Maladie de Castleman

Maladie de Castleman
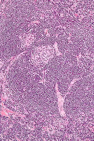
Description de l'image Castleman disease - high mag.jpg.
Traitement
Médicament Siltuximab, rituximab et tocilizumab
Spécialité Immunologie et angiologie
Classification et ressources externes
CIM-10 D36.0
CIM-9 785.6
DiseasesDB 2165
MeSH D005871

Wikipédia ne donne pas de conseils médicaux Mise en garde médicale

La maladie de Castleman (ou tumeur de Castleman, aussi dénommée hyperplasie géante ou angiofolliculaire ganglionnaire, hamartome lymphovasculaire, ou hyperplasie angio-folliculaire des ganglions lymphatiques) regroupe plusieurs troubles lymphoprolifératifs des ganglions lymphatiques qui partagent certaines caractéristiques histologiques communes. Elle atteint au total plus de 5 000 nouveaux patients par an aux États-Unis.

Cette maladie peut être localisée à une unique aire lymphatique (forme « unicentrique ») ou en toucher plusieurs (formes « multicentriques ») avec alors des effets plus systémiques et dangereux. Un sous-type se développe souvent chez des patients infectés par le virus de l'herpès humain HHV8[1] et peut être associé à la maladie de Kaposi.

La maladie de Castleman fait l'objet d'intenses recherches, et depuis peu, d'un processus de recherche collaborative impliquant des médecins, chercheurs et patients : le Castleman Disease Collaborative Network (CDCN)[1].

Histoire

Le nom de cette maladie se réfère à Benjamin Castleman[1], le médecin de Boston qui fut le premier à décrire cette maladie, en 1954, à partir du cas d'un cadre de 40 ans qui souffrait de fièvres accompagnées d'une faiblesse inexpliquée, tout en présentant une masse inhabituelle dans la poitrine[1].

Les médecins ont d'abord soupçonné un cancer ou d'autres maladies mais, une fois la masse retirée chirurgicalement, elle s'est avérée être différente des tumeurs habituelles, présentant des caractéristiques qui la font depuis désigner comme « maladie de Castleman unicentrique », ou localisée[1],[2]. D'autres formes de la maladie ont été ensuite décrites, classées comme suit.

Typologie

De multiples sous-types de la maladie de Castleman ont été décrits[3],[4]. Ces formes sont très différentes les unes des autres, au point d'être parfois considérées comme des pathologies distinctes.

Tout d'abord, on distingue les maladies de Castleman « unicentrique », qui ne touchent qu'une seule aire lymphatique, des formes « multicentriques » qui en atteignent plusieurs.

Forme unicentrique

Sous sa forme monocentrique, il s'agit d'une tumeur bénigne de ganglion lymphatique qui siège toujours[source insuffisante] dans le médiastin[5], classiquement chez les sujets jeunes, avant la quatrième décennie, mais avec des exceptions. Son aspect à l'imagerie est celui d'une adénopathie unique. Cette forme est généralement asymptomatique et son pronostic est le plus souvent favorable[4].

Forme multicentrique

Sous sa forme multicentrique, la maladie de Castleman correspond à une hyperactivation du système immunitaire, ce qui se traduit notamment par la libération excessive de protéines pro-inflammatoires (cytokines), la prolifération de cellules immunitaires (cellules B et les cellules T) associée à de multiples dysfonctionnements d'organes[6]. Dans ce cas-là, ses effets sont systémiques et le risque de complications sérieuses est plus important que dans la forme unicentrique.

Les formes multicentriques sont divisées par les auteurs entre les formes associées au virus HHV-8 (herpèsvirus responsable de la maladie de Kaposi) et les formes idiopathiques, non associées à HHV-8. Parmi ces dernières, on retrouve les maladies de Castleman associées au syndrome POEMS et le syndrome « TAFRO » (sigle correspondant à l'association thrombocytopénie, anasarque, fièvre, fibrose, insuffisance rénale et organomégalie)[7].

Physiopathologie

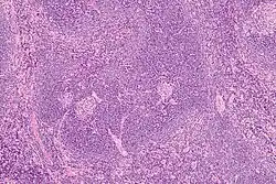
Vue au microscope montrant l'expansion caractéristique de la zone du manteau du ganglion.

Bien que non considérée comme un cancer, cette prolifération de lymphocytes est assez similaire à un lymphome, et d'autres recherches sont nécessaires pour caractériser les petites populations de cellules néoplasiques[8].

Une hypothèse encore à l'étude est qu'il pourrait s'agir d'une sorte de « pré-lymphome » présentant aussi des caractéristiques auto-immunes, où des cellules dans les ganglions lymphatiques se mettent à proliférer et attaquer divers tissus[9].

Les médecins ont mis en évidence le rôle clé d'un messager du système immunitaire, l'interleukine-6 (IL-6) qui est, lors des phases d'expression de la maladie, sécrété en trop grande quantité par les ganglions lymphatiques, déclenchant une réaction inflammatoire massive et délétère soit localement, soit dans tout le corps si plusieurs zones ganglionnaires sont touchées. Mais on ne comprend pas encore l'origine de cette sécrétion anormale. D'une part un médicament supprimant la sécrétion d'IL-6 est dans certains cas inopérant[1], et d'autre part dans un certain nombre de cas la maladie semblerait pouvoir être reliée à un herpèsvirus humain de type 8 (HHV-8), mais ce virus n'est pas retrouvé chez tous les patients (jamais dans les formes monocentriques et dans la moitié des cas des formes multicentriques)[9].

Les patients victimes de la forme multicentrique idiopathique de la maladie ont aussi un risque accru de présenter une hémopathie maligne dans les 2 ans suivant leur diagnostic. Les raisons de cette association sont encore mal comprises[9].

Une hypothèse en cours d'étude est que la prolifération cellulaire dans ces ganglions ne serait pas la cause première de la maladie, mais l'une de ses conséquences[1].

Épidémiologie

Des estimations récentes suggèrent que les différents sous-types de cette maladie sont moins rares qu'on ne l'a d'abord cru. Il y aurait environ 6 500 à 7 700 nouveaux cas par an rien qu'aux États-Unis et dans environ 1 cas sur 4, il s'agit de la forme multicentrique. Elle est par exemple plus fréquente aux États-Unis que la maladie de Charcot qui touche environ 5 600 nouvelles personnes chaque année[10].

La maladie peut survenir à tout âge (même chez de jeunes enfants) et toucher des hommes comme des femmes. La forme monocentrique apparaît plutôt chez les 20-30 ans et la forme multicentrique plus tardivement (plutôt chez les 40-60 ans)[9].

Diagnostic

Symptômes et examen clinique

Les patients peuvent être asymptomatiques[11] ou présenter de nombreux symptômes peu spécifiques[9] :

  • Symptômes pseudo-grippaux : fièvre, sueurs nocturnes, perte d'appétit, nausées et vomissements, faiblesse et fatigue
  • Perte de poids involontaire
  • Adénopathie (augmentation de taille d'un ou plusieurs ganglions lymphatiques)
  • Hépatomégalie (hypertrophie du foie) ou splénomégalie (hypertrophie de la rate)
  • Neuropathie périphérique (engourdissement dans les mains et les pieds)
  • Éruption des hémangiomes cerises (les proliférations bénignes des vaisseaux sanguins) sur la peau
  • Œdème (gonflement), ascite (accumulation de liquide dans l'abdomen), et / ou d'autres symptômes de la surcharge liquidienne
  • Diminution du débit urinaire avec toxicité systémique induite par l'insuffisance rénale
  • Ecchymoses et saignement anormalement facile (à cause de la thrombopénie)
  • Possibilité de symptomes d'anémie (causée par l'inflammation)
  • Risque accru d'infection (causé par la défaillance de la moelle osseuse)
  • Défaillance d'un ou de plusieurs organes dans les formes multicentriques

Biologie

Les analyses biologiques de personnes atteintes présentent souvent des valeurs de laboratoire anormales pour les paramètres suivants :

  • Élévation des taux des marqueurs de l'inflammation comme la protéine C-réactive (CRP) (élément important du diagnostic)[9], le fibrinogène[9] et la vitesse de sédimentation (VS)[9]
  • taux d'hémoglobine faible (anémie) avec faible numération plaquettaire (thrombocytopénie)[9]
  • Lymphocytes polyclonaux[9]
  • Élévation de l'IL-6 et du VEGF[9]
  • Anticorps auto-immuns, tels que les anticorps antinucléaires, les auto-anticorps anti-globules rouges et des anticorps anti-plaquettaires[9]
  • Hypergammaglobulinémie[9]
  • Élévation de la créatinine et de l'azote uréique sanguin, protéinurie[9]
  • Taux d'albumine bas[9]

Examens complémentaires

Ce diagnostic est complexe et nécessite un avis spécialisé en hématologie ou en médecine interne, si possible dans un centre de référence[4]. Il est confirmé par biopsie ganglionnaire pouvant être pratiquée par guidage radiologique ou exérèse chirurgicale[11]. (et par la même occasion le traitement définitif)

L'histologie (biopsie ostéomédullaire) montre des lésions qui peuvent orienter le diagnostic, associant une hyperplasie lymphatique et vasculaire, une plasmocytose, des atypies sur les mégacaryocytes, une fibrose. Toutefois, ces constatations ne sont pas spécifiques[12] et les données histologiques ne permettent pas d'orienter le traitement médicamenteux[13].

La forme idiopathique est de diagnostic difficile et des critères ont été établis par un consensus international[14].

Diagnostic différentiel

La maladie de Castleman doit être distinguée de troubles d'apparence identique (« Castelman-like ») caractéristiques d'atteintes des ganglions lymphatiques, y compris l'hyperplasie réactive des ganglions lymphatiques, des troubles auto-immuns ou certaines tumeurs malignes[15].

Prise en charge

Recommandations

En France, un protocole national de diagnostic et de soin (PNDS) a été élaboré en 2019 pour la maladie de Castleman[4].

Au niveau international, des recommandations internationales sont parues en 2018 pour la forme idiopathique[16] et en 2020 pour la forme unicentrique[17].

Chirurgie et radiothérapie

La forme unicentrique peut bénéficier d'une chirurgie d'exérèse pour retirer le ganglion touché. Quand elle est possible, elle permet la guérison définitive dans la majorité des cas. La radiothérapie peut également être une alternative possible dans ces cas-là[4],[18].

Médicaments

Les traitements utilisés sont des anti-inflammatoires ou des immunosuppresseurs. Le siltuximab, un anticorps monoclonal dirigé contre l'interleukine 6 permet d'améliorer les symptômes de la forme multicentrique[19]. Le rituximab et le cyclophosphamide permettent une réponse dans un patient sur deux[20]. Les corticoïdes sont également utilisés[21].

Pronostic

La forme monocentrique a un très bon pronostic et ne semble avoir aucun impact sur l'espérance de vie[4]. En revanche, les formes multicentriques ont un pronostic plus variable d'un cas à l'autre[4]. Certains sous-types étaient associés à une mortalité de 35 % des cas en 2016 malgré les progrès dans le traitement[9].

Recherche et perspectives

Un médecin lui-même victime de la maladie (qui a failli le tuer à 5 reprises) a abandonné son traitement classique (inhibiteur de l'interleukine 6) au profit d'un immunosuppresseur, traitement qui semble l'avoir protégé (depuis 2,5 ans mi-2016, délai qui n'est pas encore suffisant pour être considéré comme efficace, car des périodes de rémission existent chez les malades)[1].

La piste de facteurs génétiques est également explorée avec le séquençage du génome d'environ 10 patients atteint de la maladie de Castleman et de leurs parents, en comparant les éventuelles variations de niveaux de protéines exprimées lors des phases de poussées et des rémissions de la maladie.

Une stratégie de travail collaboratif a été mise en place par un groupe de médecins, patients et donateurs (« Castleman Disease Collaborative Network » ou CDCN) pour accélérer la recherche sur cette maladie, avec la volonté de traiter les questions prioritaires suivantes (liste 2016)[9] :

  1. Quelles sont les causes de l'activation du système immunitaire ? et de la production de cytokines dans les différentes formes de la maladie, tout particulièrement idiopathiques (UCD & IMCD) ? Parmi les hypothèses explorées figurent celle d'un virus ou un autre agent infectieux pouvant être en cause, celle d'une mutation génétique, celle d'un petit groupe de cellules cancéreuses qui pourraient sécréter des anticorps déclenchant une réaction du système immunitaire (mutation somatique). Une des autres hypothèses explorées est celle d'une production d'auto-anticorps (anticorps dirigés contre les tissus sains) car on en a détecté dans le sang d'au moins 20 % des patients IMCD.
  2. Quelles cellules immunitaires exactement sont responsables de la sécrétion de ces cytokines ? Quelles sont les voies cellulaires impliquées ? Ces questions sont notamment traitées par Vera Krymskaya (UPenn) qui va utiliser l'immunohistochimie et la cytométrie de flux pour déterminer quelles voies sont activés et quels types de cellules sont actives. Des expériences de culture cellulaire sont aussi prévues. Des analyses génétiques de ganglions congelés provenant de porteurs de la maladie sont également prévues.
  3. Quelles sont exactement toutes les cytokines libérées lors de la maladie (au-delà de l'IL-6) et avec quelles variations selon les stades de la maladie ? Les connaître permettrait de mieux comprendre la maladie, mais aussi de produire des tests de diagnostics.
  4. Quelles sont les thérapies existantes les plus efficaces pour interrompre la maladie ?
  5. Développer l'infrastructure de recherche ; pour lever l'un des freins à la recherche, un projet de biobanque d'échantillons est en cours. Il n'existe pas de critère de diagnostic internationalement reconnu, c'est aussi l'un des buts de l'association.
  6. Comment les médecins, les chercheurs et/ou les patients peuvent ensemble contribuer à renforcer la recherche au CDCN ?
Les médecins conduisent la recherche clinique, aident à identifier et prioriser les projets de recherche axés sur les patients, et à regrouper des pannels de patients et collectent des échantillons biologiques nécessaires à la recherche. Ils permettent à des patients de fournir des données et des échantillons pour la recherche.
Les chercheurs font de la recherche clinique, translationnelle et fondamentale pour aider à identifier et prioriser les projets de recherche à fort impact.
Les patients aident à identifier et prioriser les projets de recherche axés sur les patients, ils contribuent à fournir des échantillons, informations et données d'intérêt pour la recherche sur leur maladie. Ils contribuent aussi à la mobilisation de fonds pour financer les études axées sur les patients.

En , le CDCN, l'UPenn, et une société pharmaceutique (encore anonyme) ont signé un accord pour mettre en place un « registre des patients » afin de mieux comprendre la maladie et l’efficacité relative de différents traitements.

Notes et références

  1. 1 2 3 4 5 6 7 8 Couzin-Frankel J. (2016) « A young doctor fights to cure his own rare, deadly disease », Science, 13 juillet 2016 ; DOI: 10.1126 / science.aaf5845.
  2. synd/3017 sur Who Named It?
  3. Dispenzieri A, Fajgenbaum DC. Overview of Castleman disease, Blood, 2020;135:1353-1364
  4. 1 2 3 4 5 6 7 Protocole National de Diagnostic et de Soins (PNDS) pour la Maladie de Castleman, disponible à l'adresse https://www.has-sante.fr/upload/docs/application/pdf/2019-11/pnds_castleman_2019.pdf
  5. (en) Castleman B, Iverson L, Menendez VP, « Localized mediastinal lymphnode hyperplasia resembling lymphoma », Cancer, vol. 9, no 4, , p. 822-30. (PMID 13356266, DOI 10.1002/1097-0142(195607/08)9:4<822::aid-cncr2820090430>3.0.co;2-4)
  6. Fajgenbaum, David; van Rhee, Frits; Nabel, Chris (May 8, 2014). "HHV-8-negative, idiopathic multicentric Castleman disease: novel insights into biology, pathogenesis, and therapy". Blood 123 (19): 2924–33. doi:10.1182/blood-2013-12-545087 . PMID 24622327 .
  7. Nishimura Y, Fajgenbaum DC, Pierson SK et al. Validated international definition of the thrombocytopenia, anasarca, fever, reticulin fibrosis, renal insufficiency, and organomegaly clinical subtype (TAFRO) of idiopathic multicentric Castleman disease, Am J Hematol, 2021;96:1241-1252
  8. "Castleman disease". Mayo Clinic. Consulté 2010-02-03.
  9. 1 2 3 4 5 6 7 8 9 10 11 12 13 14 15 16 17 About Castleman Disease, CDCN, consulté 2016-07-17.
  10. Site d'information sur l'ALS (voir Facts You Should Know).
  11. 1 2 « Orphanet: Maladie de Castleman », sur www.orpha.net (consulté le )
  12. Belyaeva E, Rubenstein A, Pierson SK et al. Bone marrow findings of idiopathic Multicentric Castleman disease: a histopathologic analysis and systematic literature review, Hematol Oncol, 2022;40:191-201
  13. Fajgenbaum DC, Wu D, Goodman A et al. Insufficient evidence exists to use histopathologic subtype to guide treatment of idiopathic multicentric Castleman disease, Am J Hematol, 2020;95:1553-1561
  14. Fajgenbaum DC, Uldrick TS, Bagg A et al. International, evidence-based consensus diagnostic criteria for HHV-8-negative/idiopathic multicentric Castleman disease, Blood, 2017;129:1646-1657
  15. Weng, Chien-Hsiang; Joe-Bin Chen; John Wang; Cheng-Chung Wu; Yuan Yu; Tseng-Hsi Lin (23 August 2011). "Surgically Curable Non-Iron Deficiency Microcytic Anemia: Castleman Disease". Onkologie 34 (8-9): 456–458. doi:10.1159/000331283 PMID 21934347.
  16. van Rhee F, Voorhees P, Dispenzieri A et al. International, evidence-based consensus treatment guidelines for idiopathic multicentric Castleman disease, Blood, 2018;132:2115-2124
  17. van Rhee F, Oksenhendler E, Srkalovic G et al. International evidence-based consensus diagnostic and treatment guidelines for unicentric Castleman disease, Blood Adv, 2020;4:6039-6050
  18. Beckham TH, Yang JC, Chau KW, Noy A, Yahalom J. Excellent outcomes with surgery or radiotherapy in the management of castleman disease including a case of oligocentric disease, Clin Lymphoma Myeloma Leuk, 2020;20:685-689
  19. van Rhee F, Wong RS, Munshi N et al. Siltuximab for multicentric Castleman’s disease: a randomised, double-blind, placebo-controlled trial, Lancet Oncol, 2014;15:966-974
  20. Dong Y, Zhang L, Nong L et al. Effectiveness of rituximab-containing treatment regimens in idiopathic multicentric Castleman disease, Ann Hematol, 2018;97:1641-1647
  21. Liu AY, Nabel CS, Finkelman BS et al. Idiopathic multicentric Castleman’s disease: a systematic literature review, Lancet Haematol, 2016;3:e163-e175

Voir aussi

Bibliographie

Articles connexes

Liens externes

  • icône décorative Portail de la médecine