Maladie de Gorham-Stout

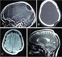
Radiographie du crâne vue latérale (A) montrant une zone ostéolytique dans la région pariétale gauche. CT scan fenêtre osseuse (B), IRM T1W Axiale (C) et T2W Sagittale (D) révélant une anomalie du crâne avec un parenchyme cérébral normal.

La maladie de Gorham-Stout est une ostéolyse spontanée et massive à l'origine d'une résorption progressive de l'os. C'est une maladie rare d'étiologie inconnue qui se manifeste le plus souvent chez l'enfant ou le jeune adulte[1]. Elle se caractérise du point de vue histopathologique par une prolifération des canaux vasculaires à paroi mince dans l'os[2].

Histoire et étymologie

Aussi connue comme « syndrome de Breschet-Gorham », « ostéolyse de Gorham », « syndrome de Gorham », d'après Gilbert Breschet, Lemuel Whittington Gorham et Arthur Purdy Stout.

La première publication de cette maladie a été par JBS Jackson au The Boston Medical and Surgical Journal, qui en décrit pour la première fois la présence de cette affection dans l'humérus d'un garçon de 13 ans[3],[4].

Depuis, plusieurs cas cliniques ont été décrits[5].

Notes et références

  1. Meriam El Amrani et al., « Maladie de Gorham-Stout : amélioration sous biphosphonates. », Rev Mar Rhum, vol. 23, , p. 51-54 (lire en ligne).
  2. (en) Toshimi Aizawa et al., « Gorham Disease of the Spine: A Case Report and Treatment Strategies for This Enigmatic Bone Disease », The Tohoku Journal of Experimental Medicine, vol. 205, no 2, , p. 187-196 (ISSN 1349-3329, DOI 10.1620/tjem.205.187, lire en ligne).
  3. (en) « Article « Gorham's disease » », sur Who Named It?.
  4. (en) John Barnard Swett Jackson, « A boneless arm », The Boston Medical and Surgical Journal, vol. 18, , p. 368-369.
  5. Richard Ballas, « Fourteen years follow-up of massive pelvic girdle osteolysis caused by lymphatic malformation (Gorham-Stout Disease) », sur pubmed,
  • icône décorative Portail de la médecine