Leucoencéphalite

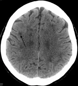
Scanner montrant une leucoencéphalopathie probablement due à une ischémie des petits vaisseaux. La flèche n'indique qu'une zone parmi d'autres.

Le terme Leucoencéphalite désigne toute affection cérébrale caractérisée anatomiquement par des lésions inflammatoires prédominant au niveau de la substance blanche des hémisphères cérébraux, et dont l'origine est exogène (par opposition à la leucodystrophie, dans laquelle le processus est d'origine endogène).

Voir aussi

  • icône décorative Portail de la médecine