Kyste arachnoïdien

Kyste arachnoïdien
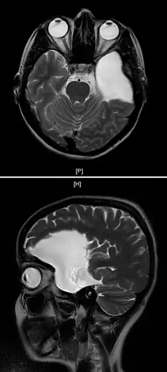
Description de cette image, également commentée ci-après
IRM du crâne d'une jeune femme de vingt-cinq ans présentant un kyste arachnoïdien fronto-temporal gauche.
Traitement
Spécialité Neurochirurgie
Classification et ressources externes
CIM-10 G93.0
CIM-9 348.0
OMIM 207790
DiseasesDB 33219
eMedicine 336489
MeSH D016080

Wikipédia ne donne pas de conseils médicaux Mise en garde médicale

Un kyste arachnoïdien est une malformation congénitale du système nerveux central constituée par un kyste dont l'enveloppe est faite de cellules arachnoïdiennes et le contenu de liquide cérébrospinal.

Localisation

Plus de la moitié se trouvent au niveau de la fosse temporale, avec une légère prédominance à gauche[1].

Symptômes

Ils sont souvent asymptomatiques. Les signes dépendent de la taille et de la localisation du kyste. Ils peuvent ainsi se manifester par un déficit neurologique ou des signes d'hypertension intracrânienne. Ils peuvent se compliquer d'une hémorragie intrakystique[2] ou d'une rupture entraînant une hématome sous-dural[3].

Traitement

Les gros kystes symptomatiques peuvent être drainés, parfois par méthode neuroendoscopique[4].

Notes et références

  1. Helland CA, Lund-Johansen M, Wester K, Location, sidedness, and sex distribution of intracranial arachnoid cysts in a population-based sample, J Neurosurg, 2010;358:934-9
  2. Iaconetta G, Esposito M, Maiuri F, Cappabianca P, Arachnoid cyst with intracystic haemorrhage and subdural haematoma: case report and literature review, Neurol Sci, 2006;358:451-5
  3. Yüksel MO, Gürbüz MS, Senol M, Karaarslan N, Spontaneous subdural haematoma developing secondary to arachnoid cyst rupture, J Clin Diagn Res, 2016;358
  4. Couvreur T, Hallaert G, Van Der Heggen T et al. Endoscopic treatment of temporal arachnoid cysts in 34 patients, World Neurosurg, 2015;358:734-40
  • icône décorative Portail de la médecine