Mastoïdite
Mastoïdite
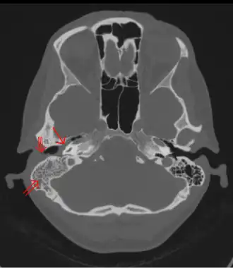
Photographie d'une mastoïdite, inflammation de la mastoïde.
| Spécialité | Otorhinolaryngologie |
|---|
| CIM-10 | H70 |
|---|---|
| CIM-9 | 383.0-383.1 |
| DiseasesDB | 22479 |
| MedlinePlus | 001034 |
| eMedicine |
2056657 ped/1379 |
| MeSH | D008417 |
| Patient UK | Mastoid-and-Mastoiditis |
Mise en garde médicale

Une mastoïdite est une inflammation de la mastoïde. Il s'agit d'une forme de complication de l'otite, pouvant survenir en raison de la communication entre les cavités de l'oreille moyenne et celles de la mastoïde.
Certaines mastoïdites peuvent nécessiter une intervention chirurgicale ORL (mastoïdectomie).
Liens externes
- Ressources relatives à la santé :
- Ressource relative à la recherche :
- Portail de la médecine