Lymphome primaire du système nerveux central
| Médicament | Tirabrutinib (en) |
|---|---|
| Spécialité | Oncologie et hématologie |
| CIM-9 | 200.5 |
|---|---|
| DiseasesDB | 29451 |
| eMedicine | 1157638 |
Mise en garde médicale
Le lymphome primaire du système nerveux central (LPSNC), également appelé lymphome primaire à grandes cellules B diffuses du système nerveux central[1], est une tumeur intracrânienne primaire apparaissant principalement chez les patients atteints d'immunodéficience sévère (souvent des patients atteints du sida). C'est un sous-type et l'un des plus agressifs des lymphomes diffus à grandes cellules B [2].
Épidémiologie
Les LPSNC représentent environ 20 % des cas de lymphomes dans les infections à VIH (d'autres types étant les lymphomes de Burkitt et les lymphomes immunoblastiques). Le lymphome primaire du SNC est fortement associé à une infection par le virus d'Epstein-Barr (EBV) (> 90 %) chez les patients immunodéficients (tels que ceux atteints du SIDA ou immunodéprimés)[3], et n'a pas de prédilection pour un groupe d'âge particulier. Le nombre moyen de CD4+ au moment du diagnostic est d'environ 50/uL. Chez les patients immunodéprimés, le pronostic est généralement mauvais.
Chez les patients immunocompétents (c'est-à-dire les patients qui ne sont pas atteints du SIDA ou d'une autre immunodéficience), il y a rarement une association avec une infection à EBV ou d'autres virus à ADN. Dans la population immunocompétente, les PCNSL apparaissent généralement chez les patients âgés de 50 à 60 ans. L'incidence du LPSNC dans la population immunocompétente a augmenté de plus d'un facteur 10, passant de 2,5 cas à 30 cas pour 10 millions d'habitants[4],[5]. La cause de cette augmentation de l'incidence de cette maladie dans la population immunocompétente reste inconnue.
Signes et symptômes
Le lymphome primaire du SNC se manifeste généralement par des convulsions, des maux de tête, des anomalies des nerfs crâniens, une altération de l'état mental ou d'autres déficits neurologiques focaux typiques d'un effet de masse (en)[6],[7]. Les symptômes systémiques peuvent inclure de la fièvre, des sueurs nocturnes ou une perte de poids. Parmi les autres symptômes, on note[8] :
- diplopie ;
- dysphagie ;
- vertige ;
- perte de vision monoculaire ;
- démence progressive ou stupeur chez les patients avec un examen neurologique non focal et des anomalies minimales à l'IRM (plus fréquentes chez les patients atteints du sida) ;
- hypoesthésie faciale.
Diagnostic

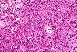
Le diagnostic définitif est établi par un pathologiste à partir d'un tissu, donc d'une biopsie.
L'IRM ou la TDM à contraste amélioré présentent classiquement de multiples lésions d'apparence annulaire (en) dans la substance blanche profonde. Le principal diagnostic différentiel (basé sur l'imagerie) est la toxoplasmose cérébrale, qui est également répandue chez les patients atteints du sida et présente également des lésions d'apparence annulaire, mais la toxoplasmose présente généralement plus de lésions et l'augmentation du contraste est généralement plus prononcée. Les techniques d'imagerie médicale ne permettent pas de distinguer les deux troubles avec certitude ni d'exclure d'autres diagnostics. Ainsi, les patients subissent une biopsie cérébrale.
Classification
La plupart des LPSNC sont des lymphomes diffus à grandes cellules B[9],[10].
Traitement
La résection chirurgicale est généralement inefficace en raison de la profondeur de la tumeur. Le traitement par radiothérapie et corticoïdes ne produit souvent qu'une réponse partielle et la tumeur réapparait chez plus de 90 % des patients. La survie médiane est de 10 à 18 mois chez les patients immunocompétents, et moins chez ceux atteints du sida. L’administration de méthotrexate et d'acide folinique (leucovorine) en intraveineuse peut prolonger la survie à une médiane de 3,5 ans. Si une radiothérapie est ajoutée au méthotrexate, le temps de survie médian peut augmenter au-delà de 4 ans.
Cependant, la radiothérapie n'est pas recommandée en association avec le méthotrexate en raison d'un risque accru de leucoencéphalopathie et de démence chez les patients âgés de plus de 60 ans[11]. Chez les patients atteints du sida, le facteur le plus important en matière de traitement est peut-être l'utilisation de la thérapie antirétrovirale hautement active (HAART), qui affecte la population de lymphocytes CD4+ et le niveau d'immunosuppression[12].
Le plan de traitement optimal pour les patients atteints de LPSNC n'a pas été déterminé. La chimiothérapie et la radiothérapie combinées doublent au moins le temps de survie, mais provoquent la démence et la leucoencéphalopathie chez au moins 50 % des patients qui en subissent. L'agent chimiothérapique le plus étudié dans le LPSNC est le méthotrexate (un analogue du folate qui interfère avec la réparation de l'ADN). Le traitement au méthotrexate chez les patients atteints de LPSNC nécessite généralement une hospitalisation pour une surveillance étroite et des liquides intraveineux. La leucovorine est souvent administrée pendant la durée du traitement. Les schémas chimiothérapeutiques standard pour le lymphome tels que CHOP sont inefficaces dans le LPSNC, probablement en raison d'une mauvaise pénétration des agents à travers la barrière hémato-encéphalique[12].
De nouveaux traitements, tels que la chimiothérapie à haute dose combinée à la greffe de cellules souches autologues, se permettent d'augmenter la survie de plusieurs années[13].
Un essai clinique de phase 1 de l'ibrutinib — un inhibiteur de la tyrosine kinase de Bruton — chez 13 patients a rapporté des réponses chez 10 d'entre eux (77 %)[14]. Cinq de ces réponses étaient complètes.
Pronostic
Chez les patients immunocompétents
La réponse initiale à la radiothérapie est souvent excellente et peut entrainer une rémission complète. Cependant, la durée de la réponse avec la radiothérapie seule reste courte, avec une survie médiane après traitement par radiothérapie de seulement 18 mois. La chimiothérapie à base de méthotrexate améliore considérablement la survie, certaines études montrant une survie médiane après une chimiothérapie au méthotrexate atteignant 48 mois[12].
Chez les patients atteints du sida
Les patients atteints du sida et de LPSNC ont une survie médiane de seulement 4 mois avec la radiothérapie seule. La survie médiane non traitée n'est que de 2,5 mois, en raison d'infections opportunistes concomitantes plutôt que du lymphome lui-même. Cependant, une survie augmentée a été observée dans un sous-groupe de patients atteints du sida présentant un nombre de CD4+ supérieur à 200 et sans infection opportuniste concomitante, pouvant tolérer un traitement agressif constitué soit de méthotrexate en monothérapie soit de vincristine, procarbazine ou radiothérapie du cerveau entier. Ces patients ont une survie médiane de 10 à 18 mois. Bien sûr, la thérapie antirétrovirale hautement active (TARHA ou HAART) est essentielle pour une survie prolongée chez tout patient atteint du sida, de sorte que l'observance de la HAART peut jouer un rôle dans la survie des patients atteints simultanément de sida et de LPSNC[12].
Notes et références
- (en) Cet article est partiellement ou en totalité issu de l’article de Wikipédia en anglais intitulé « central nervous system lymphoma Primary central nervous system lymphoma » (voir la liste des auteurs).
- ↑ Grimm KE, O'Malley DP, « Aggressive B cell lymphomas in the 2017 revised WHO classification of tumors of hematopoietic and lymphoid tissues », Annals of Diagnostic Pathology, vol. 38, , p. 6–10 (PMID 30380402, DOI 10.1016/j.anndiagpath.2018.09.014)
- ↑ Sukswai N, Lyapichev K, Khoury JD, Medeiros LJ, « Diffuse large B-cell lymphoma variants: an update », Pathology, vol. 52, , p. 53–67 (PMID 31735345, DOI 10.1016/j.pathol.2019.08.013)
- ↑ Fine HA, Mayer RJ, « Primary central nervous system lymphoma », Ann. Intern. Med., vol. 119, no 11, , p. 1093–104 (PMID 8239229, DOI 10.7326/0003-4819-119-11-199312010-00007)
- ↑ Eby NL, Grufferman S, Flannelly CM, Schold SC, Vogel FS, Burger PC, « Increasing incidence of primary brain lymphoma in the US », Cancer, vol. 62, no 11, , p. 2461–5 (PMID 3179963, DOI 10.1002/1097-0142(19881201)62:11<2461::aid-cncr2820621135>3.0.co;2-m)
- ↑ Corn BW, Marcus SM, Topham A, Hauck W, Curran WJ, « Will primary central nervous system lymphoma be the most frequent brain tumor diagnosed in the year 2000? », Cancer, vol. 79, no 12, , p. 2409–13 (PMID 9191531, DOI 10.1002/(sici)1097-0142(19970615)79:12<2409::aid-cncr17>3.3.co;2-2)
- ↑ Bataille B, Delwail V, Menet E, etal, « Primary intracerebral malignant lymphoma: report of 248 cases », J. Neurosurg., vol. 92, no 2, , p. 261–6 (PMID 10659013, DOI 10.3171/jns.2000.92.2.0261)
- ↑ Herrlinger U, Schabet M, Bitzer M, Petersen D, Krauseneck P, « Primary central nervous system lymphoma: from clinical presentation to diagnosis », J. Neurooncol., vol. 43, no 3, , p. 219–26 (PMID 10563426, DOI 10.1023/A:1006298201101, lire en ligne)
- ↑ Primary CNS Lymphoma
- ↑ Lukes RJ, Collins RD, « Immunologic characterization of human malignant lymphomas », Cancer, vol. 34, no 4 Suppl, , p. 1488–503 (PMID 4608683, DOI 10.1002/1097-0142(197410)34:8+<1488::aid-cncr2820340822>3.0.co;2-c)
- ↑ Jellinger K, Radaskiewicz TH, Slowik F, « Primary malignant lymphomas of the central nervous system in man », Acta Neuropathol, vol. Suppl 6, no Suppl 6, , p. 95–102 (ISBN 978-3-540-07208-9, PMID 1098380, DOI 10.1007/978-3-662-08456-4_16)
- ↑ Deangelis LM, Hormigo A, « Treatment of primary central nervous system lymphoma », Semin. Oncol., vol. 31, no 5, , p. 684–92 (PMID 15497122, DOI 10.1053/j.seminoncol.2004.07.011)
- 1 2 3 4 Primary CNS Lymphoma~treatment
- ↑ A Omuro et al., « R-MPV followed by high-dose chemotherapy with TBC and autologous stem-cell transplant for newly diagnosed primary CNS lymphoma », Blood, vol. 125, no 9, , p. 1403–10 (PMID 25568347, PMCID 4342354, DOI 10.1182/blood-2014-10-604561)
- ↑ Christian Grommes et al., « Ibrutinib Unmasks Critical Role of Bruton Tyrosine Kinase in Primary CNS Lymphoma », Cancer Discovery, vol. 7, no 9, , p. 1018–1029 (PMID 28619981, PMCID 5581705, DOI 10.1158/2159-8290.CD-17-0613)
- Portail de la médecine