Lymphome à cellules du manteau

Lymphome du manteau
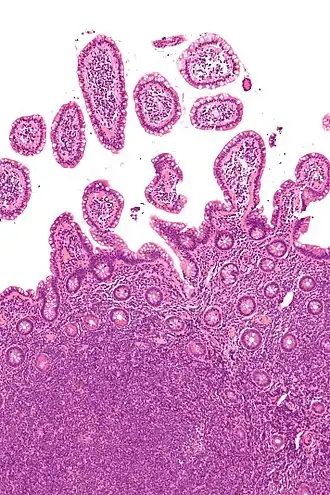
Description de cette image, également commentée ci-après
Biopsie de l'iléon terminal montrant au microscope un lymphome à cellules du manteau (coloration H & E).
Traitement
Médicament Bendamustine, (RS)-lénalidomide, temsirolimus, cytarabine, ibrutinib, idelalisib, bortézomib, dexaméthasone, vénétoclax, rituximab, doxorubicine, afutuzumab et acalabrutinib (en)
Spécialité Oncologie
Classification et ressources externes
CIM-10 C83.1
CIM-9 200.4
ICD-O M9673/3
eMedicine 203085
MeSH D020522

Wikipédia ne donne pas de conseils médicaux Mise en garde médicale

Les lymphomes à cellules du manteau (appelé couramment lymphome du manteau) sont une forme de lymphome non hodgkinien. Ils sont causés par des lymphocytes B du manteau des follicules des ganglions lymphatiques.

Épidémiologie

Ce lymphome touche plus fréquemment des sujets caucasiens, masculins avec un age médian de 60-70 ans et représente 5 à 7 % des lymphomes[1]. Le diagnostic est souvent fait à un stade avancé car indolore et souvent non décelable sur un examen sanguin. Mais quel que soit le stade, un traitement réduira les adénopathies de manière efficace dans tout le corps. La médiane d'espérance de vie après diagnostic est de 54 mois.

Clinique

Il ne se distingue guère des autres lymphomes : adénopathies palpable, fatigue, fièvre... L'atteinte digestive est cependant fréquente même si les symptômes en rapport ne sont vus que dans un tiers des cas[2].

Typage

Il permet d'en faire le diagnostic, les lymphomes du manteau étant CD5+, CD10−, Bcl-2+, Bcl-6−, CD20+[1].

Le typage génétique est important pour le pronostic et le traitement avec la recherche de mutations sur les gènes BTK) Bcl2, TP53, BIRC3, CDKN2A, MAP3K14, NOTCH2, NSD2 et SMARCA4[3]. Dans pratiquement tous les cas de lymphome dit « à cellules du manteau », les lymphocytes B expriment fortement la cycline D1 à la suite d'une translocation entre les chromosomes 11 et 14[4].

Traitement

Les formes peu évoluées et asymptomatiques peuvent faire l'objet d'une simple surveillance[5]. Une association lénalidomide et rituximab peut également être proposée[6].

Les traitements des formes graves sont basés sur une chimiothérapie, suivie par une autogreffe de moelle osseuse (qui consiste à réintroduire les cellules souches qui auront été prélevées auparavant par cytaphérèse, et allogreffe en cas de récidive, quand l'état du patient le permet (âge et forme physique). En fait les deux types de greffe sont précédés par une irradiation totale du corps en 4 séances de 20 minutes environ, pour soumettre le corps à 10 Grays et grâce au masquage sur 2 séances à 8 grays pour les poumons. La chimiothérapie peut être à base de bendamustine-rituximab[7]. Le pronostic reste sombre avec de nombreuses rechutes[8].

Dans les formes sans indication de greffe de moelle, une association bendamustine-rituximab peut être donnée[9], à préférer à une chimiothérapie de type R-CHOP[10]. L'ajout d'ibrutinib améliore les résultats[11]. Un traitement d'entretien par rituximab permet des survies prolongées[12].

En cas de rechute, l'ibrutinib permet d'obtenir des rémissions prolongées[13].

Pronostic

Un score de risque a été développé afin de mieux évaluer le pronostic de la maladie, calculé selon l'âge, le stade, le taux de LDH et de leucocytes[14]. La présence d'une mutation sur le P53 témoigne d'une forme agressive[15].

Notes et références

  1. 1 2 Armitage JO, Longo DL, Mantle-cell lymphoma, N Engl J Med, 2022;386:2495-2506
  2. Romaguera JE, Medeiros LJ, Hagemeister FB et al. Frequency of gastrointestinal involvement and its clinical significance in mantle cell lymphoma, Cancer, 2003;97:586-591
  3. Jain P, Wang M, Mantle cell lymphoma: 2019 update on the diagnosis, pathogenesis, prognostication, and management, Am J Hematol, 2019;94:710-725
  4. (en) Cristina Royo, Itziar Salaverria, Elena M. Hartmann, Andreas Rosenwald, Elías Campo et Sílvia Beà, « The complex landscape of genetic alterations in mantle cell lymphoma », Seminars in Cancer Biology, vol. 21, no 5, , p. 322-334 (ISSN 1044-579X, OCLC 4933083429, PMID 21945515, DOI 10.1016/j.semcancer.2011.09.007).
  5. Abrisqueta P, Scott DW, Slack GW et al. Observation as the initial management strategy in patients with mantle cell lymphoma, Ann Oncol, 2017;28:2489-2495
  6. Ruan J, Martin P, Shah B et al. Lenalidomide plus rituximab as initial treatment for mantle-cell lymphoma, N Engl J Med, 2015;373:1835-1844
  7. Chen RW, Li H, Bernstein SH et al. RB but not R-HCVAD is a feasible induction regimen prior to auto-HCT in frontline MCL: results of SWOG Study S1106, Br J Haematol, 2017;176:759-769
  8. (en) Elias Campo et Simon Rule, « Mantle cell lymphoma: evolving management strategies », Blood, vol. 125, no 1, , p. 48-55 (ISSN 0006-4971, e-ISSN 1528-0020, PMID 25499451, DOI 10.1182/blood-2014-05-521898).
  9. Rummel MJ, Niederle N, Maschmeyer G et al. Bendamustine plus rituximab versus CHOP plus rituximab as first-line treatment for patients with indolent and mantle-cell lymphomas: an open-label, multicentre, randomised, phase 3 non-inferiority trial, Lancet, 2013;381:1203-1210
  10. Flinn IW, van der Jagt R, Kahl B et al. First-line treatment of patients with indolent non-Hodgkin lymphoma or mantle-cell lymphoma with bendamustine plus rituximab versus R-CHOP or R-CVP: results of the BRIGHT 5-year follow-up study, J Clin Oncol, 2019;37:984-991
  11. Wang ML, Jurczak W, Jerkeman M et al. Ibrutinib plus Bendamustine and Rituximab in untreated mantle-cell lymphoma, N Engl J Med, 2022;386:2482-2494
  12. Kluin-Nelemans HC, Hoster E, Hermine O et al. Treatment of older patients with mantle cell lymphoma: long-term follow-up of the randomized European MCL Elderly Trial, J Clin Oncol, 2020;38:248-256
  13. Rule S, Dreyling MH, Goy A et al. Long-term outcomes with ibrutinib versus the prior regimen: a pooled analysis in relapsed/refractory (R/R) mantle cell lymphoma (MCL) with up to 7.5 years of extended follow-up, Blood, 2019;134:Suppl 1:1538-1538
  14. Hoster E, Dreyling M, Klapper W et al. A new prognostic index (MIPI) for patients with advanced-stage mantle cell lymphoma, Blood, 2008;111:558-565
  15. Hernandez L, Fest T, Cazorla M et al. p53 Gene mutations and protein overexpression are associated with aggressive variants of mantle cell lymphomas, Blood, 1996;87:3351-3359

Voir aussi

  • icône décorative Portail de la médecine
  • icône décorative Portail de l’hématologie