Hallux rigidus

L'hallux rigidus est le nom donné à l'arthrose primitive de la première articulation métatarso-phalangienne, ainsi qu'entre la tête du 1er métatarsien et ses sésamoïdes.
Symptômes
Les deux principaux signes sont la raideur et la douleur de l'hallux (gros orteil). Pour permettre le passage du pas, l'articulation métatarso-phalangienne doit pouvoir se placer en extension. Dans l'hallux rigidus, la raideur ne permet pas cette extension ; la marche est gênée et devient douloureuse.
Une autre des conséquences de l'arthrose est la production par l'articulation d'ostéophytes, véritables excroissances osseuses anormales développées à leur périphérie. Dans l'hallux rigidus ces ostéophytes se placent notamment au dos de l'articulation, font saillie sous la peau, et viennent en conflit avec la chaussure. Des cors, voire des plaies, apparaissent et majorent les douleurs.
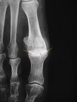
Diagnostic
L'examen clinique pratiqué par le chirurgien s'attache à mettre en évidence les symptômes :
- raideur : perte de l'extension ;
- douleur, en particulier à la pression de la face dorsale de l'articulation ;
- observation des éventuels cors.
Il arrive que l'hallux rigidus s'associe à une déformation de l'orteil de type hallux valgus. Il s'agit alors d'un hallux rigido-valgus.
Des radiographies doivent être pratiquées qui, seules, permettent d'affirmer le diagnostic en identifiant les signes habituels d'arthrose : pincement articulaire, ostéophytes, géodes, condensation. Elles doivent également mesurer l'axe du premier rayon pour quantifier l'éventuelle déformation associée (hallux rigido-valgus).
Traitements
Conservateur
Au début de l'atteinte, les traitements médicamenteux peuvent suffire : anti-inflammatoires, antalgiques. Des infiltrations de dérivés cortisonés peuvent être proposés avec des résultats parfois satisfaisants. L'adaptation du chaussage peut aussi être tentée afin de diminuer les conflits avec la peau.
Chirurgical
Lorsque les douleurs et la gêne ne sont plus tolérables, la chirurgie devient inéluctable. Deux types de gestes sont proposés :
- raccourcissement du 1er métatarsien : la fonction de l'articulation est conservée et le raccourcissement a pour objet d'ouvrir l'espace articulaire ;
- cheilectomie : il s'agit de l'ablation des ostéophytes. Le développement des techniques de chirurgie percutanée permet d'effectuer ce geste à travers la peau avec des suites opératoires bien plus simples que par les techniques classiques[1] ;
- arthrodèse métatarso-phalangienne : la destruction articulaire étant trop importante, la seule solution reste son blocage (arthrodèse). La mobilité est définitivement supprimée mais la douleur disparaît.
Notes et références
- ↑ « chirurgie percutanée », sur www.chirurgie-du-pied.fr
- Portail de la médecine