Maladie de Panner

Maladie de Panner
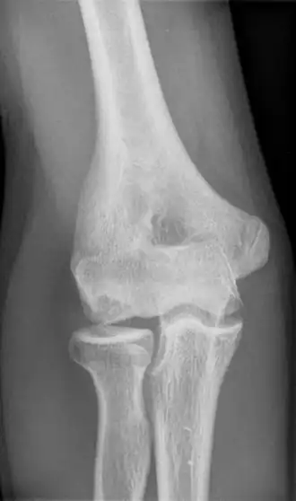
Description de l'image Panner 16J.png.
Classification et ressources externes
CIM-10 M92.0
DiseasesDB 32613

Wikipédia ne donne pas de conseils médicaux Mise en garde médicale

La maladie de Panner (ou ostéochondrose du capitulum )[1] est une nécrose avasculaire localisée au niveau du capitulum de l'humérus menant à une perte d'os sous-chondral fissurant les surfaces articulaires radio-humérale.

La maladie est plus souvent vue chez les enfants de moins de 10 ans.

Notes et références

  1. (en) « Dictionnaire de l'Académie Nationale de Médecine », sur academie-medecine.fr (consulté le ).

Liens externes

  • icône décorative Portail de la médecine