Mastose

Mastopathie kystique diffuse
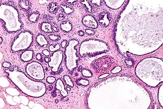
Description de cette image, également commentée ci-après
Histologie de la mastopathie kystique diffuse
Traitement
Spécialité Gynécologie obstétrique
Classification et ressources externes
CISP-2 X88
CIM-10 N60.1
DiseasesDB 4799
MedlinePlus 000912
MeSH D005348

Wikipédia ne donne pas de conseils médicaux Mise en garde médicale

La mastose ou mastopathie kystique diffuse est un terme qui englobe un certain nombre de lésions histologiques bénignes non cancéreuses et non inflammatoires.

Terminologie

Les équivalents donnés par la CIM-10 sont[1] :

  • Maladie kystique du sein
  • Maladie de Bloodgood
  • Maladie de Cooper
  • Dysplasie kystique bénigne de la glande mammaire
  • Hyperplasie de Schimmelbusch
  • Hyperplasie kystique du sein
  • Hypertrophie kystique du sein
  • Maladie fibrokystique du sein
  • Maladie kystique chronique du sein
  • Mastopathie chronique kystique
  • Mastopathie fibrokystique
  • Mastopathie kystique chronique diffuse
  • Maladie de Phocas
  • Maladie de Reclus
  • Maladie de Schimmelbusch
  • Maladie de Tillaux-Phocas

On trouve aussi[2] :

  • Dystrophie ou dysplasie fibrokystique du sein
  • Dysplasie ou dystrophie fibreuse du sein,
  • Mastite chronique kystique
  • Dysplasie mammaire
  • Fibro-adénose
  • Mastopathie kystique
  • Mastose fibrokystique

Épidémiologie

Cette affection bénigne touche au moins 50 % des femmes en âge de procréer[3].

Clinique

La mastopathie kystique diffuse se caractérise par l'apparition, dans les deux seins, de formations kystiques régulières, sans attache avec le tissu sous-jacent.

Le nombre de kystes développés dans un sein peut être minime (1 ou 2) mais il est souvent élevé (plusieurs dizaines). Il réalise alors avec la fibrose adjacente des placards palpables et sensibles, d'allure clinique parfois ambiguë : il peut être difficile de les différencier d'un cancer[4].

Parfois les formations kystiques se trouvent en plus grand nombre dans le quadrant supéro-externe (le plus proche de l'aisselle). Apparaît aussi une mastodynie, avec hypersensibilité des seins et des mamelons, en général liée au cycle menstruel : les symptômes ont tendance à culminer immédiatement avant chaque période de règles et diminuer par la suite.

La palpation retrouve des formations kystiques régulières, mobiles, douloureuses à la pression, de volume et de sensibilité variable en fonction du cycle. On note la présence de douleurs mammaires unilatérales ou bilatérales irradiant à l'épaule ou au bras homolatéral[5].

La mastose est le plus souvent liée à un déséquilibre de l’axe hypophyse ovaire. Il s’agit d’un excès de sécrétion des hormones  hypophysaires, notamment la prolactine. Parallèlement il existe un déséquilibre entre les œstrogènes et la progestérone, en faveur des œstrogènes[6].

Références

  1. Explorateur CIM 10 (+PMSI) (consulté le )
  2. Dictionnaire de l'Académie de Médecine (consulté le )
  3. (en) Susan L. Norwood, « Fibrocystic Breast Disease An Update and Review », Journal of Obstetric, Gynecologic and Neonatal Nursing, vol. 19, no 2, , p. 116–121 (ISSN 0884-2175 et 1552-6909, DOI 10.1111/j.1552-6909.1990.tb01629.x, résumé)
  4. [PDF]P. Bonnier et al., Tumeurs du sein, Faculté de médecine de Marseille, novembre 2005
  5. William Berrebi, Diagnostics et thérapeutique: guide pratique du symptôme à la prescription, De Boeck, , 1373 p. (lire en ligne)
  6. « Mastose | Nutraceutic », sur nutraceutic.org (consulté le )
  • icône décorative Portail de la médecine