p. 14 (ISBN 2-8041-2818-0).
- ↑ (en) Rachel E. White, Emily O. Prager, Catherine Schaefer et Ethan Kross, « The « Batman Effect »: Improving Perseverance in Young Children », Child Development, vol. 88, no 5, , p. 1563–1571 (ISSN 0009-3920, DOI 10.1111/cdev.12695).
Voir aussi
Articles connexes
Bibliographie
- Jean Louis Muller, Olivier Carré et Nathalie Esnault, Motiver aujourd'hui, c'est possible, éditions ESF, 2007 (1re éd., 2003) (ISBN 2-228-88445-6)
- Carol Tavris et Carole Wade, Introduction à la psychologie — Les Grandes Perspectives, De Boeck Université (ISBN 2-8041-3284-6)
- Gaston Cuendet, François Nakobogo et Yves Émery, Motiver aujourd'hui — Facteur clé de succès en période de mutation, Les Éditions d'Organisation, coll. « Pocket Business », Paris, 1986 (ISBN 2-7081-0701-1)
- Alain Lieury, Psychologie générale, Dunod, Paris, 2000 (ISBN 2-10-005273-X)
- Joseph Nuttin, Théorie de la motivation humaine. Du besoin au projet d'action, Presses Universitaires de France, coll. « Psychologie d'aujourd'hui », (présentation en ligne)
- (en) J. Nuttin, Motivation, Planning and Action — A Relational Theory of Behaviour Dynamics, Leuven University Press (ISBN 90-6186-154-3)
- Paul Diel, Psychologie de la motivation - théorie et application thérapeutique, 1re éd., avec préface du Pr Henri Wallon, PUF 1947 - Petite Bibliothèque Payot, 1991 (1re éd., 1969) (ISBN 2-228-88445-6)
- Michel Nekourouh, Les Lettres Perçantes (roman psycho-philosophique), Katamaran Ed. (ISBN 978-2-9534365-0-1)
- Simon L. Doland, Éric Gosselin et Jules Carrière, Psychologie du travail et comportement organisationnel, Les Éditions de la Chenelière inc., 2007, 3e éd., p. 79-119
Liens externes
- Ressource relative à la santé :
- Ressource relative à la recherche :
- Notices dans des dictionnaires ou encyclopédies généralistes :
- L'entretien motivationnel et la théorie de l'autodétermination, article sur les liens entre motivation et autodétermination
- CARPEDIEM (Coordination d'Actions en Réseau pour l'Étude, le Développement et l'Intégration de l'Entretien Motivationnel)
- La motivation au travail, Actupsy
- Un dossier sur la motivation à l'école
- Sur les théories de Maslow et Herzberg (université de Lille) [PDF]
- Site complet sur la théorie du renversement
- AFDEM (Association Francophone de Diffusion de l'Entretien Motivationnel)
- Les 101 théories de la motivation
- Portail de la psychologie