Hépatite auto-immune

Hépatite auto-immune
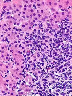
Description de cette image, également commentée ci-après
Coupe microscopique d'une biopsie de foie montrant une hépatite d'interface, lymphoplasmocytaire : les caractéristiques histomorphologiques révèlent une hépatite auto-immune, Coloration à l'hématoxyline et à l'éosine (H & É).
Symptômes Hépatite
Traitement
Médicament Mycophénolate mofétil (d), prednisolone, azathioprine et tacrolimus
Spécialité Gastro-entérologie et hépatologie
Classification et ressources externes
CIM-10 K75.4
CIM-9 571.42
DiseasesDB 1150
MedlinePlus 000245
eMedicine 172356
MeSH D019693

Wikipédia ne donne pas de conseils médicaux Mise en garde médicale

L’hépatite auto-immune se définit comme une maladie inflammatoire chronique du foie de cause inconnue, pouvant survenir à tout âge. En l’absence de traitement, cette inflammation peut être responsable de nécrose, de fibrose et de cirrhose. L’hépatite auto-immune est associée presque toujours à des anomalies de l’immunité sous forme d’auto-anticorps, d’augmentation des gammaglobulines sériques.

Épidémiologie

Il s'agit d'une maladie rare, avec une incidence annuelle variant suivant les régions entre 0.4 et 17 pour 100 000[1], atteignant un peu plus les occidentaux et les porteurs du groupe HLA DR3 et DR4[2].

Elle atteint essentiellement la femme de plus d'environ 20 ans ou de plus de 60 ans[2].

Des modifications du microbiote intestinal sont décrites[3].

Un tableau d'hépatite auto-immune a été décrit après une vaccination contre le COVID-19. Ces formes répondent bien aux corticoïdes, avec une évolution, en règle, favorable[4].

Clinique

La présentation est atypique : asthénie, anorexie, douleurs abdominales. Il peut exister des douleurs des petites articulations[5].

La maladie peut être asymptomatique mais conserve les mêmes risques évolutifs[6] et doit être traitée en conséquence. Elle peut se présenter sous une forme aiguë, le plus souvent avec un ictère, avec une évolution possible vers une hépatite fulminante[7].

Elle peut être découverte au stade de cirrhose.

Diagnostic

Le bilan sanguin hépatique est perturbé, avec une franche augmentation des transaminases, de la bilirubine et une élévation de l'INR, signant l'hépatite.

Les autres causes d'hépatites doivent être éliminées : sérologies virales, recherche d'un alcoolisme. Le diagnostic repose sur l’élévation des gammaglobulines, la présence d’autoanticorps et les données de la biopsie hépatique montrant une hépatite dite d’interface lymphoplasmocytaire.

La biopsie hépatique montre une inflammation portale et centrolobulaire[8] mais ces lésions ne sont pas spécifiques[2]. Elle permet toutefois de classifier les cas en probables, incertains ou peu probables[9].

Deux types d’hépatite auto-immune peuvent être distingués : l’hépatite de type 1 caractérisée par la présence d’anticorps anti-muscle lisse (dirigé contre l’actine) et anti-nucléaire et l’hépatite de type 2 caractérisée par la présence d’anticorps dirigés contre le réticulum endoplasmique (anticorps « anti-liver microsome » ou LKM, et anticorps « anti-liver cytosol »). La classification a, en fait, un intérêt limité, puisque la prise en charge reste identique[2].

10 à 15 % des patients ayant soit une cholangite biliaire primitive, soit une cholangite sclérosante primitive présentent une hépatite auto-immune.

Des algorithmes diagnostiques ont été développés, reposant sur la présence d'autoanticorps, le taux d'immunoglobuline G, les résultats de la biopsie hépatique et l'exclusion des causes virales[10].

L'imagerie permet essentiellement d'éliminer les autres diagnostics et de voir s'il existe une complication (cirrhose).

Évolution

Cette maladie, non traitée, peut évoluer vers la cirrhose. Le risque de survenue d'un carcinome hépatocellulaire est cependant moindre qu'avec d'autres causes[11].

L'hépatite auto-immune peut récidiver en cas d'arrêt du traitement.

Traitement

La prise en charge de l'hépatite auto-immune a fait l'objet de la publication de recommandations par l'American Association for the study of liver diseases, publiées en 2020[12]. Celles, européennes, datent de 2015[13].

Les corticoïdes sont efficaces dans 85 % des cas environ. On peut prescrire également, en relai, des immuno-suppresseurs tels que l'azathioprine[14].

En cas d'intolérance ou d'inefficacité du traitement conventionnel, l'acide mycophénolique ou la mercaptopurine peuvent constituer des alternatives[15].

Le traitement doit être prolongé, le risque de récidive à l'arrêt étant important[2].

En cas de formes sévères et rapidement évolutive, avec inefficacité des traitements médicamenteux, une transplantation hépatique peut être envisagée[16]. La maladie peut toutefois récidiver sur le greffon[17].

Notes et références

  1. Trivedi PJ, Hirschfield GM, Recent advances in clinical practice: epidemiology of autoimmune liver diseases, Gut, 2021;70:1989-2003
  2. 1 2 3 4 5 Muratori L, Lohse A W, Lenzi M, Diagnosis and management of autoimmune hepatitis, BMJ, 2023; 380 :e070201
  3. Wei Y, Li Y, Yan L et al. Alterations of gut microbiome in autoimmune hepatitis, Gut, 2020;69:569-77
  4. Efe C, Kulkarni AV, Terziroli Beretta-Piccoli B et al. Liver injury after SARS-CoV-2 vaccination: Features of immune-mediated hepatitis, role of corticosteroid therapy and outcome, Hepatology, 2022;76:1576-86
  5. (en) Krawitt EL, « Autoimmune hepatitis » N Engl J Med, 2006;354:54-66
  6. Muratori P, Lalanne C, Barbato E et al. Features and Progression of Asymptomatic Autoimmune Hepatitis in Italy, Clin Gastroenterol Hepatol, 2016;14:139-46
  7. Aljumah AA, Al-Ashgar H, Fallatah H, Albenmousa A, Acute onset autoimmune hepatitis: Clinical presentation and treatment outcomes, Ann Hepatol, 2019;18:439-44
  8. Tiniakos DG, Brain JG, Bury YA, Role of Histopathology in Autoimmune Hepatitis, Dig Dis, 2015;33(Suppl 2):53-64
  9. Lohse AW, Sebode M, Bhathal PS et al. Consensus recommendations for histological criteria of autoimmune hepatitis from the International AIH Pathology Group: Results of a workshop on AIH histology hosted by the European Reference Network on Hepatological Diseases and the European Society of Pathology: Results of a workshop on AIH histology hosted by the European Reference Network on Hepatological Diseases and the European Society of Pathology, Liver Int, 2022;42:1058-69
  10. Hennes EM, Zeniya M, Czaja AJ et al. International Autoimmune Hepatitis Group. Simplified criteria for the diagnosis of autoimmune hepatitis, Hepatology, 2008;48:169-76
  11. Tarao K, Nozaki A, Ikeda T et al. Real impact of liver cirrhosis on the development of hepatocellular carcinoma in various liver diseases-meta-analytic assessment, Cancer Med, 2019;8:1054-65
  12. Mack CL, Adams D, Assis DN et al. Diagnosis and Management of Autoimmune Hepatitis in Adults and Children: 2019 Practice Guidance and Guidelines From the American Association for the Study of Liver Diseases, Hepatology, 2020;72:671-722
  13. European Association for the Study of the Liver. EASL Clinical Practice Guidelines: Autoimmune hepatitis, J Hepatol, 2015;63:971-1004
  14. Johnson PJ, McFarlane IG, Williams R, Azathioprine for long-term maintenance of remission in autoimmune hepatitis, N Engl J Med, 1995;333:958-63
  15. Lohse AW, Sebode M, Jørgensen MH et al. Second-line and third-line therapy for autoimmune hepatitis: A position statement from the European Reference Network on Hepatological Diseases and the International Autoimmune Hepatitis Group, J Hepatol, 2020;73:1496-506
  16. Rahim MN, Liberal R, Miquel R, Heaton ND, Heneghan MA, Acute Severe Autoimmune Hepatitis: Corticosteroids or Liver Transplantation?, Liver Transpl, 2019;25:946-59
  17. Czaja AJ, {https://link.springer.com/article/10.1007/s10620-012-2179-3 Diagnosis, pathogenesis, and treatment of autoimmune hepatitis after liver transplantation], Dig Dis Sci, 2012;57:2248-66


Liens externes

  • Association ALBI Page sur l'hépatite auto-immune sur le site de l'Association pour la lutte contre les maladies inflammatoires du foie et des voies biliaires
  • FILOIE Filière de santé dédiée aux maladies rares du foie


  • icône décorative Portail de la médecine