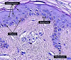
Kératinocyte

Les kératinocytes sont des cellules constituant 85 % de la couche superficielle de la peau (épiderme) et des phanères (ongles, cheveux, poils, plumes, écailles). Ils synthétisent la kératine (kératinisation), une protéine fibreuse et insoluble dans l'eau, qui assure à la peau sa propriété d'imperméabilité et de protection extérieure.
L'épiderme est divisé en 5 couches basées sur la morphologie des kératinocytes (de l'intérieur vers l'extérieur) :
- stratum germinativum (couche basale à la jonction avec le derme)
- stratum spinosum
- stratum granulosum
- stratum lucidum
- stratum corneum
Les kératinocytes passent progressivement de la couche basale vers les couches supérieures par différenciation cellulaire jusqu'au stratum corneum où ils forment une couche de cellules mortes nommées squames, par mort cellulaire (différente de l'apoptose). Cette couche constitue une barrière de protection et réduit la perte d'eau de l'organisme.
Les kératinocytes sont en perpétuel renouvellement. Ils mettent environ 28 jours pour aller de la couche basale au stratum corneum mais ce processus peut être accéléré en cas d'hyperprolifération de kératinocytes (psoriasis).
Morphologie
Selon la couche dans laquelle ils se trouvent, leur morphologie est différente.
Stratum germinativum
Les kératinocytes sont directement en contact avec la couche basale. Ils forment une seule assise cellulaire cylindrique dont le grand axe est perpendiculaire à la jonction dermo-épidermique. Ils sont liés entre eux par des desmosomes, et à la membrane basale par des hémidesmosomes.
Stratum spinosum
Les kératinocytes sont répartis en 3 à 4 assises cellulaires en peau fine ou 5 à 6 en peau épaisse (palmaire et plantaire). Ils sont polyèdriques, à noyau arrondi, et semblent hérissés d'épines à leur surface en microscopie optique. Ces épines (dites de Schultze) sont en réalité des artéfacts, signalant la présence de desmosomes.
Stratum granulosum
Les kératinocytes sont aplatis, leur grand axe (et celui de leur noyau) étant parallèle à la jonction dermo-épidermique. Leur cytoplasme est plein de granulations, correspondant à des grains de kératohyaline. Ils possèdent également des kératinosomes, mais ces derniers ne sont pas visibles en microscopie optique (on les décrit donc en microscopie électronique).
Stratum corneum
Après transformation par apoptose et libération de leur contenu, les kératinocytes apparaissent comme des cellules anuclées, aplaties parallèlement à la jonction dermo-épidermique, et disposées en plusieurs assises. Ils sont kératinisés. Leur cytoplasme, pratiquement dépourvu d'organites, est occupé par de nombreuses fibres de kératine. Les cellules les plus profondes possèdent encore des jonctions entre elles, sous forme de cornéo-desmosomes. En revanche, les plus superficielles ont perdu ces jonctions et se détachent, on dit alors qu'elles desquament. C'est donc la couche desquamante.
Notes et références
Voir aussi
Bibliographie
- Bernard Calvino, « Les sentinelles inattendues de la peau », Pour la science, no 538, , p. 26-35
Articles connexes
- Mélanocyte, la deuxième grande population cellulaire de l'épiderme
- Chronobiologie cutanée
- Portail de la biologie cellulaire et moléculaire